Acanthocytose

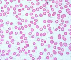
Acanthocytes, du sang périphérique, sous microscopie optique. Notez les cellules non circulaires de forme irrégulière dans l'image.
Acanthocytose chez un patient avec une A-bêta-lipoprotéinémie.

L'acanthocytose rend les globules rouges déformés, rigides et hérissés d'épines[1] (acanthos = épine en grec ancien).

Elle est due à l'accumulation d'une lipoprotéine mutée, entraînant un excès de cholestérol dans la membrane des hématies. Celles-ci sont alors détectées lors de leur passage dans la rate et sont détruites, ce qui provoque une anémie.

Il s'agit d'une anomalie constitutionnelle associée à un métabolisme anormal des lipides : les acides gras libres, hémolysants, se fixent en grande quantité sur la membrane érythrocytaire, ce qui transforme les globules rouges en acanthocytes. Ceci peut s'observer :

  • dans l'anémie hémolytique des brûlés, où une grande quantité d'acides gras non estérifiés est libérée par le tissu adipeux (l'hémolyse affecte ainsi même les globules rouges qui n'ont pas été eux-mêmes échauffés) ;
  • dans une affection héréditaire rare, l'absence congénitale de bêta-lipoprotéines, appelée syndrome de Bassen et Kornzweig;
  • dans le déficit congénital en pyruvate kinase.

On trouve également des acanthocytes dans des cas de cirrhose éthylique, après splénectomie ou dans des pathologies de malabsorption.

Notes et références

  1. (en) « Dictionnaire de l'Académie Nationale de Médecine », sur academie-medecine.fr (consulté le ).

Voir aussi

Articles connexes

  • icône décorative Portail de l’hématologie
  • icône décorative Portail de la médecine