Abcès cérébral
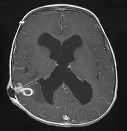
_--_showing_a_small_ring-enhancing_lesion_with_mild_surrounding_edema_adjacent_to_the_ventricular_catheter_and_ventricular_dilatation..jpg)
L’abcès cérébral est un amas de pus situé à l'intérieur du cerveau.
Le pus s’est formé à la suite d'une infection survenue à proximité (sinus, dents, oreilles…), d’une maladie cardiaque, d'une pneumopathie ou d’une infection à la suite d'une opération chirurgicale. Ce dernier cas est devenu rare dans les pays où les patients reçoivent une dose prophylactique d’antibiotique afin d’éviter tout risque d’infection.
Épidémiologie
Il s'agit d'une atteinte rare avec une incidence annuelle d'environ un cas pour 100 000 personnes, un peu plus augmenté chez le jeune enfant et la personne âgée[1], ainsi que chez la personne immunodéprimée.
Causes
Le cerveau est en général protégé des infections : il est séparé de la circulation générale par la barrière hémato-encéphalique, bloquant de nombreuses substances. L'infection se propage ensuite par le sang ou les tissus.
Le germe le plus commun est le streptocoque[1], le staphylocoque venant juste après[2]. D'autres germes peuvent être responsables, comme le Mycobacterium tuberculosis[3] ou les mycoses (essentiellement les aspergilloses[4]).
Il peut s'agir d'une infection nosocomiale, après une intervention neurochirurgicale par exemple[5].
Certains terrains, hors immunodépression, peuvent favoriser la formation d'un abcès cérébral, comme la maladie de Rendu-Osler[6]. Un abcès cérébral peut survenir également lors d'une endocardite infectieuse et peut être alors asymptomatique[7]. Rarement une méningite bactérienne se complique d'un abcès[8].
Symptômes
Il y a deux types d’abcès cérébraux au niveau des symptômes. Soit l’abcès s’installe sans que le patient ne s’en rende compte, soit il arrive brutalement, on dit alors que l’abcès est fulminant.
Les principaux symptômes sont relatifs à l'infection (fièvre) ou à la localisation de l'abcès, avec un déficit neurologique ou des convulsions. Si la taille de l'abcès est importante, il peut exister des signes d'hypertension intracrânienne avec nausées ou vomissements, des maux de tête, une somnolence. La triade classique associe fièvre, céphalées et signes de localisation mais n'est présente que dans un cas sur cinq[2].
Diagnostic
L'abcès peut être visualisé par scanner crânien ou par IRM sous forme d'une cavité entourée d'une coque hyperdense. Les caractéristiques de l'image IRR permettent de distinguer un abcès d'un kyste[9].
Le germe responsable peut être retrouvée par hémocultures ou culture du liquide cérébrospinal chez seulement un quart des patients[10]. Un examen et un prélèvement des portes d'entrée infectieuse potentielles est nécessaire : infection ORL, plaie, matériel prothétique...
La ponction de l'abcès par stéréotaxie[11] permet d'évacuer l'abcès et d'en analyser le contenu pour identifier le germe responsable. Elle est possible si l'abcès fait plus d'un centimètre de diamètre[10]. Si la stéréotaxie n'est pas disponible, une ponction guidée par échographie (à travers un trou de trépan) reste possible[12].
Si le germe n'est toujours pas retrouvé, des techniques de recherche de l'ADN ribosomique de ce dernier, par PCR permettent, très souvent de faire le diagnostic bactériologique[13].
Pronostic
La mortalité est comprise entre 20[14] et 40 %[1] des cas avec des séquelles neurologiques dans un peu moins de la moitié des survivants[1].
Traitement
Le patient est traité à l’aide d’antibiotiques adaptées pendant 6 à 8 semaines[10].
La ponction stéréotaxique de l’abcès permet d'aider au diagnostic, d'aspirer au maximum le pus, et éventuellement, d'injecter au cœur de l'abcès l'antibiotique adaptée[10]. Certains auteurs la proposent systématiquement pour des abcès de taille supérieure à 25 mm[15]. La résection neurochirurgicale n'est plus guère prônée, sauf cas particuliers.
Des scanners (ou IRM) répétés permettent de surveiller l'évolution des abcès.
Notes et références
- 1 2 3 4 Nicolosi A, Hauser WA, Musicco M, Kurland LT, Incidence and prognosis of brain abscess in a defined population: Olmsted County, Minnesota, 1935-1981, Neuroepidemiology, 1991;10:122-131
- 1 2 Brouwer MC, Coutinho JM, van de Beek D, Clinical characteristics and outcome of brain abscess: systematic review and meta-analysis, Neurology, 2014;82:806-813
- ↑ Nelson CA, Zunt JR, Tuberculosis of the central nervous system in immunocompromised patients: HIV infection and solid organ transplant recipients, Clin Infect Dis, 2011;53:915-926
- ↑ Baddley JW, Salzman D, Pappas PG, Fungal brain abscess in transplant recipients: epidemiologic, microbiologic, and clinical features, Clin Transplant, 2002;16:419-424
- ↑ Yang KY, Chang WN, Ho JT, Wang HC, Lu CH, Postneurosurgical nosocomial bacterial brain abscess in adults, Infection, 2006;34:247-251
- ↑ Mathis S, Dupuis-Girod S, Plauchu H et al. Cerebral abscesses in hereditary haemorrhagic telangiectasia: a clinical and microbiological evaluation, Clin Neurol Neurosurg, 2012;114:235-240
- ↑ (en) Ferreyra MC, Chavarria ER, Ponieman DA, Olavegogeascoechea PA, « Silent brain abscess in patients with infective endocarditis » Mayo Clin Proc, 2013;88:422-423
- ↑ (en) Jim KK, Brouwer MC, van der Ende A, van de Beek D, « Cerebral abscesses in patients with bacterial meningitis » J Infect, 2012;64:236-238
- ↑ Reddy JS, Mishra AM, Behari S et al. The role of diffusion-weighted imaging in the differential diagnosis of intracranial cystic mass lesions: a report of 147 lesions, Surg Neurol, 2006;66:246-250
- 1 2 3 4 Brouwer MC, Tunkel AR, McKhann GM, van de Beek D, Brain abscess, N Engl J Med 2014;371:447-456
- ↑ Barlas O, Sencer A, Erkan K, Eraksoy H, Sencer S, Bayindir C, Stereotactic surgery in the management of brain abscess, Surg Neurol, 1999;52:404-410
- ↑ Hayashi K, Matsuo T, Suyama K, Nagata I, Usefulness of ultrasonography with a burr-hole transducer during surgery through a burr hole, Neurol Med Chir (Tokyo), 2012;52:165-168
- ↑ Al Masalma M, Armougom F, Scheld WM et al. The expansion of the microbiological spectrum of brain abscesses with use of multiple 16S ribosomal DNA sequencing, Clin Infect Dis, 2009;48:1169-1178
- ↑ Helweg-Larsen J, Astradsson A, Richhall H, Erdal J, Laursen A, Brennum J, Pyogenic brain abscess, a 15 year survey, BMC Infect Dis, 2012;12:332-332
- ↑ Mamelak AN, Mampalam TJ, Obana WG, Rosenblum ML, Improved management of multiple brain abscesses: a combined surgical and medical approach, Neurosurgery, 1995;36:76-85
- Portail de la médecine