Granulome

Granulome
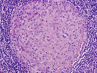
Description de cette image, également commentée ci-après
Photo (microscopie) d'un granulome (sans nécrose) vu en coupe, provenant d'un ganglion d'un patient infecté par Mycobacterium avium. L'échantillon a été coloré avec deux colorants standard (hématoxyline : bleu - éosine : rose)
Traitement
Spécialité Dermatologie
Classification et ressources externes
CIM-10 L92
CIM-9 686.1, 709.4
DiseasesDB 13606
MeSH D006099

Wikipédia ne donne pas de conseils médicaux Mise en garde médicale

En médecine, « granulome » est un terme assez général désignant de petites papules érythémateuses ou tumeurs vasculaires inflammatoires ou diverses formes d'amas de cellules épithélioïdes entourés de lymphocytes, qui apparaissent sur la peau, des muqueuses ou dans les organes internes (éventuellement autour d'un corps étranger).

Il peut ou non être source de prurit ou contenir du pus.

On considère qu'ils sont une réaction inflammatoire chronique provoquée par des agents infectieux (bactéries, virus, parasites) ou non infectieux (particules allergènes, médicaments[1] ou substance toxique)[2].

Pour le dermatologue, le mot peut avoir deux sens différents :

  1. petit agrégat nodulaire constitué de cellules mononucléées inflammatoires ;
  2. agrégat de macrophages modifiés ressemblant à des cellules épithéliales. Ce type de granulome est souvent bordé de lymphocytes porteurs de cellules géantes multinucléées.

Son nom évoque sa forme la plus fréquente en forme de grain, mais il prend parfois l'apparence de plaques. Dans certains cas, il peut y avoir présence de pus (neutrophiles et macrophages en grande quantité). Certains granulomes renferment des éosinophiles ainsi que des cellules plasmatiques[2].
Une fibrose borde souvent la périphérie de la lésion[2].

En pathologie dentaire, le granulome est une raréfaction osseuse autour de la dent.

En médecine

Causes et origines

On considère qu'il s'agit d'une réponse de type réaction inflammatoire chronique, en réponse à l'introduction d'un corps étranger (exemple : fragment de munition ou grenaille lors d'une blessure par balle ou plomb d'arme à feu)[3] ou d'un organisme étranger (parasite, microbe) dans l'organisme.

Typologies de granulomatoses

Des granulomes se manifestent dans différentes maladies, parfois mal comprises. Ce sont notamment (liste non limitative) :

Les organes cibles

Ce sont généralement les organes liés au mode d'introduction du déclencheur (particule, molécule...) dans l’organisme.

Il peut s'agir du poumon, du foie, du rein ou de la peau, mais il arrive qu'une granulomatose systémique (touchant plusieurs organes ou tout l'organisme) puisse être déclenchée, pouvant évoquer une sarcoïdose.

Le diagnostic différentiel se fait alors sur la base d'une analyse de l'environnement et des activités professionnelles ou de loisirs du patient, sans oublier de rechercher si des médicaments (à la suite d'une chimiothérapie[7] ou au traitement d'une brûlure par exemple) ou des substances toxiques peuvent être en cause (par exemple, le béryllium, utilisé par de nombreux process industriels, ou l’interféron-alpha ou encore la BCG-thérapie ou l'allopurinol ont été des causes de granulome souvent signalées par la littérature médicale.

Terminologie

Un tissu est dit « granulomateux » quand il présente des granulomes.

Plusieurs maladies se traduisant par la formation de granulomes sont génériquement appelées granulomatoses[2].

L'expression « granulome inflammatoire » peut être assortie d'un adjectif qui précise la cause de la lésion.
Exemples :

  • Granulome pyogénique également nommé botriomycome (bourgeon charnu mou rouge, saignant facilement, apparaissant plus souvent sur les doigts, causés par une piqûre septique ou due à un micro-traumatisme)[8] ;
  • Granulome mycobactérien[9], dû à une mycobactérie ;
  • Granulome de Majocchi (ou « trichophytique »), souvent présente sur le mollet dû au trichophyton qui infecte les poils (symptômes : granulomes surélevés, circonscrits, éparpillés ou groupés, cicatrisant naturellement, lentement, ou se nécrosant et laissant des cicatrices)[2] ;
  • Granulome des piscines (ou granulome des aquariums[10]), probablement dû à des mycobactéries, guérissant habituellement spontanément[2] ;
  • Granulome à cholestérol ou cholestéatome. Ils sont microscopiques[11] ;
  • Granulome à kératine (microscopiques) ;
  • Granulome réparateur à cellules géantes[2] ;
  • Granulome à corps étranger, dont :
  • Granulomes mixtes (microscopiques à macroscopiques), ayant plusieurs causes.

L'expression « granulome inflammatoire » peut aussi être assorti d'un adjectif précisant la population cellulaire prédominante.
Exemples :

  • Granulome plasmocytaire,
  • Granulome histiocytaire,
  • Granulome épithélioïde
  • Granulome macrophagique
  • Granulome éosinophile (d'origine parasitaire, apparaissant sur organe interne et abritant une larve de parasite, d'anisakidae par exemple, provenant de poisson cru)
  • Granulome spermatique (faisant suite à l'extravasion de sperme dans l'interstitium du testicule ou de l'épididyme, complication la plus fréquente de la vasectomie vétérinaire, chez les caprins plus souvent que chez les ovins)[14].
  • Les granulomes épithélioïdes (ou tuberculoïdes) ; ce sont des formes dont les contours histologiques sont mal limités. Ils sont classés en granulomes caséeux (tuberculose) et granulomes non caséeux (sarcoïdose par exemple, aux contours plus nettement limités à l'histologie)[15].
    Des granulomes sont dits « caséeux » si une nécrose caséeuse importante s'est produite en leur sein.
Granulome annulaire (Granuloma annulare), sur le dessus de la main
  • Les « granulomes annulaires » : ce sont des granulomes se présentant plus ou moins nettement disposés en anneau[16]. On distingue diverses formes de granulomes annulaires, dermatoses pour certaines fréquentes aux origines encore inexpliquées : granulome annulaire de l'enfant, granulome annulaire profond, qui peut penser à un nodule rhumatoïde, angiome profond, hématome traumatique ou érythème noueux[17], granulome annulaire de la paupière[18], granulome annulaire unique et perforant (forme rare de granulome, en nodule ulcéré), granulome annulaire généralisé (associé dans un cas au VIH avec guérison de ce granulome lors du traitement anti-VIH… Dans tous les cas seule l'histologie peut confirmer le diagnostic.

Gravité

Ce sont très souvent des affections bénignes, mais parfois le symptôme d'une maladie plus grave. Seul le médecin et souvent une étude histologique du granulome peuvent confirmer un diagnostic.

En médecine vétérinaire, des maladies à granulomes, telle que le « granulome éosinophilique » du félin sont encore mal comprises et difficiles à soigner.

Traitements

Il doit être adapté à la cause. Le traitement médicamenteux est parfois inefficace, la solution relève dans certains cas de la chirurgie (exérèse et électrocoagulation)

En pathologie dentaire

Le granulome apical est une pathologie dentaire de nature infectieuse.
Il se présente comme une raréfaction osseuse de forme arrondie qui se développe autour de la racine dentaire, généralement l'apex, mais il peut aussi se développer latéralement à celle-ci.
La cavité ainsi formée est remplie de tissu de granulation (réaction inflammatoire) et peut croître en volume aux dépens de l'os[19].

Diagnostic

On détecte le granulome radiologiquement ; il donne une image radio-claire arrondie, au contour généralement flou, ce qui le distingue du kyste qui possède une capsule périphérique et une image radiologique mieux délimitée et souvent plus volumineuse.
Seul un examen anatomo-pathologique (après exérèse) permet toutefois de trancher sur la nature exacte de la lésion.

Traitement

Il doit être étiologique, c’est-à-dire éliminer la cause, la porte d'entrée de l'infection, généralement une carie dentaire ayant provoqué une nécrose pulpaire, mais il peut aussi s'agir d'une fracture ou d'une fêlure dentaire, voire d'une atteinte parodontale.
Il peut aussi s'agir d'une insuffisance de traitement endodontique (dévitalisation imparfaite), c'est-à-dire que le traitement n'a pas éliminé toute la pulpe dentaire.
En effet il ne faut pas oublier que le granulome a pour origine des germes se trouvant dans la racine de la dent en cause. Il n'est donc pas le lieu où les germes se forment mais celui où ils sont détruits. Il faut donc nettoyer toute la longueur de la racine en cause, et obturer le plus étanche possible. Le traitement à l'hydroxyde de calcium donne de bons résultats pour les granulomes apicaux. Les fêlures et fractures de la racine sont de mauvais pronostic chez l'adulte. En fonction du volume de la lésion et de l'état de la dent concernée, un traitement endodontique est nécessaire, il peut être associé à une résection apicale si la lésion est très volumineuse, ou si elle ne régresse pas après le traitement de la racine. Enfin, l'extraction et le curetage de l'alvéole peuvent s'avérer nécessaires.

Notes et références

  1. D. Vital Durand, I. Durieu, H. Rousset (2008), Granulomatoses d’origine médicamenteuse ou toxique ; La Revue de médecine interne, Volume 29, Issue 1, janvier 2008, Pages 33-38 (résumé).
  2. 1 2 3 4 5 6 7 8 9 28e édition du Dorland's Pocket Medical Dictionnary (existe en version française), citée par la base de données DERMIS (voir p. 393).
  3. Miloudi, A., Hammas, L. L., Nahum, M. L., & Corabianu, O. (2019) Ischémie cérébrale et dépôts de plomb. Revue Neurologique, 175, S67-S68 (résumé).
  4. C Gautier, B Vignolly and A Taïeb ; Lymphocytome cutané bénin de l'aréole mamelonnaire et Erythema chronicum migrans: une association pathognomonique de borréliose / Benign cutaneous lymphocytoma of the breast areola and Erythema chronicum migrans: an association pathognomonic of lyme disease ; Archives de Pédiatrie ; Vol. 2, Issue 4, avril 1995, Pages 343-346
  5. D. Jacobi, C. Rivollier, H. Buisson, A. De Muret, J.-M. Besnier and G. Lorette. « Granulome annulaire généralisé : guérison au cours du traitement d’une infection par le VIH » Annales de Dermatologie et de Vénéréologie 2005;132(3):243-245 DOI 10.1016/S0151-9638(05)79253-X
  6. F. Rapelanoro-Rabenja, J. Maleville and A. Taïeb « Granulome annulaire localisé chez l'enfant: évolution de 30 cas (Localized granuloma annulare in children: follow-up of 30 cases) » Archives de Pédiatrie 1995;2(12):1145-1148
  7. A. Grados, E. Jean, B. Chetaille, A. Cristea, E. Bernit, V. Veit, T. Aurran-Schleinitz, N. Schleinitz, J.-R. Harle (2011) Pseudo-sarcoïdose après traitement anticancéreux : une nouvelle étiologie de granulomatose ? ; La Revue de médecine interne, Volume 32, Supplement 1, June 2011, Pages S139-S140
  8. Exemples (Atlas Dermato.org), consulté 2010 02 28
  9. Physiologie Moléculaire du granulome mycobactérien ; Frédéric Altare (Consulté 2010 02 28)
  10. Page "Granulome des aquariums", sur Dermatologie.free.fr
  11. Exemples ; page intitulée Le cholestéatome et ses lésions associées, par le Dr André Lopez (coupes histologiques)
  12. Exemple de granulome sur tatouage
  13. Exemple de granulome sur collagène
  14. Le granulome spermatique, École vétérinaire de Maison-Alfort
  15. Illustration, sur Respir (Base documentaire en pneumologie)
  16. Exemple, dans la base de données Dermatonord
  17. A Ould Abdina, P Mortureux, C Léaute-Labrèze, P Bioulac-Sage, A Taïeb « Granulome annulaire profond de l'enfant (Deep granuloma annulare in children) » Archives de Pédiatrie 1995;2(9):858-860.
  18. C. Pajot, H. Maillard, O. Pajot, S. Catala, B. Prophette et P. Célerier. « Cas clinique : Granulome annulaire des paupières : une localisation atypique (Granuloma annulare of the eyelid in a child: an atypical localization) » Annales de Dermatologie et de Vénéréologie 2007;134(4):381-383. DOI 10.1016/S0151-9638(07)89196-4
  19. J. Hamama, L. Khalfi, H. Sabani, M.K. El Khatib ; Granulome réparateur à cellules géantes du maxillaire : à propos d’une forme agressive ; Le courrier du dentiste ; septembre 2015

Voir aussi

Articles connexes

Bibliographie

  • (fr) Benadiba L., Levy J. Internat Medecine, Chirurgie maxillo-faciale, stomatologie, chirurgie plastique, 2e édition. Éditions Vernazobres-Grego, Paris, 1999.
  • (fr) A.L Fauchais, U Michon-Pasturel, C Rugale, N Asseray, H Bulckaen, V Queyrel, F Puisieux, M Hebbar, E Hachulla, P.Y Hatron, B Devulder (2001), Granulomatose de Wegener du sujet âgé ; La Revue de médecine interne, Volume 22, Issue 2, February 2001, pages 127-131 (résumé)
  • (fr) Béma Coulibaly, Cécile de Biasi, Olivier Gisserot, Jean-Pierre de Jauréguiberry, Jean-Hugues Patte (2009), Cancer testiculaire et granulomatose nécrosante sarcoid-like ; Annales de Pathologie, Volume 29, Issue 3, June 2009, pages 238-240
  • (fr) C.-E. Enescu-Florica, M. Bezier, M. Malphettes, S. Feuillet, O. Lortholary, M. Bagot, M. Rybojad (2011), Premier cas de granulomes cutanés aseptiques au cours d’une granulomatose septique chronique traités avec succès par infliximab ; Annales de dermatologie et de vénéréologie, Volume 138, Issue 12, Supplement, December 2011, pages A187-A188
  • (fr) H. Attout, S. Guez, C. Séries (2005), Granulomatose cutanée liée à une infection par cytomégalovirus chez un patient immunocompétent, La Revue de médecine interne, Volume 26, Issue 4, April 2005, pages 349-351
  • (fr) A. Brinkane, L. Crickx, J. Bellamy, E. Leroy Terquem, R. Levy (2001) Déficit immunitaire commun variable de révélation tardive compliqué de granulomatose ; La Revue de médecine interne, Volume 22, Issue 3, March 2001, pages 308-310
  • (fr) T. Boye, J.-P. Terrier, C. Coillot, B. Guennoc, B. Fournier, F. Carsuzaa (2006) Granulomatose cutanée au cérium (chez une femme de 57 ans, gravement brûlée quatre ans auparavant); Annales de dermatologie et de vénéréologie, Volume 133, Issue 1, January 2006, pages 50–52 (résumé)
  • (fr) G. Geri, P. Cacoub (2011) Granulomatose hépatique ; La Revue de médecine interne, Volume 32, Issue 9, September 2011, pages 560-566
  • (fr) A. Grados, E. Jean, B. Chetaille, A. Cristea, E. Bernit, V. Veit, T. Aurran-Schleinitz, N. Schleinitz, J.-R. Harle (2011) Pseudo-sarcoïdose après traitement anticancéreux : une nouvelle étiologie de granulomatose ? ; La Revue de médecine interne, Volume 32, Supplement 1, June 2011, pages S139-S140

À propos des granulomatoses lymphomatoïdes

  • (fr) H. de Boysson, L. Geffray (2013) Granulomatose lymphomatoïde ; La Revue de médecine interne, Volume 34, Issue 6, June 2013, pages 349-357
  • (fr) G. Quéreux, A. Brocard, L. Peuvrel, A.-C. Knol, J.-J. Renaut, B. Dréno (2011), Granulomatose lymphomatoïde de révélation cutanée ; Annales de Dermatologie et de Vénéréologie, Volume 138, Issues 8–9, August–September 2011, pages 591-596 (résumé)
  • (fr) J. Cabane, P. Godeau, G. Chomette, M. Auriol, H. Szpirglass, M. Raphael (1990), Granulomatose lymphomatoïde buccale ; La Revue de médecine interne, Volume 11, Issue 1, January–February 1990, pages 69–72
  • (fr) V. De Schaetzen, A. Lietaer, V. Costes-Martineau, B. Guillot, O. Dereure (2005), P208 - Granulomatose cutanée profuse révélatrice d’un lymphome cytotoxique systémique ; Annales de dermatologie et de vénéréologie, Volume 132, Supplement 3, October 2005, Page 198
  • (fr) S. Jaffre, E. Duet, P. Hubscher, S. Dominique, F. Jardin, G. Nouvet (2004) Granulomatose lymphomatoïde traitée par rituximab ; Revue des maladies respiratoires, Volume 21, Supplement 1, January 2004, Page 81
  • (fr) J.-M. Michot, A. Duréault, Y. Taoufik, G. Tercian, T. Lazure, M. Raphael, O. Lambotte (2011), Granulomatose lymphomatoïde et leucémie LGL : une association fortuite ? ; La Revue de médecine interne, Volume 32, Supplement 2, December 2011, Page S398 (Lien vers article (payant))
  • (fr) L. Sillard (2009) Pneumopathie communautaire révélatrice d’une granulomatose lymphomatoïde ; La Revue de médecine interne, Volume 30, Supplement 4, December 2009, pages S466-S467

Liens externes

  • icône décorative Portail de la médecine