Hépatosplénomégalie

Hépatosplénomégalie
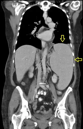
Description de l'image Splenomegalie bei CLL (labeled).jpg.
Traitement
Spécialité Gastro-entérologie
Classification et ressources externes
CIM-10 R16.2
CIM-9 571.8, 789.1, 789.2
MedlinePlus 003275

Wikipédia ne donne pas de conseils médicaux Mise en garde médicale

Une hépatosplénomégalie est l'association d'une augmentation de volume du foie (hépatomégalie) et de la rate (splénomégalie).

Le diagnostic se fait à la palpation de l'abdomen lors d'un examen clinique, ou en réalisant des examens complémentaires comme l'échographie abdominale, le scanner ou l'IRM.

Une hépatosplénomégalie est le signe d'une pathologie sous-jacente. On la retrouve dans de très nombreuses maladies, par exemple dans la maladie de Gaucher. Elle peut également être le reflet d'une hypertension portale souvent associée à une insuffisance cardiaque droite ou une cirrhose.

Liens externes

  • icône décorative Portail de la médecine