Lyssavirus
| Realm | Riboviria |
|---|---|
| Règne | Orthornavirae |
| Embranchement | Negarnaviricota |
| Sous-embr. | Haploviricotina |
| Classe | Monjiviricetes |
| Ordre | Mononegavirales |
| Famille | Rhabdoviridae |
Espèces de rang inférieur
- Lyssavirus aravan
- Lyssavirus australis
- Lyssavirus bokeloh
- Lyssavirus caucasicus
- Lyssavirus duvenhage
- Lyssavirus formosa
- Lyssavirus gannoruwa
- Lyssavirus hamburg
- Lyssavirus helsinki
- Lyssavirus ikoma
- Lyssavirus irkut
- Lyssavirus khujand
- Lyssavirus lagos
- Lyssavirus lleida
- Lyssavirus mokola
- Lyssavirus rabies
- Lyssavirus shimoni
Lyssavirus (du grec lyssa, « rage ») est un genre de virus de la famille des Rhabdoviridae, de l'ordre des Mononegavirales qui inclut le virus de la rage et des virus apparentés.
En 2017, ce genre compte au moins 14 membres, dont le premier sérotype connu (le seul jusqu'aux années 1950) est le virus de la rage ou RABV pour RABies Virus, responsable de la rage humaine.
Le virus RABV infecte aussi de nombreux Mammifères terrestres, le chien étant le principal vecteur de la rage humaine (98 % des cas), les autres Canidés comme le renard. Dans une moindre mesure, sont également concernés les mustélidés (la mouffette, le blaireau, la martre), les Viverridés (la mangouste, la civette, la genette) et les Procyonidés (le raton laveur).
En Amérique Latine, le virus RABV peut aussi infecter les chauves-souris hématophages, vectrices de la rage du bétail domestique.
Le virus est généralement transmis à l'homme par la morsure ou la griffure d'un animal infecté. C'est un virus neurotrope qui s'attaque à son système nerveux central et entraîne une inflammation progressive de l'encéphale et de la moelle épinière. Si l'infection n'est pas traitée, elle provoque la mort de l'hôte de manière quasi inéluctable.
Les autres espèces de Lyssavirus apparentées ont été découvertes presque toujours chez des chauves-souris insectivores ou frugivores (Europe, Asie, Afrique, Australie…). Elles ne provoquent pas, ou de façon exceptionnelle, des cas humains, mais en cas de morsure, les mesures de précaution et de prévention habituelles doivent être prises vu le caractère mortel de l'infection.
Structure
Les espèces du genre Lyssavirus sont des virus enveloppés, leur génome mesure 12 kilobases. Il est constitué d'une molécule d'ARN monocaténaire (à un seul brin), de polarité négative, non segmenté, et de forme hélicoïdale. Celle-ci est contenue dans une enveloppe ayant la forme d'un obus ou d'une balle de révolver, de 100 à 300 nanomètres de long et de 75 nanomètres de diamètre[2].
Leur génome compte cinq gènes codant cinq protéines de structure. Trois forment la nucléocapside à symétrie hélicoïdale : la nucléoprotéine N, la phosphoprotéine P et une ARN-dépendante polymérase (L). Deux forment l'enveloppe : la protéine de matrice M, et la glycoprotéine G, en association avec des lipides de la cellule-hôte.
La protéine M est localisée sur la face interne, elle forme des oligomères qui donnent une rigidité à la structure virale.
La glycoprotéine G est insérée en surface, dans la membrane lipidique, formant des spicules de 5 à 10 nanomètres de long et de 3 nanomètres de diamètre. Ces spicules portent des domaines glycosylés qui permettent l'attachement du virion aux récepteurs de la cellule-hôte[2].
La protéine G induit la production d'anticorps neutralisants qui sont la principale défense immune contre une infection à lyssavirus.
Le complexe de ribonucléoprotéines N, P, L induisent une immunité cellulaire augmentant la production d'anticorps, ainsi qu'une mémoire immunologique à long terme (immunité de plus longue durée).
L'existence de l'enveloppe explique la fragilité du virus dans le milieu extérieur. Le virus est inactivé par le soleil, les solvants, les savons et les ammoniums quaternaires.
Classification
Jusqu'aux années 1950, le virus de la rage (RABV pour RABies Virus, rage des mammifères terrestres) a été considéré comme le seul représentant de son genre Lyssavirus. La découverte de nouveaux sérotypes de Lyssavirus chez les chauves-souris a conduit à une diversification du genre[3].
En 2017, le genre Lyssavirus compte au moins 14 espèces ou génotypes basées sur l'analyse des séquences du génome viral (nucléoprotéine N). Ces génotypes forment trois phylogroupes, définis selon la distance génétique et les réactions croisées sérologiques. D'autres critères peuvent s'y ajouter, s'ils sont disponibles, comme les caractères écologiques, géographiques, pathogéniques et selon l'hôte[3].
Le nombre des cas humains de la liste ci-dessous sont à la date de 2017.
Phylogroupe I
- RABV, pour RABies Virus : virus mondial (sauf Antarctique, Australie et Océanie), rage des mammifères carnivores (chien) et des chauves souris-américaines. 59 000 cas humains par an.
- EBLV-1, pour European Bat LyssaVirus : en Europe, chez des chauves-souris insectivores, surtout chez la Sérotine. 2 cas humains connus.
- EBLV-2 : en Europe, surtout chez le Murin de Daubenton. 2 cas humains connus.
- BBLV, pour Bokeloh Bat LyssaVirus : en Europe, chez le Murin de Natterer. Pas de cas humains.
- DUVV, pour DUVenhage lyssaVirus : en Afrique, chez des chauves-souris insectivores, notamment Nycteris thebaica. 6 cas humains connus.
- ABLV, pour Australian Bat LyssaVirus : en Australie, Renard volant noir et Saccolaimus flaviventris. 3 cas humains connus.
- ARV, pour ARavan lyssaVirus : au Kirghizistan, chez le Petit murin. Pas de cas humains.
- KHUV, pour KHUjand lyssaVirus : au Tadjikistan, chez le Murin à moustaches. Pas de cas humains.
- IRKV, pour IRKut lyssaVirus : en Russie et Chine, chez Murina leucogaster. 1 cas humain connu.
Phylogroupe II
- LBV, pour Lagos Bat Virus : en Afrique, chauves souris frugivores, comme Eidolon helvum. Pas de cas humains.
- MOK, pour MOKola Virus : en Afrique, musaraignes du genre Crocidura, rongeurs et chat domestique. 2 cas humains connus.
- SHBV, pour SHimoni Bat Virus : au Kenya, chez la Phyllorhine de Commerson. Pas de cas humains.
Phylogroupe III
- WCBV, pour West Caucasian Bat lyssaVirus : au Kenya et en Russie, chez le Minioptère de Schreibers. Pas de cas humains.
- IKOV, pour IKOma lyssaVirus : en Tanzanie, chez la Civette africaine. Pas de cas humains.
Trois autres espèces au moins sont en discussion d'identification et restent à classer.
Il existe une réactivité croisée entre les lyssavirus d'un même phylogroupe. Ainsi les données expérimentales indiquent que les vaccins antirabiques disponibles sont protecteurs contre les lyssavirus du phylogroupe I, mais inefficaces contre ceux des phylogroupes II et III[4].
L'identification des virus proches du virus rabique classique RABV s'est faite presque toujours à partir de chauves-souris. Cela a mené à l'hypothèse selon laquelle tous les lyssavirus auraient une origine commune chez les chiroptères[4], à partir d'un rhabdovirus d'insecte, d'abord salivaire et non pathogène pour l'hôte, avant de devenir neurotrope[5],[6].
Pathogénie
Une infection à lyssavirus provoque, chez l'hôte sensible, une encéphalite progressive aiguë chez la plupart des mammifères. L'exposition se fait à partir de la salive d'un animal enragé, généralement par morsure avec effraction cutanée, ou par contact avec une muqueuse (bouche, œil).
Le virus très neurotrope se multiplie localement dans le tissu musculaire pour pénétrer les nerfs périphériques et par là remonter à la moelle épinière et au cerveau. Le virus rabique ne passe pas par le sang (absence de virémie)[7].
Le virus se fixe par sa glycoprotéine G qui peut s'attacher à trois types de récepteurs situés à la surface des cellules neuronales. Principalement le récepteur nicotinique de l'acétylcholine, et aussi au récepteur du NGF (Nerve Growth Factor, facteur de croissance des nerfs) et au récepteur NCAM (Neural Cell Adhesion Molecule, CD 56)[8].
Une fois fixé, le virus est internalisé dans la cellule par des vésicules endosomiques. La fusion des membranes virales et cellulaires libère les nucléocapsides dans le cytoplasme. La transcription du génome viral se fait à l'aide de la polymérase L et de la phosphoprotéine P.
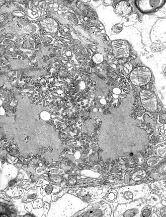
Les molécules d'ARN néosynthétisées sont encapsidées et la maturation des nouveaux virus commence. Toutes ces étapes s'effectuent dans le cytoplasme. L'accumulation des nouveaux virus dans le cytoplasme forme des amas visibles en microscopie optique : les corps de Négri. Les particules virales sont ensuite libérées à la membrane cytoplasmique.
Toujours par voie nerveuse, les virus se disséminent dans l'organisme passant dans la salive, les larmes, les muqueuses nasales et digestives, les follicules pileux et les urines[8].
Le rôle exact des différentes protéines des lyssavirus dans les mécanismes de la maladie est mal connu[9]. Les différentes manifestations de la rage restent encore inexpliquées. Par exemple, l'existence d'une forme furieuse et d'une forme paralytique de la rage n'a pas été corrélée avec une localisation cérébrale spécifique des virus rabiques [10], malgré l'hypothèse d'une atteinte spécifique de l'hippocampe pour expliquer l'agressivité[8].
Notes et références
- ↑ ICTV. International Committee on Taxonomy of Viruses. Taxonomy history. Published on the Internet https://talk.ictvonline.org/., consulté le 25 janvier 2021.
- 1 2 WHO 2018, p. 10.
- 1 2 WHO 2018, p. 11-13.
- 1 2 WHO 2018, p. 14-15.
- ↑ F. Cliquet et E. Picard-Meyer, « Rabies and rabies-related viruses: a modern perspective on an ancient disease », Revue Scientifique Et Technique (International Office of Epizootics), vol. 23, no 2, , p. 625–642 (ISSN 0253-1933, PMID 15702724, lire en ligne, consulté le )
- ↑ (en) Cécile Troupin, Laurent Dacheux, Marion Tanguy et Claude Sabeta, « Large-Scale Phylogenomic Analysis Reveals the Complex Evolutionary History of Rabies Virus in Multiple Carnivore Hosts », PLOS Pathogens, vol. 12, no 12, , e1006041 (ISSN 1553-7374, PMID 27977811, PMCID PMC5158080, DOI 10.1371/journal.ppat.1006041, lire en ligne, consulté le )
- ↑ WHO 2018, p. 44.
- 1 2 3 Jean-Marie Huraux, Traité de virologie médicale, Paris, Estem, , 699 p. (ISBN 2-84371-203-3), p. 556-557.
- ↑ WHO 2017, p. 3.
- ↑ OMS, « Vaccins antirabiques : Note de synthèse », Relevé Epidémiologique Hebdomadaire, no 16, , p. 204. (lire en ligne)
Référence biologique
- (en) ICTV : Lyssavirus (consulté le )
Bibliographie
- (en) Stanley Plotkin, Vaccines, Philadelphie, Saunders Elsevier, , 1725 p. (ISBN 978-1-4160-3611-1, lire en ligne), chap. 27 (« Rabies vaccines »), p. 687-714.
- (en) « Rabies WHO Immunological Basis », sur apps.who.int, (consulté le ).
- (en) WHO, WHO Expert Consultation on Rabies : Third Report, WHO Press, , 183 p. (ISBN 978-92-4-121021-8, lire en ligne).
.
Bibliographie indicative
- Cliquet F., Freuling C., Smreczak M., van der Poel W.H.M., Horton D., Fooks A.R., Robardet E., Picard-Meyer E. and Müller T.- Development of harmonised schemes for monitoring and reporting of rabies in animals in the European Union. Rabies Bull. Eur., 2010, 34, no 2, p. 7-8.
- ANSES Programme d’épidémiosurveillance des infections a lyssavirus chez les chiroptères – Année 2010 ;
- Picard-Meyer E., Borel C. et Cliquet F.- Découverte d’une colonie de sérotines communes infectées par le lyssavirus EBLV-1 en Moselle en 2009. Bull. Epidémiol. Santé Anim. – Alimentation, 2010, no 39, p. 4.
- Picard-Meyer, Robardet E. and Cliquet F.- Analysis of nucleotide sequences on rabies isolates received from Bulgaria. Report of the European Union Reference Laboratory for Rabies, Anses Nancy Laboratory for rabies and wildlife, 1 October 2010, 9 p.
- Robardet E. and Cliquet F.- Interlaboratory trial 2009 : Fluorescent antibody test (FAT), Rabies tissue culture infection test (RTCIT), Mouse inoculation test (MIT). Report of the European Union Reference Laboratory for Rabies, Anses Nancy Laboratory for rabies and wildlife, 28 January 2010, 49 p.
- Ponçon N., Dacheux L., Picard E., Debaere O., Bronner A., Cliquet F. et Bourhy H.- La rage en France métropolitaine : bilan de la situation actuelle. Bull. Epidémiol. Santé Anim. – Alimentation, 2010, no 39, p. 2-4.
- Robardet E. and Cliquet F.- Third european workshop for rabies and implementation of EURL website. Rabies Bull. Europe, 2010, 34, no 4, p. 8-11.
- Portail de la médecine
- Portail de la virologie