Maladie des griffes du chat
| Causes | Bartonella henselae |
|---|---|
| Symptômes | Frissonnement (en) |
| Spécialité | Infectiologie |
|---|
| CIM-10 | A28.1 |
|---|---|
| CIM-9 | 078.3 |
| DiseasesDB | 2173 |
| MedlinePlus | 001614 |
| eMedicine | 214100 |
| MeSH | D002372 |
| Patient UK | Cat-Scratch-Disease |
Mise en garde médicale
La maladie des griffes du chat, également connue sous le nom de lymphoréticulose bénigne d’inoculation, ou encore lymphogranulome bénin, est une maladie infectieuse bactérienne principalement transmise, comme son nom l'indique, par griffure d'un félin. C'est une zoonose[1],[2] qui semble en croissance, si ce n'est une maladie émergente.
Agents et vecteurs
Cette pathologie a deux agents connus (des bactéries du genre Bartonella et non pas comme on l'avait d'abord cru la bactérie Afipia felis) :
- Bartonella henselae : une bactérie gram-négative de la famille des bartonellaceae.
Son temps d'incubation est de 7 à 60 jours si le vecteur infectieux est le chat. Le chat est le vecteur principal, les chats errants contaminant les chats domestiques, via leurs puces[3] ; - Bartonella clarridgeiae (plus rarement).
Épidémiologie
Elle est plus fréquente dans les zones géographiques chaudes et humides[4].
L'infection survient dans 10 % des cas après une morsure, dans 75 % après une griffure, mais elle peut apparaître à la suite d'une griffure de ronces.[réf. souhaitée] Elle peut également survenir sans griffure mais par la salive de l'animal ou encore en se frottant les yeux après avoir caressé son chat[5]. Il s'agit le plus souvent d'un jeune chat[6].
Le chien (également infecté par des puces) pourrait aussi être un vecteur[réf. nécessaire], mais cela reste discuté.
Il semblerait également que les puces puissent directement inoculer la bactérie lors de piqûres chez l'homme.
Un chat peut rester porteur de la bactérie durant plusieurs mois[7], et guéri, il peut se réinfecter[8],[9].
Cette maladie ubiquitaire touche principalement les enfants[2].
Symptômes

Dans un premier temps, une papule se forme au lieu d'inoculation, qui le plus souvent disparaît par la suite.
Quelques semaines après, on retrouve une lymphadénopathie (hypertrophie des nœuds lymphatiques). Dans 60 % des cas, un seul nœud lymphatique est atteint. Plus rarement, le malade peut présenter des myalgies, de la fièvre, des maux de tête, une perte de poids, des éruptions cutanées (dues à une angiomatose bactérienne). On peut également observer une vasculite systémique affectant des organes parenchymateux, notamment le foie. Il est parfois possible de constater une conjonctivite associée à une lymphadénopathie préauriculaire (syndrome de Parinaud)[2].
Sous ses formes graves, les malades peuvent développer des endocardites, voire des encéphalites[10]. Quelques formes graves atypiques ont été décrites, à l'instar d'une femme américaine qui a perdu l'usage de son œil gauche à la suite de l'infection[5].
Diagnostic

Le diagnostic se fait par l'examen clinique et la sérologie. Cette dernière consistant à rechercher et à doser les anticorps de type IgM dirigé contre le Bartonella henselae, le seuil de positivité dépendant du test utilisé[11].
En cas de doute l'ADN du germe peut être recherché par PCR tant dans une ponction d'un ganglion[12] que dans le sang du patient[13].
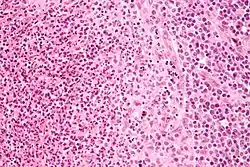
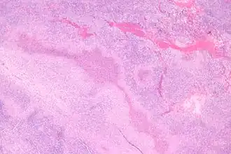
La biopsie ganglionnaire permet, outre la recherche de la bactérie ou de son ADN, de faire une analyse anatomopathologique de ce dernier[14].
Traitement
Dans les formes graves, un traitement antibiotique peut être administré. L'antibiotique de référence est l'azithromycine (famille des macrolides)[2]. La rifampicine, la ciprofloxacine et le sulfaméthoxazole-triméthoprime sont également efficaces[15]. Si les antibiotiques n'ont aucun effet, le nœud lymphatique infecté peut être retiré. Il faut aussi traiter le chat. Les formes minimes peuvent se contenter d'une simple surveillance[15].
Il n'existe aucun vaccin, et le caractère apparemment bénin de la maladie des griffes du chat ne dispense pas de suivre quelques mesures de précaution :
- éviter les griffures ou les morsures de chat ;
- éviter le léchage des plaies par les chats ;
- désinfecter les plaies en cas de morsures ou de griffures ;
- se nettoyer les mains à l'eau et au savon après avoir manipulé un chat ;
- lutter contre l'infestation des chats par les puces.
Histoire
L'histoire de la découverte de la maladie telle que raconté par le Professeur Robert Debré dans son autobiographie[16] :
« Au cours de l'année 1930, j'avais été frappé par l'existence d'un ganglion suppuré au niveau du coude, apparu chez un petit garçon. [...] Voyant notre embarras pour expliquer l'origine de cette suppuration ganglionnaire, la mère avait insisté sur le fait que son petit garçon jouait constamment avec son chat et portait, surtout sur la main du côté malade, des traces de coups de griffes. Depuis cette époque j'avais observé une dizaine de cas analogues [...] et noté que l'animal inoculateur était parfaitement sain.
En 1947, à Cincinnati, j'entretiens mes collègues américains de ce sujet. J'apprends que des cas analogues ont été observés par deux d'entre eux et surtout que le professeur de bactériologie de l'université de cette ville, Lee Foshay, avait fait avec le pus du ganglion de cette maladie une préparation qui, injectée dans la peau des malades, provoquait une réaction caractéristique et par conséquent permettait d'affirmer le diagnostic. Un pas considérable était franchi. [...]
Il me conseilla [...] d'approfondir l'étude épidémiologique et de faire connaître mes observations cliniques. C'est ainsi qu'en 1950, avec M. Lamy, M.-L. Jammet, L. Costil et P. Mozziconacci, nous faisons connaître cette maladie que nous qualifions de "Maladie des griffes du chat". [...]
Dans le même temps, nos collègues J. Reilly et P. Morallet avaient observé des cas analogues et les avaient décrits sous le nom de lymphoréticulose bénigne d'inoculation. »
Notes et références
- ↑ (en) Koehler JE, Glaser CA, Tappero JW. Rochalimaea henselae infection. A new zoonosis with the domestic cat as reservoir. JAMA. 1994;271:531–5.
- 1 2 3 4 « Zoonoses - Cours d'infectiologie pour les étudiants de 2e cycle d'études de médecine », sur infectiologie.com,
- ↑ (en) Chomel BB, Kasten RW, Floyd-Hawkins K, Chi B, Yamamoto K, Roberts-Wilson J, et al. Experimental transmission of Bartonella henselae by the cat flea. J Clin Microbiol. 1996;34:1952–6.
- ↑ Jameson P, Greene C, Regnery R et al. Prevalence of Bartonella henselae antibodies in pet cats throughout regions of North America, J Infect Dis, 1995;172:1145-1149.
- 1 2 « Une femme perd un œil après que son chat l’a léchée », sur 20minutes.fr, (consulté le ).
- ↑ Carithers HA, Cat-scratch disease: an overview based on a study of 1,200 patients, Am J Dis Child, 1985;139:1124-1133
- ↑ (en) Kordick DL, Breitschwerdt EB. « Persistent infection of pets within a household with three Bartonella species » Emerg Infect Dis. 1998;4:325–8.
- ↑ (en) Arvand M, Viezens J, Berghoff J. « Prolonged Bartonella henselae bacteremia caused by reinfection in cats » Infect Dis. 2008;14(1):152-4. Texte intégral.
- ↑ (en) Yamamoto K, Chomel BB, Kasten RW, Hew CM, Weber DK, Lee WI, et al. « Infection and re-infection of domestic cats with various Bartonella species or types: B. henselae type I is protective against heterologous challenge with B. henselae type II » Vet Microbiol. 2003;92:73–86. .
- ↑ Armengol CE, Hendley JO, Cat-scratch disease encephalopathy: a cause of status epilepticus in school-aged children, J Pediatr, 1999;134:635-638
- ↑ Sander A, Berner R, Ruess M, Serodiagnosis of cat scratch disease: response to Bartonella henselae in children and a review of diagnostic methods, Eur J Clin Microbiol Infect Dis, 2001;20:392-401
- ↑ Chondrogiannis K, Vezakis A, Derpapas M, Melemeni A, Fragulidis G, Seronegative cat-scratch disease diagnosed by PCR detection of Bartonella henselae DNA in lymph node samples, Braz J Infect Dis, 2012;16:96-99
- ↑ Arvand M, Schäd SG, Isolation of Bartonella henselae DNA from the peripheral blood of a patient with cat scratch disease up to 4 months after the cat scratch injury, J Clin Microbiol, 2006;44:2288-2290
- ↑ Shin OR, Kim YR, Ban TH, et al. A case report of seronegative cat scratch disease, emphasizing the histopathologic point of view, Diagn Pathol, 2014;9:62-62
- 1 2 Margileth AM, Antibiotic therapy for cat-scratch disease: clinical study of therapeutic outcome in 268 patients and a review of the literature, Pediatr Infect Dis, J 1992;11:474-478
- ↑ Robert Debré, L'Honneur de vivre, Stock, 462 p., p291
Voir aussi
Articles connexes
Liens externes
- Ressources relatives à la santé :
- Ressource relative à la recherche :
- Notices dans des dictionnaires ou encyclopédies généralistes :
- Portail de la médecine
- Portail des maladies infectieuses