Gastrite
| Médicament | Sucralfate, lansoprazole, pantoprazole, ésoméprazole, oméprazole, dexlansoprazole et ranitidine |
|---|---|
| Spécialité | Gastro-entérologie |
| CIM-10 | K29.0-K29.7 |
|---|---|
| CIM-9 | 535.0-535.5 |
| DiseasesDB | 34500 |
| MedlinePlus | 001150 |
| eMedicine |
176156 med/852 |
| MeSH | D005756 |
Mise en garde médicale
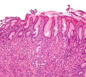
Une gastrite est une maladie inflammatoire de la paroi de l'estomac.
Le diagnostic positif de la gastrite est anatomopathologique.
Les causes de la gastrite sont nombreuses[1] ; la gastrite peut être causée par une consommation excessive d'alcool, la consommation prolongée d'anti-inflammatoires non stéroïdiens, le stress ou encore par une infection bactérienne, notamment à Helicobacter pylori.
Le symptôme de gastrite le plus fréquent est la douleur abdominale, associée à une sensation de malaise. D'autres symptômes peuvent être associés, comme l'indigestion, nausées, vomissements, sensation de ballonnement. Une hématémèse est un signe de gravité et peut évoquer une hémorragie digestive, mais aucun de ces signes ne peut être considéré comme spécifique.
Une évolution vers le cancer gastrique est rare mais possible.
Causes
Principales causes de gastrite :
- sécrétions acides gastriques accrues (favorisées par le stress) ;
- traitement par AINS ou corticoïdes ;
- infection bactérienne, le plus souvent par Helicobacter pylori ;
- consommation excessive d'alcool - alcoolisme ;
- consommation excessive de cannabis causant un syndrome d'hyperémèse cannabinoïde ou syndrome cannabinoïde ;
- tabagisme, consommation excessive de café et de boissons acides ;
- maladie de Biermer ;
- radiothérapie ou irradiation accidentelle ;
- chirurgie ou traumatisme gastrique ;
- reflux biliaire (duodéno-gastrique)[2] ;
- infection fongique, notamment chez la personne immunodéprimée ;
- infestation parasitaire, le plus souvent par les espèces Anisakis ;
- traitement antibiotique, par exemple contre l'acné.
Symptômes
Dyspepsie, douleur ou simple inconfort épigastrique ou abdominal, perte d'appétit, éructation, nausée, vomissement, asthénie. Une hémorragie digestive avec hématémèse peut s'observer dans les formes graves.
Diagnostic
La gastrite peut se diagnostiquer grâce à la clinique ou par endoscopie des voies digestives (gastroscopie). Les diagnostics différentiels sont l'ulcère gastro-duodénal et le cancer de l'estomac.
Traitement
Le traitement consiste à supprimer ou à amoindrir la cause par des mesures hygiéno-diététiques.
L'administration d'un inhibiteur de la pompe à protons afin de réduire l'acidité gastrique est souvent nécessaire, ainsi qu'une antibiothérapie en cas d'infection à Helicobacter pylori.
Notes et références
- ↑ (en) « Gastritis », University of Maryland Medical Center, University of Maryland Medical System, (lire en ligne, consulté le )
- ↑ http://cat.inist.fr/?aModele=afficheN&cpsidt=20058915
Liens externes
- Ressources relatives à la santé :
- Ressource relative à la recherche :
- Notices dans des dictionnaires ou encyclopédies généralistes :
- Portail de la médecine