Mélanome de Dubreuilh
| Causes | Mélanose circonscrite de Dubreuilh (en) |
|---|
| Spécialité | Oncologie et dermatologie |
|---|
| CIM-10 | C43 |
|---|---|
| CIM-9 | M8742/3 |
| ICD-O | 8742/3 |
Mise en garde médicale
Le mélanome de Dubreuilh est un mélanome se développant à partir d'un composant lentigineux intra-épidermique latéral (in situ)[1],[2]. Il est retrouvé sur des peaux chroniquement endommagées par le soleil, comme le visage et les avant-bras des personnes âgées[3].
Selon les recommandations françaises le mélanome de Dubreuilh est dit LMM (pour Lentigo maligna melanoma) quand il est invasif et LM (pour Lentigo maligna (en)) quand il est in-situ. La dénomination LM inclut l'ancien terme de mélanose de Dubreuilh[4].
Présentation
Il s'agit généralement d'une papule ou d'un nodule surélevé pigmenté se développant sur une lésion pigmentée plane irrégulière, dans un contexte d'exposition chronique au soleil chez une personne âgée.
La phase de croissance horizontale intra épidermique dure plusieurs années puis les cellules franchissent la membrane basale et il s'ensuit une phase de croissance verticale intra dermique[5].
Il s'agit du sous-type de mélanome le plus rare avec une incidence en Europe de 5 à 12 %[6].
Diagnostic

Le mélanome de Dubreuilh n'est pas toujours de diagnostic aisé puisqu'il se développe sur des peaux aux dommages actiniques sévères et donc il peut être difficile à distinguer d'autres lésions pigmentées environnantes telles que des kératoses séborrhéiques, lentigo simplex, nævi ou encore mélanomes de type SSM. La dermoscopie ne permet également pas toujours de faire la différence.
Le diagnostic est anatomopathologique comme pour toutes les lésions cutanées pigmentées. L'idéal est une résection complète de la lésion avec une marge de 1 cm. Cependant ce type de mélanome étant souvent étendu cette résection n'est pas toujours possible dans un premier temps diagnostique. La biopsie est dans ce cas possible mais n'est pas l'examen idéal car il y a un risque important de sous-évaluer la gravité de la lésion[7].

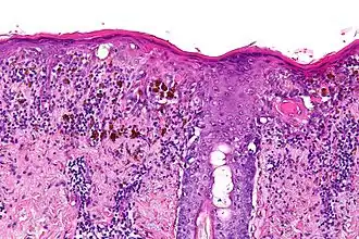
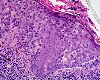
L'aspect anatomo-pathologique est pour la composante intradermique celui d'une prolifération lentigineuse longeant les annexes pilo-sébacées, dont la densité et les atypies augmentent en fonction de l'ancienneté. Des thèques et une ascension pagétoïde peuvent apparaître. Quand vient la composante dermique l'aspect est celui d'un nodule fusocellulaire avec mitoses peu nombreuses[6].
Traitement
Comme pour les autres mélanomes le traitement dépend de l’épaisseur de la composante invasive (indice de Breslow). Le traitement est identique à celui des autres mélanomes de même épaisseur et de même stade.
Références
- ↑ James, William D. et Berger, Timothy G., Andrews' Diseases of the Skin: clinical Dermatology, Saunders Elsevier, (ISBN 978-0-7216-2921-6)
- ↑ Michael Xiong, Ahmad Charifa et Chih Shan J. Chen, « Cancer, Lentigo Maligna Melanoma », StatPearls, National Center for Biotechnology Information Last Update: May 18, 2019.
- ↑ « Lentigo maligna/lentigo maligna melanoma: current state of diagnosis and treatment », Dermatol Surg, vol. 32, no 4, , p. 493–504 (PMID 16681656, DOI 10.1111/j.1524-4725.2006.32102.x)
- ↑ B. Guillot, S. Dalac, M. G. Denis et A. Dupuy, « Actualisation des recommandations de prise en charge du mélanome stades I à III », Annales de Dermatologie et de Vénéréologie, vol. 143, no 10, , p. 629–652 (ISSN 0151-9638, DOI 10.1016/j.annder.2016.07.001, lire en ligne, consulté le )
- ↑ Haute Autorité de Santé, « Stratégie de diagnostic précoce du mélanome »
[PDF], - 1 2 Janine Wechsler, Christiane Bailly, Sylvie Fraitag et Isabelle Moulonguet, Pathologie cutanée tumorale, Sauramps médical, (ISBN 979-10-303-0058-1)
- ↑ Haute Autorité de Santé, « Guide - affection Longue Durée - Mélanome cutané »
[PDF], sur Institut National du Cancer,
- Portail de la médecine