François Chopart
| Naissance |
Paris |
|---|---|
| Décès |
Paris |
| Nationalité | Française |
| Profession | Chirurgien |
|---|---|
| Employeur | Université de Paris |
François Chopart, né le à Paris et mort le dans la même ville, est un chirurgien français.
Famille
Il est le fils de François Turlure et de Marie-Anne Chopart, merciers à Paris[1].
Biographie
Sous le nom de sa mère, il étudie la chirurgie avec Antoine Petit, devint maître ès arts en 1761, fut interne à la Pitié, puis à Bicêtre. Chirurgien en chef de l'Hôpital de la Charité en 1782, professeur de pathologie interne en 1789, chirurgien en chef à l'École de médecine en 1790. Il succède en 1782 à Toussaint Bordenave à la chaire de Physiologie. Lors d'un voyage à Londres, il fit la connaissance de John Hunter avec lequel il entretint une abondante correspondance. François Chopart meurt du choléra en 1795.
Éponymie


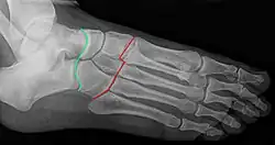
François Chopart est notamment connu pour avoir mis au point une technique d'amputation, longtemps appliquée sur les champs de bataille, consistant à sectionner le pied non pas à travers l'os, mais en suivant les articulations talo-naviculaire et calcanéo-cuboïdienne (qui ont d'ailleurs été regroupées sous la dénomination d'articulation de Chopart en hommage au chirurgien).
Œuvres et publications
- Essai sur les loupes, 1767
- Mémoire sur les contrecoups dans les lésions de la tête, 1768
- Traité des maladies chirurgicales et des opérations qui leur conviennent, avec Pierre Joseph Desault, 1780
- Traité des maladies des voies urinaires, 2 volumes, Paris, J. B. Baillière, 1791-1792
Bibliographie
- Journal de médecine, chirurgie, pharmacie, etc., tome XXV, Migneret, 1812, p. 349-363
- Pierre Sue: Notice historique sur François Chopart,[Paris, Impr. de Migneret], 1812, Texte intégral.
- (de) Jörn Wolf, « François Chopart (1743-1795) - Erfinder der partiellen Fußamputation in der Articulatio tarsi transversa », in: Operative Orthopädie und Traumatologie, Munich, , 12 (4), p. 341-344.
- (en) M. DeGere, J. Grady, « A Modification of Chopart’s Amputation With Ankle and Subtalar Arthrodesis by Using an Intramedullary Nail », in: The Journal of Foot and Ankle Surgery, vol. 44, no 4, p. 281-286.
- (en) Kaj Klaue: « Chopart fractures », in: Injury, 2004 Sep;35 Suppl 2:SB64-70.
Références
- ↑ M. Prevost et Roman d'Amat, Dictionnaire de Biographie française : 1. CHOPART (François), p. 1249
Voir aussi
Articles connexes
Liens externes
- Ressources relatives à la recherche :
- Ressource relative à la santé :
- Notices dans des dictionnaires ou encyclopédies généralistes :
- Portail de la médecine
- Portail de Paris