Carcinosarcome

_rhabdomyosarcomatous.jpg)
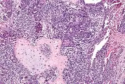
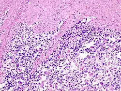
Le carcinosarcome est une tumeur maligne associant des aspects carcinomateux et sarcomateux[1]. Il est fréquemment de localisation utérine.
Notes et références
- ↑ (en) « Carcinosarcoma », sur NCI Dictionary of Cancer Terms (consulté le )
Liens externes
- Ressources relatives à la santé :
- Ressource relative à la recherche :
- Portail de la médecine