Coupe histologique

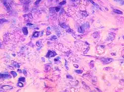
Coupe histologique de muscle de souris injecté avec une solution contenant des particules d'hydroxylapatite

Une coupe histologique est une tranche d'un organe suffisamment fine pour pouvoir être observée au microscope. Elles sont réalisées par un microtome pour des coupes de quelques µm d'épaisseur ou par un ultramicrotome pour des coupes d'environ 0,1 µm. Les tissus sont inclus dans des résines époxy ou dans de la paraffine.

Elles peuvent être réalisées sans inclusion préalable, congelées et réalisées par un cryomicrotome.

Sources

  • Dico de Bio de Romaric Forêt (édition : de Boeck)
  • icône décorative Portail de la biologie cellulaire et moléculaire
  • icône décorative Portail de la physiologie