Maladie de Bernard et Soulier
La maladie de Bernard et Soulier ou Bernard-Soulier (d'après Jean Bernard et Jean-Pierre Soulier) est une maladie sanguine se manifestant par des ménorragies, des épistaxis, des saignements gingivaux. Les saignements importants surviennent au cours des interventions chirurgicales.
Autres noms
- Syndrome des plaquettes sanguines géantes
- Dystrophie hémorragipare de Jean Bernard et Soulier
Incidence & Prévalence
Étiologie
- Mutation du gène GP1BA (en) 606672 situé au niveau du chromosome 17.
- Mutation du gène GP1BB (en) 138720 situé au niveau du chromosome 22.
- Mutation du gène GP9 (en) 173515 situé au niveau du chromosome 3.
Ces trois mutations entrainent un déficit ou un défaut fonctionnel du récepteur plaquettaire du facteur Willebrand.
Description
En 1948, les deux hématologues ont décrit le cas d'un jeune homme avec une tendance à saigner, une thrombocytopénie et des thrombocytes extrêmement hypertrophiés (« thrombocytes géants »). Le patient s'est présenté à l'âge de 15 ans avec des saignements de nez importants et du sang dans les selles, puis a subi des saignements répétés au cours des années suivantes et est décédé à l'âge de 28 ans d'une hémorragie cérébrale. Sa sœur est morte en bas âge à l'âge de 31 mois. Les parents et les autres frères et sœurs n'ont pas été touchés[1].
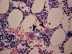
Diagnostic

Le temps de saignement est très allongé parfois supérieur à 20 minutes, on note souvent une thrombopénie modérée et la présence de plaquettes géantes sur le frottis sanguin. La numération manuelle microscopique s'impose car souvent l'automate sous estime le chiffre plaquettaire vu qu'il ne reconnait plus les plaquettes au-delà d'un certain volume. Il n'y a pas d'agrégation plaquettaire lors de l'ajout de ristocètine ou de facteur Willebrand. La cytométrie en flux a une grande place par le dénombrement de CD 42 (GpI).
Prise en charge & Traitement
Le traitement dépend de la gravité des signes cliniques, les transfusions sanguines et plaquettaires sont à éviter dès que c'est possible pour prévenir les allo-immunisations. en cas de geste agressif prévisible; accouchement, chirurgie, transfusions plaquettaires en préventif. la supplémentation en fer en cas de carence martiale secondaire.
Conseil génétique
Mode de transmission
Sources
Notes et références
- ↑ [J. Bernard, J. P. Soulier: Sur une nouvelle variété de dystrophie thrombocytaire-hémorragipare congénitale. In: Semin Hop Paris. 24, 1948]
- Portail de la médecine