Épithélium transitionnel

L'épithélium transitionnel, de transition ou urothélium, est un tissu biologique épithélial jouant un rôle de glissement dans certains organes. Il se retrouve dans divers composantes du système urinaire : les calices, les bassinets, les uretères et la vessie, indiqués en ordre croissant d'épaisseur de leur urothélium. L'épithélium transitionnel est un épithélium pseudostratifié polymorphe, à cadre épi-cellulaire et condensation superficielle du cytoplasme.
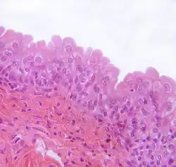
Aspect
Ces organes subissent des changements importants de volume en se remplissant et en se vidant. L'aspect de l'épithélium varie donc selon le degré de distension de l'organe.
Quand il est vide, l'épithélium présente de nombreuses couches. Les cellules basales sont cubiques, les cellules intermédiaires sont polyédriques et les cellules superficielles, beaucoup plus grandes, ont un sommet arrondi et sont le plus souvent binucléées (deux noyaux). Ces cellules présentent des plaques membranaire pour augmenter la résistance, la protéger contre la toxicité et éviter la réabsorption de l'urine.
Quand il est plein, on ne retrouve plus que trois couches, une couche basale de petites cellules cubiques, une seule couche intermédiaire protégée par une couche superficielle de grandes cellules pavimenteuses.
Il est différent de l'épithélium stratifié classique, car toutes les cellules ne reposent pas sur la lame basale, en effet, mais en fonction du degré d'étirement, on va trouver différentes sortes de stratification : de 3 à 7 couches de cellules.
Pathologie
Les anomalies de l'urothélium forment les lésions urothéliales.
Liens externes
- Portail de la biologie
- Portail de la médecine