Accident vasculaire cérébral
| Médicament | Pentoxifylline |
|---|---|
| Spécialité | Neurologie et neurochirurgie |
| CISP-2 | K90 |
|---|---|
| CIM-10 | I60 à I69 |
| CIM-9 | 430 à 438 |
| OMIM | 601367 |
| DiseasesDB | 2247 |
| MedlinePlus | 000726 |
| eMedicine |
1159752 emerg/558emerg/557pmr/187 |
| MeSH | D020521 |
| Patient UK | Cerebrovascular-events |
Mise en garde médicale
Un accident vasculaire cérébral (AVC), anciennement accident cérébrovasculaire (ACV) et populairement appelé attaque cérébrale, infarctus cérébral ou congestion cérébrale (AVC et ACV étant tous deux des terminologies acceptées), est un déficit neurologique soudain d'origine vasculaire causé par un infarctus ou une hémorragie au niveau du cerveau[1]. Le terme « accident » souligne l'aspect soudain ou brutal des symptômes, mais dans la plupart des cas les causes de cette affection sont internes (liées à l'âge, l'alimentation ou l'hygiène de vie, notamment).
Les manifestations varient beaucoup d'un cas à l'autre selon la nature de l'AVC (ischémique ou hémorragique), l'endroit et la taille de la lésion cérébrale : aucun signe remarquable, perte de la motricité, perte de la sensibilité, de l'équilibre, trouble du langage, perte de la vue, perte de connaissance, décès.
Les symptômes sont brutaux : ils apparaissent en quelques secondes. Ils peuvent disparaître assez rapidement ; s'ils disparaissent dans l'heure et qu'aucune lésion n'est observable avec l'imagerie cérébrale, on parle d'AIT[2], s'ils perdurent plus d'une heure et que la lésion est visible à l'imagerie (constituée), on parle d'AIC[3]. En cas de survie, le processus de récupération (encore mal compris) passe par une phase de récupération spontanée durant de quelques semaines à quelques mois, suivie d'une période d'évolution plus lente, de plusieurs années.
Dans les pays occidentaux — Europe, États-Unis, etc. — un individu sur 200 est atteint d'un accident vasculaire cérébral chaque année. En France en 2019, on dénombre chaque année plus de 140 000 nouveaux cas d’accidents vasculaires cérébraux, soit un toutes les quatre minutes selon l'INSERM[4]. 80 % de ces cas sont des ischémies et 20 % des hémorragies.
L'AVC est moins souvent mortel (passé de la deuxième à la troisième ou quatrième cause de décès dans la plupart des pays occidentaux)[5] grâce aux progrès de la médecine, mais il y est devenu la première cause de handicap physique de l'adulte, en raison d'un taux de survie amélioré, mais d'une récupération difficile des fonctions cérébrales lésées[6].
Autres définitions
Au Canada, il était appelé Accident cérébrovasculaire (ACV) mais le sigle AVC est actuellement employé.
L'apoplexie ou attaque d'apoplexie est un terme ancien et plus général, désignant en fait l'effet visible de l'accident vasculaire cérébral, incluant une perte de connaissance, avec arrêt partiel ou complet des fonctions cérébrales, ou une attaque provoquant la perte de conscience ou la mort soudaine du patient (apoplexie foudroyante). Dans certains ouvrages médicaux, l'appellation « ictus apoplectique » est utilisée[7].
Classification
L'accident vasculaire cérébral peut être classé selon sa durée :
- accident ischémique transitoire (AIT) avec retour en moins d'une heure à l'état normal, sans séquelles ni preuve d'infarctus à l'imagerie (Consensus ANAES, )[2] ;
- accident ischémique rapidement régressif : les AVC ischémiques dont les signes disparaissent en moins de cinq jours ;
- accident ischémique constitué (AIC), si les signes persistent au-delà de cinq jours.
Les AVC peuvent être classés selon leur cause[8] :
- l'infarctus ou ischémie cérébrale : résultant de l'obstruction d'un vaisseau sanguin (80 % de l'ensemble des AVC) ;
- l'hémorragie cérébrale : provoquant un saignement dans le cerveau (représentant 20 % des cas).
Ischémique
Les accidents ischémiques sont dus à l'occlusion d'une artère cérébrale ou à destination cérébrale (carotides internes ou vertébrales). Le cerveau est donc partiellement privé d'oxygène et de glucose. Cette occlusion entraîne un infarctus cérébral (appelé également ramollissement cérébral). Le mécanisme de cette occlusion est le plus souvent soit un athérome obstructif, soit un caillot (de formation locale ou par embolie, dans ce cas, le plus souvent d'origine cardiaque). L'embolie cérébrale représente environ 30 % des cas[9]. Cependant d'autres causes peuvent exister : déchirure de la paroi de l'artère (dissection), compression par une tumeur. Le déficit concerne un territoire bien défini du cerveau : il est dit systématisé.
Le ramollissement cérébral d'origine ischémique peut se compliquer secondairement d'un saignement au niveau de la lésion : il est alors question de ramollissement hémorragique. La thrombose veineuse cérébrale est une occlusion d'une veine cérébrale (et non pas d'une artère). Elle est beaucoup plus rare. La lacune cérébrale est une complication de l'hypertension artérielle et se caractérise par de multiples petites zones concernées par un infarctus cérébral.
Hémorragique
Les accidents hémorragiques sont causés par la rupture d'un vaisseau sanguin, souvent endommagé, ou en mauvais état à l'origine et soumis à une pression sanguine excessive. Ceci est particulièrement vrai lorsque l'hypertension artérielle est présente et en présence d'anomalie de la vascularisation du cerveau du type malformation artérioveineuse ou encore des anévrismes. Le tabagisme et l'alcoolisme sont des facteurs particulièrement fragilisants des vaisseaux sanguins.
Suivant la localisation du vaisseau, l'hémorragie peut être méningée par rupture d'un anévrisme artériel au sein des espaces sous-arachnoïdiens, intracérébral (dit aussi intraparenchymateux) et peut être associée à une inondation ventriculaire. L'hématome se forme rapidement, donnant des signes neurologiques focaux d'apparition brutale en rapport avec les structures détruites ou comprimées par la lésion. Par ailleurs il se constitue un œdème autour de l'hématome, qui aggrave la compression du cerveau dans la boîte crânienne, entraînant ou aggravant une hypertension intracrânienne (HTIC). L'hématome peut se rompre dans un ventricule cérébral.
Parfois lors d'accidents hémorragiques, il y a aussi une libération d'ions calcium qui induisent un vasospasme brutal à l'origine d'accidents ischémiques. L'hémorragie cérébrale représente environ 20 % des cas[9].
Physiopathologie
L'accident vasculaire cérébral est causé par une diminution voire un arrêt brutal du débit sanguin dans les branches du réseau vasculaire en liaison avec le vaisseau (en général une artère) subissant une rupture de sa paroi (cas d'une hémorragie cérébrale) ou un blocage partiel ou total par un caillot (cas d'un infarctus cérébral). Ainsi, les cellules nerveuses alimentées par ces branches sont privées soudainement d'oxygène et de sucres, ce qui provoque en quelques minutes leur détérioration ou leur mort. Chaque minute qui passe voit la destruction de deux millions de neurones[8] en moyenne.
Dans le cas hémorragique, la diminution est surtout due aussi à une compression des cellules nerveuses par l'hématome résultant du saignement. Les natures ischémique ou hémorragique étant différentes, il en découle que les causes sous-jacentes sont différentes ainsi que les traitements.
Pronostic
L'accident vasculaire cérébral reste une maladie grave, aux conséquences toujours dramatiques avec un risque de décès de 20 à 30 % au premier mois et la nécessité de placement en institution en raison du handicap chez plus de 10 % des survivants[10]. Le pronostic à moyen et à long terme dépend essentiellement du degré de l'atteinte[11]. Le risque vital se prolonge bien au-delà de la période aiguë puisque la mortalité à un an atteint près de 40 %[12].
Épidémiologie
Dans l'ensemble, ces statistiques sont valables pour les pays stables et développés. On recense parmi les personnes faisant un AVC, 80 % avec une origine ischémique et 20 % avec une origine hémorragique ( 15 % comme hématome intraparenchymateux, 5 % comme hémorragie méningée)[1]. L'accident vasculaire cérébral est la seconde cause de mortalité au niveau mondial (la première dans les pays en développement, la seconde dans les pays développés)[13] et la sixième cause, en termes d'années de handicap[14]. Dans le monde, 10,1 millions de personnes étaient victimes d'un AVC en 1990 et 4,7 millions en mourraient chaque année ; en 2010 les chiffres sont passés à 16,8 millions de victimes et 5,9 millions de morts ; les projections en 2030 donnent 23 millions d'AVC, 12 millions de morts et 200 millions de personnes avec des séquelles. 75 % des victimes ont plus de 65 ans et les hommes sont plus exposés que les femmes mais les AVC progressent chez les moins de 65 ans en raison des modes de vie (sédentarité, malnutrition, le facteur du stress est également évoqué)[8]. L’incidence des AVC passerait de 16 millions en 2005 à 23 millions en 2030 ; augmentant la mortalité de 5,7 à 12 millions durant la même période[15].
En France, les AVC sont la troisième cause de décès (après l'infarctus du myocarde et les cancers), responsables d'un décès par an pour 1 000 habitants[1],[3]. Chaque année, ils touchent 150 000 personnes, dont 25 % âgées de moins de 65 ans et font environ 30 000 décès[16].
Selon une étude publiée en 2018, la France serait le pays connaissant la plus faible mortalité liée aux AVC en Europe, avec une moyenne de 30 000 décès annuels pour 150 000 AVC[17].
L'accident vasculaire cérébral est la première cause de handicap acquis[1] et la seconde cause de démence[18]. 25 % des individus actifs frappés d'un AVC pourront un jour travailler à nouveau[1]. L'âge moyen de survenue est de 68 à 70 ans, mais un AVC peut se produire à tout âge[1] et les jeunes sujets (moins de 45 ans) constituent 10 % des infarctus cérébraux (AVC ischémique seulement)[1]. Ils représentent la majorité des causes d'hémiplégie (paralysie d'un côté) récente. 25 % des victimes d'AVC ont moins de 55 ans ; et après 55 ans, le taux d'incidence est multiplié par deux tous les dix ans[19].
Le coût correspond à plus de 4 % des dépenses de santé dans les pays développés[20].
Le taux de létalité (pourcentage de personnes atteintes d'un AVC qui décèdent quelque temps après) est évalué à[1] :
| Intervalle de temps depuis l'AVC | Taux de létalité |
|---|---|
| 1 mois | 15 % |
| 1 an | 25 % |
| 5 ans | 50 % |
Ces données ont été actualisées (Luego Fernandez R et al., 2013 ; Stroke).
Facteurs de risque

Les facteurs de risque sont classés en trois catégories[21] : majeurs, moyens et faibles ou discutés, en fonction de leur risque relatif (risque de faire un AVC si l'on possède le facteur de risque par rapport au risque en l'absence du facteur de risque) :
- Risques majeurs :
- niveau de pression artérielle (notamment l'hypertension artérielle)[22] ;
- fibrillation auriculaire[23] ;
- arythmie cardiaque ;
- alcoolisme chronique sévère (la prise modérée d'alcool pourrait être au contraire protectrice)[24] ;
- âge (augmentation de la rigidité vasculaire).
- Risques moyens :
- diabète ;
- sels
- hyperhomocystéinémie ;
- tabagisme ;
- œstroprogestatifs ;
- infections ;
- antécédents familiaux ;
- Anévrisme du septum interatrial
- Autres risques :
- hypercholestérolémie (et une nourriture malsaine avec des graisses nocives) ;
- obésité ;
- une tumeur au cerveau ;
- migraine avec aura ;
- traumatisme crânien ;
- foramen ovale perméable.
Un état dépressif semble être corrélé avec un risque plus important de survenue d'un accident vasculaire cérébral[25].
Une augmentation transitoire des niveaux de pollution de l'air (PM2.5, SO2, NO2, et CO) augmente le risque d'AVC ischémique, surtout chez les personnes âgées[26].
Certains facteurs peuvent être déclenchant : ainsi, un stress émotionnel ou un exercice physique intense peuvent être retrouvés peu avant l'accident[27].
Récidive
Différents biomarqueurs de récurrence d'AVC ont été proposés :
- le taux de copeptine sérique[28] ;
- une inflammation systémique, avec des marqueurs comme l'interleukine 6 (IL-6) ou l'CHI3L1 (en) (YKL-40) pouvant favoriser la coagulation ou des lésions endothéliales[29] ;
- le taux sanguin de lipoprotéine(a) (sauf si les taux de LDL-c et de marqueurs de l'inflammation restent bas)[30] ;
- les microhémorragies cérébrales[31] ;
- la leucoaraïose (LA) ou lésions de la substance blanche (LSB)[32].
Signes et symptômes
Symptômes après l'attaque cérébrale, pour la reconnaître
L'accident vasculaire cérébral (AVC) a un début brutal, rapide et focal (c'est-à-dire : spécifique d'une région cérébrale).
Le protocole « V.I.T.E. » de premiers secours permet de reconnaître l'accident vasculaire cérébral et souvent de demander une aide médicale.
Aussi, la Caisse nationale de l'assurance maladie aide les personnes à reconnaître un AVC par les signes suivants :
- un engourdissement, une faiblesse, une paralysie ou une déviation soudaine d'un côté du visage ;
- une déformation brusque de la bouche ;
- une faiblesse ou un engourdissement soudain d'un membre (bras ou jambe) ;
- une difficulté à parler ou à comprendre de façon soudaine[33].
On peut fréquemment aussi retrouver :
- perte soudaine de la vision d'un œil (amaurose), diplopie (vision double) ou vision trouble, due à des troubles de l'accommodation (cette vision troublée peut apparaître 12 heures avant l'AVC, pendant quelques minutes, puis disparaître), sensation d'éblouissement, (impossibilité d'ouvrir les yeux à la lumière), pupilles inégales et/ou non réactives à la lumière ; ou perte de la vision des couleurs (achromatopsie cérébrale)[34] ;
- maux de tête violents et intenses, sans prodromes (c'est-à-dire qu'aucun signe ne survient avant la crise) en cas d'AVC hémorragique.
Symptômes avant l'attaque cérébrale, pour la prévenir
Une caractéristique de l'AVC (accident vasculaire cérébral, attaque cérébrale, apoplexie cérébrale, embolie cérébrale, hémorragie cérébrale) est que cela peut se produire soudainement, brusquement, après avoir donné des symptômes antérieurs de faible intensité ou qui passaient inaperçus. Par conséquent, la prévention de l'AVC et les examens médicaux de leurs causes sont fondamentaux.
Il est remarquable que, dans les jours précédant un accident vasculaire cérébral (fréquemment une semaine)[35], il apparaît chez une proportion considérable de patients un « mal de tête sentinelle » : un mal de tête sévère et inhabituel. Son apparition nécessite une évaluation médicale.
Symptômes de l'attaque cérébrale en fonction du territoire cérébral atteint
La symptomatologie dépend de l'artère atteinte et de son territoire de vascularisation.
Autres diagnostics possibles
Ces signes peuvent avoir une autre cause, par exemple une tumeur au cerveau, une intoxication, un œdème cérébral ou un traumatisme crânien. Une des caractéristiques des AVC est que ces signes apparaissent de manière soudaine. Ils sont parfois négligés, minimisés lorsqu'ils sont brefs ; dans certains cas, on peut avoir l'impression que la personne est saoule. Dans les cas les plus graves, la victime perd conscience (coma). Quelle que soit la cause de ces signes (AVC ou autre), il s'agit d'une urgence vitale qui doit être traitée le plus rapidement possible. Il importe donc d'avoir une prise en charge médicale immédiate lorsqu'un de ces signes survient, en appelant les urgences médicales. Tout retard dans le traitement peut conduire à des séquelles importantes (paralysie) voire au décès.
Examens de diagnostic médical avancé complémentaires
Ils ont un double but :
- confirmer le diagnostic d'accident vasculaire cérébral tout en visualisant son mécanisme (ischémique ou hémorragique) ;
- rechercher une cause à l'accident.
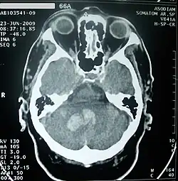
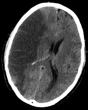
Imagerie cérébrale
Elle permet de voir l'accident vasculaire, de le dater en partie, d'en connaître le mécanisme, d'éliminer d'autres maladies pouvant être responsable de l'accident déficitaire.
Le scanner crânien est fait, sauf contre-indication, avec injection d'un produit de contraste iodé. Si l'accident est ischémique, il permet de visualiser la topographie, l'étendue et le nombre de lésions. S'il est hémorragique, il en fait le diagnostic.
L'imagerie par résonance magnétique crânienne, faite également après injection d'un produit de contraste, donne le même type de renseignements mais est plus sensible si l'accident est très récent. Elle peut être complétée dans la même séance par une angio-IRM permettant de visualiser les grands axes vasculaires extra et intracrâniens.
Autres
En cas d'accident ischémique, plusieurs examens sont faits à la recherche d'une cause :
- L'échographie doppler des vaisseaux du cou permet de visualiser un rétrécissement sur ces derniers, de le quantifier, d'en apprécier le caractère menaçant ou non.
- L'échocardiographie recherche une cause cardiaque à un embol cérébral (« cardiopathie emboligène »). Le thrombus (ou caillot) n'est que très rarement directement visualisé et c'est surtout un terrain favorisant la formation de celui-ci qui est recherché : présence d'une atteinte de la valve mitrale, dilatation de l'atrium gauche, séquelle d'un infarctus du myocarde ou encore présence d'un foramen ovale perméable responsable d'une embolie paradoxale. L'examen peut être complété par une échographie transœsophagienne.
- L'électrocardiographie recherche une séquelle d'infarctus du myocarde. Elle permet de diagnostiquer une fibrillation atriale permanente pouvant être responsable d'une embolie. Le holter cardiaque recherche une forme paroxystique de cette arythmie.
Chez le sujet jeune, sans cause évidente, la recherche d'une thrombophilie (état hypercoagulable du sang d'origine congénitale ou acquise) peut être faite.
Premiers secours
Un accident vasculaire cérébral (un AVC, attaque cérébrale, apoplexie cérébrale, embolie cérébrale, hémorragie cérébrale, ACV, congestion cérébrale) peut être reconnu lorsqu'il se produit, pour réagir rapidement et correctement[36],[37],[38], en utilisant le protocole « VITE ».
Tout ce protocole est résumé (approximativement) sur comment reconnaître rapidement cette maladie et appeler sans tarder les services médicaux d'urgence (il y a une liste avec les numéros de téléphone d'urgence de différents pays en cliquant ici).
En détail, l'acronyme de ce protocole se réfère à :
- « V »isage : Dans certains cas, une partie du visage, généralement d'un seul côté, est fixé en une grimace ou est difficile à déplacer.
- « I »ncapacité : Une partie du corps, normalement un bras ou une jambe, peut avoir une incapacité à bouger ou à la sensibilité. Ou il peut y avoir une incapacité à rester en équilibre pendant la marche ou à se tenir (le vertige peut apparaître). Ou peut être une incapacité du sens de la vue ou d'autre sens perceptuel.
- « T »rouble de la parole : La conversation peut être détériorée.
- « E »xtrême urgence : Appeler les services médicaux d'urgence pour informer de l'accident vasculaire cérébral et demander une aide professionnelle dès que possible (il y a une liste avec les numéros de téléphone d'urgence de différents pays en cliquant ici). Pour déplacer le patient vers un centre médical, la méthode la plus rapide et la plus sûre est dans une ambulance (ou dans un hélicoptère, s'il y a quelqu'un disponible pour ça), accompagnée d'une équipe de spécialistes de la santé[39], sauf impossibilité (par exemple : si le voyage est sous des phénomènes climatiques dangereux ou vers un endroit très éloigné). Pendant le transfert, il serait recommandable, au moins, que le patient soit accompagné de quelqu'un capable d'effectuer des premiers secours.
- En plus : le mal de tête peut apparaître, parfois accompagné de nausées. Les AVC peuvent aussi se traduire par un état de confusion mentale, ou, beaucoup plus rarement, par une crise convulsive apparemment isolée.
Après avoir découvert l'accident vasculaire cérébral, le patient doit rester assis ou allongé avec une tête haute, calmement, sans faire des efforts et sans violence, jusqu'à ce qu'il reçoive un traitement médical professionnel. Les quatre premières heures sont cruciales, et donc la participation du personnel médical est attendue pendant cette période.
Si le patient cesse de respirer, ou son cœur cesse de battre, cela nécessiterait une réanimation cardiopulmonaire rapidement.
Utilisation de l'aspirine et d'autres médicaments dans les premiers secours de l’attaque cérébrale :
- Les patients à qui le médecin a prescrit un médicament approprié pourraient s'améliorer s'ils prennent leur dose alors. Cependant, il doit être considéré ce qui suit : les anticoagulants, qui fluidifient le sang (comme l'énoxaparine, l'apixaban, le dabigatran, le coumaphène ou warfarine), ou les antiagrégants plaquettaires comme le clopidogrel ou l'aspirine, sont utiles pour la prise en charge des accidents vasculaires cérébraux de type ischémique (dans lesquels un vaisseau sanguin est obstrué par un thrombus, comme en un infarctus du cœur), mais elles pouvaient nocives pour les accidents vasculaires cérébraux de type hémorragique (dans lesquels il y a une perte de sang d'un vaisseau sanguin).
L'aspirine a également un effet inhibiteur des caillots et, par conséquent, comme dans les cas d'infarctus, il pourrait être utile de donner un comprimé d'aspirine à la victime d'un accident vasculaire cérébral de type ischémique (dans lequel un vaisseau sanguin est obstrué par un thrombus, comme dans les cas d'infarctus du cœur), si elle n'a pas d'incompatibilités avec l'aspirine (par exemple : allergie à l'aspirine). La dose d'aspirine considérée comme déjà valable pour son effet antithrombotique est de 162 à 325 mg[40][source insuffisante]). - Après avoir utilisé des médicaments, il serait nécessaire de le communiquer aux professionnels de la santé qui assistent au patient.
Traitements
Une hospitalisation est nécessaire, idéalement en milieu spécialisé (« Unités de soins intensifs neurologiques » ou Unités Neuro-Vasculaires dont des expériences pilotes dès les années 1950 ont finalement montré dans les années 1980 grâce à des essais thérapeutiques randomisés, des bénéfices réels par rapport à une prise en charge conventionnelle avec un risque de mortalité et de séquelles réduit de 20 % chacun[41]).
L'oxygénation par masque facial dès le transport en ambulance permettrait de réduire les lésions cérébrales[42].
En aigu
Les médicaments thrombolytiques comme l'altéplase, l'urokinase et la streptokinase (ils permettent la dissolution d'un caillot par thrombolyse ou fibrinolyse par voie intraveineuse[43]) sont utilisés en cas d'accident vasculaire cérébral d'origine ischémique qui doit être pris en charge idéalement dans les 90 minutes et au maximum moins de 4 h 30 min après les premiers symptômes (notion de « fenêtre d'opportunité thérapeutique ») selon les recommandations des sociétés savantes neurovasculaires[41]. Le traitement permet une récupération complète plus fréquente et diminue la mortalité (augmentation de 30 % de patients guéris ou avec des séquelles minimes)[44]. Cependant, étant donné ses effets indésirables potentiels (notamment les hémorragies intracrâniennes), la marge de manœuvre entre les bénéfices de ce traitement et ses risques est très étroite. De plus, le faible délai disponible nécessite une prise en charge spéciale (avec entre autres un neurologue d'astreinte 24h/24 et la possibilité de réaliser une imagerie cérébrale, scanner ou IRM, en urgence pour éliminer un accident hémorragique) (recommandations selon l'échelle de l'AVC du NIH[45]). Dans ce but, plusieurs pays ont développé des « unités mobiles » de prise en charge, comportant une camionnette avec un appareil de scanner et permettant de débuter la fibrinolyse au plus près du domicile, permettant ainsi un meilleur pronostic neurologique[46].
Dans les cas où l'imagerie démontre une viabilité du tissu cérébral, il peut exister un intérêt à une fibrinolyse tardive, jusqu'à neuf heures après le début des symptômes[47]. La thrombectomie, lorsqu'elle est possible (visualisation d'un thrombus dans un vaisseau à destinée cérébrale) peut constituer une alternative à la fibrinolyse[48] ou compléter cette dernière[49]. Le délai avant thrombectomie a pu être augmenté sur certains patients jusqu'à 24 heures après l'AVC[50],[51],[52], surtout dans les accidents de grande taille[53].
Des traitements endovasculaires complémentaires (injection directe du fibrinolytique au niveau du caillot ou dispositifs de retrait de ce dernier) permettent d'avoir un taux de reperfusion meilleur mais sans bénéfice prouvé pour le patient, probablement en raison du délai plus important imposé par la mise en route de ce type d'intervention[54],[55].
Après un bilan hospitalier, le traitement se confond avec celui de la cause. En aigu, on propose :
- un traitement par anticoagulants en cas de cardiopathie emboligène. Ce traitement doit être discuté si l'accident est important du fait du risque majoré de survenue d'une hémorragie secondaire (Ramollissement hémorragique) ;
- un traitement par médicaments antiagrégants plaquettaires en cas d'ischémie (le plus souvent de l'aspirine à petites doses, donné au long cours, associé à un deuxième antiagrégant pendant un mois[56]) ;
- un traitement antihypertenseur. Il doit permettre cependant de maintenir une pression artérielle minimale afin d'assurer une perfusion optimale du cerveau. On ne traite progressivement, que des chiffres très élevés au-delà de :
- TA > 140/90 mmHg si hémorragie intra parenchymateuse,
- TA > 220/120 mmHg si infarctus cérébral,
- TA > 185/110 mmHg si thrombolyse ou thrombectomie endovasculaire après infarctus cérébral ;
- un traitement neurochirurgical dans les cas particuliers, rares, d'hémorragie cérébrale, d'infarctus cérébelleux et d'infarctus hémisphérique malin.
La cérébrolysine est un mélange qui aurait un potentiel protecteur et nourricier pour le cerveau[57]. Elle est essentiellement utilisée en Russie, Chine, Europe de l'Est et dans des pays post-soviétiques dans le traitement de l'AVC ischémique aiguë[57], mais son efficacité n'est pas démontrée d'après une synthèse publiée en 2020 par la collaboration Cochrane[58]. En 2021, l'Académie européenne de neurologie et la Fédération européenne des sociétés de neuroréhabilitation publient des recommandations sur le soutien pharmacologique en rééducation motrice précoce après un AVC ischémique aigu qui conseillent la cérébrolysine et le citalopram[59],[60].
À distance de l'épisode
Dans tous les cas, un régime plus équilibré[61] ainsi que l'exercice physique[62] permettent de réduire le risque de récidive. Une supplémentation en oméga 3 et en acide folique peut être utile[63].
Le dépistage et la prise en charge des facteurs de risque cardiovasculaire sont impératifs dans la prévention primaire ou secondaire. Le traitement d'une hypertension artérielle s'avère être le point le plus important[64]. Certains médicaments antihypertenseurs, comme le périndopril, ont prouvé une diminution significative du risque de récidive[65]. L'arrêt du tabac, l'équilibration d'un diabète ou d'une hypercholestérolémie par le régime ou par des médicaments, sont également nécessaires en prévention secondaire. Toutefois, la prise en charge d'un diabète semble plus efficace sur la réduction des accidents cardiaques que sur la récidive d'un accident vasculaire cérébral[66]. La mise sous statines réduit le risque d'accident cardiaque mais pas celui de la récidive d'accident vasculaire cérébral[67].
L'aspirine, à petites doses, réduit de près d'un cinquième le risque de survenue d'un nouvel accident[68]. Le dipyridamole (en association avec l'aspirine) et le clopidogrel[69] ont également prouvé une certaine efficacité. La prise d'un antidépresseur de la classe des IRS, du type fluoxetine (Prozac), pourrait apporter une récupération plus rapide et intense[70],[71]
En cas de fibrillation atriale, la prescription de médicaments anticoagulants de type antagoniste de la vitamine K[réf. nécessaire] reste indispensable. En plus du dépistage de complications neurologiques (notamment l'œdème cérébral), sont recherchées des infections possibles (poumon, rein).
À distance de l'épisode aigu, doit être discutée une chirurgie carotidienne s'il existe une sténose carotidienne (endartériectomie).
La rééducation après un AVC fait partie intégrante du traitement : selon les cas, kinésithérapie, ergothérapie, orthophonie, régime alimentaire, activités physiques adaptées.
Cette prise en charge des patients peut se faire par le biais de serious games. Ces jeux thérapeutiques visent à rééduquer le patient de manière plus ludique et motivante que les séances classiques, tout en effectuant les mêmes mouvements[72] :
- le jeu Voracy Fish (trophée e-santé en 2013[73]) est dédié aux patients victimes d’un AVC. Ce jeu permet la rééducation fonctionnelle des membres supérieurs. Le joueur est plongé dans un univers marin et dirige un poisson vorace via son bras et sa main ;
- Kinapsys, lauréat du prix Rééduca Innov 2014, propose différents modes de rééducation au travers de mini-jeux. Certains de ces jeux sont dédiés à la rééducation neuromotrice des membres inférieurs et supérieurs ainsi qu'à la posture. Ils sont utilisés en complément à la rééducation par les kinésithérapeutes[74],[75] ;
- « Hammer and Planks »[76] est quant à lui un serious game utilisé en ergothérapie. Il permet la rééducation de l’équilibre pour les patients hémiplégiques. L’objectif du jeu est de guider un bateau avec son propre corps par des mouvements de droite à gauche et d’avant en arrière.
L'accompagnement médico-social en cas de séquelles est également une part importante du projet de vie après un accident vasculaire cérébral[77].
En cas de déficit peu important à modéré, une technique de rééducation très utilisée dans les pays anglo-saxons semble être particulièrement adaptée : la thérapie par contrainte induite[78],[79].
Prospective, recherche médicale
- Un espoir est de pouvoir prochainement utiliser des cellules stromales mésenchymateuses (CSM), qui sont des cellules souches multipotentes, combinées à d'autres traitement pour diminuer les séquelles de l'accident vasculaire cérébral ischémique (non-hémorragique)[80],[81].
- Le venin de l'araignée australienne Hadronyche infensa est également source d'espoir[82],[83].
- Une augmentation de l'acide glutamique, de l'acide aspartique et de l'acide gamma-aminobutyrique et une diminution de la glycine dans le plasma sont associées à des effets indésirables après un AVC ischémique, ce qui suggère que les neurotransmetteurs plasmatiques des acides aminés pourraient être des cibles d'intervention potentielles pour améliorer le pronostic de l'AVC ischémique[84].
Atteintes neurologiques : répercussions cognitivo-comportementales
Les répercussions neurologiques et cognitivo-comportementales d'un accident vasculaire cérébral ont une corrélation anatomoclinique très fréquente et observable de manière diverse. Dans les AVC de types ischémiques ( 80 % des AVC), on estime que les troubles persistants pendant plus de six mois deviendront définitifs et irréversibles alors que dans les AVC de type hémorragique ( 20 %) (OMS) une amélioration reste plausible même plusieurs mois, voire plusieurs années après l'atteinte cérébrale.
Notes et références
- 1 2 3 4 5 6 7 8 Joseph Emmerich, Maladies des vaisseaux, Paris, Doin, coll. « Inter méd », , 379 p. (ISBN 2-7040-0863-9, ISSN 1288-8303, BNF 36989534, SUDOC 004459024).
- 1 2 L'AIT était autrefois défini par des symptômes totalement régressifs en moins de 24 h, une définition nouvelle proposée en 2004 se base sur un délai de moins de 60 min ; Source : Prise en charge diagnostique et traitement immédiat de l’accident ischémique transitoire de l’adulte ; Consensus ANAES | publié mai 2004
- 1 2 « Hémiplégies (attaques cérébrales) »(Archive.org • Wikiwix • Archive.is • Google • Que faire ?) (consulté le )
- ↑ « Accident vasculaire cérébral (AVC) », sur Inserm - La science pour la santé (consulté le ).
- ↑ « OMS | Principales causes de mortalité dans le monde »(Archive.org • Wikiwix • Archive.is • Google • Que faire ?), sur www.who.int (consulté le ).
- ↑ « After watching this, your brain will not be the same | Lara Boyd | TEDxVancouver » (consulté le ).
- ↑ Neurologie : Manuel et atlas, G. David Perkin, 2002 (ISBN 978-2-7445-0044-2).
- 1 2 3 « Contre l’AVC, chaque minute compte »(Archive.org • Wikiwix • Archive.is • Google • Que faire ?), sur www.dna.fr Dernières Nouvelles d'Alsace, .
- 1 2 Passeport Santé, « AVC (Accident Vasculaire Cérébral) - Prévenir, Guérir, Soulager », sur passeportsante.net (consulté le ).
- ↑ (en) Rodgers H, Thomson R, « Functional status and long term outcome of stroke », BMJ, vol. 336, no 7640, , p. 337-8. (PMID 18230643, PMCID PMC2244733, DOI 10.1136/bmj.39456.470880.80)
- ↑ (en) Bruins Slot K, Berge E, Dorman P, Lewis S, Dennis M, Oxfordshire Community Stroke Project, the International Stroke Trial (UK); Lothian Stroke Register et al., « Impact of functional status at six months on long term survival in patients with ischaemic stroke: prospective cohort studies », BMJ, vol. 336, no 7640, , p. 376-9. (PMID 18230644, PMCID PMC2244762, DOI 10.1136/bmj.39456.688333.BE, résumé)
- ↑ (en) Hankey GJ, Jamrozik K, Broadhurst RJ, Stewart-Wynne EG et al., « Five-year survival after first-ever stroke and related prognostic factors in the Perth Community Stroke Study », Stroke, vol. 31, no 9, , p. 2080–6. (PMID 10978033, DOI 10.1161/01.str.31.9.2080, résumé)
- ↑ (en) Murray CJ, Lopez AD, « Mortality by cause for eight regions of the world: Global Burden of Disease Study, Lancet, 1997;349:1269-1276. »
- ↑ (en) Murray CJ, Lopez AD, « Global mortality, disability, and the contribution of risk factors: Global Burden of Disease Study Lancet 1997;349:1436-1442. »
- ↑ (en) Kathleen Strong CM, Ruth Bonita, « Preventing stroke: saving lives auround the world », Lancet Neurol, vol. 6, , p. 182-87
- ↑ Catherine Cordonnier, « 1 AVC toutes les 4 minutes en France », sur topsante.com, .
- ↑ « On meurt moins d'AVC en France », sur OuestFrance.
- ↑ « Diagnostic des démences vasculaires, S. Bombois, H. Hénon, D. Leys, F. Pasquier, 2004 ».
- ↑ Floriane Louison, « Est-il courant de mourir d'un AVC à 40 ans ? », sur francetvinfo.fr, .
- ↑ (en) Donnan GA, Fisher M, Macleod M, Davis SM, « Stroke, Lancet, 2008;371:1612-1623. »
- ↑ A. Bertrand, S Epelbaum, Neurologie, éditions Masson, coll. « Cahier des ECN », 2009.
- ↑ Chaque fois que la pression artérielle systolique augmente de 20 mmHg, on double le risque d'AVC.
- ↑ Cette maladie touche 10 % des patients à partir de 80 ans.
- ↑ (en) Zhang C, Qin YY, Chen Q et al. Alcohol intake and risk of stroke: a dose response meta-analysis of prospective studies, Int J Cardiol, 2014;174:669–677
- ↑ (en) Pan A, Sun Q, Okereke OI et al. Depression and risk of stroke morbidity and mortality, a meta-analysis and systematic review, JAMA, 2011;306:1241-9.
- ↑ (en) Tian, Y., Liu, H., Zhao, Z., Xiang, X., Li, M., Juan, J., ... & Wei, C. (2018). Association between ambient air pollution and daily hospital admissions for ischemic stroke: A nationwide time-series analysis. PLoS medicine, 15(10), e1002668.
- ↑ (en) Smyth A, O’Donnell M, Hankey GJ et al. Anger or emotional upset and heavy physical exertion as triggers of stroke: the INTERSTROKE study, Eur Heart J, 2022;43:202–209
- ↑ (en) Wan-Zhong Tang, Xiao-Bo Wang, Huan-Ting Li et Mei Dong, « Serum Copeptin Predicts Severity and Recurrent Stroke in Ischemic Stroke Patients », Neurotoxicity Research, vol. 32, no 3, , p. 420–425 (ISSN 1476-3524, DOI 10.1007/s12640-017-9754-5, lire en ligne, consulté le )
- ↑ Jiejie Li, Jinxi Lin, Yuesong Pan et Mengxing Wang, « Interleukin-6 and YKL-40 predicted recurrent stroke after ischemic stroke or TIA: analysis of 6 inflammation biomarkers in a prospective cohort study », Journal of Neuroinflammation, vol. 19, no 1, , p. 131 (ISSN 1742-2094, PMID 35761288, PMCID 9235241, DOI 10.1186/s12974-022-02467-1, lire en ligne, consulté le )
- ↑ Jie Xu, Xiwa Hao, Rui Zhan et Xue Jiang, « Effect of Lipoprotein(a) on Stroke Recurrence Attenuates at Low LDL-C (Low-Density Lipoprotein) and Inflammation Levels », Stroke, vol. 53, no 8, , p. 2504–2511 (DOI 10.1161/STROKEAHA.121.034924, lire en ligne, consulté le )
- ↑ (en) Sousanidou A., Tsiptsios D., Christidi F., Karatzetzou S., Kokkotis C., Gkantzios A., Bairaktaris C., Karapepera V., Bebeletsi P., Karagiannakidou I., et al., « Exploring the Impact of Cerebral Microbleeds on Stroke Management », Neurol. Int., vol. 15, , p. 188–224 (DOI 10.3390/neurolint15010014, lire en ligne
) - ↑ Theofanis Dimaras, Ermis Merkouris, Dimitrios Tsiptsios et Foteini Christidi, « Leukoaraiosis as a Promising Biomarker of Stroke Recurrence among Stroke Survivors: A Systematic Review », Neurology International, vol. 15, no 3, , p. 994–1013 (ISSN 2035-8385, PMID 37606397, PMCID 10443317, DOI 10.3390/neurolint15030064, lire en ligne, consulté le )
- ↑ « AVC : que faire ? », sur www.ameli.fr (consulté le ).
- ↑ C. Duvelleroy-Hommet, P. Gillet, J.-P. Cottier, B. De Toffol, D. Saudeau, P. Corcia et A. Autret, « Achromatopsie cérébrale sans prosopagnosie ni alexie ni agnosie des objets », Revue neurologique, Congrès Société Française de Neuropathologie, vol. 153, no 10, , p. 609-613
- ↑ (en) Elena R. Lebedeva, Anton V. Ushenin, Natalia M. Gurary et Denis V. Gilev, « Diagnostic criteria for acute headache attributed to ischemic stroke and for sentinel headache before ischemic stroke », The Journal of Headache and Pain, no 1, (ISSN 1129-2377, PMID 35057731, PMCID PMC8903596, DOI 10.1186/s10194-021-01372-x, lire en ligne, consulté le )
- ↑ (en) « About Stroke | American Stroke Association », sur web.archive.org, (consulté le )
- ↑ Jo Harbison, Anna Massey, Lee Barnett et David Hodge, « Rapid ambulance protocol for acute stroke », The Lancet, vol. 353, no 9168, , p. 1935 (ISSN 0140-6736, DOI 10.1016/s0140-6736(99)00966-6, lire en ligne, consulté le )
- ↑ « Aidez-nous à répandre la nouvelle campagne VITE sur les signes de l’AVC - - Fondation des maladies du coeur et de l'AVC - QC », sur web.archive.org, (consulté le )
- ↑ (en) Peter T Pons et Vincent J Markovchick, « Ambulance response time guideline », The Journal of Emergency Medicine, no 1, , p. 43–48 (ISSN 0736-4679, DOI 10.1016/s0736-4679(02)00460-2, lire en ligne, consulté le )
- ↑ « Management of Patients With ST-Elevation Myocardial Infarction - Table Of Contents », sur web.archive.org, (consulté le )
- 1 2
: Professeur Jean-Louis Mas, émission Avec ou sans rendez-vous sur « Les accidents vasculaires cérébraux », France Culture, . - ↑ (en) Ejaz S, Emmrich JV, Sitnikov SL et al. Normobaric hyperoxia markedly reduces brain damage and sensorimotor deficits following brief focal ischaemia ], Brain, 2016
- ↑ Des recherches portent sur d'autres médicaments thrombolytiques, sur la combinaison de la thrombolyse par voie intraveineuse et artérielle, la thrombectomie, la neuroprotection…
- ↑ (en) Wardlaw JM, del Zoppo G, Yamaguchi T, Berge E. « Thrombolysis for acute ischaemic stroke » Cochrane Database Syst Rev 2003;(3):CD000213
- ↑ (en) P. Lyden et coll, « Improved reliability of NIH stroke scale using », Stroke, vol. 25, , p. 2220-2226
- ↑ (en) Grotta JC, Yamal JM, Parker SA et al. Prospective, multicenter, controlled trial of mobile stroke units, N Engl J Med, 2021;385:971-981
- ↑ (en) Ma H, Campbell BCV, Parsons MW et al. Thrombolysis guided by perfusion imaging up to 9 hours after onset of stroke, N Engl J Med, 2019;380:1795-1803
- ↑ (en) Goyal M, Menon BK, van Zwam WH et al. Endovascular thrombectomy after large-vessel ischaemic stroke: a meta-analysis of individual patient data from five randomised trials, Lancet, 2016;387:1723–1731
- ↑ Brogueira Rodrigues F, Briosa Neves J, Caldeira D, Ferro JM, Ferreira JJ, Costa J, Endovascular treatment versus medical care alone for ischaemic stroke: systematic review and meta-analysis, BMJ, 2016;353:i1754
- ↑ (en) Raul G. Nogueira, Ashutosh P. Jadhav, Diogo C. Haussen et Alain Bonafe, « Thrombectomy 6 to 24 Hours after Stroke with a Mismatch between Deficit and Infarct », New England Journal of Medicine, (DOI 10.1056/NEJMoa1706442, lire en ligne, consulté le )
- ↑ (en) Gregory W. Albers, Michael P. Marks, Stephanie Kemp et Soren Christensen, « Thrombectomy for Stroke at 6 to 16 Hours with Selection by Perfusion Imaging », New England Journal of Medicine, (PMID 29364767, PMCID PMC6590673, DOI 10.1056/NEJMoa1713973, lire en ligne, consulté le )
- ↑ Science-et-vie.com, « Certains AVC peuvent être soignés jusqu'à 24 heures après leur... - Science & Vie », sur www.science-et-vie.com, (consulté le ).
- ↑ (en) Sarraj A, Hassan AE, Abraham MG et al. Trial of endovascular thrombectomy for large ischemic strokes, N Engl J Med 2023;388:1259-1271
- ↑ (en) Chimowitz MI, endovascular treatment for acute ischemic stroke — Still unproven, N Engl J Med, 2013;368:952-955
- ↑ (en) Huo X, Ma G, Tong X et al. Trial of endovascular therapy for acute ischemic stroke with large infarct, N Engl J Med, 2023;388:1272-1283
- ↑ (en) Trifan G, Gorelick PB, Testai FD, Efficacy and safety of using dual versus monotherapy antiplatelet agents in secondary stroke prevention: Systematic review and meta-analysis of randomized controlled clinical trials, Circulation, 2021;143:2441–2453
- 1 2 (en) Liliya Eugenevna Ziganshina, Tatyana Abakumova et Ludivine Vernay, « Cerebrolysin for acute ischaemic stroke », Cochrane Database of Systematic Reviews, (DOI 10.1002/14651858.CD007026.pub5, lire en ligne, consulté le )
- ↑ (en) Liliya Eugenevna Ziganshina, Tatyana Abakumova et Charles HV Hoyle, « Cerebrolysin for acute ischaemic stroke », Cochrane Database of Systematic Reviews, vol. 2020, no 9, (PMID 32662068, PMCID PMC7387239, DOI 10.1002/14651858.CD007026.pub6, lire en ligne, consulté le )
- ↑ Ettore Beghi, Heinrich Binder, Codruta Birle et Natan Bornstein, « European Academy of Neurology and European Federation of Neurorehabilitation Societies guideline on pharmacological support in early motor rehabilitation after acute ischaemic stroke », European Journal of Neurology, vol. 28, no 9, , p. 2831–2845 (ISSN 1468-1331, PMID 34152062, DOI 10.1111/ene.14936, lire en ligne, consulté le )
- ↑ Dafin Muresanu et Dragos Cretoiu, « New evidence for the pharmacological intervention promoting neurorecovery after stroke: results from the joint EAN-EFNR guidelines », Journal of Medicine and Life, vol. 14, no 3, , p. 295–297 (ISSN 1844-3117, PMID 34377193, PMCID 8321620, DOI 10.25122/jml-2021-1003, lire en ligne, consulté le )
- ↑ (en) Dehghan M, Mente A, Teo KK et al. Relationship between healthy diet and risk of cardiovascular disease among patients on drug therapies for secondary prevention: a prospective cohort study of 31 546 high-risk individuals from 40 countries, Circulation, 2012;126:2705-2712
- ↑ (en) Willey JZ, Moon YP, Paik MC, Boden-Albala B, Sacco RL, Elkind MS, Physical activity and risk of ischemic stroke in the Northern Manhattan Study, Neurology, 2009;73:1774-1779
- ↑ (en) Khan SU, Khan MU, Riaz H et al. Effects of Nutritional supplements and dietary interventions on cardiovascular outcomes: an umbrella review and evidence map, Ann Intern Med, 2019;171:190-198
- ↑ (en) Diener HC, Hankey GJ, Primary and secondary prevention of ischemic stroke and cerebral hemorrhage: JACC focus seminar, JACC, 2020;78:1804-1818
- ↑ (en)Progress Collaborative Group, « Randomised trial of a perindopril-based blood pressure lowering regimen among 6105 individuals with previous stroke or transient ischaemic attack » Lancet 2001;358:1033–1041
- ↑ (en) Fang HJ, Zhou YH, Tian YJ, Du HY, Sun YX, Zhong LY, Effects of intensive glucose lowering in treatment of type 2 diabetes mellitus on cardiovascular outcomes: a meta-analysis of data from 58,160 patients in 13 randomized controlled trials, Int J Cardiol, 2016;218:50-58
- ↑ (en) Manktelow BN, Potter JF. Interventions in the management of serum lipids for preventing stroke recurrence, Cochrane Database Syst Rev, 2009;CD002091
- ↑ (en) Baigent C, Sudlow C, Collins R, Peto R, « Collaborative meta-analysis of randomised trials of antiplatelet therapy for prevention of death, myocardial infarction, and stroke in high risk patients. Antithrombotic Trialists' Collaboration » BMJ 2002;324:71-86
- ↑ (en)Caprie Steering Committee, « A randomised, blinded, trial of clopidogrel versus aspirin in patients at risk of ischaemic events (CAPRIE) » Lancet 1996;348:1329-1339
- ↑ Anne Jeanblanc. « Le Prozac au chevet des victimes d'AVC » Le Point.fr - Publié le .
- ↑ Chollet et al. « Fluoxetine for motor recovery after acute ischaemic stroke (FLAME): a randomised placebo-controlled trial » The Lancet Neurology 2011;10(2):123-30.
- ↑ (en) Di Loreto I, Abdelkader G. & Hocine N. « Mixed reality serious games for post-stroke rehabilitation » Pervasive Computing Technologies for Healthcare (PervasiveHealth), 2011 5th International Conference on (p. 530-537). IEEE.
- ↑ « Trophées de la E-Santé »(Archive.org • Wikiwix • Archive.is • Google • Que faire ?), sur www.universite-esante.com.
- ↑ Lucas Colin, « Votre futur kiné est virtuel : La Santé près de chez vous - Rodez (12) - Santé », LaDepeche.fr, (lire en ligne)
- ↑ « Serious games et rééducation », sur videos.doctissimo.fr.
- ↑ le site du développeur du serious game : http://naturalpad.fr/produits/hammer-and-planks/
- ↑ Site Bas-Normand sur l'AVC.
- ↑ (en) Steven L. Wolf, Carolee J. Winstein, J. Philip Miller et al. « Effect of Constraint-Induced Movement Therapy on Upper Extremity Function 3 to 9Months After Stroke: The EXCITE Randomized Clinical Trial » JAMA 2006;296(17):2095-2104.
- ↑ (en) Steven L. Wolf, Carolee J. Winstein, J Phillip Miller, Paul A. Thompson et al. « The EXCITE Trial : Retention of Improved Upper Extremity Function Among Stroke Survivors Receiving Constraint Induced Movement Therapy » Lancet Neurol. 2008;7(1):33-40.
- ↑ Gruel R (2019) Étude des mécanismes sous-tendant la récupération fonctionnelle post-AVC associée à la transplantation différée de cellules hADSC exprimant le neuropeptide PACAP (Doctoral dissertation, Normandie). (résumé)
- ↑ Huanjia Huang, Jian Zhang, Jinmei Lin et Shengliang Shi, « Efficacy and safety of mesenchymal stem cells in patients with acute ischemic stroke: a meta-analysis », BMC neurology, vol. 24, no 1, , p. 48 (ISSN 1471-2377, PMID 38287288, PMCID PMC10823675, DOI 10.1186/s12883-024-03542-1, lire en ligne, consulté le )
- ↑ « Neurones : un venin d'araignée peut empêcher leur mort après un AVC », sur Allo docteurs, (consulté le ).
- ↑ (en) Chassagnon IR, McCarthy CA, Chin YK et al., « Potent neuroprotection after stroke afforded by a double-knot spider-venom peptide that inhibits acid-sensing ion channel 1a », Prc Natl Acad Sci U S A., vol. 114, no 14, , p. 3750-5. (PMID 28320941, PMCID PMC5389327, DOI 10.1073/pnas.1614728114)
- ↑ (en) Zhengbao Zhu, Pinni Yang, Yiming Jia et Yinan Wang, « Plasma Amino Acid Neurotransmitters and Ischemic Stroke Prognosis: A Multicenter Prospective Study », The American Journal of Clinical Nutrition, vol. 118, no 4, , p. 754–762 (DOI 10.1016/j.ajcnut.2023.06.014, lire en ligne, consulté le )
Voir aussi
Articles connexes
Liens externes
- Ressources relatives à la santé :
- Ressource relative à la recherche :
- Notices dans des dictionnaires ou encyclopédies généralistes :
- (fr) Haute Autorité de Santé (HAS), recommandations et parcours de soin
- (en) Action plan by the European Stroke Organisation
- (fr) Institut du Cerveau : Recherche sur l'accident vasculaire cérébral (avc)
- Portail de la médecine
- Portail des neurosciences