Endosome

Les endosomes sont des compartiments membranaires que l'on retrouve à l'intérieur des cellules eucaryotes. Ce sont des organites de la voie de transport membranaire endocytaire provenant du réseau trans-Golgi : les vésicules d'endocytose s'y accrochent et fusionnent pour relarguer leur contenu. Les molécules ou ligands internalisés de la membrane plasmique (contenus dans ces vésicules) peuvent suivre cette voie jusqu'aux lysosomes pour être dégradés ou peuvent être recyclés vers la membrane plasmique dans le cycle endocytaire. Certaines molécules sont également transportées vers les endosomes à partir du réseau trans-Golgi et soit continuent vers les lysosomes, soit sont recyclées vers l'appareil de Golgi.
Les endosomes peuvent être classés comme précoces ou tardifs, en fonction de leur stade post-internalisation[1]. Les endosomes représentent un compartiment de tri majeur du système endomembranaire dans les cellules[2]. Dans les cellules HeLa, les endosomes ont un diamètre d'environ 500 nm à maturité[3].
Principe
Les vésicules d'endocytose se forment à la surface de la cellule. Elles portent généralement un « manteau protéique » organisé en plusieurs couches, la dernière étant formée d'un assemblage de triskels de clathrine. L'assemblage des triskels forme une cage en forme d'alvéoles autour de la vésicule. Cette cage est démantelée peu après formation grâce à la protéine de stress Hsp70. Les macromolécules internalisées dans la cellule par ces vésicules peuvent être des récepteurs placés à la surface de la cellule ayant interagi avec un ligand extracellulaire.
Fonctions
Les endosomes fournissent un environnement permettant de trier la matière avant qu'elle n'atteigne le lysosome pour y être dégradée[2]. Par exemple, les lipoprotéines de basse densité (LDL) sont absorbées dans la cellule en se liant au récepteur des LDL à la surface de la cellule. En atteignant les premiers endosomes, la LDL se dissocie du récepteur, et le récepteur peut être recyclé à la surface de la cellule. Le LDL reste dans l'endosome et est acheminé vers les lysosomes pour y être traité. Le LDL se dissocie en raison de l'environnement légèrement acidifié de l'endosome précoce, généré par une pompe à protons à membrane vacuolaire, la V-ATPase. D'autre part, l'EGF et le récepteur de l'EGF ont une liaison résistante au pH qui persiste jusqu'à ce qu'elle soit délivrée aux lysosomes pour leur dégradation. Le récepteur du mannose 6-phosphate transporte des ligands du Golgi destinés au lysosome par un mécanisme similaire.
Types
Il existe trois types d'endosomes différents : les endosomes précoces, les endosomes tardifs et les endosomes de recyclage[2]. Ils se distinguent par le temps qu'il faut au matériel endocyté pour les atteindre et par des marqueurs tels que les Rabs[4]. Ils ont également une morphologie différente. Une fois que les vésicules endocytiques se sont individualisées, elles fusionnent avec les endosomes précoces. Les endosomes précoces deviennent ensuite des endosomes tardifs avant de fusionner avec les lysosomes[5],[6].
Les endosomes précoces se développent de plusieurs façons pour former des endosomes tardifs. Ils deviennent de plus en plus acides, principalement grâce à l'activité de la V-ATPase[7]. De nombreuses molécules recyclées sont éliminées par concentration dans les régions tubulaires des endosomes précoces. La perte de ces tubules vers les voies de recyclage signifie que les endosomes tardifs n'ont la plupart du temps pas de tubules. Ils augmentent également en taille en raison de la fusion homotypique des endosomes précoces en vésicules plus grandes[8]. Les molécules sont également triées en vésicules plus petites qui bourgeonnent de la membrane périphérique dans la lumière de l'endosome, formant des vésicules intraluminales (ILV en anglais) ; ceci conduit à l'apparition multivésiculaire des endosomes tardifs et ils sont donc également connus sous le nom d'endosomes multivésiculaires ou corps multivésiculaires (MVB en anglais). L'élimination des molécules de recyclage telles que les récepteurs de la transferrine et les récepteurs du mannose 6-phosphate se poursuit pendant cette période, probablement par le bourgeonnement des vésicules hors des endosomes[5]. Enfin, les endosomes perdent RAB5A et acquièrent RAB7A, ce qui les rend aptes à fusionner avec les lysosomes[8].
Il a été démontré que la fusion des endosomes tardifs avec les lysosomes entraîne la formation d'un compartiment "hybride", dont les caractéristiques sont intermédiaires entre les deux compartiments sources[9]. Les lysosomes se réforment par recondensation pour atteindre leur densité normale, plus élevée. Cependant, avant que cela n'arrive, des endosomes plus tardifs peuvent fusionner avec l'hybride.
Certains matériaux sont recyclés dans la membrane plasmique directement à partir des endosomes précoces[10], mais la plupart sont acheminés par les endosomes de recyclage.
Les endosomes précoces sont constitués d'un réseau tubulaire-vésiculaire dynamique (vésicules d'un diamètre allant jusqu'à 1 µm avec des tubules connectés d'un diamètre d'environ 50 nm). Les marqueurs comprennent RAB5A et RAB4, la transferrine et son récepteur et l'EEA1.
Les endosomes tardifs, également appelés MVB, sont principalement sphériques, dépourvus de tubules, et contiennent de nombreuses vésicules intraluminales très serrées. Les marqueurs comprennent les récepteurs RAB7, RAB9 et le mannose 6-phosphate[11].
Les endosomes de recyclage sont concentrés au centre d'organisation des microtubules et consistent en un réseau principalement tubulaire. Leur marqueur caractéristique est RAB11[12].
D'autres sous-types existent dans des cellules spécialisées telles que les cellules polarisées et les macrophages.
Les phagosomes, les macropinosomes et les autophagosomes[13] mûrissent de manière similaire aux endosomes et peuvent nécessiter une fusion avec des endosomes normaux pour leur maturation. Certains agents pathogènes intracellulaires perturbent ce processus, par exemple en empêchant l'acquisition de RAB7[14].
Les endosomes tardifs ou MVB sont parfois appelés vésicules porteuses endocytiques, mais ce terme a été utilisé pour décrire les vésicules qui bourgeonnent à partir des endosomes précoces et fusionnent avec les endosomes tardifs. Cependant, plusieurs observations (décrites ci-dessus) ont depuis démontré qu'il est plus probable que le transport entre ces deux compartiments se fasse par un processus de maturation plutôt que par le transport des vésicules.
Une autre caractéristique d'identification unique qui diffère entre les différentes classes d'endosomes est la composition lipidique de leurs membranes. Les phosphates de phosphatidylinositol (PIP), l'une des molécules de signalisation lipidique les plus importantes, se distinguent par une maturation précoce et tardive des endosomes. Le PI(4,5)P2 est présent sur les membranes plasmiques, le PI(3)P sur les endosomes précoces, le PI(3,5)P2 sur les endosomes tardifs et le PI(4)P sur le réseau trans-Golgi[15]. Ces lipides à la surface des endosomes aident au recrutement spécifique des protéines du cytosol, leur donnant ainsi une identité. L'interconversion de ces lipides est le résultat de l'action concertée des phosphoinositide kinases et des phosphatases qui sont stratégiquement localisées[16].
Voies métaboliques

Il existe trois principaux compartiments qui ont des voies métaboliques connectées avec les endosomes. D'autres voies existent dans des cellules spécialisées, telles que les mélanocytes et les cellules polarisées. Par exemple, dans les cellules épithéliales, un processus spécial appelé transcytose permet à certains matériaux d'entrer d'un côté de la cellule et de sortir du côté opposé. De plus, dans certaines circonstances, les endosomes tardifs fusionnent avec la membrane plasmique plutôt qu'avec les lysosomes, libérant les vésicules lumineuses, maintenant appelées exosomes, dans le milieu extracellulaire.
Il n'y a pas de consensus quant à la nature exacte de ces voies, et le parcours séquentiel emprunté par un contenu donné dans une situation donnée aura tendance à faire l'objet d'un débat.
Entre le Golgi et les endosomes
Les vésicules circulent entre le Golgi et les endosomes dans les deux sens. Les GGA et les adaptateurs de vésicules revêtues de clathrine AP-1 produisent des vésicules au niveau du Golgi qui transportent les molécules vers les endosomes[17]. Dans la direction opposée, le rétromère (complexe protéique de recyclage des produits transmembranaires) produit des vésicules au niveau des premiers endosomes qui transportent les molécules vers le Golgi. Certaines études décrivent une voie de circulation rétrograde des endosomes tardifs vers le Golgi qui est médiée par Rab9 et TIP47, mais d'autres études contestent ces résultats. Les molécules qui suivent ces voies comprennent les récepteurs mannose-6-phosphate qui transportent les hydrolases lysosomales vers la voie endocytaire. Les hydrolases sont libérées dans l'environnement acide des endosomes, et le récepteur est récupéré au niveau du Golgi par le rétromère et Rab9.
Entre la membrane plasmique et les endosomes précoces (via les endosomes de recyclage)
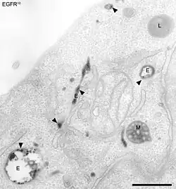
Les molécules sont délivrées de la membrane plasmique aux premiers endosomes dans les vésicules endocytiques. Les molécules peuvent être internalisées via une endocytose médiée par un récepteur dans des vésicules recouvertes de clathrine. D'autres types de vésicules se forment également au niveau de la membrane plasmique pour cette voie, notamment celles qui utilisent la cavéoline. Les vésicules transportent également des molécules directement vers la membrane plasmique, mais de nombreuses molécules sont transportées dans des vésicules qui fusionnent d'abord avec les endosomes de recyclage[18]. Les molécules qui suivent cette voie de recyclage sont concentrées dans les tubules des premiers endosomes. Les molécules qui suivent ces voies comprennent les récepteurs pour le LDL, le facteur de croissance EGF et la protéine de transport du fer, la transferrine. L'internalisation de ces récepteurs à partir de la membrane plasmique se produit par endocytose médiée par les récepteurs. Le LDL est libéré dans les endosomes en raison du pH plus faible, et le récepteur est recyclé à la surface de la cellule. Le cholestérol est transporté dans le sang principalement par les LDL, et le transport par le récepteur LDL est le principal mécanisme par lequel le cholestérol est absorbé par les cellules. Les récepteurs de l'EGF (EGFR) sont activés lorsque l'EGF s'y lie. Les récepteurs activés stimulent leur propre internalisation et leur dégradation dans les lysosomes. L'EGF reste lié à l'EGFR une fois qu'il est endocytosé aux endosomes. Les EGFR activés stimulent leur propre ubiquitination, ce qui les dirige vers les vésicules lumineuses (voir ci-dessous) et ils ne sont donc pas recyclés vers la membrane plasmique. Cela supprime la portion de signalisation de la protéine du cytosol et empêche ainsi la stimulation continue de la croissance[19] — dans les cellules non stimulées par l'EGF, les EGFR ne sont pas liés à l'EGF et se recyclent donc seulement s'ils atteignent les endosomes[20]. La transferrine reste également associée à son récepteur, mais dans l'endosome acide, le fer est libéré de la transferrine, puis la transferrine sans fer (toujours liée au récepteur de la transferrine) revient de l'endosome précoce à la surface de la cellule, à la fois directement et par l'intermédiaire des endosomes de recyclage[21].
Des endosomes tardifs aux lysosomes
Le transport des endosomes tardifs vers les lysosomes est par essence unidirectionnel, puisqu'un endosome tardif est "consommé" dans le processus de fusion avec un lysosome. Par conséquent, les molécules solubles dans la lumière des endosomes auront tendance à se retrouver dans les lysosomes, à moins qu'elles ne soient récupérées d'une manière ou d'une autre. Les protéines transmembranaires peuvent être délivrées à la membrane périphérique ou à la lumière des lysosomes. Les protéines transmembranaires destinées à la lumière du lysosome sont triées dans les vésicules qui bourgeonnent à partir de la membrane périphérique dans les endosomes, un processus qui commence dans les premiers endosomes. Lorsque l'endosome est devenu un endosome/MVB tardif et qu'il fusionne avec un lysosome, les vésicules de la lumière sont acheminées vers la lumière du lysosome. Les protéines sont marquées pour cette voie par l'ajout d'ubiquitine[22]. Les complexes de tri endosomaux nécessaires au transport (ESCRT) reconnaissent cette ubiquitine et trient la protéine dans les vésicules lumineuses en formation[23]. Les molécules qui suivent ces voies comprennent les LDL et les hydrolases lysosomales délivrées par les récepteurs du mannose-6-phosphate. Ces molécules solubles restent dans les endosomes et sont donc délivrées aux lysosomes. De plus, les EGFR transmembranaires, liés à l'EGF, sont marqués à l'ubiquitine et sont donc triés en vésicules lumineuses par les ESCRT.
Notes et références
Notes
- (en) Cet article est partiellement ou en totalité issu de l’article de Wikipédia en anglais intitulé « Endosome » (voir la liste des auteurs).
Références
- ↑ (en) Stoorvogel W et Strous Gj, « Late Endosomes Derive From Early Endosomes by Maturation », sur Cell, (PMID 1850321, consulté le )
- 1 2 3 (en) Mellman I, « Endocytosis and Molecular Sorting », sur Annual review of cell and developmental biology, (PMID 8970738, consulté le )
- ↑ (en) Ganley Ig et Carroll K, « Rab9 GTPase Regulates Late Endosome Size and Requires Effector Interaction for Its Stability », sur Molecular biology of the cell, 2004 dec (PMID 15456905, consulté le )
- ↑ (en) Stenmark H, « Rab GTPases as Coordinators of Vesicle Traffic », sur Nature reviews. Molecular cell biology, 2009 aug (PMID 19603039, consulté le )
- 1 2 (en) Futter Ce et Pearse A, « Multivesicular Endosomes Containing Internalized EGF-EGF Receptor Complexes Mature and Then Fuse Directly With Lysosomes », sur The Journal of cell biology, 1996 mar (PMID 8601581, consulté le )
- ↑ (en) Luzio Jp et Rous Ba, « Lysosome-endosome Fusion and Lysosome Biogenesis », sur Journal of cell science, 2000 may (PMID 10751143, consulté le )
- ↑ (en) Lafourcade C et Sobo K, « Regulation of the V-ATPase Along the Endocytic Pathway Occurs Through Reversible Subunit Association and Membrane Localization », sur PloS one, (PMID 18648502, consulté le )
- 1 2 (en) Rink J et Ghigo E, « Rab Conversion as a Mechanism of Progression From Early to Late Endosomes », sur Cell, (PMID 16143105, consulté le )
- ↑ (en) Mullock Bm et Bright Na, « Fusion of Lysosomes With Late Endosomes Produces a Hybrid Organelle of Intermediate Density and Is NSF Dependent », sur The Journal of cell biology, (PMID 9456319, consulté le )
- ↑ (en) Hopkins Cr et Trowbridge Is, « Internalization and Processing of Transferrin and the Transferrin Receptor in Human Carcinoma A431 Cells », sur The Journal of cell biology, 1983 aug (PMID 6309862, consulté le )
- ↑ (en) Russell Mr et Nickerson Dp, « Molecular Mechanisms of Late Endosome Morphology, Identity and Sorting », sur Current opinion in cell biology, 2006 aug (PMID 16781134, consulté le )
- ↑ (en) Ullrich O et Reinsch S, « Rab11 Regulates Recycling Through the Pericentriolar Recycling Endosome », sur The Journal of cell biology, 1996 nov (PMID 8922376, consulté le )
- ↑ (en) Fader Cm et Colombo Mi, « Autophagy and Multivesicular Bodies: Two Closely Related Partners », sur Cell death and differentiation, 2009 jan (PMID 19008921, consulté le )
- ↑ (en) Ulrich Körner, Veronika Fuss, Jutta Steigerwald et Heidrun Moll, « Biogenesis of Leishmania major-Harboring Vacuoles in Murine Dendritic Cells », Infection and Immunity, vol. 74, no 2, , p. 1305–1312 (ISSN 0019-9567 et 1098-5522, DOI 10.1128/IAI.74.2.1305-1312.2006, lire en ligne, consulté le )
- ↑ (en) van Meer G et Voelker Dr, « Membrane Lipids: Where They Are and How They Behave », sur Nature reviews. Molecular cell biology, 2008 feb (PMID 18216768, consulté le )
- ↑ (en) Di Paolo G et De Camilli P, « Phosphoinositides in Cell Regulation and Membrane Dynamics », sur Nature, (PMID 17035995, consulté le )
- ↑ (en) Ghosh P et Kornfeld S, « The GGA Proteins: Key Players in Protein Sorting at the trans-Golgi Network », sur European journal of cell biology, 2004 jul (PMID 15511083, consulté le )
- ↑ (en) Grant Bd et Donaldson Jg, « Pathways and Mechanisms of Endocytic Recycling », sur Nature reviews. Molecular cell biology, 2009 sep (PMID 19696797, consulté le )
- ↑ (en) Futter Ce et Collinson Lm, « Human VPS34 Is Required for Internal Vesicle Formation Within Multivesicular Endosomes », sur The Journal of cell biology, (PMID 11756475, consulté le )
- ↑ (en) Felder S et Miller K, « Kinase Activity Controls the Sorting of the Epidermal Growth Factor Receptor Within the Multivesicular Body », sur Cell, (PMID 2344614, consulté le )
- ↑ (en) Dautry-Varsat A, « Receptor-mediated Endocytosis: The Intracellular Journey of Transferrin and Its Receptor », sur Biochimie, 1986 mar (PMID 2874839, consulté le )
- ↑ (en) Hicke L et Dunn R, « Regulation of Membrane Protein Transport by Ubiquitin and Ubiquitin-Binding Proteins », sur Annual review of cell and developmental biology, (PMID 14570567, consulté le )
- ↑ (en) Hurley Jh, « ESCRT Complexes and the Biogenesis of Multivesicular Bodies », sur Current opinion in cell biology, 2008 feb (PMID 18222686, consulté le )
Voir aussi
Articles connexes
Liens externes
- Ressources relatives à la santé :
- Ressource relative à la recherche :
- Notices dans des dictionnaires ou encyclopédies généralistes :
- Portail de la biologie cellulaire et moléculaire