Anatomie radiologique

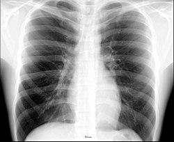
Anatomie radiographique d'une poitrine humaine.
La radioanatomie est une technique utilisée dans le domaine de l'anatomie qui repose sur l'exploitation de films radiographiques[1]. Le film radiographique représente l'image bidimensionnelle d'un objet tridimensionnel en raison de la projection de différentes structures anatomiques sur une surface plane.
En raison des compétences nécessaires à la lecture correcte des images, l'anatomie radiologique est la base de la formation des radiologistes, et une composante de la formation des étudiants en médecine.
Notes et références
- (en) Cet article est partiellement ou en totalité issu de l’article de Wikipédia en anglais intitulé « Radiographic anatomy » (voir la liste des auteurs).
- ↑ « What Is Radiographic Anatomy? », wiseGEEK (consulté le )
Liens externes
- Portail de la médecine
- Portail de l’anatomie