Lymphangioléiomyomatose

Lymphangioléiomyomatose
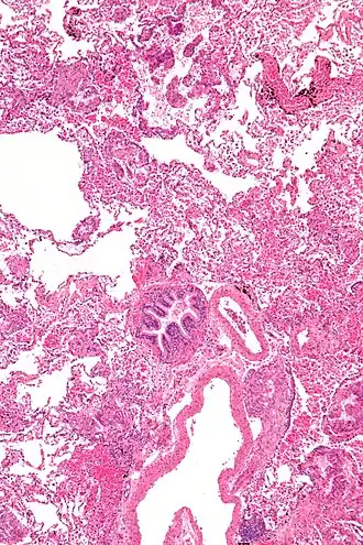
Description de cette image, également commentée ci-après
Micrograph of lymphangioleiomyomatosis. H&E stain.
Traitement
Médicament Sirolimus
Spécialité Pneumologie
Classification et ressources externes
CIM-9 516.4
ICD-O 9174/1
OMIM 606690
DiseasesDB 30755
eMedicine 299545
radio/415
MeSH D018192

Wikipédia ne donne pas de conseils médicaux Mise en garde médicale

La lymphangioléiomyomatose ou LAM pulmonaire sporadique est une maladie rare (plus de 100 cas en France) dont les manifestations sont principalement pulmonaires à type de pneumothorax, de chylothorax et d'une dyspnée à l'effort. Elle n’est pas transmissible et ne touche presque uniquement que les femmes, surtout de peau de couleur blanche âgées de 20-40 ans. Elle s'associe assez fréquemment à des angiomyolipomes rénaux, tumeur bénigne du rein à rechercher systématiquement.

Mécanisme

La LAM maladie semble d'origine génétique mais non transmissible dans sa forme sporadique, liée à des mutations somatiques du gène TSC2 (TSC pour Tuberous Sclerosis Complex) qui contrôle la prolifération des cellules musculaires lisses[1] par la voie du mTOR[2] (mTOR pour mammalian Target Of Rapamycin). Cette maladie est proche d'une autre maladie génétique, qui elle est transmissible, la sclérose tubéreuse de Bourneville au cours de laquelle, on peut observer chez les femmes la survenue d'une LAM.

Cette prolifération cellulaire n'a pas les caractéristiques d'une cellule maligne comme celle d'un cancer. Les cellules en question seraient cependant susceptibles de migrer pour donner des proliférations dans d'autres tissus, exemple rare de métastases de cellules bénignes[3].

Description

Cette pathologie se caractérise par une prolifération d'un certain type de cellules musculaires lisses qui entraîne la formation de kystes dans les poumons, avec à terme une insuffisance respiratoire. L'évolution de la maladie est toutefois extrêmement variable selon les patientes et de ce fait difficilement prévisible (en particulier il existe des formes peu évolutives de la maladie). Elle peut se faire vers une dégradation de la fonction respiratoire pouvant être invalidante après une dizaine d'années[4].

Traitement

L'hormonothérapie proposée il y encore quelques années est de moins en moins proposée car sans efficacité probante sur la fonction ventilatoire[5]. Le sirolimus bloque la voie du mTOR. Cette molécule semble stabiliser la fonction respiratoire et améliorer les symptômes[6].

Pour les formes avancées de la maladie, la transplantation pulmonaire est le seul recours envisageable, avec un risque de récidive de la maladie[7].

Une association de patientes, l'association FLAM a été créée en France en 2001[8], autres contacts, voir aussi : VivO2[9].

Autres maladies

La lymphangioléiomyomatose (LAM) ne doit pas être confondue avec la lymphangiomatose, une maladie qui peut toucher les hommes aussi bien que les femmes.

Notes et références

  1. « urban-masrmrf00151.fm »(Archive.orgWikiwixArchive.isGoogle • Que faire ?), Société de pneumologie de langue française
  2. (en) Sengupta S, Peterson TR, Sabatini DM, « Regulation of the mTOR complex 1 pathway by nutrients, growth factors, and stress » Mol Cell. 2010;40:310-322.
  3. (en) Henske EP, Metastasis of benign tumor cells in tuberous sclerosis complex Genes Chromosomes Cancer. 2003;38:376-381.
  4. (en) Johnson SR, Whale CI, Hubbard RB, Lewis SA, Tattersfield AE, « Survival and disease progression in UK patients with lymphangioleiomyomatosis » Thorax. 2004;59:800-803.
  5. (en) Taveira-DaSilva AM, Stylianou MP, Hedin CJ, Hathaway O, Moss J, « Decline in lung function in patients with lymphangioleiomyomatosis treated with or without progesterone » Chest. 2004;126:1867-1874
  6. (en) McCormack FX, Inoue Y, Moss J et al. « Efficacy and safety of sirolimus in lymphangioleiomyomatosis » N Engl J Med. 2011;364:1595-1606.
  7. (en) Karbowniczek M, Astrinidis A, Balsara BR et al. « Recurrent lymphangiomyomatosis after transplantation: genetic analyses reveal a metastatic mechanism » Am J Respir Crit Care Med. 2003;167:976-982.
  8. Site de l'association FLAM
  9. (bulletin de la Ligue pulmonaire suisse)

Liens externes

  • icône décorative Portail de la médecine