Cancer du col utérin

Cet article traite principalement des formes invasives des cancers du col de l'utérus. Pour les stades antérieurs (dysplasie et carcinome in situ), voir aussi l'article Prévention et dépistage du cancer du col utérin.

Cancer du col utérin
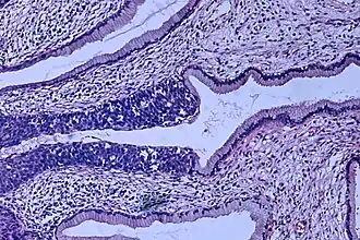
Description de cette image, également commentée ci-après
De gauche vers le centre de l'image, carcinome in situ (violet foncé) atteignant les glandes cervicales[1].
Traitement
Spécialité Oncologie
Classification et ressources externes
CISP-2 X75
CIM-10 C53
CIM-9 180
OMIM 603956
DiseasesDB 2278
MedlinePlus 000893
eMedicine 253513
radio/140
MeSH D002583

Wikipédia ne donne pas de conseils médicaux Mise en garde médicale

Le cancer du col utérin ou cancer du col de l'utérus (CCU) est un cancer invasif qui se développe à partir de la zone de jonction entre l'épithélium malpighien et de l'épithélium glandulaire du col de l'utérus. Il ne se développe que très lentement mais dans une immense majorité des cas après une infection persistante par un papillomavirus humain oncogène (HPV)[2],[3], un virus sexuellement transmissible. Ce virus ayant un tropisme pour les épithéliums malpighiens. Parmi les plus de 200 types d'HPV connus seuls 12 sont oncogènes (16, 18, 31, 33, 35, 45, 52, 58, 39, 51, 56, 59)[4].

En 2018, en France, 1177 femmes sont mortes de ce cancer[5]. Pourtant, le cancer du col de l’utérus est le seul cancer pour lequel il existe un examen de dépistage, le frottis du col de l’utérus et/ou la recherche directe du papillomavirus qui permet à la fois de dépister les lésions précancéreuses et les cancers à un stade permettant plus facilement la guérison et un vaccin contre le principal facteur de risque, le papillomavirus comme le soulignait le Plan Cancer 2014-2019 français[6]. Le cancer du col est l’un des rares cancers pour lequel le stade précurseur (lésion précancéreuse) persiste de nombreuses années avant d’évoluer vers un authentique cancer invasif, ce qui offre un temps amplement suffisant pour le détecter et le traiter.

Associée au frottis et/ou test-HPV, la vaccination constitue une arme très efficace pour permettre une élimination du cancer du col de l’utérus[6].

Histoire naturelle

Un processus long et réversible

La présence d'une infection à HPV oncogène est indispensable pour développer un cancer du col de l'utérus mais n'est pas suffisante à elle seule. Le développement d'un CCU nécessite des facteurs associés.

La survenue d'un cancer du col de l'utérus est le plus souvent le résultat d’un processus se déroulant sur 10-15 ans et en quatre étapes[7],[8] :

  1. Infection productive initiale par un virus oncogène,
  2. Infection persistante (virus oncogène toujours détectable après 2 ans),
  3. Infection transformante ou précancer,
  4. cancer invasif.

Le cancer du col est l’un des rares cancers pour lequel le stade précurseur (lésion précancéreuse) persiste de nombreuses années avant d’évoluer vers un authentique cancer invasif, ce qui offre un temps amplement suffisant pour le détecter et le traiter. Toutes les lésions précancéreuses quel que soit leur grade peuvent se guérir spontanément. Les lésions précancéreuses les moins graves (CIN I aussi appelée lésion malpighienne intraépithéliale de bas grade dans la nomenclature 2014 de Bethesda) guérissent spontanément dans 90 % des cas au bout de 10 ans[9]. Ainsi on estime que seules 2% des CIN I vont se transformer en cancer invasif. Même les lésions intraépithéliales dites de haut de grade peuvent se guérir spontanément[9] mais dans un nombre très faible de cas (moins de 5%).

Un processus nécessitant un milieu local inflammatoire chronique, un virus oncogène et une réponse immunitaire inadaptée

Un microbiote vaginal déséquilibré est le support pour un état inflammatoire chronique entrainant une altération des cellules

Dans le microbiote vaginal, la diminution du nombre de Lactobacillus et l'augmentation des bactéries anaérobies perturbe l'équilibre dynamique et mécaniquement entraîne une production accrue de cytokines et de chimiokines pro-inflammatoires associées qui amplifient la réponse inflammatoire, augmentent le nombre de cellules immunitaires recrutées et endommagent les cellules épithéliales[10], ce qui est l’un des mécanismes de la néoplasie intraépithéliale cervicale[11],[12],[13]. Cette diminution des Lactobacillus entraine aussi une diminution de la production de peroxyde d'hydrogène, d'acide lactique et de peptides antimicrobiens.

Cette perturbation favorise une dérégulation immunitaire locale fournissant un site propice au développement de tumeurs[14]. L'infection persistante se transforme en inflammation chronique, qui peut provoquer des effets cytotoxiques sur les cellules normales, endommager l'ADN et éventuellement se transformer en cellules cancéreuses, conduisant au cancer du col de l'utérus[15],[16]. L'expression des protéines oncogènes E6 et E7 par les papillomavirus à haut risque favorisait l'inhibition de l'apoptose malgré les dommages à l'ADN dans les cellules, conduisant à des anomalies de la chromatine[17].

Un microbiote vaginal de type CST-IV est le moins protecteur. Ce microbiote est le plus proche de la vaginose. Les micro-organismes de ce microbiote sont un facteur de risque potentiel de survenue du cancer du col de l'utérus[18]. Les métabolites microbiens du col de l’utérus pourraient également être altérés par ce microbiote[19]. Par exemple, l’augmentation des bactéries anaérobies aboutit à une augmentation de la production d'amines[20]. Le glycochénodésoxycholate est un produit métabolique d'un métabolisme hôte-microbien, qui pourrait inhiber la croissance de certaines bactéries de la vaginose mais il a aussi une action oncogène à partir d'une certaine concentration de glycochénodésoxycholate[21]. Plusieurs enquêtes soulignent que la perturbation du microbiote pourrait contribuer au cancer du col de l’utérus[22],[23] comme le lien entre microbiote vaginal de type CST-IV est plus fréquent chez les patients au stade carcinome in situ et des concentrations élevées de cytokines pro-inflammatoires se trouvent dans l'environnement vaginal des patientes présentant une dysplasie cervicale. La quantité de cytokines pro-inflammatoires (interleukine 1, interleukine 6, interleukine 8, facteur de nécrose tumorale) dans le vagin est proportionnel avec la gravité de la dysplasie allant jusqu'à une concentration quadruplée chez les femmes atteintes d’un cancer invasif[24],[25].

Le papillomavirus est le responsable majeur au cancer du col de l'utérus mais il ne constitue pas une condition suffisante pour ce cancer[26]. La persistance de l’infection par le papillomavirus peut être affectée de plusieurs manières comme le déséquilibre du microbiote cervicovaginal. Diverses cytokines sont produites et endommagées par la barrière épithéliale qui crée des conditions optimales pour l'infection par le papillomavirus[27]. Une infection persistante par le papillomavirus a à son tour un impact sur la dérégulation et l’inflammation de la microbiologie cervicale et vaginale, car les défenses immunitaires de l’hôte pourraient être affectées négativement par une infection persistante par le papillomavirus[28]. Lorsque le papillomavirus infecte la surface de la muqueuse, une série de mécanismes liés à l'inflammation sont initiés par le papillomavirus, tels que l'activation de macrophages et de cellules NK surexprimés et l'activation de l'immunité muqueuse locale par des cytokines pro-inflammatoires[29]. L’infection par le papillomavirus et le déséquilibre du microbiote s’influencent mutuellement.

Le microenvironnement et les molécules impliquées dans la carcinogenèse cervicale

L’activation anormale de voies de signalisation différentes est également un facteur contribuant à la carcinogenèse : la voie de transcription NF-κB et les transducteurs du signal STAT3 sont associés à la carcinogenèse[30],[31] en influençant la régulation du génome du papillomavirus[32]. L'activation de la voie de signalisation JAK-STAT joue un rôle important dans l'évasion immunitaire. STAT3 peut non seulement augmenter l'expression de cytokines anti-inflammatoires (facteur de croissance transformant, l'interleukine 6 et l'interleukine 10), mais également favoriser l'agrégation des cellules T régulatrices et induire le microenvironnement tumoral immunosuppresseur[33]. Il a été constaté que l'expression des oncoprotéines E6/E7 favorise l'expression de STAT3, qui à son tour inhibe la production de la protéine du rétinoblastome et de la protéine p53[34],[35].

Les mutations du papillomavirus régulent négativement le NF-κB, bloquant ainsi la réponse immunitaire. Après avoir développé un cancer, NF-κB est réactivé par les cytokines libérées par les macrophages associés aux tumeurs. La dérégulation de NF-κB favorise les réponses inflammatoires, la prolifération et la différenciation cellulaire anormales, l'angiogenèse persistante, l'évitement de la destruction immunitaire et même l'infiltration tissulaire et les métastases[36].

Le stress oxydatif et le stress nitrique sont parmi les principaux mécanismes du cancer induit par l’inflammation. Certains dérivés réactifs de l'oxygène et à l'azote ont été associés au cancer lié à l'inflammation provoqué par des microbes[37],[38]. Ils peuvent provoquer un stress oxydatif anormal dans le microenvironnement et inhiber le fonctionnement des cellules immunitaires. Le microbiotope CST-IV avec des anaérobies comme espèce dominante à une concentration plus élevée d'amines biogènes[38] conduisent non seulement à la production de nitrosamines, mais améliorent également la résistance des agents pathogènes aux systèmes de défense médiés par l'hôte. Certaines espèces de Lactobacillus empêchent la colonisation de bactéries produisant des niveaux élevés d'amines. Lactobacillus pourrait également éliminer les agents cancérigènes de ces amines et fournir une couche de protection supplémentaire. Lactobacillus aurait un effet cytotoxique sur les cellules cancéreuses du col de l'utérus, empêchant ainsi le développement de ce cancer[39].

Épidémiologie

En 2018, on recense environ 570 000 cas de cancer du col de l'utérus et 311 000 décès dus à la maladie. Le cancer du col de l'utérus était le quatrième cancer le plus fréquent chez les femmes, après le cancer du sein (2,1 millions de cas), le cancer colorectal (0,8 million) et le cancer du poumon (0,7 million). L'incidence du cancer du col utérin normalisée selon l'âge était de 13,1 pour 100 000 femmes dans le monde et variait considérablement selon les pays, avec des taux allant de moins de 2 à 75 pour 100 000 femmes. Le cancer du col utérin était la principale cause de décès liés au cancer chez les femmes en Afrique orientale, occidentale, moyenne et australe. L'incidence estimée la plus élevée se trouve en Eswatini avec environ 6,5 % des femmes développant un cancer du col de l'utérus avant l'âge de 75 ans[40].

Incidence du cancer cervical en 2018 dans le monde

La Chine et l'Inde représentent ensemble plus d'un tiers de la charge cervicale mondiale, avec 106 000 cas en Chine et 97 000 cas en Inde dont 48 000 décès en Chine et 60 000 décès en Inde. À l'échelle mondiale, l'âge moyen au moment du diagnostic de cancer du col utérin était de 53 ans, allant de 44 ans (Vanuatu) à 68 ans (Singapour)[40].

L'âge moyen mondial au décès par cancer du col de l'utérus était de 59 ans, allant de 45 ans (Vanuatu) à 76 ans (Martinique). Le cancer du col de l'utérus s'est classé parmi les trois principaux cancers affectant les femmes de moins de 45 ans dans 146 (79 %) dans 185 pays évalués[40].

Le nombre absolu de cas de cancer du col de l'utérus dans le monde a augmenté au fil du temps (471 000 en 2000, 529 000 en 2008 et 570 000 en 2018)[41],[42]. Cette augmentation pourrait être due à la croissance et au vieillissement de la population[43].

Mortalité cancer cervical en 2018 dans le monde

L'âge moyen au moment du diagnostic du cancer du col de l'utérus étant assez bas par rapport à celui de la plupart des autres types de cancer, il entraîne une perte proportionnellement plus importante d'années de vie au cours desquels les femmes adultes ont de nombreuses responsabilités économiques et familiales envers leur famille[44],[45].

La mortalité par cancer du col de l'utérus est le cancer avec la plus grande variation selon les pays[46]. Le cancer du col de l'utérus demeure la principale cause de décès par cancer chez les femmes dans 42 pays à faibles ressources, contrairement à la 19e cause la plus fréquente en Finlande (pays à ressources élevées).

Il existe une très grande disparité de l'incidence du CCU dans le monde en fonction du revenu national brut (RNB) du pays. Dans les pays à haut RNB, comme la France, c'est le quinzième cancer de la femme. Dans les pays à bas ou moyen RNB c'est le second cancer de la femme. D'autres facteurs putatifs liés à la situation socioéconomique, le développement et les transitions vers un mode de vie plus typique des pays à revenu élevé (y compris les facteurs reproductifs et sexuels), semblent sous-tendre des changements majeurs dans le risque de cancer, dont l'effet a été observé dans la baisse des taux de cancer du col utérin au fil du temps et l'augmentation concomitante du cancer du sein dans plusieurs pays à économies émergentes[40],[47].

Incidence en fonction de l'âge du cancer cervical selon l'indice de développement humain

Certaines régions d'Asie occidentale et d'Afrique du Nord où l'incidence du cancer du col de l'utérus a une faible prévalence du HPV, ce qui s'explique le plus vraisemblablement par des facteurs sociétaux liés au comportement sexuel[48]. Ces pays présentent également de faibles taux d'autres infections sexuellement liées, telles que le VIH. En revanche, dans les régions d'Afrique subsaharienne, d'Amérique latine et d'Asie du Sud, les taux élevés de cancer du col utérin reflètent probablement un risque élevé, expliqué par les taux élevés de transmission du HPV et du VIH[49].

Les faibles taux de cancer du col de l'utérus en Amérique du Nord, dans le nord et l'ouest de l'Europe, ainsi qu'en Australie et en Nouvelle-Zélande sont probablement le résultat d'un dépistage cytologique réussi[50],[51]. Ces programmes de dépistage ont neutralisé l'exposition accrue aux facteurs de risque entre les générations nés après 1945. Cependant, lorsque le dépistage, la prise en charge des patients avec des résultats de dépistage positifs, ou les deux étaient de mauvaise qualité, ce qui a entraîné des tendances légèrement à la baisse, stables ou même à la hausse, comme on l'a observé en Irlande, au Portugal et dans plusieurs pays baltes et d'Europe orientale, où le taux de cancer du col de l'utérus est parmi les plus élevés du monde[52],[53],[54].

L'observation d’une tendance à la hausse de l’incidence du cancer du col de l’utérus dans plusieurs pays disposant de programmes de prévention est expliqué par une exposition accrue au HPV insuffisamment compensée par le dépistage[55],[56],[57].

Cancer du col en Europe

Le cancer du col utérin est le deuxième cancer le plus fréquent après le cancer du sein à toucher les femmes âgées de 15 à 44 ans dans l'Union européenne. Chaque année, il y a environ 33 000 cas de cancer du col de l'utérus dans l'UE et 15 000 décès.

Cancer du col en France

En 2018, c'est le quinzième cancer en nombre de décès chez la femme avec environ 3 000 nouveaux cas par an et près de 1 100 décès estimés, le pic de mortalité est atteint vers 50 ans. Trois quarts des cas sont diagnostiqués chez des femmes âgées de moins de 65 ans[58].

Alors qu'il avait fortement baissé dans les années 1980 et 1990, cette tendance s'est ralentie jusqu'au début des années 2000. On assiste actuellement à une légère remontée de l'incidence de ce cancer. L’analyse des tendances par âge révèle en revanche un ralentissement de la baisse de l’incidence à partir des années 2000 chez les femmes de 50 à 60 ans, avec une légère augmentation en fin de période. Cette évolution pourrait être liée à une modification des comportements à risque chez les femmes nées après 1950, avec le recours à la contraception, l’abaissement de l’âge au premier rapport sexuel, l’augmentation du nombre de partenaires et les changements dans les pratiques sexuelles, qui contribuerait à une augmentation de la prévalence de l’infection persistante par le papillomavirus humain (HPV) chez ces femmes. La stagnation du taux de couverture du dépistage et les limites d’un dépistage individuel peuvent aussi avoir contribué à cet effet. Cette même augmentation du risque d’exposition au HPV pourrait par ailleurs expliquer l’augmentation de l’incidence d’un cancer rare, le cancer de l'anus, dont les tendances par âge montrent également une augmentation principalement chez les femmes de 50 et 60 ans[59].

Année Nombre de nouveaux cas Nombre de décès Taux de mortalité pour 100 000 habitants Source
2018 2920 1177 1,7 [5]

Facteurs de risque

Plusieurs facteurs de risques sont identifiés :

  • Les papillomavirus humains (notamment HPV16 et HPV18) jouent un rôle épidémiologique[7],[60],[61] majeur (et peut-être croissant) dans la maladie : ils sont présents dans 80 % des cancers du col de l’utérus et des lésions in situ de haut grade. La découverte du rôle de ces virus dans ce cancer valut à Harald zur Hausen le Prix Nobel de médecine 2008.
    En novembre 2010, la revue Lancet Oncology a publié les résultats d'une étude montrant que huit types de papillomavirus sont responsables de 90 % des cas de cancer du col de l'utérus[62].
  • La pilule (contraception par œstroprogestatifs) induit une majoration modérée du risque de développer un cancer du col utérin[63] (augmentation du risque inférieure à 1 %).
  • Le VIH/SIDA : le cancer du col chez une patiente séropositive pour le VIH.
  • Le tabagisme : plusieurs études ont montré que fumer augmente très significativement le risque de plusieurs cancers[64], dont certains types de cancers du col[65],[66] ; 18 % des adenocarcinomes du col et 43 % des carcinomes squameux se déclarent chez des fumeurs (pour 22 % des cas-contrôles étant fumeurs). Mais fumer n'a pas le même effet selon le type de cancer considéré : le tabac augmente le risque de carcinome squameux tout en diminuant légèrement celui de développer un adénocarcinome du col (de même si l'on se limite aux cancers associés au HPV), ce qui confirme que les cofacteurs étiologiques varient selon le type de cancer[67] ; les composés toxiques libérés par le tabac pourraient diminuer l'immunité des parois utérines et favoriser l'infection par les papillomavirus humains puis la néoplasie[68].
  • L'exposition au diethylstilbestrol in utero a été identifiée comme un cofacteur de risque[69].

À l'inverse, l'utilisation d'un stérilet dispositif intra-utérin (ou DIU) durant la vie diminuerait de moitié le risque de développer un cancer du col de l'utérus (carcinome épidermoïde, adénosquameux ou adénocarcinome). Plusieurs hypothèses explicatives, non exclusives, ont été avancées. Notamment, des lésions induites par la mise en place, le port et/ou le retrait d'un DIU pourraient induire une réaction inflammatoire à bas bruit et/ou une réaction immunitaire cellulaire qui enrayerait le processus de cancérisation[70].

Prévention - Dépistage

L'immense majorité des cancers du col de l'utérus sont causés par les Papillomavirus (HPV)

La prévention primaire du col de l'utérus est possible par la vaccination. Les premiers vaccins, introduits en 2006, étaient actifs contre les HPV 16 et HPV 18 responsable de 70 % des CCU. L'introduction de nouveaux vaccins actifs contre 7 HPV oncogènes rassemblant 90 % des HPV oncogènes permet d'entrevoir une éradication. Il faudra attendre plusieurs décennies après leur utilisation dans une population avant que tous leurs avantages en matière de prévention du cancer soient réalisés, et un impact substantiel des vaccins sur l'incidence du cancer du col de l'utérus ou les résultats de mortalité doivent encore être observés. Les résultats d’une méta-analyse sur 60 millions de sujets avec un suivi de 8 ans post-vaccination parue en juin 2019 montrent clairement l’impact considérable des programmes de vaccination contre l’HPV sur les infections à HPV, notamment les néoplasies intraépithéliales du col utérin chez les jeunes filles et les femmes[71]. En Suède, une réduction des lésions précancéreuses de 75 % a été observée chez les jeunes filles vaccinées avant l’âge de 17 ans en comparaison aux autres jeunes filles[72]. Des études prouvent son efficacité[73],[74]. En France, le plan cancer 2014-2019 avait proposé d'atteindre une couverture vaccinale minimum de 60 %[75].

C'est un moyen majeur pour les pays à revenu national brut inférieur à 12 000 $ par habitant, mais qui prendra des dizaines d’années avant d'être efficace, sous réserve d'une couverture vaccinale suffisante.

La prévention secondaire repose sur le dépistage direct de l'infection persistante (test HPV) ou des modifications de l'architecture et noyau de la cellule par une infection transformante (dépistage cytologique). Ces deux moyens ne sont pas accessibles à la majeure partie de la population pour les pays à revenu national brut inférieur à 12 000 $ par habitant. Dans ces pays, la prévention secondaire repose sur l'inspection visuelle à l'acide acétique.

Pendant des dizaines d’années le dépistage était fondé sur la recherche d'anomalie des cellules malpighiennes. Une consultation est indispensable pour le pratiquer. Beaucoup de conditions peuvent perturber l'interprétation par le cytologiste. (infection, inflammation, présence de sang) le frottis doit aussi ramener des cellules à la fois glandulaire et malpighienne témoignant que la zone de jonction entre la l'épithélium malpighien et glandulaire a été atteinte (parfois impossible après la ménopause). L'interprétation des anomalies cellulaires est assez subjective. En cas de cancer invasif le frottis peut revenir normal, en effet les cellules prélevées sont toutes nécrosées, les cellules cancéreuses se trouvent en profondeur. La sensibilité du frottis cytologique est moyenne[76] (autour de 50 %).

L'apparition de test HPV (grande sensibilité mais d'une faible spécificité) permet de dépister beaucoup plus de cancers. Sa prédictibilité à long terme est aussi supérieure (5 ans au lieu de 3 ans pour le frottis cytologique). Sa supériorité par rapport au frottis cytologique en termes de sensibilité est maintenant démontrée surtout après 30 ans, mais doit s'accompagner d'une cytologie réflexe en cas de résultat positif en raison de sa faible spécificité[77],[78]. En France, la HAS recommande comme moyen de dépistage le test HPV en première intention pour les femmes de 30 à 65 ans, avec confirmation par frottis cytologique[79],[80]. Avant 30 ans, en raison de la très grande prévalence de l'infection HPV par les femmes jeunes et de la faible spécificité du test par les femmes jeunes, le frottis cytologique doit être maintenu[80].

La prévention tertiaire repose sur la destruction de l'épithélium malpighien cervical atteint par l'infection transformante.

En France en 2021, seulement 37.4 % des adolescentes de 16 ans sont vaccinées contre le papillomavirus[81].

Définition

Le lent développement du cancer du col de l'utérus

Le col de l’utérus est entièrement recouvert d’une muqueuse, composée d’un tissu de surface appelé épithélium et d’un tissu conjonctif en profondeur. La frontière entre les deux tissus est appelée membrane basale.

Au niveau de l’endocol, l’épithélium contient des glandes qui produisent un mucus (épithélium glandulaire). L’épithélium glandulaire est constitué d’une seule couche de cellules hautes. Il tapisse le canal endocervical et s’étend vers l’extérieur sur une portion variable de l’exocol. Au niveau de l’exocol, l’épithélium est semblable à celui de l’épiderme de la peau (épithélium malpighien). Il est constitué d’une couche profonde épaisse recouverte de plusieurs couches de cellules de plus en plus plates se superposant comme des tuiles.

La zone où se rencontre l’épithélium glandulaire et l'épithélium malpighien est la zone de jonction. 90% des cancers naissent de jonction.

La transformation cellulaire de l'épithélium malpighien par l'infection transformante débute au niveau des cellules superficielles de cette épithélium et se dirige vers la membrane basale.

Le cancer est dit invasif lorsque les cellules cancéreuses rompent la membrane basale.

Le carcinome in situ est la modification cellulaire atteignant toutes les couches cellulaires de l'épithélium malpighien sans rupture de la membrane basale,

Les muqueuses de l'organisme n'ont pas toutes de membrane basale donc la notion de cancer in situ n'existe pas pour tous les cancers.

Clinique

Circonstances de diagnostic

Le diagnostic se fait soit au cours d'un dépistage ou par des signes cliniques.

Le principal signe est un saignement par les voies génitales, provoqué le plus souvent lors d'un rapport sexuel, et ce, en dehors de la période des règles. Mais tout saignement anormal, quelles que soient ses caractéristiques, peut révéler un cancer.

La douleur est très tardive.

Examen clinique

Le diagnostic clinique n'est pas toujours facile dans les formes avancées surtout si le cancer est un cancer infiltrant sans lésion bourgeonnante.

À l'examen au spéculum, on voit une lésion soit bourgeonnante soit ulcérante du col de l'utérus ou même parfois ulcérobourgeonnante. Le médecin doit absolument visualiser la zone de jonction.

Au toucher vaginal le col est dur comme de la pierre lorsque le cancer mesure plusieurs centimètres. Il permettra d'évaluer l'extension du cancer au-delà du col de l'utérus : vagin, paroi latérale du col de l'utérus, cul-de-sac latéral du vagin.

En cas de lésion non visible, la colposcopie permet de retrouver la lésion et de diriger la biopsie.

Diagnostic

Devant un col macroscopiquement anormal, un résultat normal du dépistage cytologique ne suffit pas à exclure le diagnostic de cancer du col utérin.

Le diagnostic d’un cancer du col utérin repose sur l’examen histopathologique :

  • soit des biopsies cervicales centrées sur les lésions et effectuées si besoin sous contrôle colposcopique ;
  • d’une pièce de conisation (zone de jonction pavimentocylindrique non visualisable) ;
  • ou d'un curetage endocervical si la zone de jonction n'est pas visible.

L’examen histopathologique est l'examen clé du diagnostic. Il confirme le caractère invasif, son type histologique et son grade de différenciation.

Types histologiques

Il existe deux types principaux de cancer du col utérin[82] :

  • dans 80-90 % des cas il s'agit d'un carcinome épidermoïde qui se développe à partir du revêtement épithélial du col ;
  • dans 10-20 % des cas, il s'agit d'un adénocarcinome qui se développe à partir du revêtement glandulaire du col.

Les filles de femmes ayant été traitées par le diéthylstilbestrol durant la grossesse présentent un risque plus élevé d'avoir un type rare de CCU, le carcinome à cellules claires.

Évolution naturelle

Sans traitement le cancer du col est quasiment toujours mortel. Le décès survient par envahissement des organes de voisinage (vessie, uretère, rectum, vaisseaux). Le cancer du col est un cancer peu métastasant sauf au niveau des ganglions.

Extension

Le toucher vaginal est la première étape pour évaluer l'extension.

L’imagerie par résonance magnétique (IRM) pelvienne préthérapeutique (débutant aux pédicules rénaux et allant jusqu’à la symphyse pubienne) est l’examen de référence pour connaitre de façon précise la taille de la tumeur et son extension aux organes voisins mais sa précision pour le diagnostic les métastases ganglionnaires dépend de la taille du ganglion.

La tomographie à émission de positrons, couplée à la tomodensitométrie (scanner), semble être une technique prometteuse dans ces cas[83].

Classification

Il existe plusieurs classifications permettant de proposer un traitement :

  • classification de la Fédération internationale des gynécologues et obstétriciens[84], appelé « classification FIGO » ;
  • classification TNM ;
  • classification du MD Anderson Cancer Center ;

Ces classifications sont essentiellement cliniques et ne prennent pas en compte les résultats des examens d'imagerie.

Classifications de la Fédération internationale des gynécologues et obstétriciens et TNM

FIGO TNM Source : Université de la Sorbonne[85]
0 Carcinome in situ Précancer »)
I T1 Carcinome limité au col
IA T1a Carcinome invasif préclinique (détectable uniquement par histologie)
Toute lésion macroscopique est un stade IB
IA1 T1a1 Invasion du stroma inférieur à mm en profondeur et inférieur à mm horizontalement
IA2 T1a2 Invasion du stroma entre 3 et mm en profondeur et inférieur à mm horizontalement
IB T1b Lésion cliniquement visible, limitée au col ou lésion microscopique ou supérieure à un IA2
IB1 T1b1 Lésion limitée au col de moins de 4 cm
IB2 T1B2 Lésion limitée au col de plus de 4 cm
II T2 Tumeur dépassant le col mais n'atteignant pas la paroi pelvienne ni le tiers inférieur du vagin
IIA T2a Sans envahissement du paramètre
IIB T2b Avec envahissement du paramètre
III T3 Lésion atteignant la paroi pelvienne et/ou le tiers inférieur du vagin et/ou présence d'une hydronéphrose
IIIA T3a Lésion atteignant le tiers inférieur du vagin
sans atteindre la paroi pelvienne
IIIB T3b Lésion atteignant la paroi pelvienne et/ou présence d'une hydronéphrose
IV T4 Tumeur dépassant le pelvis ou atteignant la vessie ou le rectum
IVA Lésion atteignant la vessie ou le rectum
IVB M1 Métastase à distance
N0 sans envahissement ganglionnaire
N1 envahissement ganglionnaire

Traitements

La prise en charge du cancer du col utérin a fait l'objet de publications de recommandations. Celles issues de sociétés savantes européennes datent de 2018[86].

Le temps où le médecin décidait seul d'un traitement d'un cancer est révolu. Il doit obligatoirement présenter son dossier au cours d'une réunion multidisciplinaire. Une réunion multidisciplinaire pour le traitement d'un cancer est la réunion de plusieurs médecins, chacun spécialiste dans un type de traitement particulier (radiothérapie, chimiothérapie, chirurgie, etc.) et un cancérologue. Elle comprend donc au minimum un radiothérapeute, un chirurgien, un cancérologue et un chimiothérapeute. N'importe quel médecin peut présenter le dossier d'un malade pour connaitre la meilleure prise en charge possible pour le patient. En 2020, en France, un médecin qui commencerait un traitement sans en référer à une réunion multidisciplinaire pourrait voir sa responsabilité professionnelle engagée.

Après la réunion multidisciplinaire, un parcours de soins est proposé aux patients.

Le traitement d'un cancer relève, le plus souvent, d'établissements spécialisés et expérimentés. Il n'existe pas un traitement unique mais de multiples possibilités de traitement. Enfin, la rapidité de l'évolution des connaissances médicales impose le recours à des médecins bénéficiant d'une formation médicale adaptée.

La chirurgie et la radiothérapie sont des traitements locaux. Les autres traitements sont des traitements généraux agissant dans tout l'organisme. Le cancer du col utérin n’est pas hormono-dépendant donc il n'existe pas d'hormonothérapie.

Moyens

Chirurgie

La chirurgie peut être faite par laparotomie ou sous cœlioscopie, la première technique, bien qu'ayant des suites immédiates moins simples, ayant de meilleurs résultats au niveau carcinologique[87],[88].

Colpohystérectomie élargie

Souvent appelée intervention de Wertheim. Lors de cette intervention, le chirurgien retire l’utérus, les paramètres, les ovaires et la partie supérieure du vagin. La colpohystérectomie élargie est proposée pour traiter les tumeurs limitées au col de l’utérus et de taille inférieure à 4 centimètres.

Au cours de cette intervention, on pratique souvent curage ganglionnaire ou lymphadénectomie pelvienne qui consiste à retirer les ganglions lymphatiques du pelvis, plus le chirurgien retire de ganglions mieux c'est car le nombre de ganglions influence sur la thérapeutique à faire après l'intervention. Cette intervention n'est pas simple car les ganglions se trouvent de l'aorte iliaque et des veines iliaques. La technique du ganglion sentinelle est en cours d’évaluation. Elle consiste à retirer le ou les ganglions lymphatiques les plus proches de la tumeur afin de déterminer s’ils ont été envahis par des cellules cancéreuses. Cette technique permettrait d’éviter de retirer la totalité des ganglions lymphatiques du pelvis si ce n’est pas nécessaire.

Hystérectomie totale simple

Avec conservation des ovaires et sans ablation des paramètres et avec ou sans curage ganglionnaire.

Trachélectomie

La trachélectomie est une intervention très délicate et pratiquée de façon exceptionnelle.

La tracélectiomie consiste à retirer uniquement le col de l’utérus et aussi, parfois, la partie supérieure du vagin, les paramètres et les ganglions lymphatiques (trachélectomie élargie). Lorsque le col est retiré, le chirurgien réalise des points de suture particuliers pour fermer partiellement l’utérus à l’endroit où se trouvait le col. Le nouvel orifice formé permet l’évacuation du sang, de l’utérus vers le vagin, lors des règles. Elle est plébiscitée chez les personnes ayant un désir de grossesse, avec une tumeur de taille inférieure à 2 centimètres. Cette intervention conserve le corps de l’utérus mais s'accompagne d'une diminution de la fertilité et d'un risque important d'accouchement prématuré en cas de grossesse.

Radiothérapie

Plusieurs types de radiothérapies sont disponibles :

  • la radiothérapie externe utilise des photons d’énergie égale ou supérieure à 10 MeV après réalisation d'un calcul de dose sur une tomodensitométrie de planification ;
  • radiothérapie par le vagin ou curiethérapie endocavitaire. Ce traitement est un standard avec l'utilisation de curiethérapie à bas débit de dose.

Chimiothérapie

Selon le stade du cancer, la chimiothérapie pourra être utilisée en association avec la radiothérapie. Elle est aussi le seul moyen thérapeutique en cas de survenue de métastases.

Immunothérapie

Thérapies ciblées

Il existe actuellement des études de profil moléculaire des cancers du col de l’utérus permettant un traitement particulier pour le CCU de chaque patient[89].

Indications

Globalement seuls les cancers de petite taille peuvent bénéficier d'un traitement uniquement chirurgical. Pour les cancers plus volumineux, certains pays utilisent un traitement uniquement par radiothérapie, d'autres une combinaison de la chirurgie et de la radiothérapie.

La récidive d'un cancer, malgré un traitement chirurgical bien conduit, est une éventualité grave avec un pronostic mauvais[82]. Un inhibiteur du facteur de croissance de l’endothélium vasculaire, le bevacizumab, a pu prolonger la survie globale au-delà de 12 mois dans les récidives de cancer[90].

Pronostic

La mortalité par cancer du col de l'utérus est la tumeur maligne avec la plus grande variation inter-pays parmi tous les cancers[46].

En France

Le taux de mortalité[91] a fortement baissé entre 1980 et 2005, passant de 5,4 à 1,9 pour 100 000 personnes, pendant que l'incidence de ce cancer était divisé par deux sur la même période (de 14,9 à 7,1)[92].

En 2005, le taux de survie moyen à 5 ans est de 70 %, avec de fortes disparités selon l'âge de la détection (82 % chez les 15-44 ans contre 38 % chez les femmes de 75 ans et plus) et selon le stade d'évolution au diagnostic et traitement (91,5 % pour un cancer diagnostiqué au stade précoce, 57,7 % au stade régional et 17,2 % au stade métastatique)[92].

Le taux standardisés selon la structure d’âge de la population mondiale et exprimés pour 100 000 personnes-années est de 1,7.

L'étude de l'évolution de la survie nette à 5 ans donne les chiffres suivants :

  • 1990 : 68 % ;
  • 2002 : 64 % ;
  • 2011 : 66 %[93].

Surveillance après traitement

Le suivi repose sur des consultations médicales. Lors de ces consultations, le médecin réalise un examen clinique et gynécologique et interroge également la patiente sur son état de santé.

Pour les patientes qui ont reçu un traitement conservateur de l’utérus (trachélectomie élargie ou conisation), le frottis de surveillance est systématique au bout de 6 mois, puis 12 mois puis il est réalisé tous les ans. Dans les autres situations, le frottis n’est pas recommandé de manière systématique. C’est notamment le cas pour les patientes qui ont été traitées par radiothérapie car ce traitement rend difficile l’interprétation du frottis[94].

Pour les patientes atteintes d’un cancer épidermoïde, un dosage du marqueur tumoral SCC (squamous cell carcinoma) peut être utile au suivi, si un taux élevé a été révélé au moment du diagnostic[94].

Il n’y a pas d’examen d’imagerie systématique dans le cadre du suivi. Selon les situations, une IRM du pelvis, une TEP ou une échographie des reins sont parfois proposées.

Le cancer du col utérin n’étant pas hormono-dépendant, un traitement hormonal de substitution peut être proposé aux femmes pour qui le traitement a induit une ménopause, en dehors des contre-indications habituelles.

Notes et références

  1. « Colposcopie et Traitement des Néoplasies Cervicales Intraépithéliales : Manuel à l'usage des débutants, édité par J.W. Sellors et R. Sankaranarayanan », sur iarc.fr
  2. 20 minutes - Papillomavirus, l'OMS recommande la vaccination dès 9 ans - Par ailleurs le dépistage à partir de 18 ans des infections au papillomavirus, responsable de 99 % des cancers du col de l'utérus qui tue plus de 270 000 femmes par an, pourra se faire tous les cinq ans en cas de résultats négatifs, contre deux ans actuellement dans de nombreux pays.
  3. Fondation contre le cancer - Le papillomavirus, qu'est-ce exactement ? - Plus de 99 % des cancers du col de l'utérus sont provoqués par une infection chronique par papillomavirus.
  4. (en) IARC, Biological Agents (ISBN 978-92-832-1319-2 et 978-92-832-0134-2, lire en ligne)
  5. 1 2 « Bulletin épidémiologique hebdomadaire », sur santepubliquefrance.fr (consulté le )
  6. 1 2 « Plan cancer 2014-2019 : priorités et objectifs », sur e-cancer.fr (consulté le )
  7. 1 2 Schiffman MH, Brinton LA (1995) The epidemiology of cervical carcinogenesis. Cancer 76: 1888-1901.
  8. (en) Christine Bergeron, Guglielmo Ronco, Miriam Reuschenbach et Nicolas Wentzensen, « The clinical impact of using p16INK4a immunochemistry in cervical histopathology and cytology: An update of recent developments », International Journal of Cancer, vol. 136, no 12, , p. 2741–2751 (ISSN 1097-0215, DOI 10.1002/ijc.28900, lire en ligne, consulté le )
  9. 1 2 (en) Mark Schiffman, John Doorbar, Nicolas Wentzensen et Silvia de Sanjosé, « Carcinogenic human papillomavirus infection », Nature Reviews Disease Primers, vol. 2, no 1, , p. 16086 (ISSN 2056-676X, DOI 10.1038/nrdp.2016.86, lire en ligne, consulté le )
  10. (en) Kyeong A. So, Eun Jung Yang, Nae Ry Kim et Sung Ran Hong, « Changes of vaginal microbiota during cervical carcinogenesis in women with human papillomavirus infection », PLOS ONE, vol. 15, no 9, , e0238705 (ISSN 1932-6203, PMID 32941440, PMCID PMC7498004, DOI 10.1371/journal.pone.0238705, lire en ligne, consulté le )
  11. (en) Johanna Wiik, Verena Sengpiel, Maria Kyrgiou et Staffan Nilsson, « Cervical microbiota in women with cervical intra-epithelial neoplasia, prior to and after local excisional treatment, a Norwegian cohort study », BMC Women's Health, vol. 19, no 1, (ISSN 1472-6874, PMID 30728029, PMCID PMC6364458, DOI 10.1186/s12905-019-0727-0, lire en ligne, consulté le )
  12. (en) J Norenhag, J Du, M Olovsson et H Verstraelen, « The vaginal microbiota, human papillomavirus and cervical dysplasia: a systematic review and network meta-analysis », BJOG: An International Journal of Obstetrics & Gynaecology, vol. 127, no 2, , p. 171–180 (ISSN 1470-0328 et 1471-0528, DOI 10.1111/1471-0528.15854, lire en ligne, consulté le )
  13. (en) Maria Torcia, « Interplay among Vaginal Microbiome, Immune Response and Sexually Transmitted Viral Infections », International Journal of Molecular Sciences, vol. 20, no 2, , p. 266 (ISSN 1422-0067, PMID 30641869, PMCID PMC6359169, DOI 10.3390/ijms20020266, lire en ligne, consulté le )
  14. (en) Robert F. Schwabe et Christian Jobin, « The microbiome and cancer », Nature Reviews Cancer, vol. 13, no 11, , p. 800–812 (ISSN 1474-175X et 1474-1768, PMID 24132111, PMCID PMC3986062, DOI 10.1038/nrc3610, lire en ligne, consulté le )
  15. (en) Fran Balkwill et Alberto Mantovani, « Inflammation and cancer: back to Virchow? », The Lancet, vol. 357, no 9255, , p. 539–545 (DOI 10.1016/S0140-6736(00)04046-0, lire en ligne, consulté le )
  16. (en) José VeríSsimo Fernandes, Thales Allyrio AraúJo De Medeiros Fernandes, Jenner Chrystian VeríSsimo De Azevedo et Ricardo Ney Oliveira Cobucci, « Link between chronic inflammation and human papillomavirus-induced carcinogenesis (Review) », Oncology Letters, vol. 9, no 3, , p. 1015–1026 (ISSN 1792-1074 et 1792-1082, PMID 25663851, PMCID PMC4315066, DOI 10.3892/ol.2015.2884, lire en ligne, consulté le )
  17. (en) Maria Kyrgiou, Anita Mitra et Anna-Barbara Moscicki, « Does the vaginal microbiota play a role in the development of cervical cancer? », Translational Research, vol. 179, , p. 168–182 (PMID 27477083, PMCID PMC5164950, DOI 10.1016/j.trsl.2016.07.004, lire en ligne, consulté le )
  18. (en) M Champer, Am Wong, J Champer et Il Brito, « The role of the vaginal microbiome in gynaecological cancer », BJOG: An International Journal of Obstetrics & Gynaecology, vol. 125, no 3, , p. 309–315 (ISSN 1470-0328 et 1471-0528, DOI 10.1111/1471-0528.14631, lire en ligne, consulté le )
  19. (en) Zehra Esra Ilhan, Paweł Łaniewski, Natalie Thomas et Denise J. Roe, « Deciphering the complex interplay between microbiota, HPV, inflammation and cancer through cervicovaginal metabolic profiling », EBioMedicine, vol. 44, , p. 675–690 (PMID 31027917, PMCID PMC6604110, DOI 10.1016/j.ebiom.2019.04.028, lire en ligne, consulté le )
  20. (en) Tiffanie M. Nelson, Joanna-Lynn C. Borgogna, Rebecca M. Brotman et Jacques Ravel, « Vaginal biogenic amines: biomarkers of bacterial vaginosis or precursors to vaginal dysbiosis? », Frontiers in Physiology, vol. 6, (ISSN 1664-042X, PMID 26483694, PMCID PMC4586437, DOI 10.3389/fphys.2015.00253, lire en ligne, consulté le )
  21. (en) Masana Tatsugami, Masanori Ito, Shinji Tanaka et Masaharu Yoshihara, « Bile Acid Promotes Intestinal Metaplasia and Gastric Carcinogenesis », Cancer Epidemiology, Biomarkers & Prevention, vol. 21, no 11, , p. 2101–2107 (ISSN 1055-9965 et 1538-7755, DOI 10.1158/1055-9965.EPI-12-0730, lire en ligne, consulté le )
  22. (en) Stefan Miladinov Kovachev, « Cervical cancer and vaginal microbiota changes », Archives of Microbiology, vol. 202, no 2, , p. 323–327 (ISSN 0302-8933 et 1432-072X, DOI 10.1007/s00203-019-01747-4, lire en ligne, consulté le )
  23. (en) Elisabetta Caselli, Maria D’Accolti, Erica Santi et Irene Soffritti, « Vaginal Microbiota and Cytokine Microenvironment in HPV Clearance/Persistence in Women Surgically Treated for Cervical Intraepithelial Neoplasia: An Observational Prospective Study », Frontiers in Cellular and Infection Microbiology, vol. 10, (ISSN 2235-2988, PMID 33251154, PMCID PMC7676899, DOI 10.3389/fcimb.2020.540900, lire en ligne, consulté le )
  24. (en) A. Mitra, D. A. MacIntyre, Y. S. Lee et A. Smith, « Cervical intraepithelial neoplasia disease progression is associated with increased vaginal microbiome diversity », Scientific Reports, vol. 5, no 1, (ISSN 2045-2322, PMID 26574055, PMCID PMC4648063, DOI 10.1038/srep16865, lire en ligne, consulté le )
  25. (en) Anita Mitra, David A. MacIntyre, Julian R. Marchesi et Yun S. Lee, « The vaginal microbiota, human papillomavirus infection and cervical intraepithelial neoplasia: what do we know and where are we going next? », Microbiome, vol. 4, no 1, (ISSN 2049-2618, PMID 27802830, PMCID PMC5088670, DOI 10.1186/s40168-016-0203-0, lire en ligne, consulté le )
  26. (en) Nubia Muñoz, F. Xavier Bosch, Silvia de Sanjosé et Rolando Herrero, « Epidemiologic Classification of Human Papillomavirus Types Associated with Cervical Cancer », New England Journal of Medicine, vol. 348, no 6, , p. 518–527 (ISSN 0028-4793 et 1533-4406, DOI 10.1056/NEJMoa021641, lire en ligne, consulté le )
  27. (en) Astride Audirac-Chalifour, Kirvis Torres-Poveda, Margarita Bahena-Román et Juan Téllez-Sosa, « Cervical Microbiome and Cytokine Profile at Various Stages of Cervical Cancer: A Pilot Study », PLOS ONE, vol. 11, no 4, , e0153274 (ISSN 1932-6203, PMID 27115350, PMCID PMC4846060, DOI 10.1371/journal.pone.0153274, lire en ligne, consulté le )
  28. (en) Cameron Klein, Daniela Gonzalez, Kandali Samwel et Crispin Kahesa, « Relationship between the Cervical Microbiome, HIV Status, and Precancerous Lesions », mBio, vol. 10, no 1, (ISSN 2161-2129 et 2150-7511, PMID 30782659, PMCID PMC6381280, DOI 10.1128/mBio.02785-18, lire en ligne, consulté le )
  29. (en) G. Garcea, A.R. Dennison, W.P. Steward et D.P. Berry, « Role of inflammation in pancreatic carcinogenesis and the implications for future therapy », Pancreatology, vol. 5, no 6, , p. 514–529 (DOI 10.1159/000087493, lire en ligne, consulté le )
  30. (en) Shilpi Gupta, Prabhat Kumar et Bhudev C. Das, « HPV: Molecular pathways and targets », Current Problems in Cancer, vol. 42, no 2, , p. 161-174 (DOI 10.1016/j.currproblcancer.2018.03.003, lire en ligne, consulté le )
  31. (en) Farnaz Rasi Bonab, Amir Baghbanzadeh, Moslem Ghaseminia et Nadia Bolandi, « Molecular pathways in the development of HPV-induced cervical cancer », EXCLI Journal; 20:Doc320;, (ISSN 1611-2156, PMID 33746665, PMCID PMC7975633, DOI 10.17179/EXCLI2021-3365, lire en ligne, consulté le )
  32. (en) Shirish Shukla, Mohit Jadli, Kulbhushan Thakur et Gauri Shishodia, « Level of phospho-STAT3 (Tyr705) correlates with copy number and physical state of human papillomavirus 16 genome in cervical precancer and cancer lesions », PLOS ONE, vol. 14, no 9, , e0222089 (ISSN 1932-6203, PMID 31487312, PMCID PMC6728030, DOI 10.1371/journal.pone.0222089, lire en ligne, consulté le )
  33. (en) Jun Yu, Qiang Feng, Sunny Hei Wong et Dongya Zhang, « Metagenomic analysis of faecal microbiome as a tool towards targeted non-invasive biomarkers for colorectal cancer », Gut, vol. 66, no 1, , p. 70-78 (ISSN 0017-5749 et 1468-3288, DOI 10.1136/gutjnl-2015-309800, lire en ligne, consulté le )
  34. (en) Istvan Arany, Kenneth G Grattendick et Stephen K Tyring, « Interleukin-10 induces transcription of the early promoter of human papillomavirus type 16 (HPV16) through the 5′-segment of the upstream regulatory region (URR) », Antiviral Research, vol. 55, no 2, , p. 331-339 (DOI 10.1016/S0166-3542(02)00070-0, lire en ligne, consulté le )
  35. (en) Om Basukala, Suruchi Mittal, Paola Massimi et Marco Bestagno, « The HPV-18 E7 CKII phospho acceptor site is required for maintaining the transformed phenotype of cervical tumour-derived cells », PLOS Pathogens, vol. 15, no 5, , e1007769 (ISSN 1553-7374, PMID 31116803, PMCID PMC6530875, DOI 10.1371/journal.ppat.1007769, lire en ligne, consulté le )
  36. (en) Núria Piqué, Mercedes Berlanga et David Miñana-Galbis, « Health Benefits of Heat-Killed (Tyndallized) Probiotics: An Overview », International Journal of Molecular Sciences, vol. 20, no 10, , p. 2534 (ISSN 1422-0067, PMID 31126033, PMCID PMC6566317, DOI 10.3390/ijms20102534, lire en ligne, consulté le )
  37. (en) Maulilio John Kipanyula, Paul Faustin Seke Etet, Lorella Vecchio et Mohammed Farahna, « Signaling pathways bridging microbial-triggered inflammation and cancer », Cellular Signalling, vol. 25, no 2, , p. 403–416 (DOI 10.1016/j.cellsig.2012.10.014, lire en ligne, consulté le )
  38. 1 2 (en) Tiffanie M. Nelson, Joanna-Lynn C. Borgogna, Rebecca M. Brotman et Jacques Ravel, « Vaginal biogenic amines: biomarkers of bacterial vaginosis or precursors to vaginal dysbiosis? », Frontiers in Physiology, vol. 6, (ISSN 1664-042X, PMID 26483694, PMCID PMC4586437, DOI 10.3389/fphys.2015.00253, lire en ligne, consulté le )
  39. (en) Maria Kyrgiou, Anita Mitra et Anna-Barbara Moscicki, « Does the vaginal microbiota play a role in the development of cervical cancer? », Translational Research, vol. 179, , p. 168–182 (PMID 27477083, PMCID PMC5164950, DOI 10.1016/j.trsl.2016.07.004, lire en ligne, consulté le )
  40. 1 2 3 4 (en) « Estimates of incidence and mortality of cervical cancer in 2018: a worldwide analysis », sur Lancet Global Eath, Lancet, (consulté le )
  41. Arbyn M Castellsagué X de Sanjosé S et al. Worldwide burden of cervical cancer in 2008. Ann Oncol. 2011; 22: 2675-2686
  42. Parkin DM Bray FI Devesa SS Cancer burden in the year 2000. The global picture. Eur J Cancer. 2001; 37: S4-S66
  43. Arbyn M Raifu AO Autier P Ferlay J Burden of cervical cancer in Europe: estimates for 2004. Ann Oncol. 2007; 18: 1708-1715
  44. (en) Marc Arbyn, Elisabete Weiderpass, Laia Bruni et Silvia de Sanjosé, « Estimates of incidence and mortality of cervical cancer in 2018: a worldwide analysis », The Lancet Global Health, vol. 8, no 2, , e191–e203 (ISSN 2214-109X, PMID 31812369, DOI 10.1016/S2214-109X(19)30482-6, lire en ligne, consulté le )
  45. Yang BH Bray FI Parkin DM Sellors JW Zhang Z-F Cervical cancer as a priority for prevention in different world regions: an evaluation using years of life lost.Int J Cancer. 2004; 109: 418-424
  46. 1 2 Fitzmaurice C Allen C Barber RM et al. Global, regional, and national cancer incidence, mortality, years of life lost, years lived with disability, and disability-adjusted life-years for 32 cancer groups, 1990 to 2015: a systematic analysis for the Global Burden of Disease Study. JAMA Oncol. 2016; 3: 524-548
  47. (en) Freddie Bray, Ahmedin Jemal, Nathan Grey et Jacques Ferlay, « Global cancer transitions according to the Human Development Index (2008–2030): a population-based study », The Lancet Oncology, vol. 13, no 8, , p. 790-801 (ISSN 1470-2045 et 1474-5488, PMID 22658655, DOI 10.1016/S1470-2045(12)70211-5, lire en ligne, consulté le )
  48. Gustafsson L Pontén J Bergström R Adami H-O International incidence rates of invasive cervical cancer before cytological screening. Int J Cancer. 1997; 71: 159-165
  49. Jemal A Center MM DeSantis C Ward EM Global patterns of cancer incidence and mortality rates and trends. Cancer Epidemiol Biomarkers Prev. 2010; 19: 1893-1907
  50. (en) Marc Arbyn, Amidu O. Raifu, Elisabete Weiderpass et Freddie Bray, « Trends of cervical cancer mortality in the member states of the European Union », European Journal of Cancer, vol. 45, no 15, , p. 2640-2648 (ISSN 0959-8049 et 1879-0852, DOI 10.1016/j.ejca.2009.07.018, lire en ligne, consulté le )
  51. Jemal A Ward E Thun M Declining death rates reflect progress against cancer. PLoS One. 2010; 5e9584
  52. Mendes D Mesher D Pista A Baguelin M Jit M Understanding differences in cervical cancer incidence in Western Europe: comparing Portugal and England. Eur J Public Health. 2018; 28: 343-347
  53. Arbyn M Antoine J Mägi M et al. Trends in cervical cancer incidence and mortality in the Baltic countries, Bulgaria and Romania.Int J Cancer. 2011; 128: 1899-1907
  54. Bray F Lortet-Tieulent J Znaor A Brotons M Poljak M Arbyn M, Patterns and trends in human papillomavirus-related diseases in Central and Eastern Europe and Central Asia. Vaccine. 2013; 31: H32-H45
  55. Castanon A Sasieni P Is the recent increase in cervical cancer in women aged 20-24 years in England a cause for concern?. Prev Med. 2018; 107: 21-28
  56. McDonald SA Qendri V Berkhof J de Melker HE Bogaards JA, Disease burden of human papillomavirus infection in the Netherlands, 1989-2014: the gap between females and males is diminishing. Cancer Causes Control. 2017; 28: 203-214
  57. Dillner J Sparen P Andrae B Strander B Cervical cancer has increased in Sweden in women who had a normal cell sample. Lakartidningen. 2018; 115 (E9FD (in Swedish).)
  58. « Cancer du col de l'utérus », sur santepubliquefrance.fr (consulté le )
  59. Defossez G,Le Guyader-Peyrou S, Uhry Z, Grosclaude P, Colonna M, Dantony E,et al. Estimations nationales de l’incidence et de la mortalité par cancer en France métropolitaine entre 1990 et 2018. Synthèse. Saint-Maurice : Santé publique France, 2019. 20 p.
  60. Walboomers JM, Jacobs MV, Manos MM, et al. (1999) Human papillomavirus is a necessary cause of invasive cervical cancer worldwide. J Pathol 189: 12-19
  61. Rohan T, Mann V, McLaughlin J, et al. (1991) PCR-detected genital papillomavirus infection: prevalence and association with risk factors for cervical cancer. Int J Cancer 49: 856-860.
  62. de Sanjose S. Human papillomavirus genotype attribution in invasive cervical cancer: a retrospective cross-sectional worldwide studyLancet Oncol. 2010 Nov;11(11):1048-56. Epub 2010 Oct 15
  63. International Collaboration of Epidemiological Studies of Cervical Cancer, Cervical cancer and hormonal contraceptives: collaborative reanalysis of individual data for 16573 women with cervical cancer and 35509 women without cervical cancer from 24 epidemiological studies, Lancet, 2007;370:1609-1621
  64. Baron JA, Rohan TE (1996) Tobacco. In: Schottenfeld D, Fraumeni JF Jr, eds. Cancer Epidemiology and Prevention. New York: Oxford University Press, pp. 269-289.
  65. Winkelstein W Jr (1990) Smoking and cervical cancer-current status: a review. Am J Epidemiol 131: 945-957.
  66. Ho GYF, Kadish AS, Burk RD, et al. (1998) HPV 16 and cigarette smoking as risk factors for high-grade cervical intra-epithelial neoplasia. Int J Cancer 78
  67. James V. Lacey, Morten Frisch, Louise A. Brinton, Fouad M. Abbas, Rodrigue Mortel, Peter E. Schwartz, Richard J. Zaino & Allan Hildesheim (2011) Associations between smoking and adenocarcinomas and squamous cell carcinomas of the uterine cervix (United States), Cancer Causes & Control (2001) in Cancer Causes & Control (2001) (résumé/extrait)
  68. Barton SE, Maddox PH, Jenkins D, et al. (1988) Effect of cigarette smoking on cervical epithelial immunity: a mechanism for neoplastic change? Lancet 2: 652-654.
  69. « Cancer du col de l'utérus », sur cancer-environnement.fr
  70. Castellsagué X. et al. (2011) Intrauterine device use, cervical infection with human papillomavirus, and risk of cervical cancer: a pooled analysis of 26 epidemiological studies. Lancet Oncol. doi:10.1016/S1470-2045(11)70223-6
  71. (en) Mélanie Drolet, Élodie Bénard, Norma Pérez et Marc Brisson, « Population-level impact and herd effects following the introduction of human papillomavirus vaccination programmes: updated systematic review and meta-analysis », The Lancet, vol. 394, no 10197, , p. 497-509 (ISSN 0140-6736 et 1474-547X, PMID 31255301, DOI 10.1016/S0140-6736(19)30298-3, lire en ligne, consulté le )
  72. « L’essentiel sur la vaccination contre les infections liées au papillomavirus humains (HPV) - Le point sur », sur e-cancer.fr (consulté le )
  73. (en) « Quadrivalent Vaccine against Human Papillomavirus to Prevent High-Grade Cervical Lesions », New England Journal of Medicine, vol. 356, no 19, , p. 1915–1927 (ISSN 0028-4793 et 1533-4406, DOI 10.1056/NEJMoa061741, lire en ligne, consulté le )
  74. (en) J. Paavonen, P. Naud, J. Salmerón et C. M. Wheeler, « Efficacy of human papillomavirus (HPV)-16/18 AS04-adjuvanted vaccine against cervical infection and precancer caused by oncogenic HPV types (PATRICIA): final analysis of a double-blind, randomised study in young women », The Lancet, vol. 374, no 9686, , p. 301–314 (ISSN 0140-6736 et 1474-547X, PMID 19586656, DOI 10.1016/S0140-6736(09)61248-4, lire en ligne, consulté le )
  75. « Plan Cancer 2014-2019 - Ref : PLANKPNRT14 », sur e-cancer.fr (consulté le )
  76. (en) A Herbert, M Gregory, SS Gupta et N Singh, « Invasive cervical cancer audit: a relative increase in interval cancers while coverage increased and incidence declined », BJOG: An International Journal of Obstetrics & Gynaecology, vol. 116, no 6, , p. 845–853 (ISSN 1470-0328, DOI 10.1111/j.1471-0528.2008.01990.x, lire en ligne, consulté le )
  77. (en) Marc Arbyn, Guglielmo Ronco, Ahti Anttila et Chris J.L.M. Meijer, « Evidence Regarding Human Papillomavirus Testing in Secondary Prevention of Cervical Cancer », Vaccine, vol. 30, , F88–F99 (DOI 10.1016/j.vaccine.2012.06.095, lire en ligne, consulté le )
  78. (en) Guglielmo Ronco, Joakim Dillner, K. Miriam Elfström et Sara Tunesi, « Efficacy of HPV-based screening for prevention of invasive cervical cancer: follow-up of four European randomised controlled trials », The Lancet, vol. 383, no 9916, , p. 524–532 (ISSN 0140-6736 et 1474-547X, PMID 24192252, DOI 10.1016/S0140-6736(13)62218-7, lire en ligne, consulté le )
  79. « Le cancer du col de l'utérus », sur biofutur.eu (consulté le )
  80. 1 2 « Évaluation de la recherche des papillomavirus humains (HPV) en dépistage primaire des lésions précancéreuses et cancéreuses du col de l’utérus et de la place du double immuno-marquage p16/Ki67 », sur Haute Autorité de Santé (consulté le )
  81. Lilas Pépy, « Prévention du cancer du col de l’utérus : les raisons d’un échec », sur Le Monde, .
  82. 1 2 (en) Petignat P, Roy M. « Diagnosis and management of cervical cancer » BMJ 2007;335:765-768
  83. (en) Sironi, S, Buda A, Picchio M. et al. « Lymph node metastasis in patients with clinical early-stage cervical cancer: detection with integrated FDG PET/CT » Radiology 2005;238:272-9.
  84. (en) Creasman WT. « New gynecologic cancer staging » Gynecol Oncol. 1995;58:157-8.
  85. « Carcinome épidermoïde invasif du col utérin », sur jussieu.fr (consulté le )
  86. Cibula D, Pötter R, Planchamp F et al. The European Society of Gynaecological Oncology/European Society for Radiotherapy and Oncology/European Society of Pathology guidelines for the management of patients with cervical cancer, Int J Gynecol Cancer, 2018;28:641-655
  87. Ramirez PT, Frumovitz M, Pareja R et al. Minimally invasive versus abdominal radical hysterectomy for cervical cancer, N Engl J Med, 2018;379:1895-1904
  88. Melamed A, Margul DJ, Chen L et al. Survival after minimally invasive radical hysterectomy for early-stage cervical cancer, N Engl J Med, 2018;379:1905-1914
  89. « Qu’est-ce que la médecine de précision ? - La médecine de précision », sur e-cancer.fr (consulté le )
  90. (en) Paul A. Cohen, Anjua Jhingran, Ana Oaknin et Lynette Denny, « Cervical cancer », The Lancet, vol. 393, no 10167, , p. 169–182 (ISSN 0140-6736 et 1474-547X, PMID 30638582, DOI 10.1016/S0140-6736(18)32470-X, lire en ligne, consulté le )
  91. Taux standardisé monde
  92. 1 2 Institut national du cancer, « Le cancer du col de l’utérus en France -État des lieux 2010 », sur e-cancer.fr,
  93. Communiqué de presse InVS (7 février 2013)
  94. 1 2 « Suivi - Cancer du col de l'utérus », sur e-cancer.fr (consulté le )

Voir aussi

Bibliographie

  • Les Standards, Options et Recommandations de la Fédération Nationale des Centres de Lutte contre le Cancer sur le cancer du col de l'utérus.
  • FNCLCC: fédération nationale (française) des centres de lutte contre le cancer. Standards, options et recommandations sur le cancer du col utérin.

Liens externes

  • icône décorative Portail de la médecine