Adénocarcinome
| Spécialité | Oncologie |
|---|
| CISP-2 | A79 |
|---|---|
| CIM-9 | 151.0, 182.0 |
| ICD-O | M8140/3 |
| MeSH | D000230 |
Mise en garde médicale
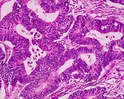
_H%2526E_magn_400x.jpg)
Un adénocarcinome est une tumeur maligne développée aux dépens d'un épithélium glandulaire. Le terme est à distinguer de celui d'adénome qui désigne une tumeur développée aux dépens d'un épithélium glandulaire, mais bénigne. En pratique, une tumeur est reconnue comme adénocarcinome lorsque son analyse microscopique anatomo-pathologique démontre un aspect de glande (tubes glandulaires) ou la présence de sécrétions mucineuses (muco-sécrétions).
Étymologie
Le terme adénocarcinome vient du grec adeno- (qui se rapporte à une glande) et de carcinome, qui désigne un cancer qui s'est développé dans les cellules épithéliales.
Types
Ils ont pour origine soit des glandes (sein, prostate, thyroïde, pancréas, ovaire, rein, foie) soit des muqueuses glandulaires (bronches, œsophage, estomac, côlon, anus, endomètre, etc.).
Il s'agit de la variété histologique la plus fréquemment rencontrée en cancérologie humaine : hors poumons, ils représentent environ 95 % des tumeurs malignes d'organe.
Suivant leurs aspects, ils peuvent être des cystadénomes ou des cystadénocarcinomes.
Ils peuvent d'abord se présenter comme un simple adénome (une tumeur glandulaire bénigne).
Différenciation
Les adénocarcinomes peuvent être :
- bien différenciés : constitués de glandes individualisées proches des cellules normales ;
- moyennement différenciés : structures polyadénoïdes avec souvent de grandes variations au sein de la même tumeur ;
- peu différenciés : des examens complémentaires permettent d’affirmer la nature épithéliale de la tumeur, mais la différenciation épidermoïde ou glandulaire ne peut être précisée morphologiquement. L'étude au microscope trouve de rares lumières glandulaires ou seulement une mucosécrétion intracellulaire.
Classifications
Différents systèmes sont utilisés suivant la nature de la tumeur.
La classification des tumeurs fait souvent intervenir l'histologie sous forme de grades :
- grade I : tumeur très différenciée
- grade II : tumeur moyennement différenciée
- grade III : tumeur totalement indifférenciée
Le système TNM permet de classer chaque type de tumeur suivant son évolution ou sa malignité avec les critères :
- T = taille de la tumeur primaire
- N = atteinte éventuelle des ganglions lymphatiques : adénopathies (« Nodes » en anglais)
- M = présence éventuelle de métastases
La combinaison de ces critères permet d'établir des pronostics d'évolution et d'orienter les traitements.
Notes et références
Liens externes
- Ressources relatives à la santé :
- Ressource relative à la recherche :
- Notices dans des dictionnaires ou encyclopédies généralistes :
- Portail de la médecine