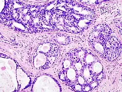
Carcinome canalaire in situ

Le carcinome canalaire in situ est caractérisé par la prolifération anormale de cellules épithéliales au sein du système canalaire-lobulaire du sein. Il représente environ 20 % des cas de cancer du sein nouvellement diagnostiqués[1],[2],[3]. Histologiquement, le carcinome canalaire in situ a été classé en comédo, papillaire, solide, cribriforme et micropapillaire[4]. Il existe le même systéme de grade histologique que la cancer du sein avec des lésions de bas grade (I), de grade intermédiaire (II) et de haut grade (III) ; ces derniers sont associés à une probabilité plus élevée de carcinome canalaire invasif[5]. Le carcinome canalaire in situ est généralement considéré comme un précurseur direct du carcinome canalaire invasif. Environ 25 à 60 % des cas des carcinomes canalaire in situ non traités ont évolué vers un cancer invasif dans les 9 à 24 ans suivant le suivi, sur la base de statistiques fait sur des échantillons de taille limitée[6],[7],[8],[9].
Le carcinome canalaire in situ est souvent classé comme stade non invasif ou pré-invasif du cancer du sein. Néanmoins, la compréhension des causes sous-jacentes du carcinome canalaire in situ ainsi que de la façon dont il évolue pour devenir invasif est limitée[10],[11]. Notamment, des similitudes et des différences ont été observées entre le carcinome canalaire in situ et le cancer canalaire invasif. Au fil des années, l'augmentation rapide de l'incidence du carcinome canalaire in situ a accompagné l'adoption généralisée de la mammographie (principalement basée sur les calcifications détectées lors du dépistage)[12],[13],[14]. Dans ce contexte, les calcifications mammographiques sont plus fréquemment détectées dans le carcinome canalaire in situ que dans le cancer canalaire invasif. Un cancer canalaire invasif présentant des calcifications à la mammographie est plus susceptible d'être associé à un carcinome canalaire in situ synchrone de haut grade[15].
.jpg)
La caractéristique histologique qui distingue principalement le carcinome canalaire in situ de l'invasif est que les cellules tumorales du carcinome canalaire in situ restent confinées au système canalaire-lobulaire mammaire sans envahir le système canalaire-lobulaire mammaire. le parenchyme environnant, la couche myoépithéliale et la membrane basale sont intacts, tandis que les cellules tumorales de l'invasif se sont échappées de la couche myoépithéliale et se sont propagées dans les tissus environnants. Sur la base des caractéristiques moléculaires, certaines études ont classé le carcinome canalaire in situ en quatre sous-types intrinsèques similaires à ceux du cancer canalaire ; ceux-ci incluent les sous-types luminal A, luminal B, le HER2/ERBB2 positifs et le triple négatif. Cependant, il existe une variation dans la prévalence, car le sous-type HER2-positif est plus fréquemment observé dans le carcinome canalaire in situ que dans l'invasif (environ 35 % contre 15 à 20 %, respectivement)[16],[17]. Notamment, différents sous-types intrinsèques de carcinome canalaire in situ ont été associé à des microenvironnements tumoraux et à des voies évolutives distincts par rapport à l'invasif[18].21 Le carcinome canalaire in situ et l'invasif partagent certains facteurs de risque qui contribuent à leur incidence ; ceux-ci incluent l'âge, les antécédents familiaux, la densité mammaire et l'hormonothérapie[19]. Le carcinome canalaire in situ n'est pas considéré comme une maladie potentiellement mortelle et est lié à un taux élevé de survie globale et à une espérance de vie normale[20].23 Après les traitements, le taux de récidive global du carcinome canalaire in situ est d'environ 20 %, dont 50 % sont des récidives in situ tandis qu'un autre 50 % de récidive invasive[21]. Il est donc essentiel d'identifier l'initiation de ces lésions et les relations entre elles.
Différentes études se sont appuyées sur une variété d'échantillons de populations et sur diverses techniques, ce qui a rendu nécessaire une revue systématique de toutes ces études connexes pour obtenir une image claire des mécanismes biologiques précis connus sous-tendant la transition carcinome canalaire in situ-invasif[22]. Les aspects cliniques et pathologiques Les marqueurs actuellement utilisés pour prédire le pronostic reposent principalement sur une combinaison de facteurs, notamment l'âge du patient, les marges chirurgicales, la taille de la tumeur et le grade nucléaire. Cependant, tous ces facteurs ne permettent pas de prédire le pronostic de manière indépendante avec un niveau de confiance élevé[23],[24],[25],[26]. Ainsi, la question de savoir quelle est le traitement adéquate pour le carcinome canalaire in situ reste sans réponse.
Diagnostic

De nos jours, il est généralement détecté dans le cadre d'un programme de dépistage par mammographie, mais peut occasionnellement se présenter sous la forme d'une masse palpable ou d'autres symptômes physiques comme un écoulement du mamelon[27].
La biopsie au trocart ou une biopsie avec un trocart assistée par le vide est préférable à la biopsie à l'aiguille. Une macrobiopsie stéréotaxique assistée par le vide est recommandée. en cas de microcalcifications étendues ou de foyers multiples avec indication potentielle de mastectomie totale, plusieurs biopsies peuvent être faite[28]. La taille de l"échantillon doit mesurer au minium 2 mm, mais beaucoup d'équipes françaises préfèrent une taille minimum de 3 mm[28]. Environ 8 % des biopsies au trocart sont initialement diagnostiquées comme un carcinome canalaire in situ , et ce diagnostic est confirmé dans environ 74 % des cas après excision[29].
Le CCIS est donc défini par « la prolifération de cellules malignes à l'intérieur du réseau galactophorique, sans franchissement de la membrane basale détectable au microscope optique[30]. ». L'aspect histologique du tissu est peu contributif pour la prise en charge de cette maladie[31].
Les tumeurs de haut grade cytologique , qui représentent 42 à 53 % des cas de cancer canalaire in situ , sont considérées comme un facteur de risque élevé de récidive[32],[33],[34]et de mortalité spécifique au cancer du sein[35], bien que certaines études ne montrent un tel effet[36],[37].
Stratégie thérapeutique
Bien que le nombre de diagnostic de cancer canalaire in situ augmente considérablement avec l'essor du dépistage, il ne s'est pas accompagné du nombre de cas de diagnostic du cancer du sein invasif suggérant que beaucoup des cancers canalaires in situ ne seraient pas transformés en cancer invasif. Le choix du traitement d'un cancer canalaire in situ est donc un défi. Les enjeux des différents options doivent clairement expliqués à la patiente. Les convictions des médecins sont aussi très diverses.
Surveillance
En France, il n’est pas recommandé aujourd’hui de proposer une surveillance active comme alternative au traitement local, en dehors d’essais cliniques[28].
Chirurgie
Il existe deux types de chirurgie pour le CCIS : la chirurgie conservatrice et la mastectomie. La chirurgie conservatrice amène souvent un résultat esthétique satisfaisant, avec une conservation du sein. Toutefois, des conditions strictes doivent être respectées pour assurer l'efficacité du traitement et minimiser le risque de rechute.
Pour les deux types, l'acte chirurgical est suivi de douleurs persistantes dans 13 % des cas[38].
Chirurgie conservatrice
La chirurgie conservatrice consiste à enlever les cellules tumorales et les tissus sains qui les entourent, l'objectif étant de conserver la plus grande partie des seins. La chirurgie conservatrice (tumorectomie) est contre-indiquée si « les lésions sont étendues ou multiples, ne pouvant être enlevées de façon carcinologiquement satisfaisante avec un résultat esthétique acceptable[30]. »
Mastectomie
La chirurgie non conservatrice enlève la totalité du sein (avec l’aréole et le mamelon). Une reconstruction immédiate doit être systématiquement proposée. En cas d'ablation totale du sein, le sur-risque lié à la présence d'un CCIS disparaît. Le risque de développer un nouveau carcinome ou un cancer du sein est alors égal à celui rencontré dans la population féminine[38]. La mastectomie peut être combinée avec une opération de chirurgie reconstructrice.
Radiothérapie
En 2015, en cas de CCIS confirmé, la radiothérapie est recommandée après traitement chirurgical conservateur (avec marges d’exérèse ≥ 2 mm)[28].En cas de traitement conservateur, il est clair aujourd'hui qu'une radiothérapie postopératoire réduit notablement le risque de rechute. Après traitement conservateur, la radiothérapie du sein pour un CCIS réduit d’environ 50% le risque de récidive locale. Cette démonstration provient de trois grandes études internationales (NSABP-B-17, OERTC et UKDCIS). Selon l'étude de 2013 déjà citée, la diminution du risque de récidive est à mettre en balance avec les risques associés au traitement par radiothérapie[38]. En revanche, la radiothérapie ne réduit pas le risque de décès[38], qui est de toute façon extrêmement faible.
L'indication d'une radiothérapie est actuellement discutée surtout si la marge entre la lésion et le tissu est de plus de 10 mm[39],[40].
En France, une radiothérapie complémentaire de la paroi thoracique n'est pas recommandée après mastectomie totale pour CCIS pur[28].
Hormonothérapie
En 2015, les recommandations françaises[28] ne recommander pas une hormonothérapie par tamoxifène après chirurgie conservatrice ou mastectomie
L'hormonothérapie adjuvante peut réduire les risques de récidive ipsilatérale et de cancer du sein controlatéral après un traitement conservateur pour un cancer canalaire in situ à récepteurs hormonaux positifs. Une méta-analyse de deux essai randomisé contrôlé a révélé que les risques de cancers du sein homolatéraux et controlatéraux étaient réduits d'environ 50 % après une un traitement conservateur suivie d'un adjuvant tamoxifène. La réduction absolue sur 10 ans était de 6,5 % pour tous les nouveaux événements mammaires après le traitement au tamoxifène, et le nombre nécessaire à traiter était de 15 pour prévenir un événement récurrent[41],[42]. Sur la base de ces résultats, le recours à la thérapie endocrinienne a augmenté régulièrement[43],[44]. Un vaste essai randomisé contrôlé (IBIS-II) a récemment comparé les risques de récidive locale après un traitement conservateur entre des groupes ayant reçu un agent anti-œstrogène (tamoxifène) ou un inhibiteur de l'aromatase (anastrozole)[45]. Comme les deux traitements ont fourni des efficacités similaires, un traitement adjuvant de 5 ans utilisant du tamoxifène est toujours considéré comme le traitement endocrinien standard du cancer canalaire in situ après un traitement conservateur.
Du carcinome canalaire in situ au cancer du sein
Le CCIS (carcinome canalaire in situ) se développe à partir des cellules épithéliales tapissant les canaux galactophores. Ces canaux ont pour fonction de conduire le lait produit par les lobules mammaires jusqu'au mamelon. À la phase initiale de prolifération des cellules cancéreuses, celles-ci n'ont pas encore la capacité de s'étendre au-delà du canal où il a pris naissance. La limite entre le canal et le tissu de soutien est la membrane basale. C'est donc le franchissement de cette membrane basale qui distingue le CCIS du cancer du sein (sous entendu « invasif »). Il semble aujourd'hui acquis que pratiquement tous les cancers du sein se développent à partir d'un CCIS.[réf. nécessaire]
Environ 20 % des CCIS ayant donné lieu à une intervention chirurgicale révèlent, après analyse histologique, la présence d'une forme envahissante (cancer du sein)[38],[46].
Voie de signalisation dans le cancer du sein

Les voies les plus importantes reconnues dans le cancer du sein, notamment la voie du récepteur des œstrogènes[47], la voie de signalisation HER2[48],[49], la voie de signalsation PI3K/AKT/mTOR[50],la voie MAPK[50],[51] et la voie cycline D1/kinase dépendante de la cycline 4/6/protéine du rétinoblastome (cycline D1/CDK4/6/RB1).
L'implication de une ou plusieurs de ces voies de signalisation aboutit une classification moléculaire des cancer du sein.
Voie du récepteur des œstrogènes
L'exposition aux hormones constitue le principal facteur de risque du cancer du sein non génétique[52]. Les deux principales hormones stéroïdes impliquées dans le cancer du sein sont l'œstrogène et la progestérone, qui sont liées à la croissance, la prolifération et la différenciation des cellules mammaires. Une exposition plus élevée aux hormones augmente le risque de cancer du sein, y compris des règles précoces et une ménopause tardive[53]. L'œstrogène est considéré comme un promoteur majeur du cancer du sein, en particulier pour le sous-type de cancer du sein RE-positif (récepteur aux estrogènes positif), et le type le plus courant d'œstrogène chez la femme est le 17β-estradiol[54]. La liaison de E2 aux récepteurs des œstrogènes (principalement le récepteurs des œstrogènes α, codés par le gène ESR1) stimule la voie de signalisation génomique classique des récepteurs des œstrogènes, qui contribue finalement à l'augmentation du cancer du sein par augmentation de la prolifération cellulaire et à la diminution de l' apoptose[55]. Plus précisément, lorsqu'il est activé par la liaison avec le 17β-estradiol, le dimère œstrogène-récepteur se déplace vers le noyau cellulaire et s'engage avec des protéines corégulatrices et des séquences d'ADN spécifiques connues sous le nom d'éléments sensibles aux œstrogènes (estrogen responsive elements ERE). Ces interactions modulent davantage l'expression de gènes en aval tels que GATA3 et FOXA1 qui participent à l'initiation, à la progression et aux métastases du cancer du sein[56],[57]. D'autre part, une voie de signalisation des récepteurs des estrogènes non génomique implique le protein-coupled estrogen receptor 1 (GPER). L'activation du GPER déclenche des cascades de signalisation telles que PI3K/AKT et Ras/MAPK, qui à leur tour régulent la transcription des gènes impliqués dans le développement du cancer du sein[54],[58],[59],[60].
Voie de signalisation HER2
La protéine HER2, codé par le gène ERBB2, est l'un des quatre membres de la famille des récepteurs du facteur de croissance épidermique , qui comprend HER1, HER2, HER3 et HER4. HER2 est surexprimé dans environ 15 à 20 % des cancers du sein, ce qui est corrélé à un phénotype très agressif et à un pronostic défavorable[61],[62]. Bien que HER2 n'ait pas de ligand spécifique, il forme des homodimères ou des hétérodimères avec HER1, HER3 ou HER4 pour initier des voies de signalisation en aval[63],[64],[65]. Dans le cancer du sein, l'activation de la signalisation HER2 déclenche en outre diverses signalisations en aval, telles que les voies de signalisation PI3K/AKT, MAPK et JAK/STAT, qui conduisent toutes à la prolifération, à la survie, à l'adhésion et aux métastases des cellules cancéreuses[61],[66].
Voie de signalisation PI3K/AKT
Les phosphatidylinositol 3-kinases sont un groupe de kinases intracellulaires classées en trois classes (classes I, II et III). Parmi elles, les PI3K de classe I composées d'une sous-unité régulatrice (p85) et d'une sous-unité catalytique (p110) sont les plus impliquées dans l'oncogenèse[67],[68]. Des mutations se produisent fréquemment dans la sous-unité p110α (codée par PIK3CA), mais la fréquence des mutations est particulièrement plus élevée dans les cancers du sein récepteur estrogène-positifs. Environ, des mutations de PIK3CA sont observées dans 40 % des cancers du sein récepteur estrogène positifs-positifs, 25 % des cancers du sein HER2-positifs et 9 % des cancers du sein triple négatif[68]. Les mutations de PIK3CA conduisent à l'activation de PI3K, qui active des cibles en aval telles que l' AKT et la mTOR. L’activation excessive de la voie PI3K/AKT/mTOR est fortement liée au développement incontrôlé du cancer du sein[69]. L'homologue de la phosphatase et de la tensine (PTEN) et la protéine inositol polyphosphate 4-phosphatase de type II (INPP4B) sont deux régulateurs négatifs cruciaux de la voie la voie de signalisation PI3K/AKT. Dans le cancer du sein, on observe souvent une diminution de l'expression de PTEN et INPP4B, renforçant encore l'activation de la voie PI3K/AKT/mTOR[70],[71],[72] et la dérégulation de cette voie de signalisation est reconnue comme un mécanisme de résistance aux hormones endocriniennes et aux traitements ciblés anti-HER2 [73],[74],[75].
Voie de signalisation MAPK/ERK
Les MAPK sont étroitement liées au pronostic du cancer du sein, car elles participent à la modulation des récepteurs hormonaux, à la réponse aux facteurs de croissance et aux thérapies ciblées[76],[77],[78]. La voie MAPK est activée dans environ 50 % des cancers du sein[79], bien que les mutations du gène RAS , intervenant dans la voie canonique sont impliqués que dans 5% des cancers du sein à la différence des cancers colo-rectal et pancréatiques[80]. À l’inverse, l’activation de la signalisation MAPK dans le cancer du sein est généralement considérée comme le résultat d’une signalisation constitutive en amont, telle que la voie de signalisation des récepteurs estrogènes et la surexpression de HER2. Dans les cancers du sein récepteurs estrogènes-positifs, les œstrogènes peuvent stimuler des facteurs de croissance tels que le facteur de croissance transformant bêta et le facteur de croissance analogue à l'insuline de type 1 (IGF-1), qui activent finalement la voie MAPK[81]. Les MAPK activées peuvent également phosphoryler les récepteurs estrogènes , soit par des voies de signalisation directes ou indirectes, ce qui entraîne une efficacité transcriptionnelle durablement améliorée du récepteur[82].
Voie cycline D1/CDK4/6/RB1
Dans le cancer du sein, le complexe cycline D1/CDK4/6/RB1 joue un rôle crucial dans la prolifération cellulaire médiée par la signalisation du récepteur des estrogènes[83]. En particulier, la présence d'œstrogènes dans les cancers du sein récepteur des estrogènes-positifs induit l'expression de la cycline D1 (codée par CCDN1) , entraînant l’activation de CDK4/CDK6. L'activité CDK4/6 conduit par conséquent à l'hyperphosphorylation de la protéine du rétinoblastome, facilitant la progression du cycle cellulaire et favorisant la prolifération cellulaire[84],[85]. De plus, l'activation des voies MAPK et PI3K/AKT peut également conduire à la transcription de CCDN1 qui finalement s'active la voie cycline D1/CDK4/6/RB1.74 Les inhibiteurs de CDK4/6 sont indéniablement considérés comme l’une des avancées les plus significatives dans les traitements du cancer du sein au cours des deux dernières décennies[86]. À la différence du cancer du sein récepteur des estrogènes-positifs, le cancer du sein triple négatif présente souvent une perte de l'expression de la protéine du rétinoblastome, ce qui les rend par conséquent insensibles aux inhibiteurs de CDK4/6 [87],[88].
Caractéristiques moléculaires du carcinome canalaire in situ et du carcinome canalaire invasif
La théorie traditionnelle supposait que le carcinome canalaire in situ et le carcinome canalaire invasif dérivaient des canaux galactophoriques , tandis que le carcinome lobulaire in situ et le carcinome lobulaire invasif provenaient des lobules[89]. En 1973, les chercheurs montrent que la plupart des carcinomes du sein à un stade précoce, y compris les types canalaires et lobulaires, proviennent de la même structure, à savoir l'unité ducto-lobulaire[90],[91]. La structure canalaire de l'unité ducto-lobulaire se compose de deux couches de cellules, à savoir la couche de cellules épithéliales dans la lumière et la couche de cellules myoépithéliales (entourée par la membrane basale). D'un point de vue morphologique, certains carcinomes canalaires in situ peuvent être visuellement distingués des carcinomes canalaires invasifs à l'étude microscopique, qui se caractérisent par une prolifération néoplasique au sein de l'unité lobulaire du canal terminal et un enrobage invariable par la membrane basale[92], tandis que de petits carcinome canalaire in situ doivent être différenciés des carcinome canalaires invasifs précoces par une combinaison de marqueurs myoépithéliaux ( cytokératine 5/6, la protéine tumorale p63 , la calponine, l'actine des muscles lisses α , etc)[93],[94],[95]. À ce jour, de nombreuses études ont exploré les événements génomiques des carcinomes canalaires in situ et en les comparant avec ceux des carcinomes canalaires invasifs, ils ont mis en lumière les distinctions entre carcinome canalaire in situ et carcinome canalaire invasif synchrones, carcinome canalaire in situ pur et carcinome canalaire in situ avec carcinome canalaire invasif synchrone, et carcinome canalaire in situ primaire et carcinome canalaire in situ ou carcinome canalaire invasif récurrents.
Carcinome canalaire in situ et carcinome canalaire invasif synchrones
Le carcinome canalaire in situ est fréquemment observé dans des carcinomes du sein invasif. Pour identifier les marqueurs progressifs, un certain nombre d'études ont exploré les profils génomiques de carcinome canalaire in situ et carcinome canalaire invasif synchrones qui étaient généralement micro-disséqués dans le même échantillon de tumeur. Essentiellement, étant donné la ressemblance génétique notable observée entre le carcinome canalaire in situ synchrone et le carcinome canalaire invasif, on peut en déduire que le carcinome canalaire in situ synchrone est fondamentalement invasif, dans lequel des modifications invasives ont déjà eu lieu[96],[97],[98],[99],[100],[101]. Bien que de légères disparités entre ces deux conditions aient été documentées, il existe un consensus limité concernant les altérations génomiques qui signifient des transitions. Les événements critiques associés à la transition du carcinome canalaire in situ au carcinome canalaire invasif peuvent survenir dans des lésions antérieures telles que le carcinome canalaire in situ pur ou éventuellement même dans les lésions précédant le carcinome canalaire in situ[102].
Carcinome canalaire in situ primaire et carcinome canalaire in situ ou carcinome canalaire invasif récurrents
Prolifération du CCIS
Le mode de prolifération du CCIS dépend de son degré de différenciation. Les CCIS bien différenciés ont tendance à se propager de façon discontinue au sein d'un même quadrant mammaire. Plusieurs foyers discontinus de CCIS séparés par des zones de tissu sain sont retrouvés dans 70% des CCIS bien différenciés. L’analyse des foyers cancéreux se font au moyen d’un examen microscopique de la pièce opératoire. On parle de lésions multifocales (plusieurs foyers) et mono centrique (un seul quadrant). Les CCIS peu différenciés ont en revanche un mode de prolifération continu, c'est-à-dire mono centrique, dans 90 % des cas. Les lésions multicentriques, qui atteignent donc plusieurs quadrants sont plus rares.
Notes et références
- ↑ (en) Carol E. DeSantis, Jiemin Ma, Mia M. Gaudet et Lisa A. Newman, « Breast cancer statistics, 2019 », CA: A Cancer Journal for Clinicians, vol. 69, no 6, , p. 438–451 (ISSN 0007-9235 et 1542-4863, DOI 10.3322/caac.21583, lire en ligne, consulté le )
- ↑ (en) Angela N. Giaquinto, Hyuna Sung, Kimberly D. Miller et Joan L. Kramer, « Breast Cancer Statistics, 2022 », CA: A Cancer Journal for Clinicians, vol. 72, no 6, , p. 524–541 (ISSN 0007-9235 et 1542-4863, DOI 10.3322/caac.21754, lire en ligne, consulté le )
- ↑ Sunil S. Badve et Yesim Gökmen-Polar, « Ductal carcinoma in situ of breast: update 2019 », Pathology, vol. 51, no 6, , p. 563–569 (ISSN 0031-3025, PMID 31472981, PMCID PMC6788802, DOI 10.1016/j.pathol.2019.07.005, lire en ligne, consulté le )
- ↑ (en) Abeer M. Shaaban, Bridget Hilton, Karen Clements et Elena Provenzano, « Pathological features of 11,337 patients with primary ductal carcinoma in situ (DCIS) and subsequent events: results from the UK Sloane Project », British Journal of Cancer, vol. 124, no 5, , p. 1009–1017 (ISSN 1532-1827, PMID 33199800, PMCID PMC7921398, DOI 10.1038/s41416-020-01152-5, lire en ligne, consulté le )
- ↑ Groen, E. J. et al. Prognostic value of histopathological DCIS features in a large-scale international interrater reliability study. Breast Cancer Res. Treat. 183, 759–770 (2020).
- ↑ Sanders, M. E., Schuyler, P. A., Dupont, W. D. & Page, D. L. The natural history of low-grade ductal carcinoma in situ of the breast in women treated by biopsy only revealed over 30 years of long-term follow-up. Cancer 103, 2481–2484 (2005).
- ↑ Collins, L. C. et al. Outcome of patients with ductal carcinoma in situ untreated after diagnostic biopsy: results from the Nurses’ Health Study. Cancer 103, 1778–1784 (2005).
- ↑ Page, D. L., Dupont, W. D., Rogers, L. W. & Landenberger, M. Intraductal carcinoma of the breast: follow-up after biopsy only. Cancer 49, 751–758 (1982).
- ↑ Betsill, W. L., Rosen, P. P., Lieberman, P. H. & Robbins, G. F. Intraductal carcinoma: long-term follow-up after treatment by biopsy alone. JAMA 239, 1863–1867 (1978).
- ↑ Fu, F., Gilmore, R. C. & Jacobs, L. K. Ductal carcinoma in situ. Surg. Clin. North Am. 98, 725–745 (2018).
- ↑ (en) Derek L. Nguyen, Heather I. Greenwood, Habib Rahbar et Lars J. Grimm, « Evolving Treatment Paradigms for Low-Risk Ductal Carcinoma In Situ: Imaging Needs », American Journal of Roentgenology, , p. 1–12 (ISSN 0361-803X et 1546-3141, DOI 10.2214/AJR.23.30503, lire en ligne, consulté le )
- ↑ (en) Carol E. DeSantis, Jiemin Ma, Ann Goding Sauer et Lisa A. Newman, « Breast cancer statistics, 2017, racial disparity in mortality by state », CA: A Cancer Journal for Clinicians, vol. 67, no 6, , p. 439–448 (ISSN 0007-9235 et 1542-4863, DOI 10.3322/caac.21412, lire en ligne, consulté le )
- ↑ (en) Souzan Sanati, « Morphologic and Molecular Features of Breast Ductal Carcinoma in Situ », The American Journal of Pathology, vol. 189, no 5, , p. 946–955 (ISSN 0002-9440 et 1525-2191, PMID 30385094, DOI 10.1016/j.ajpath.2018.07.031, lire en ligne, consulté le )
- ↑ (en) Lars J. Grimm, Habib Rahbar, Monica Abdelmalak et Allison H. Hall, « Ductal Carcinoma in Situ: State-of-the-Art Review », Radiology, vol. 302, no 2, , p. 246–255 (ISSN 0033-8419 et 1527-1315, PMID 34931856, PMCID PMC8805655, DOI 10.1148/radiol.211839, lire en ligne, consulté le )
- ↑ « February 2002 - Volume 235 - Issue 2 : Annals of Surgery », sur journals.lww.com (consulté le )
- ↑ (en) Ke-Da Yu, La-Mu Wu, Guang-Yu Liu et Jiong Wu, « Different Distribution of Breast Cancer Subtypes in Breast Ductal Carcinoma in situ (DCIS), DCIS with Microinvasion, and DCIS with Invasion Component », Annals of Surgical Oncology, vol. 18, no 5, , p. 1342–1348 (ISSN 1534-4681, DOI 10.1245/s10434-010-1407-3, lire en ligne, consulté le )
- ↑ Latta, E., Tjan, S., Parkes, R. et al. The Role of HER2/neu Overexpression/Amplification in the Progression of Ductal Carcinoma In Situ to Invasive Carcinoma of the Breast. Mod Pathol 15, 1318–1325 (2002). https://doi.org/10.1097/01.MP.0000038462.62634.B1
- ↑ Sadeghalvad, M., Mohammadi-Motlagh, H.-R. & Rezaei, N. Immune microenvironment in different molecular subtypes of ductal breast carcinoma. Breast Cancer Res. Treat. 185, 261–279 (2021).
- ↑ Virnig, B. A., Tuttle, T. M., Shamliyan, T. & Kane, R. L. Ductal carcinoma in situ of the breast: a systematic review of incidence, treatment, and outcomes. JNCI J. Natl Cancer Inst. 102, 170–178 (2010).
- ↑ Worni, M. et al. Trends in treatment patterns and outcomes for ductal carcinoma in situ. J. Natl Cancer Inst. 107, djv263 (2015).
- ↑ Van Bockstal, M. R., Agahozo, M. C., Koppert, L. B. & van Deurzen, C. H. M. A retrospective alternative for active surveillance trials for ductal carcinoma in situ of the breast. Int. J. Cancer 146, 1189–1197 (2020).
- ↑ Doebar, S. C. et al. Gene expression differences between ductal carcinoma in situ with and without progression to invasive breast cancer. Am. J. Pathol. 187, 1648–1655 (2017).
- ↑ (en) Laura C. Collins, Ninah Achacoso, Reina Haque et Larissa Nekhlyudov, « Risk factors for non-invasive and invasive local recurrence in patients with ductal carcinoma in situ », Breast Cancer Research and Treatment, vol. 139, no 2, , p. 453–460 (ISSN 1573-7217, PMID 23624751, PMCID PMC4104603, DOI 10.1007/s10549-013-2539-5, lire en ligne, consulté le )
- ↑ (en) Shi-Yi Wang, Tatyana Shamliyan, Beth A. Virnig et Robert Kane, « Tumor characteristics as predictors of local recurrence after treatment of ductal carcinoma in situ: a meta-analysis », Breast Cancer Research and Treatment, vol. 127, no 1, , p. 1–14 (ISSN 1573-7217, DOI 10.1007/s10549-011-1387-4, lire en ligne, consulté le )
- ↑ (en) Emma C Atakpa, Mangesh A Thorat, Jack Cuzick et Adam R Brentnall, « Mammographic density, endocrine therapy and breast cancer risk: a prognostic and predictive biomarker review », Cochrane Database of Systematic Reviews, vol. 2021, no 10, (PMID 34697802, PMCID PMC8545623, DOI 10.1002/14651858.CD013091.pub2, lire en ligne, consulté le )
- ↑ Christin A. Knowlton, Rachel B. Jimenez et Meena S. Moran, « DCIS: Risk Assessment in the Molecular Era », Seminars in Radiation Oncology, breast Cancer in the Modern Era: Biologically Driven Paradigms, vol. 32, no 3, , p. 189–197 (ISSN 1053-4296, DOI 10.1016/j.semradonc.2022.01.005, lire en ligne, consulté le )
- ↑ (en) N. Bijker, E.J.T. Rutgers, J.L. Peterse et I.S. Fentiman, « Variations in diagnostic and therapeutic procedures in a multicentre, randomized clinical trial (EORTC 10853) investigating breast-conserving treatment for DCIS », European Journal of Surgical Oncology (EJSO), vol. 27, no 2, , p. 135–140 (DOI 10.1053/ejso.2000.1062, lire en ligne, consulté le )
- 1 2 3 4 5 6 Prise en charge du carcinome canalaire in situ /Questions d’actualité, Recommandations et référentiels, INCa, septembre 2015. Téléchargeable sur e-sante.fr
- ↑ (en) Meagan E. Brennan, Robin M. Turner, Stefano Ciatto et M. Luke Marinovich, « Ductal Carcinoma in Situ at Core-Needle Biopsy: Meta-Analysis of Underestimation and Predictors of Invasive Breast Cancer », Radiology, vol. 260, no 1, , p. 119–128 (ISSN 0033-8419 et 1527-1315, DOI 10.1148/radiol.11102368, lire en ligne, consulté le )
- 1 2 SOR 2004 pour la prise en charge des carcinomes in situ du sein
- ↑ (en) Steven A. Narod, Javaid Iqbal, Vasily Giannakeas et Victoria Sopik, « Breast Cancer Mortality After a Diagnosis of Ductal Carcinoma In Situ », JAMA Oncology, vol. 1, no 7, , p. 888 (ISSN 2374-2437, DOI 10.1001/jamaoncol.2015.2510, lire en ligne, consulté le )
- ↑ Cheung S, Booth ME, Kearins O, Dodwell D. Risk of subsequent invasive breast cancer after a diagnosis of ductal carcinoma in situ (DCIS). Breast (2014) 23:807–11. doi:10.1016/j.breast.2014.08.013
- ↑ Rakovitch E, Nofech-Mozes S, Hanna W, Narod S, Thiruchelvam D, Saskin R, et al. HER2/neu and Ki-67 expression predict non-invasive recurrence following breast-conserving therapy for ductal carcinoma in situ. Br J Cancer (2012) 106:1160–5. doi:10.1038/bjc.2012.41
- ↑ Wang SY, Shamliyan T, Virnig BA, Kane R. Tumor characteristics as predictors of local recurrence after treatment of ductal carcinoma in situ: a meta-analysis. Breast Cancer Res Treat (2011) 127:1–14. doi:10.1007/s10549-011-1387-4
- ↑ Narod SA, Iqbal J, Giannakeas V, Sopik V, Sun P. Breast cancer mortality after a diagnosis of ductal carcinoma in situ. JAMA Oncol (2015) 1:888–96. doi:10.1001/jamaoncol.2015.2510
- ↑ Zhang X, Dai H, Liu B, Song F, Chen K. Predictors for local invasive recurrence of ductal carcinoma in situ of the breast: a meta-analysis. Eur J Cancer Prev (2016) 25:19–28. doi:10.1097/CEJ.0000000000000131
- ↑ Lennington WJ, Jensen RA, Dalton LW, Page DL. Ductal carcinoma in situ of the breast. Heterogeneity of individual lesions. Cancer (1994) 73:118–24. doi:10.1002/1097-0142(19940101)73:1<118::AID-CNCR2820730121>3.0.CO;2-R
- 1 2 3 4 5 (en) « Treatment of ductal carcinoma in situ: an uncertain harm-benefit balance. », Prescrire International, (PMID 24600734, lire en ligne, consulté le ).
- ↑ Down SK, Jha PK, Burger A, Hussien MI. Oncological advantages of oncoplastic breast-conserving surgery in treatment of early breast cancer. Breast J 2013;19(1):56‑63.
- ↑ Bauwens J, Azaïs H, Devouge P, Phalippou J, Boulanger L, Collinet P. [Oncoplastic breast surgery for the management of ductal carcinoma in situ]. Gynecol Obstet Fertil 2015;43(11):735‑9.
- ↑ (en) Iain McCallum, Wendy Craig et Julie Bruce, « Postoperative tamoxifen for ductal carcinoma in situ », dans Cochrane Database of Systematic Reviews, John Wiley & Sons, Ltd, (DOI 10.1002/14651858.cd007847, lire en ligne)
- ↑ (en) Jack Cuzick, Ivana Sestak, Sarah E Pinder et Ian O Ellis, « Effect of tamoxifen and radiotherapy in women with locally excised ductal carcinoma in situ: long-term results from the UK/ANZ DCIS trial », The Lancet Oncology, vol. 12, no 1, , p. 21–29 (PMID 21145284, PMCID PMC3018565, DOI 10.1016/S1470-2045(10)70266-7, lire en ligne, consulté le )
- ↑ (en) A.C. Lo, P.T. Truong, E.S. Wai et A. Nichol, « Population-based analysis of the impact and generalizability of the NSABP-B24 study on endocrine therapy for patients with ductal carcinoma in situ of the breast », Annals of Oncology, vol. 26, no 9, , p. 1898–1903 (DOI 10.1093/annonc/mdv251, lire en ligne, consulté le )
- ↑ (en) Hazel B. Nichols, Erin J.A. Bowles, Jessica Islam et Lawrence Madziwa, « Tamoxifen Initiation After Ductal Carcinoma In Situ », The Oncologist, vol. 21, no 2, , p. 134–140 (ISSN 1083-7159 et 1549-490X, PMID 26768485, PMCID PMC4746086, DOI 10.1634/theoncologist.2015-0310, lire en ligne, consulté le )
- ↑ (en) John F Forbes, Ivana Sestak, Anthony Howell et Bernardo Bonanni, « Anastrozole versus tamoxifen for the prevention of locoregional and contralateral breast cancer in postmenopausal women with locally excised ductal carcinoma in situ (IBIS-II DCIS): a double-blind, randomised controlled trial », The Lancet, vol. 387, no 10021, , p. 866–873 (PMID 26686313, PMCID PMC4769326, DOI 10.1016/S0140-6736(15)01129-0, lire en ligne, consulté le )
- ↑ Brazzaville 2011 – Cancer du sein : Carcinome canalaire in situ (CCIS) du sein, sur canal-u.tv, consulté le 18 janvier 2016 [vidéo]
- ↑ Hui Hua, Hongying Zhang, Qingbin Kong et Yangfu Jiang, « Mechanisms for estrogen receptor expression in human cancer », Experimental Hematology & Oncology, vol. 7, no 1, , p. 24 (ISSN 2162-3619, PMID 30250760, PMCID PMC6148803, DOI 10.1186/s40164-018-0116-7, lire en ligne, consulté le )
- ↑ (en) Sandra M. Swain, Mythili Shastry et Erika Hamilton, « Targeting HER2-positive breast cancer: advances and future directions », Nature Reviews Drug Discovery, vol. 22, no 2, , p. 101–126 (ISSN 1474-1784, PMID 36344672, PMCID PMC9640784, DOI 10.1038/s41573-022-00579-0, lire en ligne, consulté le )
- ↑ (en) Yongguang Yang, Marissa Leonard, Yijuan Zhang et Dan Zhao, « HER2-Driven Breast Tumorigenesis Relies upon Interactions of the Estrogen Receptor with Coactivator MED1 », Cancer Research, vol. 78, no 2, , p. 422–435 (ISSN 0008-5472 et 1538-7445, PMID 29187405, PMCID PMC5771879, DOI 10.1158/0008-5472.CAN-17-1533, lire en ligne, consulté le )
- 1 2 (en) Gerta Hoxhaj et Brendan D. Manning, « The PI3K–AKT network at the interface of oncogenic signalling and cancer metabolism », Nature Reviews Cancer, vol. 20, no 2, , p. 74–88 (ISSN 1474-1768, PMID 31686003, PMCID PMC7314312, DOI 10.1038/s41568-019-0216-7, lire en ligne, consulté le )
- ↑ Ramesh Butti, Sumit Das, Vinoth Prasanna Gunasekaran et Amit Singh Yadav, « Receptor tyrosine kinases (RTKs) in breast cancer: signaling, therapeutic implications and challenges », Molecular Cancer, vol. 17, no 1, , p. 34 (ISSN 1476-4598, PMID 29455658, PMCID PMC5817867, DOI 10.1186/s12943-018-0797-x, lire en ligne, consulté le )
- ↑ (en) Nadia Harbeck, Frédérique Penault-Llorca, Javier Cortes et Michael Gnant, « Breast cancer », Nature Reviews Disease Primers, vol. 5, no 1, , p. 1–31 (ISSN 2056-676X, DOI 10.1038/s41572-019-0111-2, lire en ligne, consulté le )
- ↑ Susan E. Hankinson, Graham A. Colditz et Walter C. Willett, « Towards an integrated model for breast cancer etiology: The lifelong interplay of genes, lifestyle, and hormones », Breast Cancer Research, vol. 6, no 5, , p. 213 (ISSN 1465-542X, PMID 15318928, PMCID PMC549181, DOI 10.1186/bcr921, lire en ligne, consulté le )
- 1 2 (en) Alexandra Moisand, Mathilde Madéry, Thomas Boyer et Charlotte Domblides, « Hormone Receptor Signaling and Breast Cancer Resistance to Anti-Tumor Immunity », International Journal of Molecular Sciences, vol. 24, no 20, , p. 15048 (ISSN 1422-0067, PMID 37894728, PMCID PMC10606577, DOI 10.3390/ijms242015048, lire en ligne, consulté le )
- ↑ (en) James D. Yager et Nancy E. Davidson, « Estrogen Carcinogenesis in Breast Cancer », New England Journal of Medicine, vol. 354, no 3, , p. 270–282 (ISSN 0028-4793 et 1533-4406, DOI 10.1056/NEJMra050776, lire en ligne, consulté le )
- ↑ Adam M. Brufsky, Maura N. Dickler, Estrogen Receptor‐Positive Breast Cancer: Exploiting Signaling Pathways Implicated in Endocrine Resistance, The Oncologist, Volume 23, Issue 5, May 2018, Pages 528–539, https://doi.org/10.1634/theoncologist.2017-0423
- ↑ (en) Siddavaram Nagini, « Breast Cancer: Current Molecular Therapeutic Targets and New Players », Anti-Cancer Agents in Medicinal Chemistry, vol. 17, no 2, , p. 152–163 (DOI 10.2174/1871520616666160502122724, lire en ligne, consulté le )
- ↑ « Estrogen Receptor‐Positive Breast Cancer: Exploiting Signaling Pathways Implicated in Endocrine Resistance », sur academic.oup.com (PMID 29352052, PMCID PMC5947450, DOI 10.1634/theoncologist.2017-0423, consulté le )
- ↑ (en) Siddavaram Nagini, « Breast Cancer: Current Molecular Therapeutic Targets and New Players », Anti-Cancer Agents in Medicinal Chemistry, vol. 17, no 2, , p. 152–163 (DOI 10.2174/1871520616666160502122724, lire en ligne, consulté le )
- ↑ (en) Léa Clusan, François Ferrière, Gilles Flouriot et Farzad Pakdel, « A Basic Review on Estrogen Receptor Signaling Pathways in Breast Cancer », International Journal of Molecular Sciences, vol. 24, no 7, , p. 6834 (ISSN 1422-0067, PMID 37047814, PMCID PMC10095386, DOI 10.3390/ijms24076834, lire en ligne, consulté le )
- 1 2 Joshua Z. Drago, Emanuela Ferraro, Nour Abuhadra et Shanu Modi, « Beyond HER2: Targeting the ErbB receptor family in breast cancer », Cancer Treatment Reviews, vol. 109, , p. 102436 (ISSN 0305-7372, PMID 35870237, PMCID PMC10478787, DOI 10.1016/j.ctrv.2022.102436, lire en ligne, consulté le )
- ↑ Pilar Eroles, Ana Bosch, J. Alejandro Pérez-Fidalgo et Ana Lluch, « Molecular biology in breast cancer: Intrinsic subtypes and signaling pathways », Cancer Treatment Reviews, vol. 38, no 6, , p. 698–707 (ISSN 0305-7372, DOI 10.1016/j.ctrv.2011.11.005, lire en ligne, consulté le )
- ↑ (en) Alex Friedlaender, Vivek Subbiah, Alessandro Russo et Giuseppe Luigi Banna, « EGFR and HER2 exon 20 insertions in solid tumours: from biology to treatment », Nature Reviews Clinical Oncology, vol. 19, no 1, , p. 51–69 (ISSN 1759-4782, DOI 10.1038/s41571-021-00558-1, lire en ligne, consulté le )
- ↑ (en) Yosef Yarden et Mark X. Sliwkowski, « Untangling the ErbB signalling network », Nature Reviews Molecular Cell Biology, vol. 2, no 2, , p. 127–137 (ISSN 1471-0080, DOI 10.1038/35052073, lire en ligne, consulté le )
- ↑ Yosef Yarden; Biology of HER2 and Its Importance in Breast Cancer. Oncology 1 July 2001; 61 (Suppl. 2): 1–13. https://doi.org/10.1159/000055396
- ↑ Nancy E Hynes et Gwen MacDonald, « ErbB receptors and signaling pathways in cancer », Current Opinion in Cell Biology, vol. 21, no 2, , p. 177–184 (ISSN 0955-0674, DOI 10.1016/j.ceb.2008.12.010, lire en ligne, consulté le )
- ↑ (en) Daniela Miricescu, Alexandra Totan, Iulia-Ioana Stanescu-Spinu et Silviu Constantin Badoiu, « PI3K/AKT/mTOR Signaling Pathway in Breast Cancer: From Molecular Landscape to Clinical Aspects », International Journal of Molecular Sciences, vol. 22, no 1, , p. 173 (ISSN 1422-0067, PMID 33375317, PMCID PMC7796017, DOI 10.3390/ijms22010173, lire en ligne, consulté le )
- 1 2 (en) Krisida Cerma, Federico Piacentini, Luca Moscetti et Monica Barbolini, « Targeting PI3K/AKT/mTOR Pathway in Breast Cancer: From Biology to Clinical Challenges », Biomedicines, vol. 11, no 1, , p. 109 (ISSN 2227-9059, PMID 36672617, PMCID PMC9855880, DOI 10.3390/biomedicines11010109, lire en ligne, consulté le )
- ↑ (en) Jeffrey A. Engelman, Ji Luo et Lewis C. Cantley, « The evolution of phosphatidylinositol 3-kinases as regulators of growth and metabolism », Nature Reviews Genetics, vol. 7, no 8, , p. 606–619 (ISSN 1471-0064, DOI 10.1038/nrg1879, lire en ligne, consulté le )
- ↑ J. Pascual et N.C. Turner, « Targeting the PI3-kinase pathway in triple-negative breast cancer », Annals of Oncology, vol. 30, no 7, , p. 1051–1060 (ISSN 0923-7534, DOI 10.1093/annonc/mdz133, lire en ligne, consulté le )
- ↑ (en) Shikha Bose, Steven I. Wang, Mary Beth Terry et Hanina Hibshoosh, « Allelic loss of chromosome 10q23 is associated with tumor progression in breast carcinomas », Oncogene, vol. 17, no 1, , p. 123–127 (ISSN 1476-5594, DOI 10.1038/sj.onc.1201940, lire en ligne, consulté le )
- ↑ (en) Jose M. Garcia, Jose M. Silva, Gemma Dominguez et Rocio Gonzalez, « Allelic loss of the PTEN region (10q23) in breast carcinomas of poor pathophenotype », Breast Cancer Research and Treatment, vol. 57, no 3, , p. 237–243 (ISSN 1573-7217, DOI 10.1023/A:1006273516976, lire en ligne, consulté le )
- ↑ Pedram Razavi, Matthew T. Chang, Guotai Xu et Chaitanya Bandlamudi, « The Genomic Landscape of Endocrine-Resistant Advanced Breast Cancers », Cancer Cell, vol. 34, no 3, , p. 427–438.e6 (ISSN 1535-6108, PMID 30205045, PMCID PMC6327853, DOI 10.1016/j.ccell.2018.08.008, lire en ligne, consulté le )
- ↑ (en) Simak Ali et R. Charles Coombes, « Endocrine-responsive breast cancer and strategies for combating resistance », Nature Reviews Cancer, vol. 2, no 2, , p. 101–112 (ISSN 1474-1768, DOI 10.1038/nrc721, lire en ligne, consulté le )
- ↑ (en) Yumi Fujimoto, Tomoko Yamamori Morita, Akihiro Ohashi et Hiroshi Haeno, « Combination treatment with a PI3K/Akt/mTOR pathway inhibitor overcomes resistance to anti-HER2 therapy in PIK3CA-mutant HER2-positive breast cancer cells », Scientific Reports, vol. 10, no 1, , p. 21762 (ISSN 2045-2322, PMID 33303839, PMCID PMC7729878, DOI 10.1038/s41598-020-78646-y, lire en ligne, consulté le )
- ↑ Janczur Velloso, F. et al. The crossroads of breast cancer progression: insights into the modulation of major signaling pathways. OncoTargets Ther. 10, 5491–5524 (2017).
- ↑ (en) Dena A. J. Ahmad, Ola H. Negm, M. Layth Alabdullah et Sameer Mirza, « Clinicopathological and prognostic significance of mitogen-activated protein kinases (MAPK) in breast cancers », Breast Cancer Research and Treatment, vol. 159, no 3, , p. 457–467 (ISSN 1573-7217, PMID 27592113, PMCID PMC5021722, DOI 10.1007/s10549-016-3967-9, lire en ligne, consulté le )
- ↑ (en) Kelly K. Haagenson et Gen Sheng Wu, « The role of MAP kinases and MAP kinase phosphatase-1 in resistance to breast cancer treatment », Cancer and Metastasis Reviews, vol. 29, no 1, , p. 143–149 (ISSN 1573-7233, PMID 20111893, PMCID PMC4063276, DOI 10.1007/s10555-010-9208-5, lire en ligne, consulté le )
- ↑ (en) Friederike C. von Lintig, Anna D. Dreilinger, Nissi M. Varki et Anne M. Wallace, « Ras activation in human breast cancer », Breast Cancer Research and Treatment, vol. 62, no 1, , p. 51–62 (ISSN 1573-7217, DOI 10.1023/A:1006491619920, lire en ligne, consulté le )
- ↑ G. Aaron Hobbs, Channing J. Der et Kent L. Rossman, « RAS isoforms and mutations in cancer at a glance », Journal of Cell Science, (ISSN 1477-9137 et 0021-9533, PMID 26985062, PMCID PMC4869631, DOI 10.1242/jcs.182873, lire en ligne, consulté le )
- ↑ Richard J Santen, Robert Xinde Song, Robert McPherson et Rakesh Kumar, « The role of mitogen-activated protein (MAP) kinase in breast cancer », The Journal of Steroid Biochemistry and Molecular Biology, proliferation of Normal and Malignant Mammary Epithelial Cells, vol. 80, no 2, , p. 239–256 (ISSN 0960-0760, DOI 10.1016/S0960-0760(01)00189-3, lire en ligne, consulté le )
- ↑ (en) Shigeaki Kato, Hideki Endoh, Yoshikazu Masuhiro et Takuya Kitamoto, « Activation of the Estrogen Receptor Through Phosphorylation by Mitogen-Activated Protein Kinase », Science, vol. 270, no 5241, , p. 1491–1494 (ISSN 0036-8075 et 1095-9203, DOI 10.1126/science.270.5241.1491, lire en ligne, consulté le )
- ↑ (en) Kamal Pandey, Hee‐Jung An, Seung Ki Kim et Seung Ah Lee, « Molecular mechanisms of resistance to CDK4/6 inhibitors in breast cancer: A review », International Journal of Cancer, vol. 145, no 5, , p. 1179–1188 (ISSN 0020-7136 et 1097-0215, PMID 30478914, PMCID PMC6767051, DOI 10.1002/ijc.32020, lire en ligne, consulté le )
- ↑ Patrick J. Roberts, John E. Bisi, Jay C. Strum et Austin J. Combest, « Multiple Roles of Cyclin-Dependent Kinase 4/6 Inhibitors in Cancer Therapy », JNCI: Journal of the National Cancer Institute, vol. 104, no 6, , p. 476–487 (ISSN 1460-2105 et 0027-8874, PMID 22302033, PMCID PMC3309128, DOI 10.1093/jnci/djs002, lire en ligne, consulté le )
- ↑ (en-US) Chellappagounder Thangavel, Jeffry L. Dean, Adam Ertel et Karen E. Knudsen, « Therapeutically activating RB: reestablishing cell cycle control in endocrine therapy-resistant breast cancer », Endocrine-Related Cancer, vol. 18, no 3, , p. 333–345 (ISSN 1351-0088 et 1479-6821, PMID 21367843, PMCID PMC3624623, DOI 10.1530/ERC-10-0262, lire en ligne, consulté le )
- ↑ Laura M Spring, Seth A Wander, Fabrice Andre et Beverly Moy, « Cyclin-dependent kinase 4 and 6 inhibitors for hormone receptor-positive breast cancer: past, present, and future », The Lancet, vol. 395, no 10226, , p. 817–827 (ISSN 0140-6736, DOI 10.1016/s0140-6736(20)30165-3, lire en ligne, consulté le )
- ↑ (en) Emily E. Bosco et Erik S. Knudsen, « RB in Breast Cancer: The Crossroads of Tumorigenesis and Treatment », Cell Cycle, vol. 6, no 6, , p. 667–671 (ISSN 1538-4101 et 1551-4005, DOI 10.4161/cc.6.6.3988, lire en ligne, consulté le )
- ↑ D. Treré, E. Brighenti, G. Donati et C. Ceccarelli, « High prevalence of retinoblastoma protein loss in triple-negative breast cancers and its association with a good prognosis in patients treated with adjuvant chemotherapy », Annals of Oncology, vol. 20, no 11, , p. 1818–1823 (ISSN 0923-7534, DOI 10.1093/annonc/mdp209, lire en ligne, consulté le )
- ↑ (en) Maria A Lopez‐Garcia, Felipe C Geyer, Magali Lacroix‐Triki et Caterina Marchió, « Breast cancer precursors revisited: molecular features and progression pathways », Histopathology, vol. 57, no 2, , p. 171–192 (ISSN 0309-0167 et 1365-2559, DOI 10.1111/j.1365-2559.2010.03568.x, lire en ligne, consulté le )
- ↑ S. R. Wellings et H. M. Jensen, « On the Origin and Progression of Ductal Carcinoma in the Human Breast2 », JNCI: Journal of the National Cancer Institute, vol. 50, no 5, , p. 1111–1118 (ISSN 1460-2105 et 0027-8874, DOI 10.1093/jnci/50.5.1111, lire en ligne, consulté le )
- ↑ Wellings, S. R., Jensen, H. M. & Marcum, R. G. An atlas of subgross pathology of the human breast with special reference to possible precancerous lesions. J. Natl Cancer Inst. 55, 231–273 (1975).
- ↑ (en) Emad A Rakha, Islam M Miligy, Kylie L Gorringe et Michael S Toss, « Invasion in breast lesions: the role of the epithelial–stroma barrier », Histopathology, vol. 72, no 7, , p. 1075–1083 (ISSN 0309-0167 et 1365-2559, DOI 10.1111/his.13446, lire en ligne, consulté le )
- ↑ (en) Gemma M. Wilson, Phuong Dinh, Nirmala Pathmanathan et J. Dinny Graham, « Ductal Carcinoma in Situ: Molecular Changes Accompanying Disease Progression », Journal of Mammary Gland Biology and Neoplasia, vol. 27, no 1, , p. 101–131 (ISSN 1573-7039, PMID 35567670, PMCID PMC9135892, DOI 10.1007/s10911-022-09517-7, lire en ligne, consulté le )
- ↑ (en) Elizabeth Mitchell, Sonali Jindal, Tiffany Chan et Jayasri Narasimhan, « Loss of myoepithelial calponin‐1 characterizes high‐risk ductal carcinoma in situ cases, which are further stratified by T cell composition », Molecular Carcinogenesis, vol. 59, no 7, , p. 701–712 (ISSN 0899-1987 et 1098-2744, PMID 32134153, PMCID PMC7317523, DOI 10.1002/mc.23171, lire en ligne, consulté le )
- ↑ (en) T. Bonacho, F. Rodrigues et J. Liberal, « Immunohistochemistry for diagnosis and prognosis of breast cancer: a review », Biotechnic & Histochemistry, vol. 95, no 2, , p. 71–91 (ISSN 1052-0295 et 1473-7760, DOI 10.1080/10520295.2019.1651901, lire en ligne, consulté le )
- ↑ Hernandez, L. et al. Genomic and mutational profiling of ductal carcinomas in situ and matched adjacent invasive breast cancers reveals intra-tumour genetic heterogeneity and clonal selection. J. Pathol. 227, 42–52 (2012).
- ↑ (en) Vladimir V. Iakovlev, Nona C.R. Arneson, Vietty Wong et Chunjie Wang, « Genomic Differences Between Pure Ductal Carcinoma In Situ of the Breast and that Associated with Invasive Disease: a Calibrated aCGH Study », Clinical Cancer Research, vol. 14, no 14, , p. 4446–4454 (ISSN 1078-0432 et 1557-3265, DOI 10.1158/1078-0432.CCR-07-4960, lire en ligne, consulté le )
- ↑ (en) Fresia Pareja, David N. Brown, Ju Youn Lee et Arnaud Da Cruz Paula, « Whole-Exome Sequencing Analysis of the Progression from Non–Low-Grade Ductal Carcinoma In Situ to Invasive Ductal Carcinoma », Clinical Cancer Research, vol. 26, no 14, , p. 3682–3693 (ISSN 1078-0432 et 1557-3265, PMID 32220886, PMCID PMC7367727, DOI 10.1158/1078-0432.CCR-19-2563, lire en ligne, consulté le )
- ↑ Angelo Fortunato, Diego Mallo, Shawn M Rupp, Lorraine M King, Timothy Hardman, Joseph Y Lo, Allison Hall, Jeffrey R Marks, E Shelley Hwang, Carlo C Maley, A new method to accurately identify single nucleotide variants using small FFPE breast samples, Briefings in Bioinformatics, Volume 22, Issue 6, November 2021, bbab221, https://doi.org/10.1093/bib/bbab221
- ↑ (en) Swapnil Ulhas Rane, Hasan Mirza, Anita Grigoriadis et Sarah E. Pinder, « Selection and evolution in the genomic landscape of copy number alterations in ductal carcinoma in situ (DCIS) and its progression to invasive carcinoma of ductal/no special type: a meta-analysis », Breast Cancer Research and Treatment, vol. 153, no 1, , p. 101–121 (ISSN 1573-7217, DOI 10.1007/s10549-015-3509-x, lire en ligne, consulté le )
- ↑ (en) Horst Buerger, Friedrich Otterbach, Ronald Simon et Christopher Poremba, « Comparative genomic hybridization of ductal carcinomain situ of the breast?evidence of multiple genetic pathways », The Journal of Pathology, vol. 187, no 4, , p. 396–402 (ISSN 0022-3417 et 1096-9896, DOI 10.1002/(SICI)1096-9896(199903)187:4<396::AID-PATH286>3.0.CO;2-L, lire en ligne, consulté le )
- ↑ (en) Jing Wang, Baizhou Li, Meng Luo et Jia Huang, « Progression from ductal carcinoma in situ to invasive breast cancer: molecular features and clinical significance », Signal Transduction and Targeted Therapy, vol. 9, no 1, , p. 1–28 (ISSN 2059-3635, PMID 38570490, PMCID PMC10991592, DOI 10.1038/s41392-024-01779-3, lire en ligne, consulté le )
Liens externes
- Ressources relatives à la santé :
Voir aussi
Articles connexes
Bibliographie
- (en) Burstein et al. « Ductal Carcinoma in Situ of the Breast » N Engl J Med 2004;350:1430-1441
- Portail de la médecine