Interstitium pulmonaire
L'interstitium pulmonaire désigne le tissu conjonctif qui soutient les axes broncho-vasculaires, les cloisons inter-lobulaires, le tissu sous-pleural et les cloisons inter-alvéolaires des poumons.
Rôle
L'interstitium, qui est le tissu de soutien du poumon est situé entre les parois des alvéoles pulmonaires. Ces dernières, siège de l'échange gazeux entre sang et air, forment le parenchyme qui est le tissu proprement fonctionnel du poumon. Interstitium et parenchyme coopèrent étroitement au fonctionnement du poumon et constituent une unité fonctionnelle. L'interstitium constitue l'armature de base du poumon et soutient l'architecture des alvéoles, c'est-à-dire de la barrière sang-air pendant le cycle de la respiration.
Composition

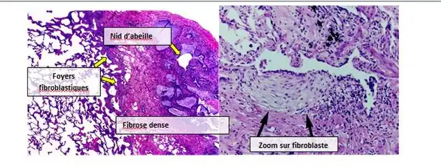
Coloration à l'hématoxyline-éosine (HE).
La majeure partie de l’interstitium est formé par des fibres de collagène, qui forment jusqu'à 20 % de la masse sèche des poumons, en majorité du collagène de type I dont le rôle principal est la conservation de la forme et l’élasticité des alvéoles[1]. Le collagène de type IV ne se trouve que dans les membranes basales des alvéoles et des vaisseaux sanguins. Les collagènes de type III et de type V ne sont présents qu’en faible quantité dans le tissu pulmonaire (5 à 10 %)[2]. Les fibres élastiques forment un réseau à connexions multiples dans l'interstitium du poumon. Elles sont la force motrice de l'expiration.
Les protéoglycanes sont responsables de la géométrie du tissu pulmonaire. L'interstitium est aussi composé d'acide hyaluronique[3], de sulfate de chondroïtine A et C, de sulfate de dermatane[4], d'héparine et de sulfate d'héparine. En outre, parmi les glycoprotéines, se retrouvent de la fibronectine, de l'entactine (en) et de la laminine, qui apparaissent principalement dans les lames basales.
Subdivisions
Il est divisé en trois secteurs, le secteur périphérique, le secteur axial et les parois alvéolaires. Cette division est utile puisqu'à chaque secteur correspond en cas d’atteinte un des signes radiologiques particuliers (lignes de Kerley)[5] :
- Le secteur périphérique comprend le tissu conjonctif sous-pleural et les septa interlobulaires.
- Le secteur axial est composé des cloisons conjonctives péribronchovasculaires.
- Le troisième secteur est composé des cloisons conjonctives intralobulaires qui siègent dans les cloisons interalvéolaires[5].
Pathologies de l'interstitium
L'interstitium pulmonaire est modifié lors des pneumopathies interstitielles diffuses idiopathiques qui font partie du grand groupe des pneumopathies interstitielles.

Notes et références
- ↑ (en) (en) Davidson J.M., « Biochemistry and turnover of lung interstitium », The European respiratory journal, vol. 3, no 9, , p. 1048-1063 (PMID 2289553, lire en ligne [htlm], consulté le )
- ↑ (en) Gadek J.E. et al., « Role of connective tissue proteases in the pathogenesis of chronic inflammatory lung disease. », Environ Health Perspect., vol. 55, , p. 297-306 (PMID 6329673)
- ↑ (en) P.M. Sampson, C.L. Rochester, B. Freundlich et J.A. Elias, « Cytokine regulation of human lung fibroblast hyaluronan (hyaluronic acid) production. Evidence for cytokine-regulated hyaluronan (hyaluronic acid) degradation and human lung fibroblast-derived hyaluronidase », The Journal of Clinical Investigation, vol. 90, no 4, , p. 1492–1503 (DOI 10.1172/JCI116017, lire en ligne).
- ↑ (en) Ingrid Sjöberg et Lars-Åke Fransson, « Synthesis of glycosaminoglycans by human embryonic lung fibroblasts. Different distribution of heparan sulphate, chondroitin sulphate and dermatan sulphate in various fractions of the cell culture », Biochemical Journal, vol. 167, , p. 383–392 (lire en ligne).
- 1 2 « Le syndrome interstitiel », sur chups.jussieu.fr, Faculté de médecine Pierre et Marie Curie (consulté le ).
Voir aussi
Bibliographie
- (en) Daniel Anthoine et Jean-Claude Humbert, Atlas de pathologie thoracique, Guildford/Boulder, Springer Science & Business Media, , 668 p. (ISBN 978-2-287-48492-6, lire en ligne).
Articles connexes
Liens externes
- Portail de l’anatomie
- Portail de la physiologie
- Portail de la médecine