Cellule caliciforme

Une cellule caliciforme ou cellule à mucus, parfois dénommée aussi cellule en gobelet (de l'anglais goblet cell), cellule muqueuse à pôle apical ouvert ou cellule mucipare (de mucus et du latin parere, « engendrer ») est une cellule en forme de vase allongé spécialisée dans la synthèse du mucus. Ces cellules épithéliales glandulaires sécrètent de la mucine empaquetée dans les granules de sécrétion stockés au pôle apical, puis libérée dans la lumière intestinale pour former le gel de mucus.

Elles bordent les glandes exocrines ou composant en partie les épithéliums absorbants, comme celui de l'intestin grêle et du gros intestin, dans les voies respiratoires supérieures (trachée, bronches et bronchioles les plus grandes (mais pas dans la partie profonde du poumon), dans certains tissus d'organes reproductifs[1] et enfin dans la conjonctive de la paupière supérieure (où ces cellules produisent la mucine qui est retrouvée dans les larmes ; elles sécrètent aussi différents types de mucines sur la surface oculaire qui lubrifie l’œil et les paupières. Dans les glandes lacrymales, le mucus est synthétisé par des cellules dites « acineuses »[2].
Bien qu'elles ne correspondent pas à une glande au sens strict du terme, elles sont considérées comme des glandes unicellulaires[3].
Description
Elles possèdent une large région apicale, et une fine partie basale.
Le pôle apical comporte une masse de globules de mucine qui déplace le noyau vers la base. Ce mucus est sécrété par la cellule pour protéger la surface de l'épithélium.
Les cellules caliciformes sont des cellules à pôle muqueux dit « ouvert », car leur excrétion muqueuse est si abondante qu'on ne voit pas la membrane plasmique en microscopie optique (on a ainsi l'impression que les cellules caliciformes sont « ouvertes »). Cette « ouverture » n'est qu'une impression : la microscopie électronique montre bien la continuité de la membrane plasmique. Si la cellule était réellement ouverte, c'est-à-dire avec une rupture de la membrane plasmique, elle ne pourrait survivre.
Origine
Comme tous les autres types de cellules de l'épithélium intestinal (entérocytes, cellules endocrines et cellules de Paneth) les cellules en gobelet ont pour origine un axe de cellules souches situé dans la partie moyenne de la glande intestinale[4].
Microanatomie, histologie
Les cellules caliciformes sont dispersées dans certains épithéliums de revêtement et assurent la lubrification de ceux-ci par sécrétion de mucus[5].
Les cellules caliciformes sont des cellules épithéliales de section cylindrique et environ 4 fois plus hautes que larges ; leur forme en calice est caractéristique : ; le pôle apical de la cellule est évasé, alors que le pôle basal est étroit, reposant sur la lame basale et contenant le noyau refoulé et déformé. Le cytoplasme de la cellule tend à être déplacé vers l'extrémité basale du corps cellulaire par les gros granules de mucines qui s'accumulent à proximité de la surface de la cellule le long de appareil de Golgi, qui se situe entre les granules et le noyau de cellule.
Si la cellule est colorée à l'hématoxyline, la partie basale de la cellule prend une coloration « basophile » à cause des acides nucléiques du noyau et du réticulum endoplasmique rugueux (ou granuleux). Dans les coupes histologiques de routine, les granules de mucine apparaissent en couleur claire, notamment car cette protéine riche en glucides est délavée lors de la préparation de l'échantillon destiné à la microscopie. Mais elle est facilement colorée en magenta par la méthode PAS (Periodic acid-Schiff stain)[6],[7].
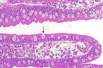
Avec une coloration du tissu par la mucicarmine, on observe de la mucine colorée en rouge foncé dans le corps des cellules caliciformes. Dans les exemples ci-dessous les cellules caliciformes sont les cellules plus grandes et plus pâles.
Une glande intestinale humaine (avec cellule caliciforme visible)
Cellule caliciforme de l'ileum- Section d'un intestin de souris (en bleu : mucus produit par les cellules caliciformes)
Ici dans le gros intestin
Observées en microscopie électronique, ces cellules présentent une accumulation de grains mucigènes qui confluent en de volumineuses masses évacuées par fusion de leur membrane avec la membrane plasmique. L'ouverture de ces énormes masses donne au pôle apical de la cellule l'aspect ouvert en microscopie optique.
Le mucus résulte de l'hydratation du mucigène au moment de l'excrétion.
D'autres cellules participent à la synthèse de mucus telles que : les cellules muqueuses à pôle fermé ou encore les cellules muqueuses a pôle fermé de type mucoïde.
Bronches et trachée
Dans l'épithélium de la trachée et des bronches, les cellules caliciformes sécrètent un mucigène, qui en s'hydratant, deviendra du mucus. Celui-ci forme, avec les cils vibratiles, le tapis mucociliaire empêchant la progression des poussières et permettant leur remontée dans la trachée[8].
Œsophage
Ces cellules sont aussi présentes dans l'œsophage métaplasique (œsophage de Barrett).
Intestin
Ces cellules sont présentes dans le gros intestin et le rectum[9].
Notes et références
- ↑ Hodges RR & Dartt D.A. Conjunctival Goblet Cells, pp. 369–376, DOI 10.1016/b978-0-12-374203-2.00053-1.
- ↑ Guzman-Aranguez, A; Argüeso, P (2010). "Structure and biological roles of mucin-type O-glycans at the ocular surface". The Ocular Surface. 8 (1): 8–17. DOI 10.1016/S1542-0124(12)70213-6. PMC 2847370 Freely accessible. .
- ↑ « Cellule caliciforme - Définition », sur Journal des Femmes Santé (consulté le )
- ↑ Raynal R (1983) Somatostatine ; cours, PDF, 5P
- ↑ « FMPMC-PS - Histologie : les tissus - Niveau PAES », sur www.chups.jussieu.fr (consulté le )
- ↑ Ross M, Pawlina W, Histology : A Text and Atlas, Lippincott Williams & Wilkins, , 6th éd., 974 p. (ISBN 978-0-7817-7200-6)
- ↑ Young B, Woodford P, O'Dowd G, Wheater's Functional Histology : A Text and Colour Atlas, Elsevier, , 6th éd., 452 p. (ISBN 978-0-7020-4747-3), p. 94
- ↑ Encyclopédie Vulgaris Médical : Cellule caliciforme
- ↑ Éditions Larousse, « Définitions : caliciforme - Dictionnaire de français Larousse », sur www.larousse.fr (consulté le )
- Portail de la biologie
- Portail de la médecine