Ménisque discoïde
Le ménisque discoïde est une anomalie morphologique congénitale intéressant généralement le ménisque externe du genou. Ce dernier perd sa forme habituelle en croissant et prend un aspect épaissi pouvant aller jusqu'à une forme de disque. Généralement asymptomatique, cette malformation expose toutefois à un risque accru de lésion méniscale.
Étiologie
Le ménisque discoïde serait une anomalie d'origine congénitale[1]. Il a été suggéré mais non prouvé qu'à un certain stade de leur développement embryologique les ménisques présenteraient une forme discoïde[1]. La portion centrale régresserait ensuite, permettant à ces derniers d'acquérir leur forme définitive, ce qui ne se produirait pas dans le cas du ménisque discoïde.
Une composante génétique ou familiale est également suspectée au vu de cas rapportés de ménisque discoïde bilatéral chez de vrais jumeaux ou au sein d'une même fratrie[1].
Epidémiologie
Il s'agit d'une malformation rare touchant environ 3 % de la population[2]. La prévalence est cependant plus élevée en Asie, atteignant 13 % au Japon[1].
Cette pathologie touche de façon quasi-exclusive le ménisque latéral[2]. Cependant le ménisque médial peut être touché lui aussi avec une prévalence voisine de 0,3 %[2]. La bilatéralité est retrouvée dans 20 % des cas[1].
Description

Le ménisque normal a une forme de croissant fin. Dans le cas du ménisque discoïde il existe un épaississement du ménisque pouvant aller d'une forme en croissant épais jusqu'à une forme de disque recouvrant le plateau tibial.
La classification de Watanabe décrit trois types de ménisque discoïde selon le degré de couverture du plateau tibial et selon l'attache postérieure du ménisque : ménisque discoïde complet, incomplet et variant-ligament de Wrisberg[1],[2].
Le ménisque discoïde complet recouvre totalement le plateau tibial externe (type I)[2]. Le ménisque discoïde incomplet (type II) ne le recouvre qu'incomplètement[2]. Dans le cas du variant-ligament de Wrisberg, il n'existe pas de frein méniscal postérieur[2].
Physiopathologie
Histologiquement, il existe des différences entre un ménisque normal et un ménisque discoïde. En particulier le ménisque discoïde possède des fibres de collagène plus rares et désorganisées[1]. La dégénérescence mucoïde intra-méniscale est plus fréquente[1]. La vascularisation du ménisque est également supposée plus précaire au vu de son épaisseur augmentée[1]. L’ensemble de ces facteurs conduit à une fragilité constitutionnelle du ménisque discoïde, expliquant la susceptibilité accrue aux fissures[1].
Clinique
Le ménisque discoïde est généralement asymptomatique[1],[2]. Les manifestations cliniques sont la plupart du temps liées à la survenue de fissures méniscales. Toutefois des douleurs peuvent survenir en l’absence de fissure[1].
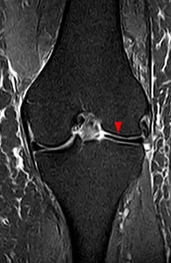
Imagerie

Le type III de la classification de Watanabe est invisible en imagerie[2]. Les types I et II se caractérisent en IRM par une augmentation de l’épaisseur du ménisque avec augmentation du nombre de coupes sagittales sur lesquelles une continuité entre corne antérieure et postérieure est visualisée[2]. Le nombre de coupes dépendant de leur épaisseur, on peut choisir comme seuil trois coupes de 5 mm[1],[2]. Dans le plan coronal, une largeur méniscale supérieure à 15 mm a été proposée comme critère diagnostique d'un ménisque discoïde[1].La radiographie conventionnelle est peu efficace, pouvant montrer un élargissement aspécifique de l’interligne articulaire tibia-fémoral[1],[2]. En cas de fissure méniscale, la sémiologie n’est pas différente de celle observée en cas de ménisque normal[2].
Traitement
Le traitement n’est justifié que si le ménisque discoïde est symptomatique[2]. L’intervention la plus communément réalisée est la résection méniscale partielle sous arthroscopie[1],[2]. Les résultats seraient meilleurs chez le sujet jeune[1].
Références
- 1 2 3 4 5 6 7 8 9 10 11 12 13 14 15 16 17 Jae-Gyoon Kim, Seung-Woo Han et Dae-Hee Lee, « Diagnosis and Treatment of Discoid Meniscus », Knee Surgery & Related Research, vol. 28, no 4, , p. 255–262 (ISSN 2234-0726, PMID 27894171, PMCID PMC5134787, DOI 10.5792/ksrr.16.050, lire en ligne, consulté le )
- 1 2 3 4 5 6 7 8 9 10 11 12 13 14 15 Nicolas Sans, Alain Blum et Julien Borne, Tarik Bouziane, Jean-Louis Brasseur, Hélène Chiavassa-Gandois, Catherine Cyteval, Olivier Fantino, Denise Galy-Fourcade, Franck Lapègue, Philippe MATHIEU, Antoine Ponsot, Gérard Richardi, Yann Thouvenin, Imagerie du sport, Elsevier Masson, , 408 p. (ISBN 978-2-294-72475-6, lire en ligne)
- Portail de la médecine
- Portail de l’anatomie