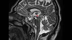
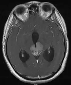
Germinome pinéal
| Traitement |
Chimiothérapie Radiothérapie Chirurgie |
|---|
| Fréquence | Rare |
|---|---|
| Mortalité | Faible |
Mise en garde médicale
Le germinome pinéal est une forme rare de tumeur cérébrale, touchant principalement les adolescents de sexe masculin. Elle se caractérise par une lésion siégeant le plus souvent autour du troisième ventricule cérébral et touche souvent la glande pinéale elle-même, ainsi que le compartiment supra-sellaire. En fonction de la zone touchée, les symptômes peuvent comprendre l'hydrocéphalie, des troubles visuels (diplopie par exemple), acouphènes, et anomalies endocriniennes. Leur taux de survie à 10 ans est de plus de 90%[1]
Épidémiologie
Les tumeurs pinéales sont des tumeurs rares de l’enfant puisqu’elles ne représentent que 3 à 8% des tumeurs intracrâniennes dans cette tranche d’âge en occident[2]. Parmi ces tumeurs, le germinome pinéal est la tumeur la plus commune de la région pinéale représentant 50% des tumeurs de cette zone anatomique[3], et la majorité (80%) des tumeurs germinales intracrâniennes. On estime qu'elle touche 3 fois plus l'homme que la femme.
Étiologie
Cette pathologie s'explique principalement par la mauvaise migration des cellules germinales présentes dans l'embryon, normalement destinées au développement du système reproducteur. Les tumeurs des cellules germinales se développent à partir de cellules laissées par le développement précoce du corps dans l’utérus. Normalement, ces cellules sont inoffensives, mais certaines peuvent commencer à se développer de manière incontrôlée. On parle alors de tumeurs embryonnaires. La plupart de celles-ci ont, dans un premier temps, un développement en dehors du cerveau (abdomen, poitrine etc.), mais peuvent également émerger aux abords de la glande pinéale[4].

Symptômes
Le GP peut tout d'abord causer une accumulation de liquide céphalo-rachidien, causant une hydrocéphalie. Les patients souffrent alors généralement de maux de tête, de nausées, ont des vomissements typiquement en jet, souvent matinaux, signe d'hypertension intra-crânienne (HTIC)[5].
On peut également retrouver des acouphènes, parfois pulsatiles.
Dans de rares cas, des maux de tête aigus peuvent également survenir en raison d'une hémorragie soudaine ou d'une perturbation circulatoire causée par la tumeur.
Si certaines structures cérébrales sont comprimées (le nerf optique notamment), le patient peut présenter une diplopie ou d'autres problèmes de mouvements oculaires, tel que le syndrome de Parinaud[6]. La diplopie s'installe petit à petit, l'effort de convergence étant de plus en plus difficile chez le patient.
Parfois, des perturbations hormonales peuvent également survenir si la tumeur exerce une pression sur l'hypophyse (la glande pituitaire)[7].
La glande pinéale produisant la mélatonine, il n'est pas rare de retrouver des troubles du sommeil, à type d'insomnie, ou on contraire d'hypersomnie. De manière générale, on décrit fréquemment une asthénie, plus ou moins marquée selon les sujets.
Sur le long terme, on peut évoquer également le ralentissement potentiel de la croissance, les troubles de la puberté (retardée ou précoce) et la survenue possible d'un diabète insipide, s'exprimant par une soif et des mictions accrues[5].
Diagnostic
Le diagnostic repose en premier lieu sur l'IRM du cerveau, puis le type histologique[8] de la tumeur est précisé par une biopsie stéréotaxique, réalisée par un neurochirurgien. On profite généralement de cette opération pour réaliser, en plus une ventriculocisternostomie[8], pour permettre l'écoulement du liquide cérébro-spinal, ou liquide céphalo-rachidien en ancienne nomenclature. Ce geste est essentiel pour réduire l'HTIC, qui demeure une urgence médico-chirurgicale.
En cas d'échec, ou si la ventriculocisternostomie est impossible compte tenu de la clinique, le neurochirurgien peut alors réaliser une dérivation ventriculaire externe[9], ou une dérivation ventriculo-péritonéale consistant à drainer le LCS dans la cavité péritonéale, où il sera résorbé par le péritoine.
Selon le contexte, on peut également chercher différents marqueurs tumoraux tels que l'alpha-foeto-protéine, ainsi que la Béta-HCG.
Traitement
La prise en charge du germinome pinéal regroupe plusieurs techniques, notamment la chimiothérapie et la radiothérapie externe sur les ventricules cérébraux ainsi que sur la glande pinéale. L'efficacité des traitements est généralement très bonne[10].
Au niveau européen, les traitements sont regroupés sous le protocole SIOP CNS GCT II[11], il s'applique exclusivement pour les germinomes non métastatiques.
Le protocole prévoit initialement quatre cures de chimiothérapie organisées de la façon suivante :
Cure I : Carboplatine/Etoposide
Cure II: Etoposide/Ifosfamide
Cure III : Carboplatine/Etoposide
Cure IV: Etoposide/Ifosfamide
On procède ensuite à une réévaluation clinique et par IRM. Trois cas de figure sont possibles :
- CR pour Complete Remission (Rémission complète) qui prévoit une radiothérapie externe d'un total de 24 Gy sur l'ensemble des Ventricules cérébraux.
- PR pour Partial Remission (Rémission partielle) : radiothérapie externe d'un total de 24 Gy sur l'ensemble des Ventricules cérébraux + 16 Gy Boost
- SD pour Stable Disease (Maladie stable) : là encore, plusieurs situations possibles :
Si le germinome est pur, ou non viable, on procède au même traitement que pour la rémission partielle, sinon on réalise une résection chirurgicale. Selon les types de tumeur retrouvées lors de cette résection (tératome/germinome) et si l'on a réussi, ou non à enlever l'ensemble de la masse tumorale, on réalise soit[12] :
Une radiothérapie externe d'un total de 24 Gy sur l'ensemble des Ventricules cérébraux + 16 Gy Boost, si l'exérèse a pu être complète[12]
Une radiothérapie externe d'un total de 24 Gy sur l'ensemble des Ventricules cérébraux + 30 Gy Boost, si l'exérèse n'a pas été complète[12].
Suivi au long cours
En général, il est recommandé que les patients soient suivis pendant une période d'au moins 5 ans après la fin du traitement avec imagerie, marqueurs sériques et examens cliniques[13].
Étant donné que la récidive du germinome peut survenir plus tard, un suivi clinique d'au moins 10 ans est désormais conseillé. Certains cliniciens peuvent choisir de suivre les patients au-delà de 10 ans[13] car il existe un risque potentiel de cancers secondaires, de maladies cérébro-vasculaires telles que malformations/hémorragies caverneuses, et rechutes très tardives.
Les traitements par radiothérapie imposent également un suivi à long terme, par IRM cérébral notamment, à cause du risque de cancer radio-induits[14].
Notes et références
- ↑ « Germinome pinéal, témoignage d'un cas »,
- ↑ « Les tumeurs de la région pinéale », Campus de neurochirurgie, (lire en ligne)
- ↑ « #8. Tumeurs de la région pinéale »,
- ↑ (en) « Pineal region tumours », sur www.cancerresearchuk.org (consulté le )
- 1 2 « Signes et symptômes de la tumeur germinale intracrânienne »
- ↑ « Tumeurs de la région pinéale »
- ↑ « Germinome du système nerveux central »
- 1 2 « Tumeurs germinales primitives du système nerveux »
- ↑ « #3.4 Pose de dérivation ventriculaire externe »
- ↑ « Management trends and outcomes of pineal germinoma in a multi-institutional Australian cohort »,
- ↑ « Childhood Intracranial Germ Cell Tumours », document version and date : final v1.0; 21st october 2021
- 1 2 3 Dr Manuel Diezi, Professor Barry Pizer, and Professor Matthew Murray, « Childhood Intracranial Germ Cell Tumours, page 12 »
- 1 2 Dr Manuel Diezi, Professor Barry Pizer, and Professor Matthew Murray, « Follow up in Childhood Intracranial Germ Cell Tumours »
- ↑ « Pour envisager une prévention des cancers radio-induits : des pistes émergent »,
- Portail de la médecine
- Portail des neurosciences