Adénocarcinome pulmonaire in situ
L'adénocarcinome pulmonaire in situ (ou carcinome bronchioloalvéolaire) est une variété non invasive d'adénocarcinome pulmonaire. Par convention, il doit avoir un diamètre inférieur à 3 cm.
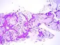
Images microscopiques
Adénocarcinome pulmonaire in situ mucineux
Voir aussi
Références
- Portail de la médecine
.jpg)
.jpg)

