Cryptosporidiose

Cryptosporidiose
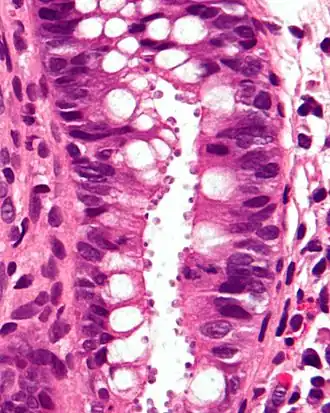
Description de cette image, également commentée ci-après
Examen au microscope optique révélant une cryptosporidiose : les cryptosporidium sont ces petits corps ronds à l'intérieur de vacuoles apicales à la surface de l'épithélium. Biopsie du côlon colorée H & E.
Causes Cryptosporidium parvum, Cryptosporidium, Cryptosporidium hominis (en), Cryptosporidium fragile (en) ou Cryptosporidium muris (en)
Transmission Contamination féco-orale
Incubation min 2 j
Incubation max 10 j
Symptômes Diarrhée, ictère, fièvre, nausée, vomissement, déshydratation et ascite
Traitement
Médicament Paromomycine, nitazoxanide et azithromycine
Spécialité Infectiologie
Classification et ressources externes
CIM-10 A07.2
CIM-9 007.4
DiseasesDB 3221
MedlinePlus 000617
eMedicine 215490
MeSH D003457
Patient UK Cryptosporidiosis

Wikipédia ne donne pas de conseils médicaux Mise en garde médicale

La cryptosporidiose est une maladie intestinale d'origine parasitaire, qui touche plusieurs espèces comme les bovins et les oiseaux. Elle est transmissible à l'humain. Chez le veau, elle donne lieu à des diarrhées sévères et une faiblesse intense. Les sujets atteints sont souvent incapables de se tenir debout. Avec une raideur prononcée des membres, les animaux n'ont pas d'appétit et maigrissent rapidement. Sans soins efficaces, la maladie évolue vers la mort. Chez l'humain immunocompétent, la maladie se résout spontanément en une dizaine de jours. Le traitement, dans ce cas, est symptomatique. Diverses molécules ont été utilisées dans le traitement de cette maladie. La paromomycine semble rester la molécule de référence.

Description

Agents infectieux

La maladie est causée par des parasites protozoaires du genre Cryptosporidium : Cryptosporidium hominis et Cryptosporidium parvum. Caractéristiques :

  • devient inactif par la congélation (−22 °C pendant 10 jours ou plus) ou par la chaleur (65 °C pendant deux minutes ou plus) ;
  • résiste à la majorité des désinfectants. La chloration de l'eau de consommation ou de l'eau des piscines n'est pas suffisante pour détruire le parasite.

Mode de transmission

Les sources d'infection chez l'humain sont les animaux domestiques (surtout les veaux, les agneaux, les chevreaux, les porcelets, les poulains et les reptiles). L'origine de la transmission se fait alors par les excréments, à travers les cours d'eau, les pâturages et les jardins, mais aussi par contact direct avec les animaux, leurs sécrétions ou leurs excrétions, par voie fécale-orale. Par exemple, fumer après avoir manipulé un animal infecté. À noter : il est également possible de s'infecter en consommant un aliment contaminé ou en consommant des légumes d'un jardin fertilisé avec du fumier contaminé ou une eau non traitée.

De personne à personne, la transmission a lieu par voie fécale-orale. Par exemple, oublier de se laver les mains après avoir changé la couche d'un enfant infecté.

Répartition géographique et impact sur la population

La cryptosporidiose est une maladie cosmopolite, c’est-à-dire qu’elle est présente partout dans le monde. La maladie peut apparaître de manière irrégulière et épidémique[1]. L’eau de consommation, les piscines, les crèches et les animaux domestiques (les bovins et les ovins en particulier) sont autant de réservoirs pour le pathogène. En France, plusieurs épidémies ont eu lieu. Elles ont été dues à une contamination fécale des réseaux de distribution d’eau potable ; l’agent infectieux n’étant pas détruit par les désinfectants habituellement utilisés pour le traitement de l’eau.

Le taux d’infection varie entre 0,6 % et 2 % dans les pays industrialisés contre 4 % à 32 % de la population dans les pays en développement. Des taux plus élevés ont été observés chez les patients atteints du sida qui présentent une diarrhée chronique. En effet, on compte entre 3 % et 20 % de ces patients aux États-Unis et entre 50 % et 60 % en Afrique et en Haïti atteints de la cryptosporidiose[1]. En France, le nombre de cas de cette maladie chez les patients atteints du sida a fortement diminué depuis les traitements contre le VIH qui leur sont prescrits.

Symptômes

Symptômes chez l'humain

La cryptosporidiose entraîne une perturbation de la fonction des cellules intestinales ce qui mène à une mauvaise absorption des nutriments au cours de la digestion. Un ralentissement de la croissance chez l’enfant et un affaiblissement important de l’organisme chez les patients immunodéprimés peuvent alors apparaître[1].

Chez les personnes dont le système immunitaire fonctionne normalement, les symptômes sont :

  • diarrhées abondantes rarement mélangées avec du sang (trois à dix fois par jour) (forme classique : diarrhée aqueuse non sanglante) ;
  • douleurs abdominales : coliques ;
  • nausées ;
  • fièvre légère (38 à 38,5 °C)[2].

La durée de la maladie est de trois à quatorze jours.

Chez les personnes âgées et les enfants, les diarrhées sont plus longues.

Chez les immunodéprimés, comme les personnes greffées ou les patients atteints du sida, les diarrhées sont prolongées et peuvent devenir chroniques. Elles peuvent être associées directement ou indirectement au décès du patient. La cryptosporidiose peut également toucher les poumons mais cela reste exceptionnel[2].

Symptômes chez l'animal

Les symptômes s'observent surtout chez les jeunes animaux :

  • Porcelets de moins de 15 jours : diarrhée liquide jaunâtre et abondante, perte de poids et vomissements ;
  • Veaux : diarrhée sévère et une faiblesse intense ;
  • Dindonneaux et poussins : signes d'infection respiratoire ;
  • Reptiles : régurgitation après les repas.

Diagnostic

Le diagnostic de cryptosporidiose par méthode PCR (« polymerase chain reaction ») reste tout de même la méthode de référence. Le diagnostic par examen parasitologique des selles mettant en évidence le cryptosporidium est de moins en moins pratiqué en raison d'une complexité accrue par rapport à la PCR.

Traitement et prévention

À l'heure actuelle, il n'existe aucun traitement curatif, c'est-à-dire qui élimine l'agent pathogène. Cependant, il est possible de diminuer les symptômes de la maladie grâce à des antibiotiques de la classe des rifamycines. Il existe un vaccin pour les bovins, commercialisé depuis juin 2024, mis au point par le laboratoire MSD, après 23 ans de recherche. Il s'agit du BOVILIS Cryptium [3]. Des essais en médecine vétérinaire de l'utilisation d'un charbon activé et d'un mélange d'acides organiques ont démontré une diminution de 67 % de l'excrétion, une amélioration de la clinique et une amélioration de la croissance des animaux.

La prévention est la méthode la plus efficace pour diminuer l'impact de cette maladie sur la population. Il s'agit de suivre des règles d'hygiène alimentaire en évitant l'ingestion d'eau ou d'aliments pouvant être souillés par des matières fécales contenant le pathogène. Chez les patients immunodéprimés, la prévention peut passer par la consommation d'eau en bouteille uniquement. La prévention collective est également mise en place en protégeant les ressources naturelles d'eau, ainsi que les réseaux de distribution d'eau, des sources de contamination[1],[2].

Notes et références

  1. 1 2 3 4 C. Chabasse, M. Danis, C. Guiguen, D. Richard-Lenoble, F. Botterel, M.Miégeville ; ANOFEL, Parasitoses et mycoses des régions tempérées et tropicales, Elsevier Masson, 2e édition, 2010, p. 30 à 33
  2. 1 2 3 P. Bourré, Aide-mémoire de parasitologie et de pathologie tropicale, Flammarion, collection “Médecine et sciences”, 4e édition, 2008, p. 170 à 172.
  3. « BOVILIS® Cryptium - Med'Vet », sur med-vet.fr (consulté le )

Voir aussi

Articles connexes

Liens externes

  • icône décorative Portail de la médecine
  • icône décorative Portail de l'ornithologie
  • icône décorative Portail de l’élevage
  • icône décorative Portail de la parasitologie
  • icône décorative Portail de la médecine vétérinaire