Fracture du sternum

Fracture du sternum
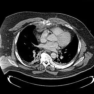
Description de cette image, également commentée ci-après
TDM d'une fracture comminutive du sternum avec un hématome rétrosternal[1]
Traitement
Spécialité Médecine d'urgence
Classification et ressources externes
CIM-10 S22.2
CIM-9 807.2, 807.3
eMedicine 826169
radio/654

Wikipédia ne donne pas de conseils médicaux Mise en garde médicale

Une fracture du sternum est une fracture de l'os situé sur la ligne médiane de la partie antérieure de la cage thoracique : le sternum.

Notes et références

  1. (en) Monkhouse SJ, Kelly MD, « Airbag-related chest wall burn as a marker of underlying injury: a case report », Journal of medical case reports, vol. 2, , p. 91 (PMID 18361799, PMCID 2330057, DOI 10.1186/1752-1947-2-91, lire en ligne)
  • icône décorative Portail de la médecine