Cancer de la vessie

Cancer de la vessie
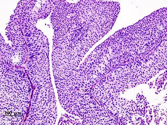
Description de cette image, également commentée ci-après
Image histopathologique d'un carcinome urothélial de la vessie. Biopsie transurétrale. Coloration H&E.
Traitement
Médicament Carboplatine, étoposide, cisplatine, thiotepa (en), valrubicin (en), mitomycine C, doxorubicine, lambrolizumab, nivolumab, docétaxel trihydraté (d), bevacizumab, gemcitabine et cisplatine
Spécialité Oncologie et urologie
Classification et ressources externes
CISP-2 U76
CIM-10 C67, C67.9
CIM-9 188
OMIM 109800
DiseasesDB 1427
MedlinePlus 000486
eMedicine 381323
med/2344 med/3022
MeSH D001749
Patient UK Bladder-cancer-pro

Wikipédia ne donne pas de conseils médicaux Mise en garde médicale

La paroi interne de la vessie est tapissée de cellules transitionnelles qui sont à l'origine de la plupart des cancers de la vessie. L'évolution et la prise en charge dépend beaucoup du caractère invasif de la tumeur. On distingue le cancer superficiel de la vessie du cancer invasif (tumeur infiltrante). Si le cancer superficiel reste de bon pronostic, le cancer invasif de la vessie est beaucoup plus grave et nécessite des traitements agressifs.

Épidémiologie

Incidence

Il s'agit de l'un des dix plus fréquents cancers avec un peu plus de 500 000 cas annuels de par le monde[1].

L'âge moyen est de 65 ans. Il touche 4 hommes pour 1 femme[2], mais ce taux évolue au fur et à mesure que l'impact du tabagisme chez la femme se fait sentir.

Le cancer de la vessie est une tumeur fréquente. En 2000, 10 700 nouveaux cas ont été diagnostiqués en France, parmi lesquels un tiers est lié au tabagisme. Il est le sixième cancer le plus fréquent en France.

Mortalité

Il représente 3,5 % des décès par cancer.

Le taux de survie à 5 ans est de 96 %, lorsque les tumeurs infiltrent le muscle uniquement (TVIM), 70 % lorsqu'il s'étend et seulement 5 % lorsque les métastases se diffusent dans le corps.

Tous types de cancers de la vessie confondus, le taux de survie à 5 ans est de 77,4 % [3]. Il est plus mauvais chez la femme en raison d'un retard au diagnostic[4], l'hématurie étant banale au cours d'une infection urinaire..

Facteurs de risque

Le facteur de risque non modifiable le plus important reste l'âge[5].

Les facteurs favorisants les plus importants sont le tabagisme (responsable de 40 % des cancers de la vessie[6]) et certains cancérogènes chimiques. À ce titre le cancer de la vessie peut être considéré comme une maladie professionnelle.

Les principales substances industrielles en cause sont :

  • les amines aromatiques ;
  • leurs dérivés hydroxylés halogénés et sulfonés. (tableau français no 15 des maladies professionnelles) ;
  • les dérivés de l'aniline ;
  • certains hydrocarbures polycycliques et probablement les fumées de diesel[7] ;
  • les brouillards de certaines huiles minérales[8] ;
  • les dérivés industriels du tryptophane ;
  • l'arsenic[9] (qui a autrefois été abondamment utilisé comme pesticide et qui sert (avec l'antimoine) de durcisseur aux plomb des munitions de chasse ; Il semble exister une synergie entre arsenic et fumées du tabac[10] ;
  • certains pesticides sont soupçonnés depuis peu, en raison d'une augmentation du risque de cancer de la vessie chez des professionnels exposés aux pesticides de traitement de légumes en plein champ et sous-serres ou à des tâches telle que le semis de pois et de betteraves[11].

Par ailleurs on retrouve à l'origine du cancer de la vessie certains médicaments (phénacétine, cyclophosphamide) ou une irradiation pelvienne[12].

Les lésions de bilharziose urinaire peuvent dégénérer en lésions malignes de type cancer épidermoïde de la vessie[13]. Cette parasitose se retrouvant principalement en Égypte et en Afrique de l'Ouest.

Plusieurs mutations sur certains gènes augmentent le risque de cancer de la vessie, notamment sur le gène p63[14], le gène codant le récepteur du facteur de croissance épidermique[15], ainsi que d'autres gènes. Le risque de cancer de la vessie est également considérablement augmenté au cours d'un syndrome de Lynch[16].

L'eau chlorée serait un facteur de risque. Des sous-produits dont les trihalométhanes se forment lors des réactions entre le chlore et les matières organiques de l'eau. La concentration de ces sous-produits dans l'organisme est un facteur de cancer de la vessie[17],[18]. L'eau des piscines chlorées est fortement chargée en trihalométhanes[19], dans les piscines chlorées le nageur est ainsi exposé à ces sous-produits par absorption cutanée.

Il existe également une néphropathie tubulo-interstitielle endémique dans la région des Balkans, qui peut se complique en cancer urothélial. Cette maladie résulte d'une intoxication alimentaire par une mycotoxine, l'ochratoxine A, produite par un champignon des céréales.

Diagnostic

Symptômes

Les éléments cliniques évoquant une tumeur cancéreuse de la vessie sont peu spécifiques. On note en premier lieu l'hématurie micro ou macroscopique (un cancer de la vessie est retrouvé dans environ un cas sur cinq d'hématurie macroscopique[20]), la dysurie, les signes d'infection urinaire à urine claire, les infections urinaires récidivantes. L'altération de l'état général et les douleurs marquent souvent un stade avancé de la maladie.

Les symptômes cliniques nécessitent une confirmation avec réalisation :

  • d'une bandelette urinaire retrouvant l'hématurie ;
  • d'un examen cytologique des urines confirmant parfois la présence d'hématies et de cellules anormales mais cet examen a une faible sensibilité ;
  • la cystoscopie permet de visualiser les lésions vésicales et effectuer dans le même temps des biopsies pour études anatomopathologiques des lésions et confirmation du diagnostic. C'est un examen essentiel. Il peut être aidé par l'instillation locale d'hexaminolevulinate qui se fixe sur les cellules cancéreuses permettant de les mettre en évidence grâce à une lumière bleue[21] ;
  • les examens d'imageries tel le scanner et l'IRM du bassin sont utiles au bilan d'extension. Dans ce dernier examen, l'injection de ferumoxtran-10 permettrait de détecter les métastases ganglionnaires, même de petites tailles, avec une très bonne sensibilité et spécificité[22].

Bilan d'extension

Le cancer de la vessie se développe à partir de la muqueuse interne de la vessie. En absence de traitement, la maladie s'étend au-delà de la muqueuse à travers la paroi de la vessie, dissémine au travers des vaisseaux lymphatiques vers les ganglions du petit bassin, et au travers des veines dans l'ensemble de l'organisme. Le bilan d'extension permet de connaître le stade exact de la maladie, d'appliquer le traitement le mieux adapté et d'estimer le pronostic de la maladie.

Anatomopathologie

Il existe différents types anatomopathologiques de tumeur maligne de la vessie. Le terme cancer de la vessie correspond au carcinome de la vessie. Il en existe trois formes :

Les tumeurs malignes (cancer) non carcinomateuses correspondent aux lymphomes, sarcomes et tumeurs neuroendocrines de la vessie dont le traitement diffère des carcinomes.

Classification

Le grade G1 G2 G3

Classification TNM-UICC 2002

T (Tumeur)

  • Tx Tumeur primitive ne pouvant être classée
  • T0 Pas de tumeur
  • Ta carcinome papillaire superficiel, non invasif (papillaire, respectant la membrane basale)
  • Tis carcinome in situ (plan, respectant la membrane basale)
  • T1 Tumeur envahissant le tissu conjonctif sous-épithélial
  • T2 Tumeur envahissant le muscle (ou détrusor)
    • T2a Musculeuse superficielle
    • T2b Musculeuse profonde
  • T3 Tumeur envahissant le tissu péri vésical (graisse)
    • T3a Atteinte microscopique
    • T3b Atteinte macroscopique
  • T4 Invasion des viscères adjacents
    • T4a Prostate ou utérus ou vagin
    • T4b Paroi pelvienne ou paroi abdominale

N (Adénopathies régionales)

  • Nx Absence de renseignements suffisants
  • N1 Envahissement d'un seul ganglion pelvien <2 cm de plus grand diamètre
  • N2 Envahissement d'un seul ganglion > cm mais <5 cm ou plusieurs ganglions <5 cm
  • N3 Envahissement d'un ganglion > cm

M (Métastases à distance)

  • M0 Pas de métastase à distance
  • M1 Présence de métastases à distance

Classification des tumeurs superficielles de la vessie

Le comité de Cancérologie de l'Association Française d'Urologie a défini une classification des tumeurs superficielle de la vessie[23]. Cette classification permet de distinguer trois stades pour lesquels le risque de rechute à 5 ans et de décès à 10 ans se distinguent nettement.

RISQUE EVOLUTIF CANCER SUPERFICIEL DE LA VESSIE RISQUE DE PROGRESSION A 5 ANS RISQUE DE DECES PAR TUMEUR A 10 ANS
Groupe 1 :

risque faible

pTa G1 unique

pTa G1-G2 non récidivant à trois mois

7,1 % 4,3 %
Groupe 2:

risque intermédiaire

pTa G2 multifocal

pTa multirécidivant pTa G3, pT1 G2 unique

17,4 % 12,8 %
Groupe 3 :

risque élevé

pT1 G3

pTis diffus pT1 multifocal pT1 récidivant à moins de 6 mois

41,6 % 36,1 %

En 2016, l'OMS a publié une nouvelle classification histologique des tumeurs de la vessie[24]

Pronostic

Les facteurs pronostiques sont :

  • le stade TNM ;
  • le grade histologique ;
  • la présence ou non d'une hydronéphrose ;
  • la qualité de la résection transurétrale pour les patients traités par association radiochimiothérapie.

La survie à cinq ans des formes localisées à la vessie est de 60 % quel que soit T. Elle est indépendante du type de traitement local. La survie à 5 ans des formes avec extension ganglionnaire pelvienne est de 5 à 25 % selon l'importance de l'atteinte ganglionnaire. La survie à 5 ans est de 10 à 15 % chez les patients traités par chimiothérapie[25]. La plupart des décès sont observés dans les 2 ans suivant le diagnostic.

Les formes métastatiques ont un très mauvais pronostic, avec une durée de survie proche d'un an[26].

Méthodes thérapeutiques

La prise en charge du cancer de la vessie a fait l'objet de la publication de recommandations, concernant essentiellement les formes invasives. Celles américaines datent de 2017[27], celles européennes de 2020[28].

Chirurgie

Résection transurétrale de vessie

Cystectomie

  • la cystectomie (ablation chirurgicale de la vessie) partielle peut être envisagée pour les tumeurs infiltrantes de la vessie, dans des conditions précises :
    • uniques
    • de petite taille
    • siégeant sur la portion mobile de la vessie
    • sans carcinome in situ associé
    • laissant la capacité vésicale post-chirurgicale suffisante
  • la cystectomie totale (cystoprostatectomie chez l'homme, pelvectomie antérieure chez la femme), précédée d'un curage ganglionnaire obturateur, iliaque externe et hypogastrique avec examen histologique extemporané. Elle impose le drainage des urines par voie trans-intestinale type Bricker ou une entérocystoplastie type Camey ou une dérivation interne type Coffey.

Si au cours de l'intervention, le chirurgien observe un envahissement ganglionnaire important ou une extension de la tumeur aux organes de voisinage, il est possible que la cystectomie ne soit pas réalisée.

Curage ganglionnaire

Le curage ganglionnaire (curage ilio-obturateur) permet de connaître l'extension de la maladie et donc son pronostic. il a également un intérêt curatif. En effet, la découverte de cellules cancéreuses dans les ganglions du bassin signe une extension de la maladie au-delà de la vessie ce qui est de mauvais pronostic. Dans ce contexte l'ablation de ces ganglions permet de prolonger la survie des patients[29],[30]

Radiothérapie externe

Elle délivre par 4 faisceaux d'irradiation, 45 Gy dans le pelvis, puis 20 Gy sur la loge vésicale, en 6 à 7 semaines à l'aide d'un accélérateur linéaire de 15 MV.

L'association radiochimiothérapie combine la radiothérapie et une chimiothérapie (à base de cisplatine 25 mg j−1 et de 5-FU 1 000 mg j−1). Elle semble supérieure à la radiothérapie seule en matière d'efficacité.

La radiothérapie est également indiquée à titre antalgique sur des métastase(s) osseuse(s).
La curiethérapie vésicale est pratiquement abandonnée.

Chimiothérapie et immunothérapie

Traitement endovésical

Une chimiothérapie par mitomycine C peut être instillée directement après la résection trans uréthrale de la tumeur, permettant de réduire le risque de récidive[31]. La gemcitabine constitue une autre possibilité[32]. L'interféron alpha est à l'étude.

Une immunothérapie par BCG peut être faite, avec une efficacité semblant supérieure à celle de la chimiothérapie locale[33]. Dans les formes réfractaires, la valrubicine[34] ou une association gemcitabine et docetaxel[35] peuvent être utilisés. Le pembrolizumab constitue également une piste[36].

Traitement systémique

La chimiothérapie peut être utilisée dans plusieurs situations :

  • associée à la radiothérapie ;
  • avant la chirurgie pour essayer de réduire la taille de la tumeur et permettre l'intervention. Il s'agit d'une chimiothérapie néoadjuvante. Plusieurs études semblent montrer un avantage à la réalisation de cette chimiothérapie sous certaines conditions sans que son intérêt soit formellement établi ;
  • après la chirurgie, il s'agit alors d'une chimiothérapie adjuvante dont l'objectif est de réduire ou retarder les rechutes. Dans cette situation également plusieurs études semblent montrer un avantage à cette chimiothérapie sans que son intérêt ait été parfaitement démontré.

Pour la chimiothérapie par voie systémique les molécules efficaces dans le cancer de la vessie sont le cisplatine, le méthotrexate, la vinblastine, l'adriamycine, le paclitaxel et la gemcitabine. Aujourd'hui, le protocole de référence en situation adjuvante et métastatique est le protocole GC (gemcitabine cisplatine)[37]. Ce protocole est équivalent au protocole MVAC en matière d'efficacité. Il est moins toxique. L'association methotrexate, vinblastine, doxorubicine et cisplatine peut constituer une alternative[38].

La vinflunine peut être utilisée en deuxième ligne après échec d'une chimiothérapie à base de platine[39]

La chimiothérapie associée à la radiothérapie peut combiner le cisplatine et le 5FU.

Stratégie thérapeutique

Les stratégies thérapeutiques présentées sont issues des recommandations de l'EMSO (Société européenne d'oncologie médicale).

Tumeurs superficielles pTa-pT1-pTis

Tumeurs de faible risque selon la classification de la CCAFU

Le traitement de référence est la résection transurètrale de vessie complète. la surveillance comprend :

  • une cystoscopie à 3, 6 et 12 mois puis tous les ans pendant 5 ans
  • en option : échographie annuelle après 5 ans en l'absence de récidive.

Tumeurs de risque intermédiaire selon la classification de la CCAFU

Le traitement de référence est la résection transurètrale de vessie complète suivie soit d'une chimiothérapie intravésicale post opératoire précoce ou d'un instillation endovésicale adjuvante. la surveillance comprend :

  • une cystoscopie avec cytologie de lavage à 3, 6 et 12 mois puis tous les ans pendant 15 ans
  • un uroscanner lors de la récidive si le contrôle est supérieur à 2 ans.

Tumeurs de haut risque selon la classification de la CCAFU

Le traitement de référence comprend une résection transurétrale de vessie complète suivie éventuellement de biopsies de réévaluation puis d'une immunothérapie intravésicale par BCG (protocole 6+3 et entretien souhaitable). La surveillance comprend :

  • une cystoscopie et une cytologie de lavage tous les trois mois pendant un an, tous les six mois pendant deux ans, puis une fois par an jusqu'à la quinzième année.
  • une urographie intraveineuse tous les deux ans.

Pour les lésions à haut risque la cystectomie doit être envisagée en cas de récidive précoce malgré les instillations de BCG.

Tumeurs infiltrantes localisés

Lorsque la tumeur envahit le muscle de la vessie (détrusor), le traitement doit être plus agressif. Les moyens mis en œuvre dépendront de l'extension de la maladie dans la vessie (atteinte du muscle, atteinte de la paroi de la vessie, extension de la maladie au-delà de la vessie), de la présence de ganglions métastatiques. L'état de santé du patient est également important, car il ne permet pas toujours de réaliser le traitement le plus efficace. Le traitement de référence des tumeurs infiltrantes localisées est l'ablation chirurgicale de la vessie (ou cystectomie). Au cours de la chirurgie, on procède à un curage ganglionnaire étendu. Lorsque cette chirurgie n'est pas possible, elle peut être remplacée par une radiochimiothérapie.

Lorsque la tumeur est limitée à la vessie, le traitement de référence est la cystectomie complète précédée d'un curage ganglionnaire étendu.

Si l'état de santé du patient ne permet pas de réaliser cette chirurgie, la chirurgie peut être remplacée par un traitement exclusif par radiothérapie associé à une chimiothérapie. La réalisation d'une chimiothérapie avant la chirurgie doit être envisagée pour tous ces patients. S'il cette chimiothérapie n'est pas réalisée, une chimiothérapie après la chirurgie doit être envisagée.

Tumeurs métastatiques

Le traitement de référence en situation métastatique est une chimiothérapie de type gemcitabine-cisplatine. Ce traitement permet de prolonger la survie et diminuer les symptômes liés à la maladie chez certains patients. Les signes associés à l'évolution locale de la maladie, comme l'hématurie peuvent parfois être contrôlés par l'exérèse de la vessie, appelée « cystectomie de propreté » ou une irradiation pelvienne.

La vinflunine peut être utilisée en deuxième ligne après échec d'une chimiothérapie à base de platine[39].

Dépistage : voies de recherche

Un test urinaire a été mis au point pour détecter les mutations du gène TERT impliquées dans les cas les plus fréquents de cancer de la vessie[40]. Ces tests permettent une détection précoce de la mutation, jusqu’à 10 ans avant le diagnostic clinique[41].

Notes et références

  1. Richters A, Aben KKH, Kiemeney LALM, The global burden of urinary bladder cancer: an update, World J Urol, 2020;38:1895-1904
  2. Lenis AT, Lec PM, Chamie K et al. Bladder Cancer: A Review, JAMA, 2020;324:1980-1991
  3. (en) « Cancer of the Urinary Bladder » (consulté le )
  4. Dobruch J, Daneshmand S, Fisch M et al. Gender and bladder cancer: a collaborative review of etiology, biology, and outcomes; Eur Urol, 2016;69:300-310
  5. Shariat SF, Sfakianos JP, Droller MJ et al. The effect of age and gender on bladder cancer: a critical review of the literature, BJU Int, 2010;105:300-308
  6. Roger Lacave, Christian-Jacques Larsen et Jacques Robert, Cancérologie fondamentale, John Libbey, , p. 287.
  7. Fraga, S., Zanoun, N., & Haddar, M. (2016). Évaluation de l’exposition professionnelle des patients hospitalisés pour un cancer de la vessie au niveau de deux centres hospitalo-universitaires du centre d’Algérie. Archives des Maladies Professionnelles et de l'Environnement, 77(3), 499.
  8. Colin, R., Grzebyk, M., Goutet, P., Hedelin, G., & Bourgkard, E. (2017). Cancer de la vessie et expositions professionnelles aux brouillards d’huiles: étude cas–témoins nichée dans une cohorte de travailleurs de la sidérurgie. Revue d'Épidémiologie et de Santé Publique, 65(1), 85-86 |résumé
  9. (en) Lamm SH, Engel A, Penn CA et al. Arsenic cancer risk confounder in southwest Taiwan data set, Environ Health Perspect, 2006;114:1077-1082
  10. Paris C & Stücker I (2016) Multi-expositions et risque de cancer: approche épidémiologique. Archives des Maladies Professionnelles et de l'Environnement, 77(3), 494-495.
  11. Boulanger M, Tual S, Lemarchand C, Guizard A V, Velten M, Marcotullio E, ... & Lebailly P (2016) Expositions professionnelles en agriculture et risque de cancer de la vessie: résultats de la cohorte Agrican. Archives des Maladies Professionnelles et de l'Environnement, 77(3), 497 |résuméarsn.
  12. Wallis CJD, Mahar AL, Choo R et al. Second malignancies after radiotherapy for prostate cancer: systematic review and meta-analysis, BMJ, 2016;352:i851
  13. Ishida K, Hsieh MH, Understanding urogenital schistosomiasis-related bladder cancer: an update, Front Med (Lausanne), 2018;5:223
  14. (en) Urist MJ, Di Como CJ, Lu M-L et al. Loss of p63 expression is associated with tumor progression in bladder cancer, Am J Pathol, 2002;161:1199-1206
  15. (en) Chow NH, Chan SH, Tzai TS et al. Expression profiles of ErbB family receptors and prognosis in primary transitional cell carcinoma of the urinary bladder, Clin. Cancer Res., 2001;7:1957-1962
  16. Lim A, Rao P, Matin SF, Lynch syndrome and urologic malignancies: a contemporary review, Curr Opin Urol, 2019;29:357-363
  17. (en) Water disinfection by-products and bladder cancer
  18. (en) Bladder Cancer and Exposure to Water Disinfection By-Products through Ingestion, Bathing, Showering, and Swimming in Pools
  19. (en) Pooling Data on Pools : Genotoxicity of Chemicals in Indoor Swimming Pools
  20. Edwards TJ, Dickinson AJ, Natale S et al. A prospective analysis of the diagnostic yield resulting from the attendance of 4020 patients at a protocol-driven haematuria clinic, BJU Int, 2006;97:301-305
  21. Burger M, Grossman HB, Droller M et al. Photodynamic diagnosis of non-muscle-invasive bladder cancer with hexaminolevulinate cystoscopy: a meta-analysis of detection and recurrence based on raw data, Eur Urol, 2013;64:846-854
  22. (en) Deserno WM, Harisinghani MG, Taupitz M, Urinary bladder cancer: preoperative nodal staging with ferumoxtran-10-enhanced MR imaging, Radiology, 2004;233:499-556
  23. Irani J, Bernardini S, Bonnal JL, et al. « Tumeurs urothéliales : recommandations du Comité de cancérologie de l’Association française d’urologie ». Prog Urol 2004;14:959-96.
  24. Varinot, J., Furudoï, A., Roupret, M., & Compérat, E. (2016). Mise au point sur les classifications moléculaires et la nouvelle classification histologique du cancer de la vessie . Progrès en Urologie, 26(11), 600-607 |résumé
  25. (en) H. von der Maase, L. Sengelov, J. T. Roberts, S. Ricci, L. Dogliotti, T. Oliver, M. J. Moore, A. Zimmermann, and M. Arning « Long-Term Survival Results of a Randomized Trial Comparing Gemcitabine Plus Cisplatin, With Methotrexate, Vinblastine, Doxorubicin, Plus Cisplatin in Patients With Bladder Cancer » J Clin Oncol. 23: 4602 - 4608.
  26. (en) Kaufman DS, Shipley WU, Feldman AS, Bladder cancer, Lancet, 2009;374:239-249
  27. Chang SS, Bochner BH, Chou R et al. Treatment of non-metastatic muscle-invasive bladder cancer: AUA/ASCO/ASTRO/SUO guideline, J Urol, 2017;198:552-559
  28. Babjuk M, Burger M, Comperat E et al. European Association of Urology non-muscle invasive bladder cancer guidelines, 2020
  29. Adsan O, Baltaci S, Cal C, et al. Reliability of frozen section examination of external iliac, hypogastric, and obturator lymph nodes during radical cystectomy: a multicenter study. Urology 2007;69:83-6.
  30. 3. Lebret T, Hervé JM, Yonneau L, et al. « Étude de la survie après cystectomie pour cancer de vessie À propos de 504 cas » Prog Urol. 2000;10:553-60.
  31. Sylvester RJ, Oosterlinck W, van der Meijden AP, A single immediate postoperative instillation of chemotherapy decreases the risk of recurrence in patients with stage Ta T1 bladder cancer: a meta-analysis of published results of randomized clinical trials, J Urol, 2004;171:2186-2190
  32. Messing EM, Tangen CM, Lerner SP et al. Effect of intravesical instillation of gemcitabine vs saline immediately following resection of suspected low-grade non-muscle-invasive bladder cancer on tumor recurrence: SWOG S0337 randomized clinical trial, JAMA, 2018;319:1880-1888
  33. Sylvester RJ, van der Meijden APM, Witjes JA, Kurth K, Bacillus Calmette-Guerin versus chemotherapy for the intravesical treatment of patients with carcinoma in situ of the bladder: a meta-analysis of the published results of randomized clinical trials, J Urol, 2005;174:86-91
  34. Steinberg G, Bahnson R, Brosman S et al. Efficacy and safety of valrubicin for the treatment of bacillus Calmette-Guerin refractory carcinoma in situ of the bladder, J Urol, 2000;163:761-767
  35. Steinberg RL, Thomas LJ, Brook N et al. Multi-institution evaluation of sequential gemcitabine and docetaxel as rescue therapy for nonmuscle invasive bladder cancer, J Urol, 2020;203:902-909
  36. Balar AV, Kulkarni GS, Uchio EM et al. Keynote 057: phase II trial of pembrolizumab (pembro) for patients (pts) with high-risk (HR) nonmuscle invasive bladder cancer (NMIBC) unresponsive to bacillus Calmette-Guérin (BCG), J Clin Oncol, 2019;37(suppl7):350
  37. Moore, Malcolm J., Winquist, Eric W., Murray, Nevin, Tannock, Ian F., Huan, Susan, Bennett, Katherine, Walsh, Wendy, Seymour, Lesley Gemcitabine Plus Cisplatin, an Active Regimen in Advanced Urothelial Cancer: A Phase II Trial of the National Cancer Institute of Canada Clinical Trials Group J Clin Oncol 1999 17: 2876
  38. Zargar H, Espiritu PN, Fairey AS et al. Multicenter assessment of neoadjuvant chemotherapy for muscle-invasive bladder cancer, Eur Urol, 2015;67:241-249
  39. 1 2 Bellmunt J, Theodore C, Demkov T, et al . Phase III trial of vinflunine plus best supportive care compared with best supportive care alone after a platinum-containing regimen in patients with advanced transitional cell carcinoma of the urothelial tract. J Clin Oncol 2009;27:4454-4461.
  40. Centre international de recherche sur le cancer - Simple urine test could significantly improve early detection of bladder cancer, say researchers
  41. La Recherche, , p. 16

Voir aussi

Articles connexes

  • icône décorative Portail de la médecine