Leishmania panamensis
Leishmania panamensis
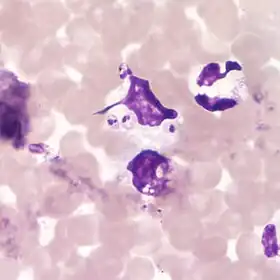
Amastigotes de Leishmania panamensis dans un raclage de tissu coloré au Giemsa.
| Règne | Protozoa |
|---|---|
| Embranchement | Euglenozoa |
| Classe | Kinetoplastea |
| Ordre | Trypanosomatida |
| Famille | Trypanosomatidae |
| Genre | Leishmania |
Leishmania panamensis est une espèce de protozoaires de la famille des Trypanosomatidae.
Description
Taxonomie
Le nom valide complet (avec auteur) de ce taxon est Leishmania panamensis (Shannon) Shannon[1].
Liens externes
- (en) BioLib : Leishmania panamensis Lainson & Shaw, 1972 (consulté le )
- (fr + en) EOL : Leishmania panamensis (consulté le )
- (fr + en) GBIF : Leishmania panamensis (Shannon) Shannon (consulté le )
Références
- Portail de la microbiologie
- Portail du Panama