Chondrosarcome
| Spécialité | Oncologie |
|---|
| CIM-9 | 170.9 |
|---|---|
| ICD-O | M9220/3-9240/3 |
| OMIM | 215300 |
| DiseasesDB | 2597 |
| eMedicine | 388869 |
| MeSH | D002813 |
Mise en garde médicale
Le chondrosarcome est une tumeur maligne primitive osseuse avec des cellules tumorales présentant une matrice cartilagineuse hyaline[1]. Le chondrosarcome est la deuxième tumeur osseuse maligne en termes de fréquence, derrière l'ostéosarcome.
C'est la tumeur osseuse maligne primitive la plus fréquente chez l'adulte[2] avec des pics de fréquence entre 35 et 70 ans, elle est rare avant 25 ans. Il représente 20 % des tumeurs des os primitives.
Localisation et symptômes
Les localisations les plus fréquentes sont le pelvis, le fémur, l'extrémité proximale de l'humérus mais toutes les localisations osseuses sont possibles[3], même la base du crâne, selon des probabilités variables[4].
Les premiers signes cliniques sont peu spécifiques : la douleur est d'apparition progressive, le chondrosarcome ayant une croissance lente. Un autre mode de découverte est la palpation d'une tuméfaction, les fractures pathologiques restant rares[5].
Le diagnostic est orienté par l'imagerie, les radiographies montrant généralement des lésions ostéolytiques, mal délimitées présentant des calcifications intra-lésionnelles. Un scanner et une IRM complèteront systématiquement le bilan d'extension local afin de mesurer précisément la taille de la lésion ainsi que son éventuelle extension extra-osseuse.
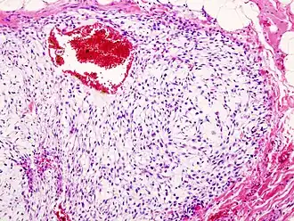
Le diagnostic sera confirmé par une biopsie afin d'obtenir une analyse anatomopathologique de la lésion permettant de classifier et de grader la lésion.
Il existe différents sous groupes histologiques de chondrosarcomes[5] : chondrosarcome central conventionnel, chondrosarcome secondaire, chondrosarcome mésenchymateux, chondrosarcome dédifférencié, chondrosarcome à cellules claires, chondrosarcomes périosté avec des risques métastatiques spécifiques.
Le bilan d'extension sera complété par un scanner thoracique, les poumons étant le site préférentiel de localisation des métastases.
Traitement
Le traitement curatif des chondrosarcomes non métastatique est uniquement chirurgical, les chondrosarcomes répondant peu aux chimiothérapies ou à la radiothérapie. Le schéma thérapeutique est défini en réunion de concertation pluridisciplinaire dans un centre de référence sarcomes[6].
La prise en charge des lésions de bas grade des os longs consiste en un curetage-comblement de la lésion[7].
La prise en charge des lésions de bas grade du bassin et des lésions de haut grade consiste en une résection chirurgicale en bloc avec idéalement une reconstruction osseuse ou prothétique.
De nos jours, on fonde beaucoup d'espoirs sur la protonthérapie[8] (irradiation ciblée par un faisceau de protons).
Surveillance[6]
La surveillance suivant la prise en charge chirurgical sera locale (radiographies standards) et pulmonaire (scanner thoracique), initialement 3 fois par an les 2 premières années, puis 2 fois par an les 3 années suivantes, puis annuellement à vie pour les lésion de grade 2 et 3.
Une surveillance annuelle sera suffisante pour les lésions de grade 1.
Notes et références
- ↑ (en) Lee R. Leddy et Robert E. Holmes, « Chondrosarcoma of Bone », dans Orthopaedic Oncology: Primary and Metastatic Tumors of the Skeletal System, Springer International Publishing, (ISBN 978-3-319-07323-1, DOI 10.1007/978-3-319-07323-1_6, lire en ligne), p. 117–130
- ↑ Elsevier Masson, « Chondrosarcomes osseux », sur EM-Consulte (consulté le )
- ↑ Chondrosarcome : Cancerbackup
- ↑ Chondrosarcoma Questions2
- 1 2 (en) Shadi A. Qasem et Barry R. DeYoung, « Cartilage-forming tumors », Seminars in Diagnostic Pathology, lesions of Bone: A Focused Review, vol. 31, no 1, , p. 10–20 (ISSN 0740-2570, DOI 10.1053/j.semdp.2014.01.006, lire en ligne, consulté le )
- 1 2 « Référence Chondrosarcome », sur oncologik.fr (consulté le )
- ↑ (en) « Intralesional curettage and cementation of low-grade chondrosarcomas of the appendicular skeleton: Long-term results from a single center », sur www.aott.org.tr (PMID 36567544, PMCID PMC9885716, DOI 10.5152/j.aott.2022.22091, consulté le )
- ↑ Proton Therapy at PSI (Protonentherapie)
Voir aussi
Articles connexes
Liens externes
- Portail de la médecine