Apoplexie hypophysaire

Apoplexie hypophysaire
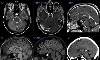
Description de l'image Hypophyseninfarkt mit Einblutung 44W - MR CT - 001 - Annotation.jpg.
Complications Hypopituitarisme (insuffisance surrénale)[1]
Traitement
Diagnostic Sur la base des symptômes, confirmés par IRM[1].
Spécialité Endocrinologie
Épidémiologie
Fréquence 0.4%[2]
Classification et ressources externes
CIM-10 E23.6
CIM-9 253.8
DiseasesDB 10049
MedlinePlus 001167
eMedicine 1198279
MeSH D010899

Wikipédia ne donne pas de conseils médicaux Mise en garde médicale

L'apoplexie hypophysaire, ou l'apoplexie pituitaire, est un dysfonctionnement de l'hypophyse (la glande pituitaire) entraînant divers symptômes [3],[4].

Épidémiologie

L'apoplexie hypophysaire est rare : elle touche environ 0,4 % de la population [2]. Chez les personnes ayant des tumeurs hypophysaires, jusqu'à 10 % sont touchées [1]. Le premier cas a été documenté en 1898 par Pearce Bailey [5]. Son nom actuel est entré en usage en 1950 [5].

Causes

Elle survient généralement en présence d'une tumeur de l'hypophyse [2], bien que la plupart des personnes n'en aient pas conscience avant [1]. Les facteurs de risque sont l'hypertension artérielle, les suites d'une opération, la grossesse, les anticoagulants, les traumatismes crâniens et la dengue [1]. Le mécanisme sous-jacent peut parfois entrainer une hémorragie ou un apport insuffisant du sang à l’hypophyse [1].

Manifestations

Les premiers symptômes sont des céphalées, des nausées et des troubles visuels [1]. Les problèmes de la vision peuvent entrainer une vision double, une perte du champ visuel ou une diminution de la vision. Le début est généralement soudain [1]. Les complications peuvent inclure une insuffisance hypophysaire, une insuffisance surrénalienne ou un coma [1],[6].

Diagnostic

Le diagnostic est suspecté sur la base des symptômes et confirmé par l'IRM [1]. Une ponction lombaire peut détecter du sang dans le liquide céphalo-rachidien [6].

Traitement

Le traitement initial implique généralement une solution saline intraveineuse normale associée à 100 mg d'hydrocortisone [1]. Une décompression chirurgicale est recommandée dans les 7 jours chez les personnes présentant des problèmes de vision ou une diminution du niveau de conscience [1]. Environ 80 % des personnes souffrent d'hypopituitarisme à long terme et nécessitent un remplacement hormonal constante [1].

Notes et références

  1. 1 2 3 4 5 6 7 8 9 10 11 12 13 KR Feingold, B Anawalt, MR Blackman, A Boyce, G Chrousos, E Corpas, WW de Herder, K Dhatariya, K Dungan, J Hofland, S Kalra, G Kaltsas, N Kapoor, C Koch, P Kopp, M Korbonits, CS Kovacs, W Kuohung, B Laferrère, M Levy, EA McGee, R McLachlan, M New, J Purnell, R Sahay, AS Shah, F Singer, MA Sperling, CA Stratakis, DL Trence, DP Wilson, ZC Hannoush et RE Weiss, Pituitary Apoplexy, (PMID 25905348)
  2. 1 2 3 G Barkhoudarian et DF Kelly, « Pituitary Apoplexy. », Neurosurgery clinics of North America, vol. 30, no 4, , p. 457-463 (PMID 31471052, DOI 10.1016/j.nec.2019.06.001)
  3. Gaillard, « Pituitary apoplexy | Radiology Reference Article | Radiopaedia.org » [archive du ], Radiopaedia (consulté le )
  4. Charlie Chia-Tsong Hsu, « Pituitary macroadenoma with intratumoral hemorrhage | Radiology Case | Radiopaedia.org » [archive du ], sur Radiopaedia (consulté le )
  5. 1 2 « UK guidelines for the management of pituitary apoplexy », Clin Endocrinol, vol. 74, no 1, , p. 9–20 (PMID 21044119, DOI 10.1111/j.1365-2265.2010.03913.x)
  6. 1 2 (en-CA) « Generalized Hypopituitarism - Endocrine and Metabolic Disorders » [archive du ], Merck Manuals Professional Edition (consulté le )

Liens externes

  • icône décorative Portail de la médecine