Glande sébacée

| Nom latin |
Glandula sebacea |
|---|---|
| MeSH |
D012627 |
| TA98 |
A16.0.00.030, A15.2.07.044 |
| TA2 |
7082 |
| FMA |
59160 |
La glande sébacée est une glande exocrine cutanée s'abouchant dans un follicule pileux et sécrétant une substance grasse appelée sébum, qui lubrifie les poils et la peau chez les mammifères[1],[2]. Chez les humains, les glandes sébacées sont présentes en grand nombre au niveau du visage et du cuir chevelu, mais absentes du revêtement cutané palmoplantaire. Elles jouent un rôle dans la barrière cutanée immunitaire et la thermorégulation. Les grains de Fordyce, les glandes aréolaires et les glandes de Meibomius sont trois types de glandes sébacées particuliers.
Structure
Localisation
Les glandes sébacées sont présentes sur l'ensemble des téguments, sauf sur les paumes et les plantes[3]. On distingue deux groupes de glandes sébacées : celles qui s'abouchent à un poil et celles qui sont indépendantes[4].
Les glandes sébacées des zones pileuses s'abouchent aux follicules pileux. Plusieurs glandes peuvent être connectées à un même poil, lui-même relié aux muscles arrecteurs du poil, l'ensemble formant une annexe pilo-sébacée. Les glandes produisent du sébum et le sécrètent dans le canal pilaire.
Les glandes sébacées indépendantes sont présentes au niveau du bord conjonctival des paupières, du nez, du pénis, des petites lèvres, de la cavité orale et des aréoles mammaires[4]. Certaines ont un nom spécifique, comme les glandes de Meibomius, au niveau du bord conjonctival des paupières, les glandes de Montgomery, au niveau du mamelon, ou encore les grains de Fordyce, au niveau des lèvres, des gencives, des joues et des organes génitaux externes.
Histologie
Les glandes sébacées ont une architecture acinaire (en forme de grappe de raisin) et n'ont pas de lumière propre. Elles sont composées de sébocytes matures, dont la sécrétion est le résultat de leur mort par apoptose[pas clair], ce qui revient à une sécrétion holocrine. Le remplacement des cellules est assuré par les cellules de la matrice reposant sur la membrane basale[5].L'annexe pilo-sébacée constituée du follicule pileux, des glandes sébacées et des muscles arrecteurs du poil résulte d'une invagination épithéliale[4].
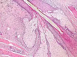
Annexe pilosébacée avec glandes sébacées s'abouchant à un follicule pileux.
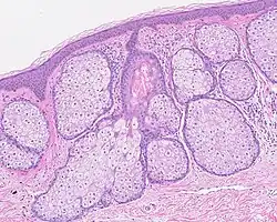
Multiples glandes sébacées volumineuses réalisant une hyperplasie sébacée.
Multiples glandes sébacées s'abouchant à un follicule pileux.
Embryologie
Les glandes sébacées apparaissent entre la 13e et la 16e semaine du développement fœtal, lors de la formation des follicules pileux[6]. Elles se développent à partir du même feuillet donnant naissance à l'épiderme. Une surexpression des facteurs de signalisation Wnt, Myc et SHH augmente le nombre de glandes sébacées[7].
Les glandes sébacées des fœtus humains sécrètent le vernix, une substance qui se présente comme une pellicule grasse blanchâtre enveloppant la peau des nouveau-nés[8]. Après la naissance, l'activité des glandes diminue, jusqu'à devenir presque nulle vers 6 ans, puis un pic intervient durant la puberté, causé par une augmentation du taux d'androgènes[6].
Fonction
Les glandes sébacées sont composées de grandes cellules aux nombreuses vésicules intracytoplasmiques nommées sébocytes. Elles sont porteuses des canaux ioniques Na+ et Cl− EnaC et CFTR[9]. Elles sécrètent une substance grasse appelée sébum (en latin : « gras, suif »), composée de triglycérides, de cérides, de squalènes et de métabolites des sébocytes. Le sébum lubrifie le revêtement cutané et les poils des mammifères. La sécrétion des glandes sébacées associée à celles des glandes sudoripares participe à la thermorégulation. Dans des conditions chaudes, le sébum émulsifie la sueur produite par les glandes sudoripares eccrines, produisant une pellicule qui se transforme moins facilement en goutte, ce qui retarde la déshydratation. Dans des conditions froides, le sébum est plus compact, et agit comme un isolant et une substance hydrophobe[10],[11].
Sébum
Le sébum est principalement composé de triglycérides (≈ 41 %), de cérides (≈ 26 %), de squalènes (≈ 12 %) et d’acides gras libres (≈ 16 %)[12],[13]. La composition du sébum varie selon les espèces[13]. Les cérides et les squalènes sont uniques au sébum et ne sont sécrétés en tant que produits finaux que chez l'humain[7]. L'acide sapiénique est un acide gras composant du sébum présent uniquement chez l'humain, impliqué dans l'acné[14]. Le sébum est inodore, mais sa dégradation par la flore bactérienne peut produire une odeur forte[15].
Les hormones sexuelles sont connues pour influer sur la sécrétion de sébum. Les androgènes, tels que la testostérone, stimulent la sécrétion, alors que les œstrogènes l'inhibent[16]. La dihydrotestostérone est le principal androgène actif sur les follicules pileux[17].
Fonction immunitaire et nutrition
Les glandes sébacées font partie du système tégumentaire et jouent un rôle dans la défense contre les micro-organismes. Elles sécrètent des acides participant au film cutané. C'est une fine pellicule acide recouvrant l'intégralité de la peau, qui agit comme une barrière contre les microbes[18]. Le pH cutané est acide et se situe entre 4,5 et 6,2[19]. Cette acidité aide à neutraliser l'alcalinité des contaminants[10],[20],[21] et à fournir de la vitamine E à la peau[22].
Glandes sébacées particulières
Durant le dernier trimestre de la gestation, les glandes sébacées des fœtus humains sécrètent une substance appelée vernix, qui se présente comme une pellicule grasse blanchâtre qui enveloppe la peau et la protège du liquide amniotique[23].
Les glandes aréolaires, également appelées glandes de Montgomery, sont un type de glandes sébacées présent autour du mamelon, dont elles assurent la lubrification. Elles sécrètent également des composés volatiles qui serviraient de stimulus olfactifs pour les nouveau-nés. Durant la grossesse et la lactation, elles sont hypertrophiées[24].
Présentes au niveau des yeux, les glandes de Meibomius sont un type de glandes sébacées sécrétant une sorte de sébum, le meibum, corps gras principalement composé de triglycérides qui se mêle aux larmes et permet d'éviter l'évaporation de l'eau de celles-ci[25]. Elles servent aussi à créer un joint hermétique lors de la fermeture des yeux, et à éviter que les paupières ne collent entre elles. Elles sont au nombre de 30 à 40 par paupière, orientées perpendiculairement au bord libre protégé par les cils. Leurs orifices, visibles, sont alignés sur ce bord.
Les grains de Fordyce sont des glandes sébacées ectopiques indépendantes visibles à l'œil nu, présentes sur les lèvres, les gencives, les joues et les organes génitaux externes.
Le cérumen est partiellement composé du sébum des glandes sébacées du conduit auditif externe. Cette sécrétion est visqueuse et riche en lipides, ce qui assure une bonne lubrification[26].
Implications médicales

les glandes sébacées jouent un rôle dans certains problèmes cutanés comme l'acné, la dermatite séborrhéique ou encore la kératose pilaire. Dans les pores cutanés, le sébum et les débris de kératine peuvent s'impacter[pas clair] et créer un bouchon appelé comédon.
Acné
L'acné est un phénomène courant, particulièrement fréquent pendant la puberté chez les adolescents, et est considérée comme étant liée à une production accrue de sébum due à des facteurs hormonaux. La production accrue de sébum peut entraîner un blocage du conduit excréteur de la glande sébacée, provoquant un comédon (communément appelé point noir ou point blanc), qui peut entraîner à son tour une infection, notamment par la bactérie Cutibacterium acnes, et provoquer les lésions caractéristiques. Les comédons apparaissent généralement dans les zones où il y a plus de glandes sébacées, en particulier le visage, les épaules, le haut de la poitrine et le dos. Ils peuvent être noirs ou blancs selon que l'annexe pilo-sébacée entière, ou seulement le conduit sébacé, est bloqué[27].
Autres
D'autres affections peuvent impliquer les glandes sébacées.
- La séborrhée est une hyperactivité des glandes sébacées, qui rend la peau ou les cheveux excessivement gras[7].
- L'hyperplasie sébacée (voir Sebaceous hyperplasia (en)) est une prolifération excessive des cellules dans les glandes, visible macroscopiquement sous forme de petites papules sur la peau, particulièrement sur le front, le nez et les joues[28].
- La dermatite séborrhéique est une forme chronique et généralement légère de dermatite causée en partie par une hyperactivité des glandes sébacées[29]. Chez les nouveau-nés, elle peut se manifester sous forme de croûtes de lait.
- Le psoriasis séborrhéique (également connu sous le nom de sébopsoriasis) est une affection cutanée caractérisée par un chevauchement entre le psoriasis et la dermatite séborrhéique[3].
- L'adénome sébacé (voir Sebaceous adenoma (en)) est une tumeur bénigne à croissance lente qui peut, cependant, dans de rares cas, être un précurseur d'un syndrome syndrome de Muir-Torre[7].
- Le carcinome sébacé (voir Sebaceous carcinoma (en)) est une tumeur cutanée agressive rare[30].
- On parle de kyste sébacé pour désigner aussi bien un kyste épidermoïde qu’un kyste trichilemmal ; cependant, aucun des deux ne contient de sébum (seulement de la kératine), et aucun ne provient de la glande sébacée : ils ne constituent donc pas de véritables kystes sébacés. Un vrai kyste sébacé est relativement rare et est connu sous le nom de stéatocystome[31].
- Le nævus sébacé est causée par une hyperplasie des glandes sébacées congénitale[32].
- La rosacée phymateuse est une affection cutanée caractérisée par une surcroissance des glandes sébacées[33].
Histoire
Le mot sébacé, signifiant « formé de sébum » ou « relatif au sébum », a été utilisé pour la première fois en 1734 et provient du latin sebaceus, signifiant « de suif »[34]. Les glandes sébacées ont été documentées en 1746 par Jean Astruc, qui les a définies comme « les glandes qui séparent la graisse »[35]. Il les décrit dans la cavité buccale et sur la tête, les paupières et les oreilles, et comme étant « universellement » reconnues[35]. Il indique qu'elles sont bloquées par de petits animaux qui résident dans les canaux excréteurs et attribue leur présence dans la cavité buccale aux ulcères aphteux, notant que « ces glandes sécrètent naturellement un humour[Quoi ?] visqueux, qui prend différentes couleurs et consistances… dans son état naturel, il est très doux, baume[pas clair] et destiné à humidifier et lubrifier la bouche »[35]. Dans les Principes de physiologie de 1834, Andrew Combe a noté que les glandes n'étaient pas présentes sur la paume des mains ni la plante des pieds[36].
Chez les autres animaux
Les glandes prépuciales des souris et des rats sont de grandes glandes sébacées modifiées qui produisent des phéromones utilisées pour le marquage territorial[7]. Celles-ci, ainsi que les glandes odoriférantes situées sur les flancs des hamsters, ont une composition similaire à celle des glandes sébacées humaines, sont sensibles aux androgènes et ont été utilisées comme base d'études[évasif][7]. Certaines espèces de chauves-souris, notamment Tadarida brasiliensis, possèdent une glande sébacée spécialisée située dans la gorge appelée glande gulaire[37]. Cette glande est plus fréquente chez les mâles que chez les femelles, et il est probable que ses sécrétions soient utilisées pour le marquage odorant[Quoi ?].
L'adénite sébacée est une maladie auto-immune qui affecte les glandes sébacées. Elle est principalement connue pour survenir chez les chiens, en particulier les caniches et les akitas, où elle est généralement considérée comme héritée de manière autosomique récessive.
Notes et références
- ↑ (en) « Hair follicle sebaceous gland: MedlinePlus Medical Encyclopedia Image », sur medlineplus.gov (consulté le )
- ↑ (en) Marianna Lovászi, Andrea Szegedi, Christos C. Zouboulis et Dániel Törőcsik, « Sebaceous-immunobiology is orchestrated by sebum lipids », Dermato-Endocrinology, vol. 9, no 1, , e1375636 (ISSN 1938-1980, PMID 29484100, PMCID PMC5821166, DOI 10.1080/19381980.2017.1375636, lire en ligne, consulté le )
- 1 2 William D. James, Timothy G. Berger, Dirk M. Elston et Richard B. Odom, Andrews' diseases of the skin: clinical dermatology, Saunders Elsevier, (ISBN 978-0-7216-2921-6 et 978-0-8089-2351-0, OCLC ocm62736861, lire en ligne)
- 1 2 3 Wheater's functional histology: a text and colour atlas, Churchill Livingstone/Elsevier, (ISBN 978-0-443-06850-8)
- ↑ Wolfgang Kühnel et Dominique Duval, Atlas de poche d'histologie, Lavoisier Médecine-sciences, coll. « Atlas de poche », (ISBN 978-2-257-20623-7)
- 1 2 Diane Thiboutot, « Regulation of Human Sebaceous Glands », Journal of Investigative Dermatology, vol. 123, no 1, , p. 1–12 (ISSN 0022-202X, DOI 10.1111/j.1523-1747.2004.t01-2-.x, lire en ligne, consulté le )
- 1 2 3 4 5 6 K.R. Smith et D.M. Thiboutot, « Thematic review series: Skin Lipids. Sebaceous gland lipids: friend or foe? », Journal of Lipid Research, vol. 49, no 2, , p. 271–281 (ISSN 0022-2275, DOI 10.1194/jlr.r700015-jlr200, lire en ligne, consulté le )
- ↑ (en) A. J. Thody et S. Shuster, « Control and function of sebaceous glands », Physiological Reviews, vol. 69, no 2, , p. 383–416 (ISSN 0031-9333 et 1522-1210, DOI 10.1152/physrev.1989.69.2.383, lire en ligne, consulté le )
- ↑ (en) Israel Hanukoglu, Vijay R. Boggula, Hananya Vaknine et Sachin Sharma, « Expression of epithelial sodium channel (ENaC) and CFTR in the human epidermis and epidermal appendages », Histochemistry and Cell Biology, vol. 147, no 6, , p. 733–748 (ISSN 1432-119X, DOI 10.1007/s00418-016-1535-3, lire en ligne, consulté le )
- 1 2 Christos C. Zouboulis, « Acne and sebaceous gland function », Clinics in Dermatology, vol. 22, no 5, , p. 360–366 (ISSN 0738-081X, DOI 10.1016/j.clindermatol.2004.03.004, lire en ligne, consulté le )
- ↑ (en) Alan M W Porter, « Why do we have Apocrine and Sebaceous Glands? », Journal of the Royal Society of Medicine, vol. 94, no 5, , p. 236–237 (ISSN 0141-0768 et 1758-1095, PMID 11385091, PMCID PMC1281456, DOI 10.1177/014107680109400509, lire en ligne, consulté le )
- ↑ (en) A. J. Thody et S. Shuster, « Control and function of sebaceous glands », Physiological Reviews, vol. 69, no 2, , p. 383–416 (ISSN 0031-9333 et 1522-1210, DOI 10.1152/physrev.1989.69.2.383, lire en ligne, consulté le )
- 1 2 Jeffrey B. Cheng et David W. Russell, « Mammalian Wax Biosynthesis », Journal of Biological Chemistry, vol. 279, no 36, , p. 37798–37807 (ISSN 0021-9258, PMID 15220349, PMCID PMC2743083, DOI 10.1074/jbc.m406226200, lire en ligne, consulté le )
- ↑ Acne and its therapy, vol. 40, Informa Healthcare, coll. « Basic and clinical dermatology », (ISBN 978-0-8247-2971-4, OCLC ocm82673663), p. 311
- ↑ Zoe Diana Draelos, Hair care: an illustrated dermatologic handbook, Taylor & Francis, (ISBN 978-1-84184-194-6)
- ↑ Thomas M. Sweeney, Robert J. Szarnicki, John S. Strauss et Peter E. Pochi, « The Effect of Estrogen and Androgen on the Sebaceous Gland Turnover Time », Journal of Investigative Dermatology, vol. 53, no 1, , p. 8–10 (ISSN 0022-202X, DOI 10.1038/jid.1969.100, lire en ligne, consulté le )
- ↑ (en) John K. Amory, Bradley D. Anawalt, Alvin M. Matsumoto et Stephanie T. Page, « The Effect of 5α-Reductase Inhibition With Dutasteride and Finasteride on Bone Mineral Density, Serum Lipoproteins, Hemoglobin, Prostate Specific Antigen and Sexual Function in Healthy Young Men », Journal of Urology, vol. 179, no 6, , p. 2333–2338 (ISSN 0022-5347 et 1527-3792, PMID 18423697, PMCID PMC2684818, DOI 10.1016/j.juro.2008.01.145, lire en ligne, consulté le )
- ↑ Monika-Hildegard Schmid-Wendtner et Hans Christian Korting, pH and skin care, ABW, Wissenschaftsverlag, (ISBN 978-3-936072-64-8)
- ↑ (en) A. Zlotogorski, « Distribution of skin surface pH on the forehead and cheek of adults », Archives of Dermatological Research, vol. 279, no 6, , p. 398–401 (ISSN 1432-069X, DOI 10.1007/BF00412626, lire en ligne, consulté le )
- ↑ Sang Woong Youn, « The role of facial sebum secretion in acne pathogenesis: facts and controversies », Clinics in Dermatology, vol. 28, no 1, , p. 8–11 (ISSN 0738-081X, DOI 10.1016/j.clindermatol.2009.03.011, lire en ligne, consulté le )
- ↑ David R. Drake, Kim A. Brogden, Deborah V. Dawson et Philip W. Wertz, « Thematic Review Series: Skin Lipids. Antimicrobial lipids at the skin surface », Journal of Lipid Research, vol. 49, no 1, , p. 4–11 (ISSN 0022-2275, DOI 10.1194/jlr.r700016-jlr200, lire en ligne, consulté le )
- ↑ Lester Packer, Stefan U. Weber et Jens J. Thiele, « Sebaceous Gland Secretion is a Major Physiologic Route of Vitamin E Delivery to Skin », Journal of Investigative Dermatology, vol. 113, no 6, , p. 1006–1010 (ISSN 0022-202X, DOI 10.1046/j.1523-1747.1999.00794.x, lire en ligne, consulté le )
- ↑ (en) Christos C. Zouboulis, Jens Malte Baron, Markus Böhm et Stefan Kippenberger, « Frontiers in sebaceous gland biology and pathology », Experimental Dermatology, vol. 17, no 6, , p. 542–551 (ISSN 0906-6705 et 1600-0625, DOI 10.1111/j.1600-0625.2008.00725.x, lire en ligne, consulté le )
- ↑ (en) Sébastien Doucet, Robert Soussignan, Paul Sagot et Benoist Schaal, « The Secretion of Areolar (Montgomery's) Glands from Lactating Women Elicits Selective, Unconditional Responses in Neonates », PLOS ONE, vol. 4, no 10, , e7579 (ISSN 1932-6203, PMID 19851461, PMCID PMC2761488, DOI 10.1371/journal.pone.0007579, lire en ligne, consulté le )
- ↑ James P. McCulley et Ward E. Shine, « The lipid layer of tears: dependent on meibomian gland function », Experimental Eye Research, vol. 78, no 3, , p. 361–365 (ISSN 0014-4835, DOI 10.1016/s0014-4835(03)00203-3, lire en ligne, consulté le )
- ↑ R. J. Roeser et B. B. Ballachanda, « Physiology, pathophysiology, and anthropology/epidemiology of human earcanal secretions », Journal of the American Academy of Audiology, vol. 8, no 6, , p. 391–400 (ISSN 1050-0545, PMID 9433685, lire en ligne, consulté le )
- ↑ Davidson's principles and practice of medicine, Churchill Livingstone/Elsevier, (ISBN 978-0-7020-3085-7)
- ↑ William D. James, Timothy G. Berger, Dirk M. Elston et Richard B. Odom, Andrews' diseases of the skin: clinical dermatology, Saunders Elsevier, (ISBN 978-0-7216-2921-6 et 978-0-8089-2351-0, OCLC ocm62736861)
- ↑ Clio Dessinioti et Andreas Katsambas, « Seborrheic dermatitis: Etiology, risk factors, and treatments: », Clinics in Dermatology, vol. 31, no 4, , p. 343–351 (ISSN 0738-081X, DOI 10.1016/j.clindermatol.2013.01.001, lire en ligne, consulté le )
- ↑ Bruce R Nelson, K.Renee Hamlet, Montgomery Gillard et Divya Railan, « Sebaceous carcinoma », Journal of the American Academy of Dermatology, vol. 33, no 1, , p. 1–15 (ISSN 0190-9622, DOI 10.1016/0190-9622(95)90001-2, lire en ligne, consulté le )
- ↑ Oral & maxillofacial pathology, Saunders, (ISBN 978-0-7216-9003-2)
- ↑ (en) Olympia Kovich et Elizabeth K. Hale, « Nevus sebaceus », Dermatology Online Journal, vol. 11, no 4, (DOI 10.5070/D33bq5524c, lire en ligne, consulté le )
- ↑ Dermatology. 1, Mosby Elsevier, (ISBN 978-1-4160-2999-1)
- ↑ « Sébacé, -ée, adj. » (consulté le )
- 1 2 3 Jean Oxford University et Pre-1801 Imprint Collection (Library of Congress) DLC, A general and compleat treatise on all the diseases incident to children, from their birth to the age of fifteen .., London, Printed for J. Nourse, (lire en ligne)
- ↑ E.T. Renbourn, « The History of Sweat and Prickly Heat, 19th–20th Century11From the Directorate of Physiological and Biological Research, Ministry of Supply, Farnborough, Hants, England. », Journal of Investigative Dermatology, vol. 30, no 5, , p. 249–259 (ISSN 0022-202X, DOI 10.1038/jid.1958.50, lire en ligne, consulté le )
- ↑ (en) Mercedes Gutierrez et Agustin Aoki, « Fine structure of the gular gland of the free‐tailed bat Tadarida brasiliensis », Journal of Morphology, vol. 141, no 3, , p. 293–305 (ISSN 0362-2525 et 1097-4687, DOI 10.1002/jmor.1051410305, lire en ligne, consulté le )
Articles connexes
Liens externes
- Notices dans des dictionnaires ou encyclopédies généralistes :
- Ressources relatives à la santé :
- Ressource relative à la recherche :
- Portail de l’anatomie
- Portail de la médecine
- Portail de la physiologie