Maladie de Paget extramammaire

Maladie de Paget extramammaire
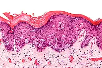
Description de cette image, également commentée ci-après
Coupe histologique de maladie de Paget extramammaire, coloration H&E.
Traitement
Spécialité Oncologie et dermatologie
Classification et ressources externes
CIM-10 C44.5 (ILDS C44.L75)
ICD-O M8542/3
OMIM 167300
MeSH D010145

Wikipédia ne donne pas de conseils médicaux Mise en garde médicale

La maladie de Paget extramammaire, appelée également « maladie de Paget mammaire extramammaire » en référence à son histologie qui est identique à la maladie de Paget du sein, est un adénocarcinome intraépidermique, d'évolution habituellement lente, peu ou pas envahissant, se développant sur le revêtement cutané, exception faite du sein (maladie de Paget du sein).

La maladie de Paget du mamelon a été décrite par James Paget en 1874, et Radcliffe Crocker a signalé le premier cas de maladie de Paget extramammaire en 1889 : il décrit un patient avec une lésion de peau affectant le pénis et le scrotum, et ses conclusions étaient identiques à celles de J. Paget.

On décrit des maladies de Paget vulvaire, du scrotum, périanales, des creux axillaires voire des paupières, des conduits auditifs externes ou de l'ombilic, la maladie se développant dans des zones cutanées riches en glandes apocrines[1] ; si la maladie se développe dans des zones sans glande apocrine, il convient de rechercher un cancer sous-jacent. La forme extramammaire ne représente que 6,5 % des maladies de Paget et atteint particulièrement les sujets âgés et plus souvent les femmes[2] (quatre fois plus atteintes que les hommes)[3].

Signes cliniques

La maladie se présente comme une lésion cutanée érythémateuse dont l'allure est celle d'un eczéma lichenifié ; elle peut infiltrer le derme sous-jacent. Des formes pigmentées sont décrites pouvant prendre l'aspect d'un mélanome[4]. Du fait d'un prurit habituel et du grattage qui en résulte, cette lésion peut prendre un aspect excorié, exulcéré, et être le siège de saignements, notamment au niveau vulvaire[5]. L'évolution est lente et il faut en général deux ans entre l'apparition de la lésion et l'établissement du diagnostic. Progressivement peuvent se constituer des plaques multiples séparées par des zones de peau d'apparence saine, mais ces zones « saines » sont atteintes à l'examen histologique. Des formes plurifocales sont également décrites[6].

Histologie

L'examen histologique[7] d'une biopsie confirme (ou permet, en l'absence de reconnaissance initiale de la lésion) le diagnostic. L'aspect retrouvé est identique à celui de la maladie de Paget du sein.

Évolution et pronostic

On décrit des formes primaires et des formes secondaires. La maladie de Paget extramammaire n'est pas associée à un cancer sous-jacent (formes primaires) comme c'est le cas dans la maladie de Paget du sein, mais selon les auteurs, on retrouve des tumeurs malignes viscérales associées (formes secondaires)[8],[9]chez 12 à 45 % des patients qui en sont atteints. Dans la tranche d'âge à laquelle les patients en sont atteints, 70 ans et plus, la prévalence des cancers n'est pas augmentée par rapport à la population générale. C'est un cancer d'évolution lente qui se limite à l'épiderme durant plusieurs années et de bon pronostic dans cette situation. La prise en charge des formes étendues peut être difficile et la récidive locale est fréquente. Les formes associées à des tumeurs viscérales sont d'un pronostic moins bon et en rapport avec la tumeur en cause. En l'absence de traitement le cancer devient envahissant et métastase au niveau ganglionnaire ou à distance[10]. Il y a peu de recours thérapeutique dans cette situation, cependant un cas de rémission complète d'une forme évoluée a été obtenu par l'utilisation de docétaxel[11].

La forme périanale est celle qui présente le plus de récidives métastatiques[12].

Diagnostic différentiel

Plusieurs maladies dermatologiques peuvent être évoquées[7] :

La biopsie seule pourra assurer le diagnostic.

Examens complémentaires

Ils sont surtout motivés par la recherche d'un cancer viscéral associé. Il s'agit d'examens d'imagerie (scanner, IRM), d'explorations fibroscopique (rectosigmoïdoscopie, hystéroscopie, endoscopie vésicale...), éventuellement recherche de marqueurs tumoraux selon l'orientation clinique. L'ACE serait un marqueur prédictif du risque métastatique et la TEP peut permettre de retrouver des adénopathies ou des métastases à distance[13].

Formes cliniques

Parmi les formes cliniques[7], le type dite « érythème en slip » est d'un mauvais pronostic. Cette forme est extensive ; elle peut être bilatérale[14].

Traitement

Les décisions thérapeutiques sont le plus souvent prises en comité de décisions thérapeutiques et s'adaptent à la localisation, à l'étendue au caractère envahissant ou non de la lésion ; elles prennent également en compte l'âge du patient[15].

Chirurgie

Il s'agit d'une exérèse avec limite en peau saine. Souvent, l'anatomopathologiste note un envahissement des berges de la pièce d'exérèse (1 cas sur 2), et dans ce cas, la reprise chirurgicale n'est pas nécessaire, car ce cas de figure ne s'accompagne pas de plus de récidive ni d'une augmentation de la mortalité.

Traitements adjuvants

La radiothérapie peut être utilisée seule ou associée à la chirurgie. L'imiquimod[16],[17] et la photothérapie dynamique sont utilisés lorsque la chirurgie est réfutée, lorsque les lésions sont très étendues ou envahissantes ou lors d'atteinte ganglionnaire détectée par TEP ou technique du ganglion sentinelle[18]. La chimiothérapie systémique est le seul recours dans les formes métastatiques.

En 2024, une étude est en cours à l’hôpital Cochin afin d'évaluer l'utilisation d'un inhibiteur de la calcineurine (pimecrolimus) en lieu et place de la chirurgie. L'imiquimod pourrait aussi remplacer la chirurgie.[réf. souhaitée]

Suivi des patients

Les patients doivent être régulièrement surveillés, de trois à quatre fois par an. La récidive est possible, habituellement dans les trois premières années, mais elle est possible après quinze ans. Il convient de rester vigilant et renouveler les examens à la recherche d'une tumeur viscérale dont la preuve ne peut être faite que secondairement.

Notes et références

  1. Les différentes formes topographiques in Didier Bessis, Manifestations dermatologiques des maladies du système hématopoïétique et oncologie dermatologique . Springer-Verlag France, Paris, 2009. (ISBN 978-2-287-72091-8). p. 61-4 lire en ligne
  2. (en) Annamaria Minicozzi, Giuseppe Borzellino, Rostand Momo, Francesca Steccanella, Federica Pitoni, Giovanni de Manzoni, « Perianal Paget's disease: presentation of six cases and literature review », International journal of colorectal disease, vol. 25, no 1, , p. 1-7 (ISSN 1432-1262, PMID 19707774, DOI 10.1007/s00384-009-0797-9, lire en ligne, consulté le )
  3. (en) Jean-Pierre E. N. Pierie, Umar Choudry, Alona Muzikansky, Dianne M. Finkelstein, Mark J. Ott, « Prognosis and management of extramammary paget’s disease and the association with secondary malignancies », Journal of the American College of Surgeons, vol. 196, no 1, , p. 45-50 (ISSN 1072-7515, PMID 12517548, lire en ligne, consulté le )
  4. (en) Jeremy Vincent, Janis M. Taube, « Letter : Pigmented extramammary Paget disease of the abdomen : A potential mimicker of melanoma », Dermatology Online Journal, (consulté le )
  5. (en) « Extramammary Paget's disease », BJOG: an International Journal of Obstetrics and Gynaecology, (consulté le ), p. 273-279
  6. (en) CC Tam, PS Ragland, AC Harrigton, « Triple extramammary Paget disease in a white man », Cutis ; cutaneous medicine for the practitioner, (consulté le )
  7. 1 2 3 (en) J. Lloyd, AM Flanagan, « Mammary and extramammary Paget's disease », sur Journal of clinical pathology, (consulté le )
  8. Revue de six cas de maladie de Paget extramammaire associée à un adénocarcinome de la prostate (en) Joseph P. Sleater, Michael J. Ford, Betsy B. Beers, « Extramammary Paget's disease associated with prostate adenocarcinoma », sur Indian Journal of Dermatology, Venereology and Leprology, Human Pathology, (consulté le )
  9. Maladie de Paget vulvaire associée à un cancer d'un organe de voisinage (glande de Bartholin, urètre ou rectum) in Fanning J, Lambert L, Hale TM, Morris PC, Schuerch C. Paget’s disease of the vulva: prevalence of associated vulvar carcinoma, invasive Paget’s disease, and recurrence after surgical excision. Am J Obstet Gynecol 1999;180:24–7.
  10. Un cas avec atteinte ganglionnaire et métastases osseuses (en) Indukooru Subrayalu Reddy, Meenakshi Swain, Swarnalata Gowrishankar, Dronamraju Butchi Narayana Murthy, « Primary extramammary Paget's disease with extensive skeletal metastases », sur Indian Journal of Dermatology, Venereology and Leprology, Indian Journal of Dermatology, Venereology and Leprology, (consulté le )
  11. (en) R. Nakamori, Y. Omoto, K. Yamanaka, K. Habe, I. Kurokawa, H. Mizutani, « Complete remission of advanced extramammary Paget's disease treated with docetaxel: a case report », Clinical and Experimental Dermatology, (consulté le )
  12. Nour Kibbi, Joshua L. Owen, Brandon Worley et Jake X. Wang, « Anatomic Subtype Differences in Extramammary Paget Disease: A Meta-Analysis », JAMA dermatology, vol. 160, no 4, , p. 417–424 (ISSN 2168-6084, PMID 38446447, DOI 10.1001/jamadermatol.2024.0001, lire en ligne, consulté le )
  13. C. Renaud-Vilmer, « Paget (maladie de) », sur www.therapeutique-dermatologique.org, (consulté le )
  14. (en) Yozo Murata, Kimiko Kumano, Masahiro Tani, « Underpants-pattern erythema: A previously unrecognized cutaneous manifestation of extramammary Paget’s disease of the genitalia with advanced metastatic spread », Journal of the American Academy of Dermatology, vol. 40, no 6, , p. 949-956 (ISSN 0190-9622, PMID 10365926, lire en ligne, consulté le )
  15. Revue des différents traitements de la maladie de Paget extramammaire à l'occasion d'un cas du pénis étendu au scrotum (en) Rachael Hartman, Julie Chu, Rishi Patel, Shane Meehan, Jennifer A Stein, « Extramammary Paget disease », Dermatology online journal, (consulté le )
  16. Rémission maintenue d'une lésion vulvaire par imiquimod en crème à 5 % (es) P. Herranz, E. Sendagorta, M. Felto y C. Gómez-Fernandez, « Remisión manrenida de la enfermedad de Paget extramamaria tras tratamiento con imiquimod al 5% en crema », Actas Dermo-Sifiliográficas, (consulté le )
  17. Rémission complète d'une lésion du pénis après traitement local par Aldara pendant 6 semaines (en) Quian Z., Zeitoun NC, Shieh S, Helm T, Oseroff AR., « Successful treatment of extramammary Paget's disease with imiquimod », Journal of drugs in dermatology, (consulté le )
  18. (en) Daisuke Kabata, Yuichiro Endo, Akihiro Fujisawa, Yo Kaku, Hideaki Tanizaki, Naoki Maruta, Yujin Nakagawa, Yoshiki Miyachi et Miki Tanioka, « Bilateral Inguinal Positive Sentinel Lymph Node Metastases of xtramammary Paget Disease: Does This Clinical Situation Have a Surgical Indication? », Dermatologic Surgery, (consulté le )
  • icône décorative Portail de la médecine