Colite collagène
Colite collagène
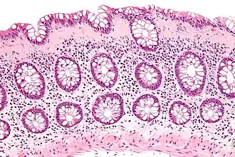
Coloration histologique d'une colite collagène à l'hématoxyline-éosine.
| Spécialité | Gastro-entérologie |
|---|
| DiseasesDB | 2955 |
|---|---|
| eMedicine | 180664 |
| MeSH | D046729 |
Mise en garde médicale
La colite collagène est caractérisée par une diarrhée hydrique chronique. 600 cas sont recensés en Europe chaque année, essentiellement chez des femmes de plus de 60 ans avec un pic entre 70 et 79 ans.
Une molécule est prescrite en première intention, la budésonide. On observe 20 % de rémissions spontanées à la suite du traitement.
Symptômes :
- diarrhée ;
- nombreuses selles chaque jour ;
- amaigrissement ;
- coloscopie normale ;
- examen de selles normal.
La biopsie du côlon montre l'apparition d'une bande de fibrose collagène, sous le revêtement superficiel épaisse de 10 microns ou plus.
Notes et références
Liens externes
- Portail de la médecine