Carcinome canalaire
Carcinome canalaire
| ICD-O | M8500/2, M8500/3, M8522/2, M8522/3, M8543/3 |
|---|---|
| MeSH | D044584 |
Mise en garde médicale
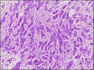
Les carcinomes canalaires sont une classe de tumeurs solides de la Classification internationale des maladies oncologiques. Elles sont développées aux dépens des canaux excréteurs d'une glande exocrine : sein, pancréas, prostate, glandes lacrymales...
- Portail de la médecine
- Portail de la biologie cellulaire et moléculaire