Maladie à corps de Lewy
| CIM-11 | 8A22 |
|---|---|
| CIM-10 | G31.8 |
| CIM-9 | 331.82 |
| OMIM | 127750 |
| DiseasesDB | 3800 |
| eMedicine | neuro/91 |
| MeSH | D020961 |
Mise en garde médicale
La démence à corps de Lewy (DCL) ou maladie à corps de Lewy (MCL) est un type de démence partageant des caractéristiques avec la maladie d'Alzheimer et la maladie de Parkinson. Plus précisément, ce sont la maladie d'Alzheimer et la maladie de Parkinson qui partagent des caractéristiques avec la DCL, rendant difficile le diagnostic entre ces deux dernières maladies. Un patient atteint de la maladie de Parkinson ou d'un syndrome parkinsonien peut aussi développer une DCL en parallèle (risque quatre fois plus important dans ce cas).
La DCL se manifeste par des troubles cognitifs d'évolution progressive et fluctuante, associés à des hallucinations visuelles et à un syndrome extrapyramidal.
De toutes les démences répertoriées dans le corps médical, y compris celles incluant les hallucinations rencontrées dans les délires paranoïaques ou schizophrènes, la DCL est la plus lourde et la plus sévère. Elle réunit aussi souvent les caractéristiques et manifestations de toutes les autres démences.
Elle s'accompagne aussi de nombreux troubles psychomoteurs, et comme pour la maladie de Parkinson ou les syndromes parkinsoniens, les malades sont atteints de dystonies ainsi que de dysautonomie (tachycardie, hypotension orthostatique, hypertonie musculaire, etc.). Si l'intitulé de cette maladie attire l'attention sur la démence, elle n'en est pas la seule manifestation. Cette maladie est polymorphe et recouvre un certain nombre de dysfonctionnements corporels.
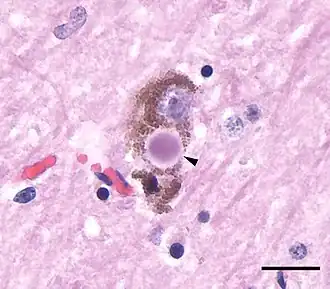
La DCL est anatomiquement caractérisée par la présence de corps de Lewy, constitués d'amas d'alpha-synucléine et d'ubiquitine, dans les neurones du cerveau. Le traitement est uniquement symptomatique.
Le terme de maladie peut être privilégié, à la fois en raison des connotations éventuellement inappropriées de l'idée de démence et parce qu'un intitulé plus général englobe de façon plus juste l'ensemble des implications.
Histoire
Frederic Lewy (1885-1950) a été le premier à découvrir les dépôts anormaux de protéines caractéristiques de cette pathologie, nommés corps de Lewy, au début des années 1910.
La première description de la DCL a été faite en 1961 à propos de deux cas clinicopathologiques de « démence progressive et quadriplégie en flexion » associée à des « inclusions circonscrites, polychromes, argyrophiles » dans le cortex cérébral (les corps de Lewy corticaux)[1].
La DCL a commencé à être diagnostiquée dans le milieu des années 1990 avec la découverte de la coloration de l'alpha-synucléine qui mettait en évidence les corps de Lewy dans le cortex des sujets autopsiés. Découverte récemment, la DCL n'était pas reconnue dans le DSM-IV de 1994 mais est répertoriée dans le DSM-IV-TR puis dans DSM-5, (Manuel diagnostique et statistique des troubles mentaux) comme un trouble neurocognitif- majeur ou léger à corps de Lewy. Les démences à corps de Lewy sont classées par l'OMS dans sa CIM-11, la Classification statistique internationale des maladies et des problèmes de santé connexes, au chapitre 06, comme troubles neurodéveloppementaux, code 6D82.
La première conférence de consensus concernant la démence à corps de Lewy date de 1996[2] ; les critères diagnostiques y ont été précisés.
Causes
Les causes de la démence à corps de Lewy (DCL) sont mal connues, mais un lien avec le gène PARK11 (en) a été décrit[3]. Comme pour la maladie de Parkinson et d’Alzheimer, la plupart des cas de DCL apparaissent sporadiquement. Il n'y a pas de raison de penser que le caractère héréditaire soit fort. Il n’existe pas de test génétique permettant de déterminer si un individu développera une DCL et, selon la Lewy Body Dementia Association[4], les tests génétiques ne sont pas systématiquement recommandés car il n’existe que de rares cas de DCL héréditaire. Comme pour la maladie d'Alzheimer, le risque de DCL est augmenté par transmission de l'allèle ε4 de l'apolipoprotéine E (APOE)[5]. D'autres gènes semblent impliqués comme le LRRK2[6], le GBA[7] ou le SNCA[8].
Le rôle des inclusions de Lewy comme cause ou conséquence de la maladie n'est pas établi. Il est des cas où la présence de ces corps n'est corrélée avec aucun symptôme[9].
.svg.png)
La démence à corps de Lewy (DCL) est caractérisée par le développement dans tout le cerveau d'inclusions cytoplasmiques de protéines alpha-synucléine, les corps de Lewy[10]. Ces inclusions sont proches des classiques corps de Lewy retrouvés en sous-cortical dans la maladie de Parkinson. On observe une perte des neurones producteurs de dopamine dans la substance noire proche de celle constatée dans la maladie de Parkinson, et une perte des neurones produisant l'acétylcholine proche de celle constatée dans la maladie d'Alzheimer. Des séries autopsiques ont montré que la DCL était souvent concomitante avec des lésions retrouvées dans la maladie d'Alzheimer, surtout avec des atteintes de l'hippocampe : plaques séniles avec dépôts de protéines bêta-amyloïdes et dégénérescences granulovacuolaires (dépôts granuleux à l'intérieur des neurones de l'hippocampe avec une zone plus claire autour). Les enchevêtrements neurofibrillaires (protéines tau anormalement phosphorylées) sont moins fréquents dans la DCL, bien que décrits. Des anomalies des astrocytes ont aussi été décrites[11],[12],[13],[14].
Il n'est pas déterminé si la DCL est une variante de la maladie d'Alzheimer ou une maladie spécifique[10],[15],[16]. Contrairement à la maladie d'Alzheimer, le cerveau examiné grossièrement peut sembler normal, sans signe visible d'atrophie[17].
Diagnostic
Clinique
Le diagnostic de la démence à corps de Lewy (DCL) s'appuie sur les recommandations de la conférence de consensus de 2017[18].
Les symptômes pouvant évoquer le diagnostic de DCL sont :
- une atteinte des fonctions cognitives associée à une perte d'autonomie ;
- ainsi qu'au moins 1 (DCL possible) à 2 (DCL probable) des symptômes suivants :
- des fluctuations du fonctionnement cognitif et de la vigilance, car même si l'involution de l'état neuropsychique est plus rapide que dans la maladie d'Alzheimer, les variations au cours de la même journée peuvent être plus fortes ;
- un syndrome extrapyramidal (souvent associé au signe de Babinski, à l'altération des réflexes) avec au moins un symptôme parmi ces trois : lenteur physique (ou akinésie), rigidité, tremblement. Les tremblements sont cependant moins fréquents que dans la maladie de Parkinson ;
- des hallucinations essentiellement visuelles (retrouvées chez 75 % des patients), parfois auditives ou encore olfactives — ce sont souvent des visions de personnes ou d'animaux, des paramnésies réduplicatives et d'autres troubles de la perception (double vision) ou de l'interprétation ; les personnes affectées peuvent considérer ces hallucinations comme normales ou au contraire les critiquer, il semble qu'il soit courant qu'elles en reconnaissent le caractère inhabituel (hallucinose)[19],[20] ;
- un syndrome de Capgras (ou délire d'illusion des sosies)[21] (plutôt rare) : la personne malade est convaincue que son aidant a été remplacé par un sosie. Elle est anxieuse face à cet intrus et s'inquiète de la santé de son aidant qui a été remplacé ;
- des troubles du comportement en sommeil paradoxal (TCSP) : le patient pourra décrire des cauchemars ou des rêves vivaces. Les proches décriront le fait que la personne a tendance à vivre ses rêves, elle peut aussi avoir parmi des réactions physiques et verbales un comportement agressif et ne plus pouvoir dormir avec son conjoint ou sa conjointe de ce fait[22] ;
- lorsque le cas se présente, une intolérance aux neuroleptiques et apparentés (antiémétiques) avec risque d'une forme de catatonie proche du syndrome malin des neuroleptiques[23] ;
- une apparition de troubles moteurs et cognitifs dans la même année ;
- un problème d'équilibre corporel, un maintien postural raide de type parkinsonien, des chutes répétées.
La DCL a un profil neuropsychologique différent de la maladie d'Alzheimer[24] :
- syndrome sous-corticofrontal avec un ralentissement intellectuel et atteinte des fonctions exécutives ;
- troubles visuospatiaux majeurs et déficience de l'attention[22] ;
- troubles mnésiques explorés par le test des 5 mots de Dubois[25] avec un rappel libre altéré (le sujet ne parvient pas à répéter les 5 mots appris précédemment de façon spontanée), mais il y a une amélioration à l'indiçage (indices sémantiques donnés au sujet, permettant de tester l’encodage mémoriel, exemple : « Quel était le nom de la boisson ? » pour le mot limonade). Ce trouble est parfois absent en début de maladie. Dans la maladie d’Alzheimer, le rappel libre est fortement altéré et n’est pas amélioré par les indices sémantiques ;
- retentissement sur l'autonomie ;
- troubles du comportement alimentaire et fluctuations de la masse corporelle dans un sens ou dans l'autre (souvent un amaigrissement), parfois précocement[26] ;
- pas de syndrome aphaso-apraxo-agnosique.
Comme l'avolition, l'apathie et l'amimie le suggèrent, il existe souvent parmi les conséquences d'ordre neuropsychiatrique une dépression caractérisée, ce qui peut s'imbriquer avec le fait que les profils anxio-dépressifs et traumatisés en amont sont plus sensibles aux démences, tout cela d'autant que l'environnement social en favorise le développement[27]. Mais chez les personnes qui n'ont jamais eu de profil dépressif, l'apparition d'un trouble atypique et tardif de l'humeur après la cinquantaine, y compris en l'absence de facteurs environnementaux précis, peut être une première alerte évocatrice du diagnostic[22]. Les hallucinations visuelles peuvent aggraver cette détresse en confrontant l'esprit à des situations effrayantes, complexes et détaillées impliquant des personnes et des animaux existants et reconnaissables, liées à des faits réels et à un passé traumatique[28].
Les troubles psychomoteurs sont globalement le critère différentiel par rapport à la maladie d'Alzheimer, en outre des problèmes physiques, extrapyramidaux et hallucinatoires qui sont exceptionnels dans celle-ci au contraire des altérations cognitives. Ils font penser à la maladie de Parkinson mais, contrairement aux troubles physiques comme la tachycardie, sont relativement mineurs et n'incluent pas souvent de tremblements, mais plutôt un maintien enraidi, un ralentissement moteur, une démarche hésitante et des chutes fréquentes, qui peuvent porter à conséquence au demeurant. La maladie de Parkinson, quant à elle, ne présente pas lorsqu'elle est isolée les mêmes conséquences sur le plan de la mémoire et des fonctions intellectuelles et de raisonnement, de planification et d'organisation dans l'espace et le temps, entre autres, quoiqu'un nombre élevé de patients développent après les troubles moteurs une démence qui relève souvent de la DCL, avec des limites floues entre les diverses maladies neurodégénératives.
Ainsi les sept grands symptômes incluent typiquement les troubles cognitifs (mémoire, raisonnement, abstraction, planification, volonté) incluant aussi la déficience évolutive de l'émission et de la réception verbales et scripturales (agraphie), moteurs (dont l'apraxie vestimentaire et les chutes par exemple), l'altération des fonctions physiques vitales comme le cœur (qui peut aussi à terme engager le pronostic vital), les fluctuations de l'état mental entre lucidité et dépendance presque totales pendant une partie importante de l'évolution de la démence, les hallucinations, les symptômes psychiatriques ou neuropsychiatriques notamment dépressifs qui sont particulièrement marqués par rapport aux autres neurodégénérescences, ainsi que les troubles du sommeil[22].

Examens complémentaires
L'α-synucléine peut être dosée dans le sang ou dans le liquide cérébrospinal. Le taux de cette molécule est significativement plus bas dans une démence à corps de Lewy que dans une maladie d'Alzheimer[29].
L'électroencéphalogramme peut montrer des anomalies, en particulier la présence d'ondes lentes, sans que cela soit discriminant[30].
Un scanner cérébral ou une imagerie par résonance magnétique doit être effectué dans le cadre du bilan d'une démence, mais ne montre pas d'anomalie spécifique chez un individu atteint d'une DCL.
La tomographie par émission de positons ou la tomographie d'émission monophotonique démontre un hypométabolisme occipital discriminant par rapport à la maladie d'Alzheimer[31].
La scintigraphie à la 123I-métaiodobenzylguanidine montre une diminution du captage du traceur au niveau cardiaque, laquelle n'est pas retrouvée dans la maladie d'Alzheimer[32].
La tomographie d'émission monophotonique utilisant du 123I-FP-CIT comme traceur peut montrer également une hypofixation de ce dernier[33].
Diagnostic différentiel
La démence à corps de Lewy regroupe des aspects cliniques de la maladie d'Alzheimer et de la maladie de Parkinson tout en étant plus proche de cette dernière[10]. Le diagnostic est difficile et la maladie est très souvent confondue avec cette dernière[34].
Alors que la maladie d'Alzheimer apparaît en général de façon graduelle, la DCL a tendance à progresser plus rapidement[35].
La DCL doit être distinguée de certaines formes démentielles qui apparaissent dans la maladie de Parkinson par le délai d'apparition de la démence après les symptômes extrapyramidaux[36]. La maladie de Parkinson avec démence apparaît la plupart du temps après plus d'un an d'évolution du syndrome extrapyramidal, alors qu'un diagnostic de DCL peut être envisagé lorsque les troubles cognitifs apparaissent en même temps que le syndrome extrapyramidal.
Elle doit également être distinguée de l'atrophie corticale postérieure (ou syndrome de Benson). La démence à corps de Lewy[37] et le syndrome de Benson[38] partagent comme caractéristique commune de comporter des troubles de nature postérieure et notamment visuelle (agnosie visuelle associative, apraxies diverses en stade avancé, etc.). En revanche, des deux maladies, seule la démence à corps de Lewy est susceptible d'engendrer un syndrome extrapyramidal, une atteinte exécutive (cognitive et comportementale), une atteinte de la mémoire antérograde (ici principalement par déficit de la récupération sans atteinte de l'encodage) ou encore des hallucinations. De plus, l'anosognosie et l'anosodiaphorie semblent plus spécifiques de la démence à corps de Lewy, ce qui signifie que la personne semble indifférente à l'existence de sa maladie (le terme anosodiaphorie se rapporte spécifiquement aux lésions cérébrales).
Traitement
La prise en charge a fait l'objet de la publication de recommandations par un consortium international en 2005[39].
Il n'existe pas à l'heure actuelle de traitement curatif de la DCL. Les traitements disponibles permettent une prise en charge symptomatique de faible efficacité.
Prise en charge médicamenteuse
Le traitement spécifique des troubles moteurs par de la L-Dopa a des résultats modestes sur la rigidité parkinsonienne et peut aggraver les troubles psychiques (hallucinations, agitation...)[40].
Concernant les troubles cognitifs, l'effondrement des taux d'acétylcholine corticaux peut suggérer une efficacité des anticholinestérasiques. Le donépézil, la rivastigmine et la galantamine peuvent être recommandés[35]. Des études rapportent que la DCL serait plus réceptive au donépézil que la maladie d'Alzheimer[41]. La mémantine peut également être utile[42].
Une prudence extrême est de rigueur quant à l'utilisation de neuroleptiques, mal tolérés dans le contexte de cette pathologie. En cas de troubles psychotiques majeurs, la clozapine peut être utilisée[43].
Il est également conseillé de s'assurer de l'absence d'iatrogénie médicamenteuse pouvant aggraver les symptômes (en particulier avec les traitements ayant une action anticholinergique).
Prise en charge non médicamenteuse
Un bilan et une rééducation orthophoniques sont fortement conseillés pour intervenir sur les troubles de la déglutition, et sur les troubles cognitifs (concentration et attention soutenue, traitement de l'information, difficultés de langage oral et écrit, difficultés mnésiques, planification de tâches, etc.).
L'intervention d'ergothérapeutes est conseillée. Ils agissent en intervenant sur l'environnement, l'habitat, organisent un programme avec des activités et des échanges pour s'adapter aux diminutions des capacités cognitives et aux symptômes parkinsoniens[19]. Au cours de l'évolution de la maladie, il faut insister sur l'importance de la stimulation cognitive, de la kinésithérapie et des thérapies comportementales. Il faut sans cesse s'assurer de l'absence d'iatropathologie (effets indésirables dus à la prise de médicaments) et lutter contre tout facteur pouvant entraîner une confusion ou perturber le comportement (fécalome, rétention d'urine, infection). L'information aux familles et aux proches est essentielle pour que tous comprennent la maladie et que l'accompagnement du patient se déroule le plus sereinement possible.
Épidémiologie et pronostic
Environ 5 % à 22 % des troubles neurocognitifs importants (appelées aussi démences) sont de type à corps de Lewy[18]. La DCL est légèrement plus fréquente chez les femmes que chez les hommes : ainsi dans une étude française sur plus de 10 000 patients atteints de DCL, 54,7 % étaient des femmes[44]. D'autres études suggèrent que plus d'hommes seraient touchés, du moins diagnostiqués[45].
En France, 150 000 à 250 000 personnes seraient atteintes par cette maladie dont 67 % qui ne sont pas diagnostiquées[46]. La démence à corps de Lewy atteint 1,3 million de personnes aux États-Unis.
Les études ne sont pas consensuelles à ce sujet et avancent une fourchette d'environ deux à vingt ans en fonction notamment de l'âge, cependant la personne vivrait en moyenne six à douze ans après l'apparition des symptômes[47].
Aidants et malades à corps de Lewy
La démence à corps de Lewy étant une maladie neurodégénérative qui atteint le physique et le psychisme du malade, c'est, selon une aidante, « une maladie dévastatrice tant pour le malade que pour son aidant et dont personne ne sort indemne »[48].
En conclusion de son témoignage, cette épouse d'un malade rapporte qu'en dépit de ses doutes une certitude lui reste de son expérience de la démence à corps de Lewy, qu'elle confie à d'autres aidants au sein de l'association dont elle fait partie : « Derrière l’être étrange que deviendra le malade avec l’évolution de sa maladie (corps martyrisé, déformé, fonctions vitales non maîtrisées, parole inexistante), son esprit, ses sentiments, sa compassion pour vous, l’aidant, resteront toujours présents en lui ; tout au long des jours il ne fera que s’absenter de lui-même »[48].
L'Association des aidants et malades à corps de Lewy (A2MCL) est à même de constater que les malades, dans leur très grande, majorité, vivent à la maison (88 %), quelques-uns étant dans des EHPAD (8 %) ou à l'hôpital (4 %)[49]. « Les malades au sujet desquels on nous contacte sont majoritairement des hommes », est-il précisé[49].
Références dans la culture populaire
Télévision et cinéma
- Le personnage principal Tom Kane joué par Kelsey Grammer, maire de Chicago dans la série télévisée Boss, souffre d'une DCL au stade précoce.
- Dans la série japonaise Ghost Hound, le psychiatre Atsushi Hirata envoie un courriel avec des numérisations de son IRM cérébrale à son collègue neurologue Reika Ōtori, qui diagnostique une DCL.
- Le comédien Robin Williams en était atteint, ce qui a pu contribuer à son suicide[50].
Personnalités atteintes de la démence à corps de Lewy
Voir aussi
Bibliographie
- Collectif, Topique, 2020/3 (n° 150), « Vivre la relation d'aide », L'Esprit du temps, [lire en ligne]
- Philippe de Linares, « L’expérience de la maladie à corps de Lewy », Topique, vol. 150, no. 3, 2020, p. 27-31, [lire en ligne].
- Marie-Suzanne, « Découvrir la maladie à corps de Lewy (MCL) », Topique, vol. 150, no. 3, 2020, p. 33-35, [lire en ligne].
- Association des aidants et malades à corps de Lewy (A2MCL), « Qui nous contacte et pourquoi ? », Topique, vol. 150, no. 3, 2020, p. 37-42, [lire en ligne].
- Michèle Grosclaude,
- Le Statut de l'affect dans la psychothérapie des démences. Psychothérapie des démences, Montrouge, John Libbey Eurotext, 1997.
- « Les déments parlent donc ? », Gérontologie et société, vol. vol. 26 / 106, no. 3, 2003, p. 129-145 [lire en ligne].
- « Entendre le sujet dans la démence », Topique, vol. 150, no. 3, 2020, p. 97-104 [lire en ligne].
- Richard Uhl, « démence », dans Alain de Mijolla (dir.), Dictionnaire international de la psychanalyse 1. A/L., Paris, Hachette Littératures, , p. 441-442.
Liens externes
- (fr) Association des Aidants et Malades à Corps de Lewy
- (fr)Association Alzheimer Suisse sur la LCM
- (fr) Brochure d'informations sur la MCL de Association Alzheimer Suisse
- (fr)Société Alzheimer Canada:
- (fr) Brochure de la Société Alzheimer Canada
- (en) « Lewy Body Dementia Association »
- (en) « The Lewy Body Society »
Notes et références
- (en) Cet article est partiellement ou en totalité issu de l’article de Wikipédia en anglais intitulé « Dementia with Lewy bodies » (voir la liste des auteurs).
Notes
Références
- ↑ (en) H. Okazaki, L.E. Lipkin et S.M. Aronson, « Diffuse intracytoplasmic inclusions (Lewy type) associated with progressive dementia and quadriparesis in flexion », Journal Neuropathology and Experimental Neurology, no 20, , p. 237-244
- ↑ (en) IG McKeith, D. Galasko, K. Kosaka, E.K. Perry, D.W. Dickson, L.A. Hansen et al., « Consensus guidelines for the clinical and pathologic diagnosis of dementia with Lewy bodies (DLB) : report of the consortium on DLB international workshop », Neurology, vol. 47, , p. 1113–1124
- ↑ (en) V. Bogaerts, S. Engelborghs, S. Kumar-Singh et al., « A novel locus for dementia with Lewy bodies : a clinically and genetically heterogeneous disorder », Brain, vol. 130, no 9, , p. 2277–2291 (PMID 17681982, DOI 10.1093/brain/awm167, lire en ligne)
- ↑ https://en.m.wikipedia.org/wiki/Lewy_Body_Dementia_AssociationLa "Lewy Body Dementia Association" est une association nord-américaine d'aide aux patients https://www.lbda.org/
- ↑ (en) Howard A. Crystal, « Dementia with Lewy Bodies », E-Medicine from WebMD, (lire en ligne)
- ↑ (en) Hyun CH, Yoon CY, Lee HJ, Lee SJ, « LRRK2 as a potential genetic modifier of synucleinopathies: interlacing the two major genetic factors of Parkinson's disease », Exp Neurobiol, vol. 22, no 4, , p. 249–57. (PMID 24465140, PMCID PMC3897686, lire en ligne)
- ↑ (en) Nalls MA, Duran R, Lopez G et al., « A multicenter study of glucocerebrosidase mutations in dementia with Lewy bodies », JAMA Neurol, vol. 70, no 6., , p. 727–35 (PMID 23588557, lire en ligne)
- ↑ (en) Bras J, Guerreiro R, Darwent L, Hardy J et al., « Genetic analysis implicates APOE, SNCA and suggests lysosomal dysfunction in the etiology of dementia with Lewy bodies », Hum Mol Genet, vol. 23, no 23, , p. 6139–46. (PMID 24973356, PMCID PMC4222357, DOI 10.1093/hmg/ddu334, lire en ligne)
- ↑ (en) Parkkinen L, Pirttilä T, Alafuzoff I, « Applicability of current staging/categorization of alpha-synuclein pathology and their clinical relevance », Acta Neuropathol, vol. 115, no 4, , p. 399–407. (PMID 18297293, PMCID PMC2270355, DOI 10.1007/s00401-008-0346-6, lire en ligne)
- 1 2 3 (en) Jay A. Van Gerpen, « New Trends in Lewy Body Dementia, from "The Many Faces of Lewy Body Dementia" series at Coral Springs Medical Center, FL », YouTube, [vidéo]
- ↑ (en) N. Hishikawa, Y. Hashizume, M. Yoshida, J. Niwa, F. Tanaka et G. Sobue, « Tuft-shaped astrocytes in Lewy body disease », Acta Neuropathol., vol. 109, no 4, , p. 373-380 (PMID 15668789)
- ↑ (en) E. Iseki, T. Togo, K. Suzuki, O. Katsuse, W. Marui, R. de Silva, A. Lees, T. Yamamoto et K. Kosaka, « Dementia with Lewy bodies from the perspective of tauopathy », Acta Neuropathol., vol. 105, no 3, , p. 265–270 (PMID 12557014, DOI 10.1007/s00401-002-0644-3)
- ↑ (en) Marla Gearing, Michael Lynn et Suzanne S. Mirra, « Neurofibrillary Pathology in Alzheimer Disease With Lewy Bodies », Archives of Neurology, vol. 56, no 2, (lire en ligne)
- ↑ (en) Hiroshige Fujishiro, Tanis J. Ferman, Bradley F. Boeve, Glenn E. Smith, Neill R. Graff-Radford, Ryan J. Uitti, Zbigniew K. Wszolek, David S. Knopman et Ronald C. Petersen, « Validation of the neuropathologic criteria of the third consortium for dementia with Lewy bodies for prospectively diagnosed cases », J Neuropathol Exp Neurol., vol. 67, no 7, , p. 649–656 (PMID 18596548, PMCID 2745052, DOI 10.1097/NEN.0b013e31817d7a1d, lire en ligne)
- ↑ (en) H Uchikado, WL Lin, MW Delucia et DW Dickson, « Alzheimer disease with amygdala Lewy bodies : a distinct form of alpha-synucleinopathy », Journal of neuropathology and experimental neurology, vol. 65, no 7, , p. 685–697 (PMID 16825955, DOI 10.1097/01.jnen.0000225908.90052.07)
- ↑ (en) P. T. Kotzbauer, J. Q. Trojanowsk et V. M. Lee, « Lewy body pathology in Alzheimer's disease », Journal of molecular neuroscience, vol. 17, no 2, , p. 225–232 (PMID 11816795, DOI 10.1385/JMN:17:2:225)
- ↑ (en) S. Love, « Neuropathological investigation of dementia : a guide for neurologists », J Neurol Neurosurg Psychiatry, vol. 76, no 5, (DOI 10.1136/jnnp.2005.080754, lire en ligne)
- 1 2 Ian G. McKeith, Bradley F. Boeve, Dennis W. Dickson et Glenda Halliday, « Diagnosis and management of dementia with Lewy bodies: Fourth consensus report of the DLB Consortium », Neurology, vol. 89, no 1, , p. 88–100 (ISSN 1526-632X, PMID 28592453, PMCID 5496518, DOI 10.1212/WNL.0000000000004058, lire en ligne, consulté le )
- 1 2 (en) [vidéo] « Tanis J. Ferman (2007) Behavioral Challenges in Dementia with Lewy Bodies, from "The Many Faces of Lewy Body Dementia" series at Coral Springs Medical Center, FL », sur YouTube
- ↑ Frédéric Blanc et Marc Verny, « Prodromal stage of disease (dementia) with Lewy bodies, how to diagnose in practice? », Geriatrie Et Psychologie Neuropsychiatrie Du Vieillissement, vol. 15, no 2, , p. 196–204 (ISSN 2115-7863, PMID 28625940, DOI 10.1684/pnv.2017.0675)
- ↑ Amélie Wallyn, « Syndrome de Capgras : quand l'aidant est remplacé par un sosie malveillant. », sur Autonome à Domicile, (consulté le )
- 1 2 3 4 Fondation Vaincre Alzheimer, « Symptômes de la maladie à corps de Lewy : les 7 principaux. », sur Fondation Vaincre Alzheimer, (consulté le )
- ↑ (en) Graham Lennox, « Dementia with Lewy Bodies », sur Nottingham Medical School
- ↑ (en) Simard M, van Reekum R, Cohen T., « A review of the cognitive and behavioral symptoms in dementia with Lewy bodies », J Neuropsychiatry Clin Neurosci, vol. 12, no 4, , p. 425-50. (PMID 11083160, DOI 10.1176/jnp.12.4.425, lire en ligne)
- ↑ B. Dubois, « “Les 5 mots”, épreuve simple et sensible pour le diagnostic de la maladie d’Alzheimer », La Presse Médicale,
- ↑ « Démence à corps de Lewy: reconnaître la maladie et aider son proche », sur Autonome à domicile
- ↑ « La maladie à corps de Lewy », sur France Alzheimer (consulté le )
- ↑ « Démence à corps de Lewy et démence de la maladie de Parkinson - Troubles du cerveau, de la moelle épinière et des nerfs », sur Manuels MSD pour le grand public (consulté le )
- ↑ (en) Lim X, Yeo JM, Green A, Pal S, « The diagnostic utility of cerebrospinal fluid alpha-synuclein analysis in dementia with Lewy bodies—a systematic review and meta-analysis », Parkinsonism Relat Disord, vol. 19, no 10, , p. 851–8. (PMID 23886935, lire en ligne)
- ↑ (en) Micanovic C et Pal S, « The diagnostic utility of EEG in early-onset dementia: a systematic review of the literature with narrative analysis », J Neural Transm, vol. 121, no 1, , p. 59–69. (PMID 23900731, DOI 10.1007/s00702-013-1070-5, lire en ligne)
- ↑ Minoshima S, Foster NL, Sima AAF, Frey KA, Albin RL, Kuhl DE, « Alzheimer's disease versus dementia with Lewy bodies: cerebral metabolic distinction with autopsy confirmation », Ann Neurol, vol. 50, no 3, , p. 358–65. (PMID 11558792, DOI 10.1002/ana.1133, résumé)
- ↑ (en) King AE, Mintz J, Royall DR, « Meta-analysis of 123I-MIBG cardiac scintigraphy for the diagnosis of Lewy body-related disorders », Mov Disord, vol. 26, no 7, , p. 1218–24. (PMID 21480373, résumé)
- ↑ (en) Papathanasiou ND, Boutsiadis A, Dickson J, Bomanji JB, « Diagnostic accuracy of 123I-FP-CIT (DaTSCAN) in dementia with Lewy bodies: a meta-analysis of published studies », Parkinsonism Relat Disord, vol. 18, no 3, , p. 225–9. (PMID 21975260, DOI 10.1016/j.parkreldis.2011.09.015, lire en ligne)
- ↑ Walker Z, Possin KL, Boeve BF, Aarsland D, Lewy body dementias, Lancet, 2015;386:1683–1697
- 1 2 (en) « Dementia with Lewy Bodies », sur Alzheimer Scotland, action on dementia
- ↑ (en) Daniel Weintraub et Howard I. Hurtig, « Presentation and Management of Psychosis in Parkinson's Disease and Dementia with Lewy Bodies », American Journal of Psychiatry, vol. 164, no 10, , p. 1491–1498 (PMID 17898337, PMCID 2137166, DOI 10.1176/appi.ajp.2007.07040715, lire en ligne)
- ↑ (en) Ian G. McKeith, Bradley F. Boeve, Dennis W. Dickson et Glenda Halliday, « Diagnosis and management of dementia with Lewy bodies: Fourth consensus report of the DLB Consortium », Neurology, vol. 89, no 1, , p. 88–100 (ISSN 0028-3878 et 1526-632X, PMID 28592453, PMCID PMC5496518, DOI 10.1212/WNL.0000000000004058, lire en ligne, consulté le )
- ↑ (en) Sebastian J. Crutch, Jonathan M. Schott, Gil D. Rabinovici et Melissa Murray, « Consensus classification of posterior cortical atrophy », Alzheimer's & Dementia, vol. 13, no 8, , p. 870–884 (ISSN 1552-5260 et 1552-5279, PMID 28259709, PMCID PMC5788455, DOI 10.1016/j.jalz.2017.01.014, lire en ligne, consulté le )
- ↑ (en) I. G. McKeith, D. W. Dickson, J. Lowe, M. Emre, J. T. O'Brien, H. Feldman et al., « Diagnosis and management of dementia with Lewy bodies : third report of the DLB Consortium », Neurology, vol. 65, no 12, , p. 1863-1872 (PMID 16237129)
- ↑ (en) McKeith IG. « Dementia with Lewy bodies » Br J Psychiatry 2002 Feb;180:144-7.
- ↑ (en) Doug Neef et Anne D. Walling, « Dementia with Lewy Bodies : an Emerging Disease », American Family Physician, vol. 73, no 7, , p. 1223–1229 (PMID 16623209, lire en ligne, consulté le )
- ↑ (en) D. Aarsland, C. Ballard, Z. Walker, F. Bostrom, G. Alves, K. Kossakowski, I. Leroi, F. Pozo-Rodriguez et L. Minthon, « Memantine in patients with Parkinson's disease dementia or dementia with Lewy bodies : a double-blind, placebo-controlled, multicentre trial », Lancet neurology, vol. 8, no 7, , p. 613–618 (PMID 19520613, DOI 10.1016/S1474-4422(09)70146-2)
- ↑ (en) Cummings JL, Street J, Masterman D, Clark WS. « Efficacy of olanzapine in the treatment of psychosis in dementia with lewy bodies » Dement Geriatr Cogn Disord. 2002;13(2):67-73.
- ↑ A. Mouton, F. Blanc, A. Gros et V. Manera, « Sex ratio in dementia with Lewy bodies balanced between Alzheimer's disease and Parkinson's disease dementia: a cross-sectional study », Alzheimer's Research & Therapy, vol. 10, no 1, 09 12, 2018, p. 92 (ISSN 1758-9193, PMID 30208961, PMCID 6136211, DOI 10.1186/s13195-018-0417-4, lire en ligne, consulté le )
- ↑ « Démence à corps de Lewy : Définition et prise en charge | Cap Retraite », sur www.capretraite.fr (consulté le )
- ↑ « La maladie à corps de Lewy », sur France Alzheimer (consulté le )
- ↑ « santiane », sur www.santiane.fr (consulté le )
- 1 2 Marie-Suzanne, « Découvrir la maladie à corps de Lewy (MCL) », Topique, vol. 150, no. 3, 2020, p. 33-35, [lire en ligne].
- 1 2 Association des aidants et malades à corps de Lewy (A2MCL), « Qui nous contacte et pourquoi ? », Topique, vol. 150, no. 3, 2020, p. 37-42, [lire en ligne].
- ↑ Kara W, It Was Not Depression That Killed Robin': Susan Williams Opens up to PEOPLE About Husband's Battle with Lewy Body Dementia, People, 11 mars 2015
- ↑ Steven H. Silver (en), « Obituary: Gene DeWeese », SF Site,
- ↑ Emilie Geffray, « Atteinte de la maladie de Parkinson, Catherine Laborde se confie dans Sept à huit », Le Figaro, (lire en ligne) « En plus de la maladie de Parkinson, Catherine Laborde est atteinte de démence à corps de Lewy. « C’est un mélange de « Prakinson » [l’ancienne animatrice refuse de nommer correctement le trouble, ndr] et d’Alzheimer », a-t-elle souligné avant d’ajouter: « J’imagine quelquefois avoir un aquarium sur la tête avec des poissons rouges qui tournent sans cesse ». »
- ↑ Cédric Bélanger, « Pierre Lalonde souffrait aussi de la démence à corps de Lewy », sur Le Journal de Montréal, (consulté le ).
- ↑ Philippe Papineau - avec La Presse canadienne, « L'idole d'une génération s'éteint », sur Le Devoir, (consulté le ).
- ↑ Demetrios J. Sahlas, « Dementia With Lewy Bodies and the Neurobehavioral Decline of Mervyn Peake », Arch. Neurol., vol. 60, no 6, , p. 889 (PMID 12810496, DOI 10.1001/archneur.60.6.889, lire en ligne)
- ↑ (en-US) Benjamin Wood, « Utah doctor: Diagnosing Parkinson's, Lewy body dementia has improved, but cure remains out of reach », The Salt Lake Tribune (consulté le )
- ↑ (en) Rebecca Robbins, « How Lewy Body Dementia Gripped Robin Williams: Hit by a vicious case, the actor said he wanted to “reboot” his brain », Scientific American « Neurological health », (lire en ligne) « In the months before his death, Robin Williams was besieged by paranoia and so confused he couldn’t remember his lines while filming a movie, as his brain was ambushed by what doctors later identified as an unusually severe case of Lewy body dementia. »
- ↑ Kendall Fisher (trad. David Kerlogot), « Robin Williams souffrait en secret de la démence à corps de Lewy : comprendre la maladie qui l'a mené au suicide » [« Robin Williams Secretly Suffered From Lewy Body Dementia: Understanding the Disease and How It Eventually Led to His Death »], E! Online (en), (lire en ligne)
- ↑ (en-US) Rhett Bartlett,Ryan Parker et Rhett Bartlett, « Ron Cobb, Designer of the ‘Alien’ Ship and the ‘Back to the Future’ DeLorean, Dies at 83 », sur The Hollywood Reporter, (consulté le )
- ↑ Antoine Couder, Jacques Higelin : Devenir autre, Bègles, Le Castor astral, , 320 p. (ISBN 979-1027802531), Chapitre : Queue de paon
- Portail de la médecine
- Portail de la psychologie