Adénome pléomorphe
| Spécialité | Oncologie |
|---|
| CIM-10 | D11 |
|---|---|
| CIM-9 | 210.2 |
| ICD-O | 8940/0 |
| OMIM | 181030 |
| eMedicine | 384327 |
| MeSH | D008949 |
Mise en garde médicale
L'adénome pléomorphe (ou « tumeur mixte ») est une tumeur des glandes salivaires bénigne.
Epidémiologie
L'adénome pléomorphe est la tumeur salivaire la plus fréquente, représentant plus des deux tiers des tumeurs des glandes salivaires[1].
La glande parotide est la plus fréquemment touchée, devant la glande sous-mandibulaire et les glandes salivaires accessoires.
C'est la tumeur salivaire la plus fréquente chez l'enfant et de l'adolescent. L'âge moyen de survenue est de 43 ans avec une prédominance féminine.
L'adénome pléomorphe est en général unique, mais la survenue métachrone ou synchrone d'un autre adénome pléomorphe au sein d'une autre glande salivaire peut s'observer.
Des associations sont possibles avec d'autres tumeurs salivaire : tumeur de Warthin principalement, carcinome muco-épidermoïde, adénocarcinome à cellules acineuses, carcinome adénoïde kystique.
Clinique
L'adénome pléomorphe se développe lentement, à bas bruit, pendant plusieurs années.
Dans la glande parotide, le siège préférentiel est le pôle inférieur du lobe superficiel où elle se manifeste par un nodule sous cutané, bien limité, mobile, indolore.
Dans les glandes salivaires accessoires, la découverte est plus précoce d'un nodule peu mobile, refoulant la muqueuse buccale sans l'ulcérer.
Anatomie pathologique
Macroscopie
À la coupe, présence d'un nodule tumoral bien limité, plus ou moins bien encapsulé, rond ou lobulé, blanc, parfois mou, myxoïde, gélatiniforme et ferme.
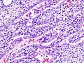
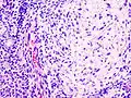
Microscopie
L'adénome pléomorphe est constituée par deux populations cellulaires intriquées d'où son autre nom de « tumeur mixte » :
- Composante épithéliale et myoépithéliale[1].
- Composante conjonctive de type myxoïde[1].
Double contingent épithélial et conjonctif. HE, x400.
HE, x400.
HE, x400.
HE, x400.
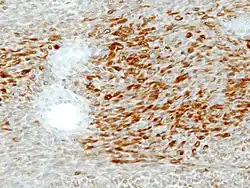
Immunohistochimie
_S-100.jpg)
Nosologie
L'adénome pléomorphe, l'adénome à cellules basales et le myoépithéliome font partie du même spectre tumoral.
Imagerie
Échographie
La lésion est d'échostructure homogène[1],[2] et apparaît hypo-échogène[1]. Il existe un renforcement postérieur[1]. Ses contours sont réguliers[1],[2] et parfois polylobés[2]. Il existe une vascularisation modérée en étude Doppler[1],[2] permettant notamment le diagnostic différentiel avec les lésions kystiques[1] qui sont avasculaires. L'élastographie n'est pas contributive à l'évocation du diagnostic d'adénome pléomorphe[2]. La mise en évidence de calcifications est possible[1].
L'échographie ne permet pas à elle seule de poser le diagnostic d'adénome pléomorphe. Elle peut néanmoins être couplée à une cytoponction sous contrôle échographique permettant un diagnostic cytologique.
IRM
La lésion apparaît généralement en hyposignal T1 et en hypersignal T2[1]. Le coefficient de diffusion est généralement élevé avec un ration ADC aux alentours de 2 par rapport à la glande normale[1]. Cependant il existe des formes dites « cellulaires » d'adénome pléomorphe dans lesquels l'ADC est bas, pouvant faire suspecter à tort une lésion maligne.
Les séquences dynamiques après injection de gadolinium montrent un rehaussement lent et progressif (courbe de perfusion de type A)[1].
Comme en échographie, les limites de la lésion sont nettes, les contours polylobés et la structure homogène[1].
Signes de dégénérescence
Une dégénérescence en lésion maligne peut être évoquée devant des contours lésionnels flous, l'apparition de caractéristiques de signal évocatrices de lésion néoplasique en IRM ou encore l'apparition d'une hypervascularisation en échographie-Doppler.
Évolution
Le risque évolutif principal est celui de la dégénérescence carcinomateuse qu'il s'agisse d'un adénocarcinome[3],[1] ou d'un carcinome épidermoïde[3]. Ce risque, estimé aux alentours de 5 %[1],[3], justifie l'exérèse chirurgicale de la lésion malgré sa nature bénigne[3]. La dégénérescence en tumeur maligne peut être évoquée à l'imagerie mais également à la clinique devant une croissance rapide de la lésion ou l'apparition de douleurs[1].
Le second risque évolutif est celui de la récidive locale. Celui-ci est expliqué par le caractère mal encapsulé de la tumeur[3]. Cette récidive peut volontiers s'effectuer sur un mode multiple par opposition à la présentation initiale sous la forme d'un nodule parotidien unique.
Références
- 1 2 3 4 5 6 7 8 9 10 11 12 13 14 15 16 17 Frédérique Dubrulle, Nadine Martin-Duverneuil et Guy Moulin, Imagerie en ORL, Elsevier-Masson, (ISBN 978-2-294-70498-7, lire en ligne)
- 1 2 3 4 5 Dana Dumitriu, Sorin M. Dudea, Carolina Botar-Jid et Grigore Băciuţ, « Ultrasonographic and sonoelastographic features of pleomorphic adenomas of the salivary glands », Medical Ultrasonography, vol. 12, no 3, , p. 175–183 (ISSN 1844-4172, PMID 21203593, lire en ligne, consulté le )
- 1 2 3 4 5 P. Halimi, M. Gardner et F. Petit, « Les tumeurs des glandes salivaires », Cancer/Radiothérapie, vol. 9, no 4, , p. 251–260 (DOI 10.1016/j.canrad.2005.06.003, lire en ligne, consulté le )
- Portail de la médecine