Coloration de Perls
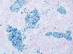
La coloration de Perls est une technique de coloration cytochimique de tissus utilisée en hématologie. Elle permet de mettre en évidence le fer fixé dans l'hémosidérine colorée en bleu par le bleu de Prusse[note 1] ; les noyaux sont mis en évidence par le rouge nucléaire.

Technique
Technique développée par le pathologiste allemand Max Perls consistant à faire précipiter le fer grâce à du ferrocyanure de potassium[1].

Intérêt clinique

La coloration de Perls est majoritairement employée pour diagnostiquer les syndromes myélodysplasiques par l'identification de sidéroblastes en couronnes sur les myélogrammes. Ces cellules sont des globules rouges immatures dont les granulations d'hémosidérine entourent le noyau[2].
La coloration peut également servir dans l'exploration des anémies pour évaluer la localisation et le métabolisme du fer[3],[4]. Les corps de Pappenheimer sont aussi visualisables[5],[6].
Hors hématologie, elle peut être utile dans certaines pathologies hépatiques (hépatocarcinomes, Hémosidérose).
La réaction chimique entre le fer et le bleu de Prusse est la suivante[7] :
| 4 Fe Cl3 + 3 K4Fe (CN)6 Fe4[Fe(CN)6]3 + 12 KCl |
| (fer ferrique) + (ferrocyanure de potassium) → (ferrocyanure ferrique ou bleu de Prusse) |
Notes et références
Notes
- ↑ Aussi appelé bleu de Berlin
Références
- ↑ « Dictionnaire médical de l'Académie de Médecine » (consulté le )
- ↑ « Laboratoire d'Hématologie Cellulaire du CHU d'Angers, Syndromes Myélodysplasiques/Myéloprolifératifs : LMMC, LMMC juvénile, aCML, SMD/SMP-RS-T, SMD/SMP inclassables » (consulté le )
- ↑ « Aide-mémoire d'hématologie » [PDF], (consulté le ), p. 36
- ↑ « Myélogramme - coloration de Perls | Référentiel des examens | Eurofins Biomnis » (consulté le )
- ↑ « Dictionnaire médical de l'Académie de Médecine » (consulté le )
- ↑ « Laboratoire d'Hématologie Cellulaire du CHU d'Angers, Physiologie du globule rouge » (consulté le )
- ↑ R. A. B. Drury et E. A. Wallington, Carleton's Histological Technique, Oxford University Press, , 520 p. (ISBN 0-19-261310-3)
Voir aussi
Articles connexes
Liens externes
- Portail de la médecine
- Portail de l’hématologie