Maladie d'Osgood-Schlatter
| Spécialité | Rhumatologie et orthopédie |
|---|
| CIM-10 | M92.5 |
|---|---|
| CIM-9 | 732.4 |
| DiseasesDB | 9299 |
| MedlinePlus | 001258 |
| eMedicine |
827380 orthoped/426radio/491sports/89 |
| Patient UK | Osgood-schlatter-disease |
Mise en garde médicale
La maladie d'Osgood-Schlatter est une affection du genou ; c'est une apophysose aussi appelée « ostéochondrose tibiale antérieure » puisqu'il s'agit d'une souffrance de l’insertion basse du tendon rotulien au niveau de la tubérosité tibiale antérieure. La douleur résulte de microtraumatismes répétés exercés sur le tissu cartilagineux de croissance de la tubérosité tibiale antérieure par l'intermédiaire du ligament rotulien. Elle touche principalement l'enfant sportif, et se manifeste par une douleur de la face antérieure du genou. La maladie a été décrite en 1903 par les Drs Osgood et Schlatter, chacun de leur côté.
Épidémiologie
La maladie d'Osgood-Schlatter est une cause banale de douleur du genou chez le grand enfant et l'adolescent sportif. Elle affecte essentiellement les jeunes garçons sportif entre 12 et 15 ans[1],[2] Elle toucherait près de 20 % des enfants sportifs. Elle serait bilatérale dans un tiers des cas[3].
Diagnostic

L'examen clinique suffit à assurer le diagnostic. Initialement l'enfant présente une boiterie après le sport. Puis la douleur peut s'intensifier et devenir permanente, présente même au repos. La douleur siège à la face antérieure du genou, au niveau de la tubérosité tibiale antérieure (TTA). À la palpation, celle-ci est tuméfiée, sensible voire douloureuse. Le genou lui-même, ainsi que la rotule, sont indolores[2].
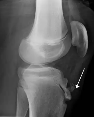
Une radiographie n'est pas nécessaire notamment lorsque le tableau clinique est évocateur et que les douleurs sont bilatérales. Elle peut être utile pour éliminer une autre pathologie si les douleurs sont unilatérales, atypiques ou rebelles au traitement. Initialement on retrouve un soulèvement de la tubérosité tibiale antérieure avec élargissement de son cartilage de croissance ; dans les stades plus évolués, la TTA est fragmentée et on peut voir parfois des calcifications dans le ligament rotulien[2].
Évolution
La maladie d'Osgood-Schlatter est bénigne et évolue généralement sans séquelle après l'arrêt de l'activité sportive dans plus de 90 % des cas[1]. Si le repos sportif est respecté, la guérison se fait habituellement en quelques mois[2], mais peut durer un ou deux ans, voire jusqu'à la fin de la puberté[4].
Parfois des complications sont possibles, avec persistance de l'impotence douloureuse ou complications orthopédiques telles que pseudarthrose ou migration d'un fragment de la tubérosité[1].
Parfois, des séquelles peuvent persister jusqu'à l'âge adulte, telles que des douleurs dues aux calcifications intratendineuses, ou une tuméfaction de la TTA persistante pouvant gêner lors de l'agenouillement ou d'activité physique[2].
Traitement
Aussitôt le diagnostic fait, l'arrêt complet de l'activité physique s'impose : prolonger le sport en dépit de la douleur peut nettement aggraver la situation et, dans tous les cas, augmente la durée nécessaire à la disparition de l'affection et de la douleur.
La douleur étant le signe de la persistance du problème, il est important de s'y fier. Il convient, même après disparition de toute douleur, d'être prudent dans la reprise de l'activité sportive et cela tant que la croissance n'est pas achevée ; il faut aussi interrompre l'activité dès la réapparition éventuelle de la douleur. Lors de la reprise d'activité, il faut insister sur l'échauffement et les étirements[2].
Si l'affection porte habituellement sur un seul genou, l'autre peut être touché même quand le premier est rétabli.
Il n'y a aucun traitement médicamenteux spécifique. Des anti-inflammatoires et des antalgiques sont parfois prescrits, mais ils ne doivent pas être pris pour pouvoir continuer le sport[2] car ils masqueraient la douleur qui est un signe d'alerte nécessaire.
Lorsqu'il existe à l'examen une rétraction du muscle droit de la cuisse, de la kinésithérapie peut être prescrite afin d'étirer ce muscle[2].
Lorsque l'on constate un pied plat ou un pied valgus, des semelles sur mesure faites par un podologue peuvent être prescrites pour limiter les tensions que le tendon sous-rotulien exerce au niveau de la tubérosité tibiale antérieure (TTA).
Lorsque le repos sportif n'est pas suffisant, une immobilisation par orthèse ou résine cruro-malléolaire[1] peut être requise afin de limiter les efforts du tendon rotulien sur la TTA et de soulager rapidement les douleurs[2].
L'arrachement et le déplacement de la tubérosité tibiale peuvent parfois nécessiter une fixation chirurgicale[2].
Dans des cas rares, un traitement chirurgical peut être envisagé pour éliminer les séquelles de cette maladie à l'âge adulte[5].
Le traitement par onde de choc extracorporelle des cas récalcitrants est à l'étude[6].
Galerie
IRM d'un Osgood-Schlatter- Radiographie d'un Osgood-Schlatter
Voir aussi
Articles connexes
Notes et références
- 1 2 3 4 Léonard et al. « Complications de la maladie d'Osgood-Schlatter: les pièges d'une maladie réputée banale » Science & sports 1995, vol. 10, no 2, p. 95-101 Résumé
- 1 2 3 4 5 6 7 8 9 10 H. Carlioz et R. Seringe, Orthopédie du nouveau-né à l'adolescent, Issy-les-Moulineaux, Elsevier Masson, , 217 p. (ISBN 2-294-01843-5, lire en ligne), « Les boiteries »
- ↑ (en) Weiler R, Ingram M, Wolman R, « Osgood-Schlatter disease » BMJ 2011;343 DOI 10.1136/bmj.d4534
- ↑ (en) Gholve PA, Scher DM, Khakharia S, Widmann RF, Green DW, « Osgood Schlatter syndrome » Curr Opin Pediatr. 2007;19:44-50.
- ↑ (en) Pihlajamäki HK, Visuri TI., « Long-term outcome after surgical treatment of unresolved osgood-schlatter disease in young men: surgical technique », J Bone Joint Surg Am., no 92, , p. 258-264. (PMID 20844181)
- ↑ (de) Lohrer H, Nauck T, Schöll J, Zwerver J, Malliaropoulos N., « Einsatz der extrakorporalen Stoßwellentherapie bei therapieresistentem M. Schlatter (Extracorporeal shock wave therapy for patients suffering from recalcitrant Osgood-Schlatter disease) », Sportverletz Sportschaden, vol. 26, no 4, , p. 218-222 (PMID 23047459, DOI 10.1055/s-0032-1325478)
- Portail de la médecine