Entamoeba gingivalis
| Embranchement | Amoebozoa |
|---|---|
| Sous-embr. | Sarcodina |
| Super-classe | Rhizopoda |
| Classe | Lobosa |
| Ordre | Amoebida |
| Famille | Entamoebidae |
| Genre | Entamoeba |
| Domaine | Eukaryota |
|---|---|
| Clade | Unikonta |
| Embranchement | Amoebozoa |
| Sous-embr. | Conosa |
| Infra-embr. | Archamoebae |
| Classe | Archamoeba |
| Ordre | Pelobiontida |
| Famille | Entamoebidae |
| Genre | Entamoeba |

L'amibe de la bouche, Entamoeba gingivalis, est la première espèce d'amibes découverte chez l'homme. Elle habite la cavité buccale, sur la gencive des espaces interdentaires, dans le tartre dentaire et les clapiers pyorrhéiques. On peut la trouver également dans le mucus bronchique, risquant alors d'égarer le diagnostic vers une suppuration amibienne du poumon du fait de sa grande ressemblance avec Entamoeba histolytica, il est donc nécessaire de bien la connaître.
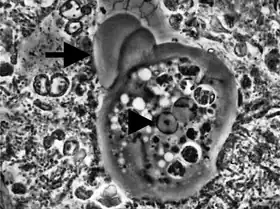
On ne connait que la forme végétative, très active, large de 12 à 150 microns, avec noyau de type Entamoeba, un ectoplasme bien différencié et un endoplasme contenant des leucocytes phagocytés[2] et, rarement, une ou deux hématies.
Cette amibe peut avoir un caractère pathogène par exonucléophagie en corrélation avec la maladie parodontale[1],[3], une maladie infectieuse qui amène la perte des dents par déchaussement. Les amibes sont constamment présentes dans le tissu gingival inflammé[4] où elles sont capables de détruire les éléments cellulaires et matriciels.
Diagnostic
L'amibe Entamoeba gingivalis peut facilement être détectée par microscopie à contraste de phase sur un examen à l'état frais du biofilm parodontal infecté[5]. Le montage se fait sur milieu salivaire pour éviter les déformations que l'eau courante ou une solution saline pourraient apporter. Les colorations dessicantes ont tendance à la déformer au point de la rendre difficilement reconnaissable.
Traitement
Les amibes, habitant des cryptes caverneuses[6], en général sont sensibles à un changement d'osmolarité. Elles sont affectées par l'apport d'oxygène, l'eau oxygénée, le sel et le bicarbonate de soude, les solutions citrines et l'alcool à plus de 40 degrés. Des crèmes à base de métronidazole hydrophile peuvent être appliquées dans des lésions gingivales superficielles, mais le métronidazole par voie systémique éliminera des lésions parodontales plus profondes. L'hygiène dentaire demeure toujours un atout de base.
Prévention
Les contacts directs ou indirects avec les sujets infectés incluant les animaux de compagnie semblent des habitudes à ne pas encourager. Éviter l'eau contaminée surtout dans les régions tropicales. La gingivite dite réversible semble un terrain favorable où les amibes peuvent facilement se nourrir des globules rouges et des globules blancs rencontrés[7].
Media
L'activité principale de l'amibe Entamoeba gingivalis dans les crevasses parodontales infectées, en plus de se déplacer, consiste à se nourrir des noyaux des globules blancs polymorphonucléaires neutrophiles. À la suite de l'adhésion du PMN et à son engourdissement, l'amibe pénètre le cytoplasme pour atteindre le noyau et littéralement succionner son contenu via la pression négative du pseudopode. Sa nourriture ainsi ingurgitée est digérée progressivement à l'intérieur de l'endoplasme. La phagocytose peut parfois se poursuivre pour plus de 20 noyaux ingurgités. Cette activité laisse en place un PMN énucléé, incapable d'accomplir son apoptose préprogrammée et probablement son activité NETS, qui sera déversé sur les tissus environnants entrainant des enzymes protéolytiques à partir des restes de cette cellule fantôme dès lors hors contrôle et capable alors de destruction cellulaire.
Liens externes
- (en) BioLib : Entamoeba gingivalis (Gros, 1849)
- (fr + en) ITIS : Entamoeba gingivalis (Gros, 1849) Brumpt, 1913
- (en) NCBI : Entamoeba gingivalis (taxons inclus)
- (fr + en) EOL : Entamoeba gingivalis
Notes et références
- 1 2 Bonner, M., Amard, V., Bar-Pinatel, C., Charpentier, F., Chatard, J.-M., Desmuyck, Y., Ihler, S., Rochet, J.-P., Roux de La Tribouille, V., Saladin, L., Verdy, M., Gironès, N., Fresno, M. & Santi-Rocca, J. 2014: Detection of the amoeba Entamoeba gingivalis in periodontal pockets. Parasite, 21, 30. DOI 10.1051/parasite/2014029 PMC 4077299
- ↑ Kofoid, C.A., Hinshaw, H.C., Johnsotne, H.G., Animal parasites of the mouth and their relation to dental disease. Journal of the American Dental Association 1434-1455, August 1929.
- ↑ Trim RD, Skinner MA, Farone MB, Dubois JD, Newsome AL. Use of PCR to detect Entamoeba gingivalis in diseased gingival pockets and demonstrate its absence in healthy gingival sites. Parasitol Res. 2011 Sep;109(3):857-64.
- ↑ Use of PCR to detect Entamoeba gingivalis in diseased gingival pockets and demonstrate its absence in healthy gingival sites. Robert D. Trim & Michael A. Skinner & Mary B. Farone & John D. DuBois & Anthony L. Newsome (2011)
- ↑ Lyons T. et al. Oral amoebiasis : a new approach for the general practitionner in the diagnosis and the treatment of periodontal disease. oral Health ; 70 : 39-41, 108, 110, October 1980.
- ↑ Lyons T. Introduction to protozoa and fungi in periodontal disease. Trevor Lyons publications, Ontario, Canada 1989. (ISBN 0-9693950-0-0)
- ↑ Bonner M. Tant de bouches à guérir... des parasites qui les vampirisent.Vaincre la parodontite. Éditions Amyris, 2009 (ISBN 978-2-9303-5375-3) (OCLC 717654242)
- Portail de la microbiologie
- Portail de la médecine
- Portail de la parasitologie