Anatomopathologie

Anatomopathologie
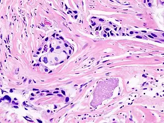
Colorées par l'hématoxyline et l'éosine, des cellules d'un carcinome du sein.
Partie de
Pratiqué par
Anatomo-pathologiste (d)

L'anatomopathologie, anatomo-pathologie ou anatomie pathologique[1], informellement abrégée en « anat-patho » ou « anapath » dans le jargon des professionnels de la santé, est une spécialité médicale humaine et vétérinaire. C'est la partie de la pathologie consacrée à l'étude morphologique des anomalies macroscopiques et microscopiques des tissus biologiques et des cellules pathologiques prélevés sur un être vivant ou mort.

Le médecin ou le vétérinaire spécialisé en anatomopathologie est appelé anatomopathologiste, ou pathologiste.

Histoire

Le premier traité d'anatomopathologie publié est, en 1679, celui de Théophile Bonet, un médecin genevois, Sepulchretum: sive anatomia practica ex cadaveribus morbo denatis, traduisible par "Le Sépulcre : ou anatomie pratique à partir de cadavres morts de maladie". L'anatomopathologie moderne commence au XVIIIe siècle avec l'Italien Giovanni Battista Morgagni. Au XIXe siècle, le médecin allemand Rudolf Virchow fera une contribution notable. En France, la première chaire universitaire indépendante de cette discipline est créée par Jean Lobstein en 1819, à la Faculté de Médecine de l'Université de Strasbourg.

Définitions

Pathologie

La pathologie est l'étude des maladies. Elle intègre l'anatomopathologie, l'épidémiologie, la pathogénie, la sémiologie, etc. Le mot « pathologie » n'est donc pas un synonyme de « maladie », et ne doit être utilisé qu'au singulier.

Les anglo-saxons la divisent en deux grandes sections :

Anatomopathologie

L'anatomopathologie étudie les lésions macroscopiques et microscopiques de tissus prélevés sur des êtres vivants malades ou décédés par biopsie, frottis ou biopsie extemporanée. Selon qu'elle s'intéresse à l'Homme ou à l'animal, on distingue l'anatomopathologie humaine et l'anatomopathologie vétérinaire.

On considère :

  • l'anatomopathologie générale, qui s'intéresse aux grands processus lésionnels concernant les éléments fondamentaux d'un organisme : l'inflammation, la cancérologie, les troubles vasculaires, les altérations cellulaires, la nécrose, la cicatrisation, etc. ;
  • l'anatomopathologie spéciale, qui étudie la pathologie par appareils : cœur, poumon, foie, etc.

L'anatomie pathologique, parfois appelée « pathologie » de manière abusive (cf. « pathology » des anglo-saxons), est une spécialité médicale méconnue du public et pourtant primordiale en cancérologie. Elle a pour objectif d’analyser principalement au microscope les prélèvements tissulaires et tumoraux réalisés chez les patients et d’en déduire le diagnostic et les principaux facteurs de gravité de la tumeur, contribuant ainsi pour la plus grande part à la décision thérapeutique.

Les méthodes d’analyse réalisées par les pathologistes font appel à différentes techniques complémentaires :

  • d’une part l'examen macroscopique, c’est-à-dire examen à l’œil nu, des prélèvements et pièces opératoires, tous confiés au laboratoire de pathologie ;
  • d’autre part l'examen histologique réalisé au microscope.

Ces examens sont effectués sur tout prélèvement tumoral et constituent la base du diagnostic de cancer. Ils sont souvent complétés par une analyse immunohistochimique qui a pour objectif d’identifier des protéines fabriquées par les cellules tumorales — ce qui permet souvent de mieux classer la tumeur, d’en évaluer la gravité et de prédire l’efficacité de certains médicaments — et de plus en plus, par des analyses moléculaires de l’ADN et des ARN des cellules tumorales.

Ce dernier type d’analyses, récemment apparu, permet une étude structurelle et répertorie les anomalies du génome de la cellule tumorale, anomalies souvent responsables de la cancérisation de la cellule, et complète ainsi les analyses morphologiques (macroscopie et histologie) et fonctionnelles (immunohistochimie) plus classiques.

Toutes les informations ainsi recueillies sont consignées dans un compte rendu signé engageant la responsabilité du pathologiste. Ce compte rendu constitue l’élément le plus important du dossier médical pour la prise de décision thérapeutique d’un sujet atteint d’un cancer. Il est de plus en plus standardisé répondant ainsi aux normes internationales en vigueur pour la tumeur analysée et est souvent enrichi d’images numérisées illustrant les aspects macroscopiques et histologiques. Toutes ces informations sont informatisées et conservées pour un accès facile et rapide.

Tous les prélèvements confiés en pathologie sont préservés dans des petits blocs de paraffine. Une tranche fine de quelques microns d’épaisseur (rubans) est réalisée sur tous les blocs, déposée sur une lame de verre et colorée pour être examiné au microscope. Les lames, blocs de paraffine et images peuvent facilement être échangés entre médecins pour une nouvelle interprétation si le patient est traité par une autre équipe médicale, ou pour un second avis auprès d’un collègue référent pour un type de tumeurs particulier en cas de difficulté diagnostique.

Cette conservation permanente des informations recueillies, des lames et blocs de paraffine constitue l’une des missions importantes des laboratoires de pathologie.

Ces laboratoires disposent souvent de centaines de milliers de tumeurs ainsi archivées permettant des analyses rétrospectives utiles pour une meilleure prise en charge des patients et indispensables pour faire progresser nos connaissances sur le cancer.

Les laboratoires de pathologie des centres hospitalo-universitaires et des centres de lutte contre le cancer ont également mis en place des tumorothèques complétant les archives conventionnelles et permettant des analyses moléculaires plus élaborées.

Lésion

On définit par lésion toute modification non physiologique, macroscopique ou microscopique, d'une cellule, d'un tissu ou d'un organe, et survenant du vivant de l'animal. Cette dernière condition est importante car elle élimine les altérations post-mortem des tissus telles que l'autolyse, la putréfaction, le rigor mortis (rigidité cadavérique) ou le livor mortis (lividité cadavérique). Si le pathologiste ne doit pas les considérer comme de vraies lésions, il en tient cependant compte, notamment comme outils de datation de la mort, dans le cadre de la médecine légale par exemple.

Afin de bien discerner lésions et non-lésions, l'anatomopathologie exige une bonne maîtrise des notions de base d'anatomie, d'histologie et de physiologie : il faut bien connaître le normal pour reconnaître l'anormal.

Cytopathologie

La cytopathologie est très souvent associée à l'anatomopathologie. Elle s'en distingue par le fait que les éléments étudiés ne le sont plus sous forme de tissus fixés et coupés, mais de prélèvements obtenus le plus souvent par ponction ou calque, et directement étalés sur une lame ce qui la rapproche de la biologie médicale. Les cellules sont alors entières mais l'architecture du tissu est perdue. S'agissant d'un étalement et non plus d'une coupe, la taille des cellules est y plus grande et permet de mieux apprécier la morphologie cellulaire (d'où le nom de cytologie) plutôt que les caractéristiques tissulaires (domaine de l'histologie). Parmi les prélèvements courants en cytopathologie, citons les ponctions lombaires (prélèvements de liquide céphalorachidien), les ponctions articulaires (prélèvements de liquide synovial), le frottis vaginal, les ponctions de masse, les ponctions de moelle osseuse hématopoïétique (myélogramme), les ponctions de nœuds lymphatiques (adénogramme), les lavages bronchoalvéolaires, l'urine, etc. En définitive, cette discipline est une discipline mixte dépendant à la fois de la biologie médicale et de l'anatomopathologie.

Pathologie clinique

L'anatomopathologie ne concerne pas l'étude de la composition des liquides biologiques, qui est dévolue à la biologie médicale. L'hématologie, qui étudie les éléments figurés du sang, s'est détachée de l'anatomopathologie et constitue une spécialité à part entière. Biologie médicale et hématologie sont souvent regroupées sous le terme de pathologie clinique.

Domaines d'investigation

Classification des lésions

Une classification simple des lésions et maladies est fondée sur leur étiologie. Une première dichotomie s'effectue entre les lésions tumorales et les lésions non tumorales. Dans les lésions non tumorales, on considère les lésions d'origines inflammatoires, dégénératives, nutritionnelles, métaboliques, toxiques, infectieuses, physiques, chimiques, traumatiques, comportementales, génétiques, embryologiques, etc. Ces catégories sont loin d'être hermétiques car pour une même lésion, il peut exister de nombreuses interconnexions. Ainsi, certaines infections virales peuvent engendrer des tumeurs, et des lésions dégénératives suscitent souvent de fortes réactions inflammatoires.

Outils de l'anatomopathologie

Microscopes photoniques et électroniques, microtome, « tissus processor » (utilisé pour le traitement et la protection des tissus à analyser), ordinateur, tissus, organes, sécrétions, sang, sérum, etc.

Examen macroscopique

L'œil est le premier outil du pathologiste. En effet, l'anatomopathologie est avant tout une science de la description. Selon les cas, les autres sens peuvent également être sollicités. Par exemple, lors de l'examen d'une tumeur sur un cadavre, on s'attachera à décrire sa localisation, sa taille, sa couleur, sa forme, sa consistance, sa délimitation, ses rapports aux autres organes, son aspect à la coupe, etc. À cette étape, de nombreuses informations peuvent orienter le diagnostic. Lors de l'examen macroscopique, le pathologiste peut avoir recours à une balance afin d'apprécier d'éventuelles variations de poids des organes.

Examen microscopique

L'analyse microscopique est généralement l'activité principale du pathologiste. Il a pour cela recours aux outils de la microscopie, principalement optique ou photonique, mais également électronique. L'immunofluorescence, l'immunohistochimie et l'hybridation in situ sont également utilisées afin d'approfondir le diagnostic.

Cette étape permet d'affirmer le caractère tumoral ou non d'une lésion et le cas échéant d'aboutir à la dénomination de la tumeur, basée sur le type cellulaire d'origine. L'examen microscopique permet également d'apprécier les lésions de type inflammatoire et éventuellement d'identifier un agent causal (virus, bactéries, protozoaires, mycètes, parasites, etc.)

Applications de l'anatomopathologie

L'anatomopathologie s'occupe :

  • du diagnostic de certaines maladies qui réclament une certitude anatomopathologique : par exemple les cancers, où seul le spécialiste pourra affirmer qu'une lésion qu'on lui a soumise comprend des cellules cancéreuses. Le pathologiste identifie par ailleurs le type de tumeur et peut le cas échéant fournir un pronostic sur la gravité de la lésion ;
  • d'affirmer le caractère complet de l'ablation d'une tumeur, en examinant ses bords (soit ses limites d'exérèse) : pour être sûr d'avoir enlevé toute la tumeur, le chirurgien fait vérifier par l'anatomopathologiste que les limites de résection ne contiennent pas de cellules tumorales ;
  • des nécropsies (ou autopsies), qui sont l'examen des cadavres dont les causes de la mort sont douteuses sur un plan médical (les morts suspectes d'un point de vue légal sont autopsiées par un médecin légiste) ;
  • d'analyser les lésions engendrées par les substances médicamenteuses sur les animaux de laboratoire. Le pathologiste est alors un maillon de la chaîne aboutissant à l'autorisation de mise sur le marché d'un médicament ou d'autres substances chimiques. Dorénavant, cette voie est presque exclusivement réservée aux pathologistes vétérinaires.

Notes et références

  1. Dictionnaire de médecine Flammarion, 8e édition.

Voir aussi

Liens externes

  • icône décorative Portail du travail et des métiers
  • icône décorative Portail de la médecine
  • icône décorative Portail de l’anatomie