Médulloblastome
| Début habituel | Entre 5 et 9 ans |
|---|
| Pronostic | Taux de survie à cinq ans: 72.1%[1] |
|---|---|
| Spécialité | Oncologie |
| Fréquence | Environ 500 enfants diagnostiqués chaque année aux États-Unis |
|---|
| CISP-2 | N74 |
|---|---|
| ICD-O | 9470/3 et 9503/3 |
| OMIM | 155255 |
| DiseasesDB | 31105 |
| eMedicine | 341527 |
| MeSH | D008527 |
Mise en garde médicale
Le médulloblastome est un type courant de cancer primitif du cerveau chez les enfants. Elle prend naissance dans la partie du cerveau qui se trouve vers l'arrière et le bas, sur le plancher du crâne, dans le cervelet ou la fosse postérieure[2],[3].
Le cerveau est divisé en deux parties principales, le plus grand cerveau en haut et le plus petit cervelet en bas vers l'arrière. Ils sont séparés par une membrane appelée tente. Les tumeurs qui proviennent du cervelet ou de la région environnante située sous la tente sont donc appelées tumeurs infratentorielles.
Historiquement, les médulloblastomes ont été classés comme une tumeur neuroectodermique primitive (PNET), mais on sait maintenant que le médulloblastome est distinct des PNET supratentorielles et qu'ils ne sont plus considérés comme des entités similaires[4].
Les médulloblastomes sont des tumeurs invasives à croissance rapide qui, contrairement à la plupart des tumeurs cérébrales, se propagent dans le liquide céphalo-rachidien et métastasent fréquemment à différents endroits le long de la surface du cerveau et de la moelle épinière. Les métastases qui descendent jusqu'à la queue de cheval à la base de la moelle épinière sont appelées « métastases en goutte ».
Le taux de survie cumulé pour les patients de tous âges et types histologiques était de 60 % après 5 ans, 52 % après 10 ans et 47 % après 20 ans. Il est important de noter que les enfants ont un meilleur pronostic que les adultes[5].
Signes et symptômes
Les signes et symptômes sont principalement dus à une augmentation secondaire de la pression intracrânienne due au blocage du quatrième ventricule et les tumeurs sont généralement présentes pendant 1 à 5 mois avant que le diagnostic ne soit posé. L'enfant devient généralement apathique, avec des épisodes répétés de vomissements et des maux de tête matinaux, ce qui peut conduire à un diagnostic erroné de maladie gastro-intestinale ou de migraine[6]. Peu de temps après, l'enfant développera une démarche trébuchante, une ataxie tronculaire, des chutes fréquentes, une diplopie, un œdème papillaire et une paralysie du sixième nerf crânien . Le vertige positionnel et le nystagmus sont également fréquents, et une perte sensorielle faciale ou une faiblesse motrice peuvent être présentes. Les crises de décérébration apparaissent tardivement dans la maladie.
Les métastases extraneurales dans le reste du corps sont rares et, lorsqu'elles surviennent, elles surviennent dans le cadre d'une rechute, plus fréquemment avant la chimiothérapie de routine.
Pathogénèse
Les médulloblastomes se trouvent généralement à proximité du quatrième ventricule, entre le tronc cérébral et le cervelet. Les tumeurs d’apparence et de caractéristiques similaires proviennent d’autres parties du cerveau, mais elles ne sont pas identiques au médulloblastome[7].
Bien que l'on s'accorde à dire que les médulloblastomes, ces tumeurs cérébrales agressives, proviennent de cellules immatures ou embryonnaires durant les premières étapes du développement, l'identité exacte de la cellule d'origine n'est pas toujours la même. En réalité, cette origine dépend spécifiquement du sous-groupe de médulloblastome auquel la tumeur appartient. Par exemple, les médulloblastomes du sous-groupe WNT sont considérés comme prenant naissance à partir de la lèvre rhombique inférieure du tronc cérébral. À l'inverse, les tumeurs classées dans le sous-groupe SHH (pour « Sonic Hedgehog ») se développent quant à elles à partir de la couche granulaire externe du cervelet[8].
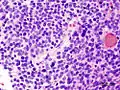
Au début du XXIe siècle, on pense que les médulloblastomes proviennent de cellules souches cérébelleuses qui n’ont pas pu se diviser et se différencier en leurs types cellulaires normaux. Ceci explique les variantes histologiques observées lors de la biopsie. Les formations de pseudorosette périvasculaire et de pseudorosette d'Homer Wright sont très caractéristiques des médulloblastomes et sont observées dans près de la moitié des cas[9]. On peut voir la rosette classique avec des cellules tumorales autour d'une lumière centrale[10].
Dans le passé, le médulloblastome était classé à l'aide de l'histologie, mais des études génomiques intégrées ont révélé que le médulloblastome est composé de quatre variantes moléculaires et cliniques distinctes appelées WNT/β-caténine, Sonic Hedgehog, Groupe 3 et Groupe 4[11]. Parmi ces sous-groupes, les patients WNT ont un excellent pronostic et les patients du groupe 3 ont un mauvais pronostic. De plus, un épissage alternatif spécifique à un sous-groupe confirme davantage l’existence de sous-groupes distincts et met en évidence l’hétérogénéité transcriptionnelle entre les sous-groupes[12]. L'amplification de la voie Sonic Hedgehog est le sous-groupe le mieux caractérisé, avec 25 % des tumeurs humaines présentant des mutations dans les gènes Patched, Sufu (« Suppressor of Fused Homolog »), Smoothened ou d'autres gènes de cette voie[13],[14]. Les médulloblastomes sont également observés dans le syndrome de Gorlin ainsi que dans le syndrome de Turcot. Des mutations récurrentes dans les gènes CTNNB1, PTCH1, MLL2, SMARCA4, DDX3X, CTDNEP1, KDM6A et TBR1 ont été identifiées chez des individus atteints de médulloblastome[15]. Les voies supplémentaires perturbées dans certains médulloblastomes comprennent les voies de signalisation MYC, Notch, BMP et TGF-β[6],[16],[17],[18],[19].
Diagnostic
La tumeur est distincte sur l'IRM pondérée en T1 et T2 avec une rehaussement hétérogène et une localisation typique adjacente et une extension dans le quatrième ventricule. Histologiquement, la tumeur est solide, de couleur rose-gris et bien circonscrite. La tumeur est très cellulaire, avec une activité mitotique élevée, peu de cytoplasme et une tendance à former des amas et des rosettes.
Le système de stadification de Chang peut être utilisé pour établir le diagnostic[20].
Le profilage de la méthylation de l'ADN du médulloblastome permet une sous-classification robuste et une meilleure prédiction des résultats à l'aide de biopsies fixées au formol[21].
Un diagnostic correct du médulloblastome peut nécessiter d’exclure une tumeur rhabdoïde tératoïde atypique[22].
- Médulloblastome cérébelleux chez un adulte.
- Médulloblastome cérébelleux chez un adulte.
Traitement
Le traitement commence par l’ablation chirurgicale maximale de la tumeur. L’ajout de radiations à l’ensemble du système nerveux et de chimiothérapie peut augmenter la survie sans maladie. Cette combinaison peut permettre une survie à 5 ans dans plus de 80 % des cas. Certaines données indiquent que l’irradiation par faisceau de protons réduit l’impact des radiations sur les zones cochléaires et cardiovasculaires et réduit les effets cognitifs tardifs de l’irradiation crânienne[23],[24].
La présence de caractéristiques desmoplasiques, comme la formation de tissu conjonctif, est associée à un meilleur pronostic. Inversement, le pronostic est moins favorable si l'enfant est âgé de moins de trois ans, si la résection chirurgicale de la tumeur est jugée insuffisante, ou si la maladie s'est propagée via le liquide céphalo-rachidien (LCR), à la moelle épinière, dans la région supratentorielle du cerveau, ou de manière systémique. Par ailleurs, la démence est une conséquence fréquente qui peut apparaître suite à la radiothérapie et la chimiothérapie, se manifestant généralement deux à quatre ans après la fin du traitement. La radiothérapie peut également entraîner d'autres effets secondaires, incluant des troubles cognitifs, des problèmes psychiatriques, un retard de croissance osseuse, une perte auditive et des perturbations endocriniennes[16].
Chimiothérapie
La chimiothérapie est souvent utilisée dans le cadre du traitement. Toutefois, les preuves de ses bénéfices ne sont pas claires en 2013[25]. Plusieurs schémas chimiothérapeutiques différents sont utilisés pour le médulloblastome ; la plupart impliquent une combinaison de lomustine, de cisplatine, de carboplatine, de vincristine ou de cyclophosphamide. Chez les patients plus jeunes (moins de 3 à 4 ans), la chimiothérapie peut retarder, voire dans certains cas éliminer, le besoin de radiothérapie. Cependant, la chimiothérapie et la radiothérapie ont souvent des effets toxiques à long terme, notamment des retards dans le développement physique et cognitif, un risque plus élevé de seconds cancers et des risques accrus de maladies cardiaques[26],[27].
Résultats
Le caryotypage basé sur un tableau de 260 médulloblastomes a donné lieu aux sous-groupes cliniques suivants en fonction des profils cytogénétiques [28] :
- Mauvais pronostic : gain de 6q ou amplification de MYC ou MYCN
- Intermédiaire : gain de 17q ou un i(17q) sans gain de 6q ou amplification de MYC ou MYCN
- Excellent pronostic : 6q et 17q équilibrés ou délétion 6q
Le profilage transcriptionnel montre l'existence de quatre sous-groupes principaux (Wnt, Shh, Groupe 3 et Groupe 4)[11].
- Très bon pronostic : groupe WNT, mutation CTNNB 1
- Bon pronostic pour les nourrissons, pronostic intermédiaire pour les autres : groupe SHH, mutation PTCH1/SMO/SUFU, amplification GLI2 ou amplification MYCN
- Mauvais pronostic : Groupe 3, amplification MYC, expression du gène photorécepteur/GABAergique
- Pronostic intermédiaire : Groupe 4, expression génétique neuronale/glutamatergique, amplification de CDK6, amplification de MYCN
Survie
Le taux de survie relative cumulé historique pour tous les groupes d’âge et le suivi histologique était de 60 %, 52 % et 47 % à 5 ans, 10 ans et 20 ans, respectivement. Les patients diagnostiqués avec un médulloblastome ou un PNET ont 50 fois plus de risques de mourir qu’un membre correspondant de la population générale. Les taux de survie relative à 5 ans basés sur la population (SEER) ont indiqué 69 % au total : 72 % chez les enfants (1 à 9 ans) et 67 % chez les adultes (20 ans et plus). Le taux de survie à 20 ans est de 51 % chez les enfants. Les enfants et les adultes ont des profils de survie différents, les adultes s’en sortent moins bien que les enfants seulement après la quatrième année après le diagnostic (après contrôle de la mortalité de fond accrue). Avant la quatrième année, les probabilités de survie sont presque identiques[5]. Les séquelles à long terme du traitement standard comprennent un dysfonctionnement hypothalamo-hypophysaire et thyroïdien ainsi qu’une déficience intellectuelle. Les déficits hormonaux et intellectuels créés par ces thérapies sont importantes chez les survivants[29].
Dans les études cliniques actuelles, les patients sont divisés en groupes à faible, standard et à haut risque :
- Selon l'étude, des taux de guérison allant jusqu'à 100 % sont atteints dans le groupe à faible risque (généralement activé par WNT)[30]. Au cours des années 2020 les efforts vont donc dans le sens d’une réduction de l’intensité de la thérapie et donc des conséquences négatives à long terme tout en confirmant les taux de guérison élevés[31].
- Dans l'étude HIT-SIOP PNET 4, à laquelle ont participé 340 enfants et adolescents du groupe à risque standard âgés de quatre à 21 ans provenant de plusieurs pays européens, le taux de survie à 5 ans était compris entre 85 % et 87 % selon la randomisation. Environ 78 % des patients sont restés sans rechute pendant 5 ans et sont donc considérés comme guéris[32]. Après une rechute, le pronostic était très sombre. Malgré un traitement intensif, seulement quatre des 66 patients étaient encore en vie 5 ans après une rechute[33].
- Une étude américaine a porté sur 161 patients âgés de trois à 21 ans présentant un profil à haut risque . Selon la randomisation, la moitié des patients ont reçu en plus du carboplatine quotidiennement pendant la radiothérapie. Le taux de survie à 5 ans des patients traités par carboplatine était de 82 %, contre 68 % pour ceux qui n'en recevaient pas[34]. L'étude européenne SIOP PNET 5 s'est poursuivie jusqu'en avril 2024, dans laquelle on tenta de confirmer les résultats prometteurs avec le carboplatine lors de l'irradiation dans le groupe à risque standard[31].
Épidémiologie
Les médulloblastomes touchent un peu moins de deux personnes par million par an et touchent les enfants 10 fois plus que les adultes[35]. Le médulloblastome est la deuxième tumeur cérébrale la plus fréquente chez les enfants après l'astrocytome pilocytique[36] et la tumeur cérébrale maligne la plus courante chez les enfants, représentant 14,5 % des tumeurs cérébrales nouvellement diagnostiquées[37]. Chez l’adulte, le médulloblastome est rare, représentant moins de 2 % des tumeurs malignes du SNC[38].
Le taux de nouveaux cas de médulloblastome infantile est plus élevé chez les hommes (62 %) que chez les femmes (38 %), une caractéristique qui n’est pas observée chez les adultes[35]. Le médulloblastome et les autres PNET sont plus fréquents chez les jeunes enfants que chez les enfants plus âgés. Environ 40 % des patients atteints de médulloblastome sont diagnostiqués avant l’âge de cinq ans, 31 % ont entre 5 et 9 ans, 18,3 % ont entre 10 et 14 ans et 12,7 % ont entre 15 et 19 ans[39].
Modèles de recherche
En utilisant le transfert de gènes du grand antigène T SV40 dans les cellules précurseurs neuronales de rats, un modèle de tumeur cérébrale a été établi. Les PNET étaient histologiquement indiscernables de leurs homologues humains et ont été utilisés pour identifier de nouveaux gènes impliqués dans la carcinogenèse des tumeurs cérébrales humaines[40]. Le modèle a été utilisé pour confirmer que p53 est l'un des gènes impliqués dans les médulloblastomes humains, mais comme seulement environ 10 % des tumeurs humaines présentaient des mutations dans ce gène, le modèle peut être utilisé pour identifier les autres partenaires de liaison de l'antigène T large SV40, autres que p53[41],[42]. Dans un modèle de souris, la fréquence élevée de médulloblastome semble être causée par la régulation négative de Cxcl3, Cxcl3 étant induit par Tis21[43]. De manière constante, le traitement avec Cxcl3 empêche complètement la croissance des lésions de médulloblastome dans un modèle murin de type Shh de médulloblastome[44]. Ainsi, CXCL3 est une cible pour le traitement du médulloblastome.
Notes et références
- ↑ « Medulloblastoma Diagnosis and Treatment », sur National Cancer Institute, (consulté le )
- ↑ (en-US) « Medulloblastoma Treatment », sur St. Jude Care & Treatment (consulté le )
- ↑ Cerebellum development and medulloblastoma, vol. 94, coll. « Current Topics in Developmental Biology », , 235–82. (ISBN 9780123809162, PMID 21295689, DOI 10.1016/B978-0-12-380916-2.00008-5), « Cerebellum »
- ↑ (en) Chris Hinz et Deneen Hesser, Focusing On Brain Tumors: Medulloblastoma, American Brain Tumor Association, (ISBN 0-944093-67-1, lire en ligne [archive du ])
- 1 2 (en) « Relative survival of childhood and adult medulloblastomas and primitive neuroectodermal tumors (PNETs) », Cancer, vol. 118, no 5, , p. 1313–22. (PMID 21837678, DOI 10.1002/cncr.26387, S2CID 8490276)
- 1 2 (en) « Medulloblastoma: tumorigenesis, current clinical paradigm, and efforts to improve risk stratification », Nature Clinical Practice. Oncology, vol. 4, no 5, , p. 295–304. (PMID 17464337, DOI 10.1038/ncponc0794, S2CID 24461280)
- ↑ (en) Packer, « Medulloblastoma », Clinical Trials and Noteworthy Treatments for Brain Tumors,
- ↑ (en) « Medulloblastoma », The Lecturio Medical Concept Library (consulté le )
- ↑ (en) Lucile E. White, Ross M. Levy et Murad Alam, Fitzpatrick's Dermatology in General Medicine, 7e, , « Ch. 127. Neoplasias and Hyperplasias of Muscular and Neural Origin »
- ↑ (en) Adams and Victor's Principles of Neurology, 9e, « Ch. 31. Intracranial Neoplasms and Paraneoplastic Disorders »
- 1 2 (en) « Molecular subgroups of medulloblastoma: the current consensus », Acta Neuropathologica, vol. 123, no 4, , p. 465–72. (PMID 22134537, PMCID 3306779, DOI 10.1007/s00401-011-0922-z)
- ↑ (en) « Subgroup-specific alternative splicing in medulloblastoma », Acta Neuropathologica, vol. 123, no 4, , p. 485–99. (PMID 22358458, PMCID 3984840, DOI 10.1007/s00401-012-0959-7)
- ↑ (en) « Medulloblastoma: developmental mechanisms out of control », Trends in Molecular Medicine, vol. 11, no 1, , p. 17–22. (PMID 15649818, DOI 10.1016/j.molmed.2004.11.008)
- ↑ (en) « Subtypes of medulloblastoma have distinct developmental origins », Nature, vol. 468, no 7327, , p. 1095–9. (PMID 21150899, PMCID 3059767, DOI 10.1038/nature09587, Bibcode 2010Natur.468.1095G)
- ↑ (en) « Dissecting the genomic complexity underlying medulloblastoma », Nature, vol. 488, no 7409, , p. 100–5. (PMID 22832583, PMCID 3662966, DOI 10.1038/nature11284, Bibcode 2012Natur.488..100J)
- 1 2 (en) « Childhood medulloblastoma: novel approaches to the classification of a heterogeneous disease », Acta Neuropathologica, vol. 120, no 3, , p. 305–16. (PMID 20652577, DOI 10.1007/s00401-010-0726-6, S2CID 29093769)
- ↑ (en) « Integrative genomic analysis of medulloblastoma identifies a molecular subgroup that drives poor clinical outcome », Journal of Clinical Oncology, vol. 29, no 11, , p. 1424–30. (PMID 21098324, PMCID 3082983, DOI 10.1200/JCO.2010.28.5148)
- ↑ (en) « Subgroup-specific structural variation across 1,000 medulloblastoma genomes », Nature, vol. 488, no 7409, , p. 49–56. (PMID 22832581, PMCID 3683624, DOI 10.1038/nature11327, Bibcode 2012Natur.488...49N)
- ↑ (en) « Development and cancer of the cerebellum », Trends in Neurosciences, vol. 34, no 3, , p. 134–42. (PMID 21315459, PMCID 3051031, DOI 10.1016/j.tins.2011.01.002)
- ↑ (en) « Medulloblastoma staging », wikidoc
- ↑ (en) « DNA methylation profiling of medulloblastoma allows robust subclassification and improved outcome prediction using formalin-fixed biopsies », Acta Neuropathol, vol. 125, no 3, , p. 359–71. (PMID 23291781, PMCID 4313078, DOI 10.1007/s00401-012-1077-2)
- ↑ (en) « Atypical teratoid/rhabdoid tumor of the central nervous system: a highly malignant tumor of infancy and childhood frequently mistaken for medulloblastoma: a Pediatric Oncology Group study », The American Journal of Surgical Pathology, vol. 22, no 9, , p. 1083–92. (PMID 9737241, DOI 10.1097/00000478-199809000-00007)
- ↑ (en) « Proton versus photon radiotherapy for common pediatric brain tumors: comparison of models of dose characteristics and their relationship to cognitive function », Pediatric Blood & Cancer, vol. 51, no 1, , p. 110–7. (PMID 18306274, DOI 10.1002/pbc.21530, S2CID 36735536)
- ↑ (en) « Estimated clinical benefit of protecting neurogenesis in the developing brain during radiation therapy for pediatric medulloblastoma », Neuro-Oncology, vol. 14, no 7, , p. 882–9. (PMID 22611031, PMCID 3379806, DOI 10.1093/neuonc/nos120)
- ↑ (en) « Chemotherapy for children with medulloblastoma », The Cochrane Database of Systematic Reviews, vol. 1, no 1, , p. CD006678 (PMID 25879092, PMCID 10651941, DOI 10.1002/14651858.CD006678.pub2)
- ↑ (en) « Pediatric medulloblastoma: toxicity of current treatment and potential role of protontherapy », Cancer Treatment Reviews, vol. 35, no 1, , p. 79–96. (PMID 18976866, DOI 10.1016/j.ctrv.2008.09.002)
- ↑ (en) « Medulloblastoma in childhood: new biological advances », The Lancet. Neurology, vol. 6, no 12, , p. 1073–85. (PMID 18031705, DOI 10.1016/S1474-4422(07)70289-2, S2CID 13013757)
- ↑ (en) « Outcome prediction in pediatric medulloblastoma based on DNA copy-number aberrations of chromosomes 6q and 17q and the MYC and MYCN loci », Journal of Clinical Oncology, vol. 27, no 10, , p. 1627–36. (PMID 19255330, DOI 10.1200/JCO.2008.17.9432, S2CID 21794571)
- ↑ (en) Packer, « Medulloblastoma » [archive du ], (consulté le )
- ↑ (en) « Identifying Low-Risk Medulloblastoma to De-escalate Therapy », Medscape (consulté le )
- 1 2 (en) Essai clinique NCT02066220 intitulé « International Society of Paediatric Oncology (SIOP) PNET 5 Medulloblastoma » sur ClinicalTrials.gov.
- ↑ (en) « Hyperfractionated versus conventional radiotherapy followed by chemotherapy in standard-risk medulloblastoma: results from the randomized multicenter HIT-SIOP PNET 4 trial », Journal of Clinical Oncology, vol. 30, no 26, , p. 3187–93. (PMID 22851561, DOI 10.1200/JCO.2011.39.8719)
- ↑ (en) « Relapse patterns and outcome after relapse in standard risk medulloblastoma: a report from the HIT-SIOP-PNET4 study », Journal of Neuro-Oncology, vol. 129, no 3, , p. 515–24. (PMID 27423645, PMCID 5020107, DOI 10.1007/s11060-016-2202-1)
- ↑ (en) « Outcome of children with metastatic medulloblastoma treated with carboplatin during craniospinal radiotherapy: a Children's Oncology Group Phase I/II study », Journal of Clinical Oncology, vol. 30, no 21, , p. 2648–53. (PMID 22665539, PMCID 4559602, DOI 10.1200/JCO.2011.40.2792)
- 1 2 (en) « The incidence of medulloblastomas and primitive neurectodermal tumours in adults and children », Journal of Clinical Neuroscience, vol. 19, no 11, , p. 1541–4. (PMID 22981874, DOI 10.1016/j.jocn.2012.04.009, S2CID 7922631)
- ↑ (en) « Chapter 7: Tumors of the Central Nervous System » [archive du ], Neuropathology, NEOMED
- ↑ (en) James G. Gurney, Malcolm A. Smith et Greta R. Bunin, Cancer Incidence and Survival among Children and Adolescents: United States SEER Program 1975–1995, Bethesda MD, National Cancer Institute, , PDF (lire en ligne), « CNS and Miscellaneous Intracranial and Intraspinal Neoplasms »
- ↑ (en) « Selected Primary Brain and Central Nervous System Tumor Age-Specific Incidence Rates » [archive du ] [PDF], Central Brain Tumor Registry of the United States, 1998–2002 (consulté le )
- ↑ (en) « Selected Childhood Primary Brain and Central Nervous System Tumor Age-Specific Incidence Rates » [archive du ] [PDF], Central Brain Tumor Registry of the United States, 1998–2002 (consulté le )
- ↑ (en) « A model for primitive neuroectodermal tumors in transgenic neural transplants harboring the SV40 large T antigen », The American Journal of Pathology, vol. 144, no 3, , p. 556–64. (PMID 8129041, PMCID 1887088)
- ↑ (en) « p53 mutations in nonastrocytic human brain tumors », Cancer Research, vol. 51, no 22, , p. 6202–5. (PMID 1933879, lire en ligne)
- ↑ (en) « From TP53 Mutations to Molecular Classification and Liquid Biopsy », Biology, vol. 12, no 2, , p. 267. (PMID 36829544, PMCID 9952923, DOI 10.3390/biology12020267)
- ↑ (en) « Tis21 knock-out enhances the frequency of medulloblastoma in Patched1 heterozygous mice by inhibiting the Cxcl3-dependent migration of cerebellar neurons », The Journal of Neuroscience, vol. 32, no 44, , p. 15547–64. (PMID 23115191, PMCID 6621585, DOI 10.1523/JNEUROSCI.0412-12.2012)
- ↑ (en) « Suppression of Medulloblastoma Lesions by Forced Migration of Preneoplastic Precursor Cells with Intracerebellar Administration of the Chemokine Cxcl3 », Frontiers in Pharmacology, vol. 7, , p. 484. (PMID 28018222, PMCID 5159413, DOI 10.3389/fphar.2016.00484)
Liens externes
- Tumeurs cérébrales et médullaires : l’espoir grâce à la recherche (Institut national des troubles neurologiques et des accidents vasculaires cérébraux)
- Images de médulloblastome Base de données d'images médicales MedPix
- Portail des neurosciences
- Portail de la médecine
- Portail de la biologie cellulaire et moléculaire
- Portail de la biologie