Liposarcome

Liposarcome
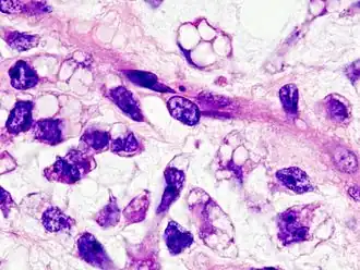
Description de l'image Myxoid liposarcoma (06).JPG.
Traitement
Spécialité Oncologie
Classification et ressources externes
ICD-O 8850/3
DiseasesDB 31482
eMedicine 1102007
MeSH D008080

Wikipédia ne donne pas de conseils médicaux Mise en garde médicale

Un liposarcome est un cancer se formant aux dépens des adipocytes.

Épidémiologie

Bien que rare, le liposarcome est le plus fréquent des cancers des tissus mous[1].

Anatomopathologie

Trois types de liposarcomes sont caractérisés : bien différenciés (avec souvent des anomalies du chromosome 12), mal différenciés et pléiomorphique (avec caryotype complexe)[1]. En fait, les altérations génétiques des formes bien différenciées et indifférenciées sont proches, avec une amplification de certaines régions du chromosome 12, dont celles concernant les gènes MDM2 et CDK4[2].

Liposarcome myxoïde

Il apparait généralement sur la cuisse, entre les grands muscles et la couche de graisse sous-cutanée, avec des symptômes tardifs faisant que la tumeur mesure en moyenne déjà environ 10 centimètres lors du diagnostic[3].

Traitement

L'ablation de cette forme très rare de cancer doit être faite si cela est possible.
Une irradiation est souvent prescrite, préalablement à l'opération pour limiter le risque de récidive, mais avec des effets indésirables chez un tiers des patients environ (complications de la plaie chirurgicale)[3].
Sur la base d'études conduites entre 2010 et 2020, une étude publiée par la revue JAMA Oncology en 2020 a conclu que les patients atteints d'un liposarcome myxoïde peuvent et doivent être irradiés moins souvent pour obtenir le même effet. Les directives antérieures de traitement sont à adapter[3]. Le nombre de séance peut passer de 25 à 18, avec un risque de complications de la plaie diminuant alors de 50%. Une seconde opération est aussi alors moins souvent nécessaire, et sept visites de moins sont nécessaires pour suivre la radiothérapie[3], ce qui limite aussi le risque d'y contracter une infection nosocomiale.

Pronostic

Les tumeurs mal différenciées ou les localisations rétropéritonéales tendent à récidiver et sont de mauvais pronostic[4].

Recherche

Dans un modèle de xenogreffe orthotopique de liposarcome dédifférencié dérivé de patients, la chloroquine associée à la rapamycine arrête la croissance tumorale[5].

Notes et références

  1. 1 2 (en) Dei Tos AP, « Liposarcoma: new entities and evolving concepts » Ann Diagn Pathol, 2000;4:252–266.
  2. (en) Horvai AE, DeVries S, Roy R, O’Donnell RJ, Waldman F, « Similarity in genetic alterations between paired well-differentiated and dedifferentiated components of dedifferentiated liposarcoma » Mod Pathol, 2009;22:1477–1488
  3. 1 2 3 4 Karolien Van de Velde, « Liposarcome myxoïde : moins de séances de radiothérapie nécessaires », sur Site-LeJournalDuMedecin-Oncologie-FR, (consulté le )
  4. (en) Crago AM, Singer S, « Clinical and molecular approaches to well differentiated and dedifferentiated liposarcoma » Curr Opin Oncol, 2011;23:373–378
  5. (en) Noriyuki Masaki, Yusuke Aoki, Yutaro Kubota et Koya Obara, « Chloroquine Combined With Rapamycin Arrests Tumor Growth in a Patient-derived Orthotopic Xenograft (PDOX) Mouse Model of Dedifferentiated Liposarcoma », In Vivo, vol. 36, no 6, , p. 2630–2637 (ISSN 0258-851X et 1791-7549, PMID 36309387, PMCID PMC9677795, DOI 10.21873/invivo.12997, lire en ligne, consulté le )
  • icône décorative Portail de la médecine