Ataxie

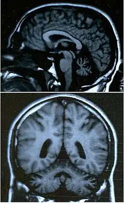
Images IRM cérébrales d'un jeune patient âgé de 25 ans, montrant une atrophie cérébelleuse.

En médecine, l'ataxie (du grec ataxiā, signifiant « désordre ») est un terme regroupant différents syndromes neurologiques se manifestant par un manque de coordination fine des mouvements volontaires. Elle est liée à une atteinte du système nerveux. Le trouble de la coordination est partiellement corrigé par le contrôle visuel.

Le cervelet est le centre de la coordination fine des mouvements des muscles, l'information qui en émerge est véhiculée jusqu'aux muscles par la moelle épinière et les nerfs périphériques. Pour cette raison, une atteinte soit de la moelle épinière soit des nerfs périphériques peut causer une ataxie.

L'ataxie se manifeste principalement par des troubles de la marche, de l'équilibre postural[1] et de la station debout, du guidage des mouvements par la vue ou le toucher (marche dans le noir par exemple).

Elle s'observe par le phénomène de rebond, il n'y a pas de frein dans le mouvement, le sujet dépasse la cible en raison d'un freinage tardif des muscles antagonistes.

Au niveau moteur

Les ataxies font partie d'un ensemble plus grand : les troubles de l'équilibre. Les troubles de l'équilibre sont plus évidents quand le patient a les yeux fermés dans le cas d'une ataxie labyrinthique. Il est donc important de se renseigner sur ce type de troubles avant d'effectuer le bilan psychomoteur. En effet, certaines épreuves sont à éviter.

  • Dans l'ataxie labyrinthique ou vestibulaire (atteinte au niveau du système labyrinthique), on pourra observer des troubles de l'équilibre et une déviation à la marche.
  • Dans l'ataxie cérébelleuse (atteinte au niveau du cervelet), on retrouve un écartement des pieds (élargissement du polygone de sustentation) ainsi que des oscillations rythmiques des tendons des chevilles (danse des tendons). De plus, on observera une asynergie, des dyschronométries, ainsi qu'une hypermétrie.
  • Dans l'ataxie proprioceptive (par déficit de sensibilité profonde), il y a des troubles de l'équilibre en statique, à la marche, et lors de la coordination segmentaire des membres.

Maladies provoquant une ataxie

Chez les bovins, l'encéphalopathie spongiforme ("maladie de la vache folle") provoque une ataxie dans 80 % des cas.

Sémiologie

L'ataxie proprioceptive peut être explorée par différents tests cliniques. On la révèle notamment par les tests :

  • en orthostatisme (debout et immobile), pieds joints et yeux occlus (signe de Romberg) : le patient tangue par perte des informations visuelles lui permettant de compenser sa déficience de sensibilité proprioceptive ;
  • l'épreuve de la marche yeux fermés (ou orthodynamisme) révèle plus facilement les patients atteints de troubles plus légers. La marche se révèle être incertaine voire impossible ;
  • l'épreuve doigt-nez, exécutée yeux occlus, révèle aussi ce genre de troubles proprioceptifs.

Personnalités victimes d'ataxie

  • L'historien français Augustin Thierry (1795-1856) a commencé à souffrir d'ataxie à l'âge de 30 ans.
  • Une ataxie a été diagnostiquée au chanteur français Miossec[2] en 2009.
  • Le peintre français Édouard Manet a succombé à une ataxie.
  • Leland Stanford, 8e gouverneur de Californie et fondateur de l'Université de Stanford aux États-Unis, a souffert d'ataxie.

Traitement

Le régime à base de sureau noir (SN) pourrait être utilisé comme une procédure thérapeutique pour l'ataxie cérébral (AC) en raison de ses effets neuroprotecteurs . Une étude a examiné les effets d'un régime alimentaire enrichi en SN sur des rats atteints d'AC induite par le 3-acétylpyridine (3-AP).

Les résultats de l'étude ont révélé que l'administration d'un régime à base de SN pendant huit semaines consécutives entraînait des améliorations significatives chez les rats atteints d'AC :

  • Amélioration de la fonction motrice : Les rats traités présentaient une meilleure coordination motrice, une activité locomotrice accrue et une fonction neuromusculaire améliorée.
  • Protection des neurones de Purkinje : Le régime à base de SN a contribué à prévenir la dégénérescence des neurones de Purkinje, des cellules nerveuses essentielles à la coordination motrice.
  • Modulation de la microglie et des astrocytes : La complexité de la microglie et des astrocytes, des cellules impliquées dans la réponse immunitaire du cerveau, a augmenté, tandis que la taille du soma cellulaire a diminué, suggérant une réduction de l'inflammation.
  • Réduction de l'apoptose : Le régime a diminué l'apoptose (mort cellulaire programmée) dans le cervelet des rats atteints d'AC.
  • Modulation de l'expression génique : Le traitement a entraîné une diminution de l'expression des gènes associés à l'inflammation, à l'apoptose et à la nécrose, ainsi qu'une augmentation de l'expression des gènes liés aux antioxydants[3].

Notes et références

  1. « Causes des Ataxies et mécanismes biologiques », sur Institut du Cerveau
  2. « Une journée à Brest avec Miossec », lesoir.be, 6 septembre 2011.
  3. (en) Maryam Raoofi nejad, Elham Siasi, Mohammad Amin Abdollahifar et Abbas Aliaghaei, « Elderberry diet enhances motor performance and reduces neuroinflammation-induced cell death in cerebellar ataxia rat models », Journal of Chemical Neuroanatomy, vol. 137, , p. 102399 (DOI 10.1016/j.jchemneu.2024.102399, lire en ligne, consulté le )

Voir aussi

Liens externes


  • icône décorative Portail de la médecine