Artère carotide interne

| Origine | |
|---|---|
| Branches | |
| Terminaison | |
| Structures vascularisées | |
| Veine associée |
| Nom latin |
Arteria carotis interna |
|---|---|
| MeSH |
D002343 |
| TA98 |
A12.2.06.001 |
| TA2 |
4463 |
| FMA |
3947 |
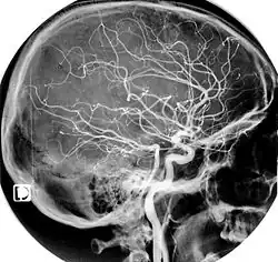
L'artère carotide interne (aussi appelée carotide interne droite ou CID) est une artère issue de l'artère carotide commune, de la branche externe plus précisément, et vascularisant la plus grande partie du cerveau, l'oreille interne et l'œil.
Trajet
Dans le cou, elle est située dans la gaine carotidienne, à proximité de la veine jugulaire interne.
Elle pénètre dans la boîte crânienne par le canal carotidien situé dans le rocher (base du crâne) de l'os temporal selon un trajet vertical rétro styloïdien. Puis, dans son trajet pétreux, au niveau du foramen déchiré, elle donne dans le crâne une première branche collatérale qui est l'artère carotico-tympanique. En suivant, elle va transpercer le sinus caverneux, sortir par son toit et donner les dernières branches collatérales qui naissent près de la terminaison ; nous retrouvons l'artère cérébrale antérieure qui donnera l'artère hypophysaire supérieure ainsi que l'artère ophtalmique. De plus, dans cette région cérébrale, l'artère carotide interne va s'anastomoser avec l'artère cérébrale postérieure (dérivant de l'artère vertébrale) pour donner l'artère cérébrale moyenne du polygone de Willis.
Fonction
L'artère carotide interne et ses branches contribuent à la formation du polygone de Willis, anastomose avec les artères homologues (du côté opposé) et celles issues de l'artère basilaire.
Sinus carotidien
Le sinus carotidien désigne la partie initiale légèrement dilatée de l'artère carotide interne. Il comporte des barorécepteurs permettant le contrôle de la pression artérielle ainsi que des chémorécepteurs qui vont contrôler le taux de dioxyde de carbone dans le sang. Ce complexe est donc hautement régulé par le nerf de Hering, branches de la neuvième paire crânienne, le nerf glosso-pharyngien.
Pathologie
En cas de lésion de la carotide interne il peut y avoir, d'une part, un trouble de la vision touchant l'œil homolatéral, et d'autre part, des troubles neurologiques controlatéraux (paralysie, anesthésie) en rapport avec une atteinte de l'hémisphère cérébral homolatéral.
Liens externes
- Ressources relatives à la santé :
- Ressource relative à la recherche :
- Portail de l’anatomie
- Portail de la médecine
- Portail des neurosciences