Coloration à l'hématoxyline et à l'éosine

La coloration à l'hématoxyline et à l'éosine (le plus souvent désignée sous sa forme abrégée coloration HE) est une technique de coloration d'usage courant en histologie et en histopathologie.
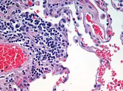
C'est une coloration bichromatique qui se compose d'un colorant nucléaire, l'hématoxyline, et d'un colorant cytoplasmique, l'éosine. L'hématoxyline est un colorant cationique (ou basique), qui a une affinité pour les éléments cellulaires chargés négativement (= anioniques ou acides) dits basophiles. Il colore notamment les noyaux en bleu/violet, en se fixant sur les acides nucléiques. A contrario, l'éosine est un colorant anionique (ou acide), qui a une affinité pour les éléments cellulaires chargés positivement (= cationiques ou basiques) dits éosinophiles. Il colore le cytoplasme en rose et les autres éléments cellulaires basiques en rose/rouge plus ou moins vifs selon leur acidophilie[1].
En microscopie optique, on peut observer :
- les noyaux en bleu/violet ;
- les basophiles en pourpre ;
- les éosinophiles en rouge ;
- les muscles en rose foncé ;
- les érythrocytes en rouge cerise ;
- le collagène en rose pâle.
Notes et références
- ↑ « Hématoxyline éosine - Histalim » (consulté le )
- Portail de la biologie cellulaire et moléculaire
- Portail de la médecine