Lymphome de Burkitt
| Causes | Infection à virus d'Epstein Barr (en) |
|---|
| Médicament | (RS)-cyclophosphamide et (RS)-cyclophosphamide |
|---|---|
| Spécialité | Hématologie |
| CIM-10 | C83.7 |
|---|---|
| CIM-9 | 200.2 |
| ICD-O | 9687/3 et 9826/3 |
| OMIM | 113970 |
| DiseasesDB | 1784 |
| MedlinePlus | 001308 |
| eMedicine | med/256 |
| MeSH | D002051 |
| Patient UK | Burkitts-Lymphoma |
Mise en garde médicale
Le lymphome de Burkitt ou leucémie de Burkitt, est une tumeur (lymphome non hodgkinien) qui provient de l'évolution maligne et de la prolifération de cellules lymphoïdes de type B. Elle est souvent d'origine virale. Classiquement, on définit trois variantes cliniques[1] : la forme endémique, la forme associée à l'immunodéficience et la forme sporadique.
Il s'agit du cancer le plus agressif à ce jour. En effet, le nombre des cellules infectées peut doubler toutes les 24h, amenant une dégradation très rapide de l'état du patient. La prise en charge doit être la plus rapide possible.
Autres noms
Différentes dénominations décrivent la même affection[2] :
- LAL à cellules de Burkitt ;
- LAL-B ;
- LAL-L3 ;
- LAL3 ;
- leucémie aigüe lymphoblastique B ;
- leucémie aiguë lymphoblastique de type Burkitt ;
- leucémie aigüe lymphoblastique de type Burkitt ;
- leucémie de Burkitt ;
- leucémie lymphocytaire aiguë B ;
- leucémie lymphocytaire aigüe B ;
- leucémie lymphoïde aiguë à cellules B ;
- leucémie lymphoïde aigüe à cellules B ;
- LLA-B ;
- maladie de Burkitt ;
- tumeur de Burkitt.
Causes
Le virus Epstein-Barr est associé aux trois formes de lymphome de Burkitt, de manière constante dans la forme endémique, de manière inconstante dans les deux autres formes[3]. L'infection précède le développement tumoral[4]. Le mécanisme de la transformation tumorale n'est pas clair. Plusieurs protéines synthétisées par le génome du virus Epstein-Barr seraient impliquées, entraînant des altérations au niveau de l'ADN de la cellule contaminée[5].
Le rôle favorisant du paludisme a été suspecté dans la forme endémique pour des raisons épidémiologiques. Certains antigènes du parasite pourraient réactiver le virus Epstein-Barr présent de manière latente chez un hôte[6].
Particularités génétiques

Le lymphome de Burkitt est généralement associé à une translocation du gène c-myc (le gène MYC fut d'ailleurs découvert pour la première fois chez des patients atteints du lymphome de Burkitt). Cette translocation est souvent provoquée par l'oncogène viral EBV.
Anatomopathologie

Il s'agit de la tumeur à la croissance la plus rapide avec un temps de doublement cellulaire compris entre 1 et 2 jours[3].
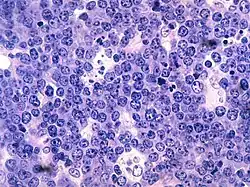
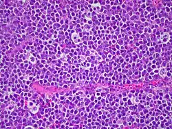
Histologiquement, on décrit ce cancer comme présentant une apparence de « ciel étoilé »[9]. Les cellules lymphoïdes, particulièrement similaires les unes aux autres, s'organisent en couches de cellules ayant de très forts taux de prolifération et d'apoptose.

Ces lymphocytes ont un noyau de forme ronde ou ovale, aux contours réguliers, la chromatine, localisée dans la partie centrale du noyau, se trouvant réticulée avec plusieurs nucléoles de taille ordinaire. Le cytoplasme est basophile à l'examen. Chez les patients immunodéprimés, on peut également découvrir parfois une importante différenciation du cytoplasme avec un noyau à nucléole unique.
Symptômes
On pourra souvent découvrir soit une large lésion ostéolytique du maxillaire ou de la mandibule soit une masse abdominale en croissance rapide.
Il n'existe pas de délimitations cliniques claires entre les trois formes, la distinction se situant plutôt au niveau épidémiologique.
Formes cliniques
Forme endémique liée au virus d'Epstein-Barr (EBV)
Histoire
Cette pathologie tire son nom de Denis Parsons Burkitt (1911-1993), le chirurgien militaire qui l'a décrite en 1958 en Ouganda[10]. Il avait remarqué des tumeurs de la mâchoire jamais décrites et pourtant courantes chez les enfants de la région. Néanmoins, ce ne sera que six ans plus tard au Zaïre (aujourd'hui RDC) que seront effectuées les premières descriptions cliniques de ce lymphome. Initialement pris pour un sarcome, elle est correctement classée dans les lymphomes à partir de 1960[11]. La cause virale a été suspectée en 1964 par Epstein, Barr et Achong devant la présence de corpuscules viraux dans les échantillons de lymphomes[12].
Il s'agit de la première tumeur découverte associée à un virus et l'une des premières associées à une translocation chromosomique[3].
Épidémiologie
On le retrouve essentiellement chez les enfants africains avec un pic de fréquence entre 6 et 7 ans. Tumeur enfantine la plus courante en Afrique équatoriale, dans la fameuse Lymphoma Belt[13], elle est liée à l'énorme prévalence de l'EBV dans cette région. La zone de prévalence de la maladie recouvre celle du paludisme[14]. La maladie touche plus souvent les garçons que les filles et s'attaque régulièrement à la mâchoire. Elle peut aussi toucher les autres os du visage ou l'abdomen mais les proportions de ces différentes formes varient selon les sources[15],[16] (région rétropéritonéale, ovaires ou mésentère).
Le lymphome de Burkitt représente actuellement dans le monde 2 % de tous les syndromes lymphoprolifératifs[17] (c'est-à-dire l'ensemble contenant les lymphomes, les leucémies, les myélomes, etc).
Forme liée au VIH

L'épidémie de SIDA a fait du VIH une cause du lymphome de Burkitt à rechercher systématiquement quand il est associé à une immunodéficience[18], bien que les immunosuppresseurs utilisés à l'occasion d'une greffe puissent aussi être incriminés. La forme de lymphome liée au VIH apparaît cliniquement difficile à distinguer de la forme classique.
Forme sporadique ou « non africaine »
Maladie rare que l'on peut trouver partout dans le monde, elle touche aussi bien des adultes que des enfants surtout au niveau de l'abdomen. Elle ne semble pas associée au virus d'Epstein-Barr[3].
Facteurs pronostiques
L'extension (locale, locorégionale ou généralisée) est un facteur pronostique important. Certaines anomalies chromosomiques ont une évolution plus péjorative[19].
Traitement
Après la ponction de la masse tumorale et le bilan d'extension (radiographie, myélogramme, ponction lombaire), une chimiothérapie progressive et exclusive doit être envisagée. Celle-ci guérit 80 % des cas. En cas de rechute ou de non-efficacité, on doit élargir le traitement (immunothérapie, radiothérapie) mais le pronostic s'assombrit (seulement 10 à 20 % de guérison).
Comme pour tous les cancers, la précocité de la prise en charge est primordiale pour diminuer la mortalité.
La prise en charge de ce lymphome dans les pays pauvres est beaucoup plus limitée.
Prévention
En l'absence d'approche curative, la lutte préventive contre le virus d'Epstein-Barr (EBV) et le VIH et les pathologies qu'ils induisent est considérée comme la clé de la prévention contre le lymphome de Burkitt. Il n'existe pas encore de vaccin disponible contre l'EBV mais des essais cliniques ont lieu depuis le début des années 2000[20],[21], essentiellement ciblés contre les protéines clés de l'EBV[22], et plus récemment exploitant les technologies des vaccins à ARN[23] développées en 2020 en réponse à la pandémie de Covid-19.
Notes et références
- ↑ (en) Ferry JA, « Burkitt's lymphoma: clinicopathologic features and differential diagnosis », Oncologist, vol. 11, no 4, , p. 375–83 (PMID 16614233, DOI 10.1634/theoncologist.11-4-375, lire en ligne)
- ↑ Page dédiée et dénominations MeSH sur le CISMeF
- 1 2 3 4 (en) Molyneux EM, Rochford R, Griffin B. et al. « Burkitt's lymphoma » Lancet 2012;379(9822):1234-44.
- ↑ (en) Neri A, Barriga F, Inghirami G et al. Epstein-Barr virus infection precedes clonal expansion in Burkitt's and acquired immunodeficiency syndrome-associated lymphoma, Blood, 1991;77:1092-1095
- ↑ (en) Kamranvar SA, Gruhne B, Szeles A, Masucci MG, Epstein-Barr virus promotes genomic instability in Burkitt's lymphoma Oncogene 2007;26:5115-5123
- ↑ (en) Chene A, Donati D, Orem J et al. Endemic Burkitt's lymphoma as a polymicrobial disease: new insights on the interaction between Plasmodium falciparum and Epstein-Barr virus, Semin Cancer Biol, 2009;19:411-420
- ↑ (en) Liu D, Shimonov J, Primanneni S, Lai Y, Ahmed T, Seiter K, « t(8;14;18): a 3-way chromosome translocation in two patients with Burkitt's lymphoma/leukemia », Mol. Cancer, vol. 6, , p. 35 (PMID 17547754, DOI 10.1186/1476-4598-6-35)
- ↑ Cours de l'université de Rouen, diapositive.
- ↑ (en) Fujita S, Buziba N, Kumatori A, Senba M, Yamaguchi A, Toriyama K, « Early stage of Epstein-Barr virus lytic infection leading to the "starry sky" pattern formation in endemic Burkitt lymphoma », Arch. Pathol. Lab. Med., vol. 128, no 5, , p. 549–52 (PMID 15086279, lire en ligne)
- ↑ (en) Burkitt D, « A sarcoma involving the jaws in African children », The British journal of surgery, vol. 46, no 197, , p. 218–23 (PMID 13628987, DOI 10.1002/bjs.18004619704)
- ↑ (en) O'Connor GT, Davies JN. « Malignant tumors in African children. With special reference to malignant lymphoma » J Pediatr. 1960;56:526-35.
- ↑ (en) Epstein MA, Achong BG, Barr YM. « Virus particles in cultured lymphoblasts from Burkitt's lymphoma » Lancet 1964;1(7335):702-3.
- ↑ (en) viral cancers : EBV sur le site de l'OMS
- ↑ (en) Kafuko GW, Burkitt DP Burkitt's lymphoma and malaria, Int J Cancer, 1970;6:1-9
- ↑ Lymphome de Burkitt et lymphomes viro-associés(2006) sur un site consacré à la médecine tropicale
- ↑ Burkitt sur le dictionnaire des cancers
- ↑ (en) Turgeon, Mary Louise, Clinical hematology : theory and procedures, Hagerstown, MD, Lippincott Williams & Wilkins, , 4e éd., 570 p. (ISBN 978-0-7817-5007-3, LCCN 2004017961, lire en ligne), p. 283
« Frequency of lymphoid neoplasms. (Source: Modified from WHO Blue Book on Tumour of Hematopoietic and Lymphoid Tissues. 2001, p. 2001.) »
- ↑ (en) Bellan C, Lazzi S, De Falco G, Nyongo A, Giordano A, Leoncini L, « Burkitt's lymphoma: new insights into molecular pathogenesis », J Clin Pathol, vol. 56, no 3, , p. 188–92. (PMID 12610094, PMCID PMC1769902, DOI 10.1136/jcp.56.3.188, lire en ligne)
- ↑ (en) Nelson M, Perkins SL, Dave BJ. et al. « An increased frequency of 13q deletions detected by fluorescence in-situ hybridization and its impact on survival in children and adolescents with Burkitt lymphoma: results from the Children's Oncology Group study CCG-5961 » Br J Haematol. 2010;148:600-10.
- ↑ (en) Sokal EM, Hoppenbrouwers K, Vandermeulen C. et al., « Recombinant gp350 vaccine for infectious mononucleosis: a phase 2, randomized, double-blind, placebo-controlled trial to evaluate the safety, immunogenicity, and efficacy of an Epstein-Barr virus vaccine in healthy young adults », J. Infect. Dis., vol. 196, no 12, , p. 1749–53 (PMID 18190254, DOI 10.1086/523813, lire en ligne)
- ↑ (en) Crawford DH, Macsween KF, Higgins CD, et al., « A cohort study among university students: identification of risk factors for Epstein-Barr virus seroconversion and infectious mononucleosis », Clin. Infect. Dis., vol. 43, no 3, , p. 276–82 (PMID 16804839, DOI 10.1086/505400, lire en ligne)
- ↑ Jeffrey I. Cohen, « Vaccine development for Epstein-Barr Virus », Advances in experimental medicine and biology, vol. 1045, , p. 477–493 (ISSN 0065-2598, PMID 29896681, PMCID 6328312, DOI 10.1007/978-981-10-7230-7_22, lire en ligne, consulté le )
- ↑ « Un virus et un vaccin à ARN peuvent en cacher d'autres ! », sur Les Echos, (consulté le )
- Portail de la médecine
- Portail de l’hématologie