Carcinome embryonnaire

Carcinome embryonnaire
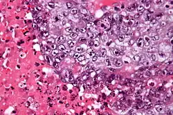
Description de l'image Embryonal carcinoma - very high mag - cropped.jpg.
Traitement
Spécialité Oncologie
Classification et ressources externes
ICD-O M9070/3-9072
MeSH D018236

Wikipédia ne donne pas de conseils médicaux Mise en garde médicale


Le carcinome embryonnaire est un type de tumeur germinale peu commun qui se produit dans les ovaires et les testicules[1]. On peut aussi la retrouver sous le nom de tumeur vitelline ou tumeur du sinus endodermique du testicule et de l'ovaire[2].

Notes et références

  1. Stephen S. Sternberg, Stacey E. Mills et Darryl Carter, Sternberg's diagnostic surgical pathology, Wolters Kluwer / Lippincott Williams & Wilkins, (ISBN 978-0-7817-7942-5 et 0-7817-7942-1, OCLC 316421271, lire en ligne)
  2. « Dictionnaire médical de l'Académie de Médecine », sur www.academie-medecine.fr (consulté le )
  • icône décorative Portail de la médecine