Gliomatose cérébrale
| Spécialité | Neurooncologie et neurochirurgie |
|---|
| CIM-9 | 191.0 |
|---|---|
| ICD-O | M9381/3 |
| MeSH | D018302 |
Mise en garde médicale
La gliomatose cérébrale ou astroblastome décrit la croissance envahissante de cellules neuroépithéliales qui ont la capacité de se différencier en neurones, en oligodendrocytes et en astrocytes. La majorité des tumeurs cérébrospinales sont d'origine neuroépithéliale[1].
Historique
Dans les années 1890, le docteur Friedrich Rezek décrit devant l'université de Vienne à l'Institut für Anatomie und Physiologie des Centralnervensystems ce qu'il propose d'appeler « Gliomatosis cerebri diffusa »[2].
Jusqu'à l'avènement de l'IRM cérébrale le diagnostic de certitude ne peut être établi que post-mortem. Et même avec l'IRM, cela reste difficile[3].
Autres noms
La même affection est décrite sous divers noms[4] :
en français
- tumeurs neuro-épithéliales ;
- spongioblastome polaire ;
- gliomatose cérébrale ;
- gliomatose du cerveau ;
- astroblastome ;
- épendymoastrocytome ;
en anglais
- spongioblastoma, polar ;
- gliomatosis cerebri ;
- astroblastoma ;
- ependymoastrocytoma.
Épidémiologie
Le centre Weill Cornell pour l'étude de la moelle et du cerveau (Weill Cornell Brain and Spine Center) ouvre en 2014 un registre international de la gliomatose cérébrale, géré par le Children's Brain Tumor Project, où les échantillons peuvent être déposés pour étude génomique[5].
Physiopathologie
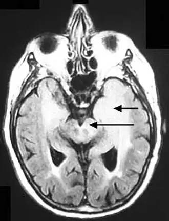
Les conférences de consensus d'anatomopathologistes réunies par l'Organisation mondiale de la santé (OMS) retiennent comme définition d'une gliomatose cérébrale l'infiltration néoplasique diffuse de la glie d'au moins trois lobes cérébraux, impliquant les deux hémisphères ou la matière grise plus profonde[6],[7],[8].
Diagnostic
Signes fonctionnels
Examen clinique
Examens complémentaires
Prise en charge
Évolution et complications
Prévention
Notes et références
- ↑ (en) Mujtaba T, Mayer-Proschel M, Rao MS, « A common neural progenitor for the CNS and PNS », Dev Biol, vol. 200, no 1, , p. 1-15. (PMID 9698451, DOI 10.1006/dbio.1998.8913, lire en ligne [html])
- ↑ Rezek 1892.
- ↑ (en) Bendszus M, Warmuth-Metz M, Klein R, Burger R, Schichor C, Tonn JC, Solymosi L, « MR spectroscopy in gliomatosis cerebri », AJNR Am J Neuroradiol, vol. 21, no 2, , p. 375-80. (PMID 10696026, lire en ligne [html])
- ↑ « Tumeurs neuroépithéliales », sur mesh.inserm.fr (consulté le )
- ↑ (en) GC International Registry
- ↑ (en) Kleihues P, Louis DN, Scheithauer BW, Rorke LB, Reifenberger G, Burger PC, Cavenee WK, « The WHO classification of tumors of the nervous system », J Neuropathol Exp Neurol, vol. 61, no 3, , p. 215-25; discussion 226-9. (PMID 11895036)
- ↑ (en) Fuller GN, Scheithauer BW, « The 2007 Revised World Health Organization (WHO) Classification of Tumours of the Central Nervous System: newly codified entities », Brain Pathol, vol. 17, no 3, , p. 304-7. (PMID 17598822, DOI 10.1111/j.1750-3639.2007.00084.x)
- ↑ (en) Chen S, Tanaka S, Giannini C, Morris J, Yan ES, Buckner J, Lachance DH, Parney IF, « Gliomatosis cerebri: clinical characteristics, management, and outcomes », J Neurooncol, vol. 112, no 2, , p. 267-75. (PMID 23341100, PMCID PMC3907195, DOI 10.1007/s11060-013-1058-x, lire en ligne [html])
Voir aussi
Articles connexes
Bibliographie
: document utilisé comme source pour la rédaction de cet article.
- (de) Friedrich Rezek, « Ein primäres polymorphes Sarkom des Gehirns mit Tafel III », dans Arbeiten aus dem Institut für Anatomie und Physiologie des Centralnervensystems an der Wiener Universität ; Herausgegeben von Prof. Dr Heinrich Obersteiner, Leipzig und Wien, Franz Deuticke, (lire en ligne), p. 58

Liens externes
- Page spécifique sur Orphanet
- Page spécifique sur Oncologik.fr
- Portail de la médecine