Échographie au premier trimestre de la grossesse

Profil d'un fœtus de 14 semaines

L'échographie au premier trimestre de la grossesse est un temps primordial de la surveillance de la grossesse. Seule l'échographie permet de répondre aux quatre questions principales en début de grossesse :

  • la grossesse se développe-t-elle bien dans l'utérus (détection précoce des grossesses extra-utérines) ?
  • la grossesse est-elle évolutive (détection précoce des fausses couches) ?
  • quel est le nombre d'embryons (détection précoce des grossesses multiples) ?
  • quelle est la date de début de la grossesse (et donc la date présumée de l'accouchement) ?

Rappel : La datation utilisée dans cet article est toujours exprimée en semaines d'aménorrhée. Voir l'article grossesse pour la correspondance entre semaines d'aménorrhée et mois de grossesse.

L'aspect échographique du tout début de grossesse

  • Le premier signe échographique d'une grossesse est la visualisation d'un sac ovulaire. Il est visible entre 4 semaines et 1 jour et 4 semaines et 3 jours; Il mesure alors 2 à mm. L'utilisation de la voie endovaginale est souvent nécessaire pour le voir. Le sac ovulaire a l'aspect d'une petite tache noire, excentrée par rapport à la cavité utérine, correspondant à la cavité chorionique entourée d'une couronne d'échogénéicité forte : le trophoblaste.
  • À cinq semaines, le sac ovulaire mesure mm. Il est quasiment toujours visible lors de l'échographie par voie abdominale. Il est parfois difficile d'affirmer la localisation intra-utérine de la grossesse en raison de l'aspect de pseudo-sac gestationnel décrit au cours des grossesses extra-utérines. Seuls deux signes sont pathognomoniques de la grossesse intra-utérine
    • L'aspect en double cercle du sac (double decidual sac sign) correspondant une couronne hyper-échogène interne en rapport avec la trophoblaste et une couronne hypo-échogène externe en rapport avec la transformation gravidique de l'endomètre
    • La visualisation de la vésicule vitelline qui affirme définitivement le caractère ovulaire de l'image échographique.
  • La visualisation de la vésicule vitelline est un élément essentiel pour affirmer le caractère ovulaire de l'image et l'évolutivité de la grossesse. Embryologiquement, la vésicule vitelline visualisée correspond à la seconde vésicule vitelline. La vésicule vitelline est toujours visible à 5 semaines et 5 jours par voie endovaginale. Le sac ovulaire mesure en moyenne mm. Par voie abdominale, elle est toujours visible à 7 semaines (le sac ovulaire mesure en moyenne 20 mm). Le diamètre de la vésicule vitelline augmente de 5 à 10 semaines pour atteindre 5 à mm.

Évolution échographique de l'embryon normal

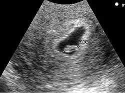
Embryon à 5 semaines

Embryon à 5 semaines. L'embryon est entre les deux croix. La structure arrondie au-dessus de l'embryon est la vésicule vitelline

L'embryon est visible dès 5 semaines en cas d'utilisation de sonde endovaginale de haute fréquence. Il se présente comme une zone hyperéchogène coincée entre la vésicule vitelline et la paroi du sac ovulaire. Une activité cardiaque peut être visualisée. Il est déconseillé, à ce stade, d'utiliser le doppler pour entendre l'activité cardiaque embryonnaire en raison d'effet délétère possible sur la formation du cœur. En raison de la sensibilité humaine au mouvement, il est parfois possible de visualiser une activité cardiaque avant la visualisation de l'embryon. En pratique, l'activité cardiaque doit être systématiquement vue dès que l'embryon mesure mm.

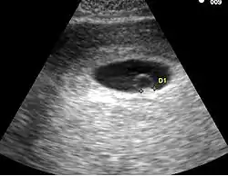
Embryon à 6 semaines

Embryon à 6 semaines

La croissance exponentielle de l'embryon permet très rapidement de le voir. Dès la visualisation de l'embryon une datation précise de la grossesse est possible. En cas de la visualisation de 2 sacs et / ou de 2 embryons, il est impératif de déterminer le type de grossesses gémellaires. Deux situations se rencontrent:

  • Un sac contenant deux embryons : il s'agit d'une grossesse monochoriale donc issue d'un seul œuf (monozygote). Il faudra attendre quelques semaines pour préciser le caractère mono ou biamniotique de la grossesse
  • Deux sacs contenant chacun un embryon, il s'agit d'une grossesse bichoriale en rapport  :
    • soit avec la division d'un seul œuf (monozygote) survenant moins de trois jours après la fécondation. Un tiers des grossesses bichoriales sont monozygotiques.
    • soit la fécondation de deux ovules par deux spermatozoïdes (bizygote).
  • La distinction entre faux et vrais jumeaux n'est pas toujours facile. Au cours de l'échographie, la constatation de deux fœtus de sexes différents est forcément en rapport avec une grossesse bizygote. En cas de fœtus de même sexe, il est impossible de trancher. Les différences physiques et biologiques à la naissance permettront de déterminer le caractère mono ou bizygotique de la grossesse.

Embryon à 8 semaines

L'embryon mesure entre 15 et 22 mm. La vésicule vitelline qui le nourrit est juste à côté. À la fin de cette semaine, les coudes deviennent visibles

Fœtus à 9 semaines

L'embryon s'appelle désormais fœtus. À cet âge, la fréquence cardiaque du fœtus atteint son maximum à 175 battements par minute.

Fœtus à 10 semaines

Les caractéristiques humaines du fœtus sont évidentes. Les membres sont visibles. Le pied prend une angulation normale par rapport à la jambe. L'ossification du crâne commence par l'os occipital. Les repères principaux du cerveau sont visibles. La hernie physiologique des intestins à travers la paroi abdominale est à son maximum. L'estomac devient visible.

Fœtus à 10 semaines

Fœtus à 11 semaines

Le terme de 11 semaines est le terme minimum pour évaluer le risque d'aneuploïdie par mesure de la clarté nucale. À ce terme l'embryon mesure 45 mm et son aspect extérieur macroscopique est définitif. Théoriquement les malformations externes majeures sont toutes visibles. Notamment la fermeture de la paroi abdominale est terminée et le diagnostic de laparoschisis est possible à ce terme.

Fœtus à 11 semaines

L'évaluation du risque d'aneuploïdie par mesure de la clarté nucale doit énormément aux travaux de Kýpros Nicolaïdis et de son équipe[1]. Les critères nécessaires pour une mesure correcte de la clarté nucale sont :

  • un embryon mesurant entre 45 et 84 mm de longueur crânio-caudale (mesure tête-fesse) ;
  • l'embryon doit être visible sur toute sa longueur (longueur crânio-caudale) ;
  • embryon en position neutre ;
  • agrandissement de l'image du fœtus qui doit occuper les 3/4 de l'image ;
  • distinction nette entre la peau fœtale et la membrane amniotique ;
  • trois mesures doivent être faites et la plus grande conservée ;
  • le cordon ombilical empêche la mesure de la clarté nucale dans environ 5 % des cas.

La largeur de la clarté augmente au cours de la grossesse et est indépendante de l'âge maternel. L'évaluation du risque de trisomie 21 par la clarté nucale se base en comparant la médiane de la clarté nucale attendue par rapport à la clarté nucale mesurée. On utilise

  • soit la différence entre la clarté nucale mesurée et la clarté nucale attendue et un coefficient multiplicateur ou diviseur est appliqué au risque de base donné par l'âge maternel et le terme de la grossesse.
  • soit le multiple de la médiane (MoM) qui est le rapport entre clarté nucale mesurée et la clarté nucale attendue. Ce rapport est appliqué au risque de base.

Fœtus à 12 semaines

Dans la plupart des cas, une échographie pratiquée à 12 semaines permet de détecter de nombreuses pathologies. Bien entendu, cette détection dépend de nombreux facteurs qui ne sont pas tous du ressort du médecin. Le surpoids et l'obésité sont actuellement les facteurs limitants les plus importants.

Figure 7. La distinction des organes intra-abdominaux est possible à 12 semaines

Sur la figure 7 on distingue à gauche une zone intra-abdominale blanche correspondant à l'intestin du fœtus. Dans cette zone blanche, une petite tache noire qui est la vessie. Enfin, à droite des intestins, on peut distinguer le foie et les poumons.

Les 2 bras d'un fœtus à 12 semaines

La face est explorable. Les deux orbites sont distinguables ainsi que les deux cristallins. Les membres se distinguent nettement. Le diagnostic d'anomalie des membres est possible à ce stade.

Les malformations graves du cerveau sont détectables comme l'anencéphalie ou l'holoprosencéphalie. Les malformations cardiaques ne sont pas détectables en routine à ce terme.

Détermination du sexe

La détermination précoce du sexe est possible bien que médicalement sans intérêt. Les maladies génétiques liées à l'X bénéficient de technique plus précoce et d'une fiabilité supérieure pour permettre un diagnostic anténatal précoce. En Inde, des femmes se font avorter pour ne pas avoir de filles en raison des conséquences économiques. Dans ce pays, une loi interdit de révéler le sexe des enfants à naître pour éviter les nombreux avortements de fœtus féminins.

Selon une étude de [2], la détermination du sexe est possible dans 85 % des cas entre 12 semaines et 12 semaines et 3 jours, dans 96 % des cas entre 12 semaines et 4 jours et 12 semaines et 6 jours et 97 % des cas entre 13 semaines et 13 semaines et 6 jours. Les embryons mâles sont vus entre 99 et 100 % à n'importe quel terme et les embryons femelles sont vus dans 91 % des cas entre 12 semaines et 12 semaines et 3 jours, dans 99 % des cas entre 12 semaines et 4 jours et 12 semaines et 6 jours et 100 % des cas entre 13 semaines et 13 semaines et 6 jours.

Tubercule génital chez un fœtus de 14 semaines. L'orientation indique qu'il s'agit d'une vulve en formation.

La détermination précoce se fait sur l'orientation du tubercule génital de l'embryon sur une coupe sagittale stricte de l'embryon. Cette formation embryonnaire est l'origine commune des organes génitaux externes ou internes.

Cette détermination se fait en mesurant l'angle du tubercule génital par rapport à une ligne horizontale passant par le revêtement cutané de la région lombaire (le bas du dos). L'embryon est masculin si l'angle est supérieur à 30 degrés. L'embryon est féminin si l'angle est inférieur à 10 degrés. Entre les deux la détermination du sexe est impossible. De façon plus rapide : lorsque le tubercule génital est orienté vers l'arrière, il s'agit d'un embryon femelle. En cas d'orientation vers l'avant, il s'agit d'un embryon mâle.

Détermination de l'âge gestationnel

La détermination de l'âge gestationnel est une condition indispensable pour effectuer certains examens comme l'évaluation du risque de trisomie 21 par les marqueurs sériques. La prise en charge optimum de la menace d'accouchement prématurée, le diagnostic de retard de croissance intra-utérin ou de macrosomie fœtale, la surveillance des dépassements de terme nécessitent une datation sure.

Le calcul de l'âge gestationnel repose essentiellement sur la longueur crânio-caudale de l'embryon[3].

Les aspects échographiques anormaux au premier trimestre

Absence de sac intra-utérin

Si le test de grossesse urinaire et/ou sanguin est positif, il n'y a que trois diagnostics possibles:

Visualisation d'un sac ovulaire sans vésicule vitelline ou embryon

Dans ce cas, seuls les trois mêmes diagnostics suivants sont possibles :

  • La grossesse est évolutive mais moins avancée
  • La grossesse est arrêtée
  • Il s'agit d'un pseudo-sac gestationnel (œuf clair) avec une grossesse extra-utérine

Visualisation d'un embryon sans activité cardiaque

Dans ce cas, il n'y a qu'un seul diagnostic possible : la grossesse est arrêtée. Parfois il est difficile de cerner une activité cardiaque dans le cas d'une grossesse encore très précoce. Un contrôle de vitalité de l'embryon est souvent préconisé à une échéance ultérieure.

Références

  1. (en) Kypros H. Nicolaides, « Nuchal translucency and other first-trimester sonographic markers of chromosomal abnormalities », American Journal of Obstetrics and Gynecology, vol. 191, no 1, , p. 45–67 (DOI 10.1016/j.ajog.2004.03.090, lire en ligne, consulté le )
  2. Z. Efrat, T. Perri, E. Ramati, D. Tugendreich, I. Meizner Fetal gender assignment by first-trimester ultrasound in Ultrasound in Obstetrics and Gynecology Volume 27, Issue 6, juin 2006, pages 619 à 621
  3. Calcul de l'âge gestationnel en fonction de la longueur crânio-caudale J. Wisser, P. Dirschedl, S. Krone Ultrasound in Obstetrics and Gynecology Volume 4, Issue 6, 1994. Pages 457-462
  • icône décorative Portail de la médecine
  • icône décorative Portail de l’imagerie numérique